• 文献检索
  • 文档翻译
  • 深度研究
  • 学术资讯
  • Suppr Zotero 插件Zotero 插件
  • 邀请有礼
  • 套餐&价格
  • 历史记录
应用&插件
Suppr Zotero 插件Zotero 插件浏览器插件Mac 客户端Windows 客户端微信小程序
定价
高级版会员购买积分包购买API积分包
服务
文献检索文档翻译深度研究API 文档MCP 服务
关于我们
关于 Suppr公司介绍联系我们用户协议隐私条款
关注我们

Suppr 超能文献

核心技术专利:CN118964589B侵权必究
粤ICP备2023148730 号-1Suppr @ 2026

文献检索

告别复杂PubMed语法,用中文像聊天一样搜索,搜遍4000万医学文献。AI智能推荐,让科研检索更轻松。

立即免费搜索

文件翻译

保留排版,准确专业,支持PDF/Word/PPT等文件格式,支持 12+语言互译。

免费翻译文档

深度研究

AI帮你快速写综述,25分钟生成高质量综述,智能提取关键信息,辅助科研写作。

立即免费体验

不明原因不孕症患者子宫内膜中αVBeta3整合素的表达:一项前瞻性队列研究。

AlphaVBeta3 Integrin expression within uterine endometrium in unexplained infertility: a prospective cohort study.

作者信息

Elnaggar Ahmed, Farag Amr H, Gaber Mohamed E, Hafeez Mohamed Abdel, Ali Mohamed S, Atef Alaa M

机构信息

Department of Obstetrics &Gynecology, Faculty of Medicine, Ain Shams University, Lotfy Elsayed Street, Abbasia, Cairo, Egypt.

Department of Obstetrics &Gynecology, Jersey General Hospital, The Parade, Jersey, UK.

出版信息

BMC Womens Health. 2017 Sep 26;17(1):90. doi: 10.1186/s12905-017-0438-3.

DOI:10.1186/s12905-017-0438-3
PMID:28950833
原文链接:https://pmc.ncbi.nlm.nih.gov/articles/PMC5615471/
Abstract

BACKGROUND

Implantation defect is one of these contributing factors for unexplained infertility. In the mid-luteal phase, when implantation is expected to happen, Integrins expression is remarkably increased. So, Integrins could potentially serve as markers for the frame of the window of implantation. αVβ3 integrin could have a role as a potential receptor for embryonic attachment. The aim of the current study is to investigate whether the women with unexplained infertility have a pattern of expression of endometrial αvβ3 integrin that could differ from those who have normal fertility or not.

METHOD

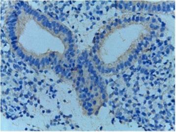
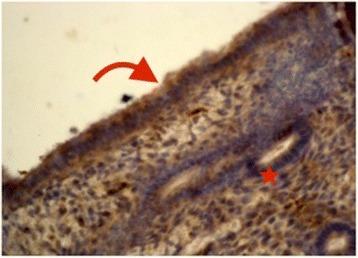
Two groups of women have been included in this study. The first group was the Unexplained Infertility Group. This group included women diagnosed with unexplained primary infertility. The second group was the fertile Group, which included fertile parous women presented to the family planning clinic seeking contraception. 2D transvaginal ultrasound scan (TVS) was performed six days after detecting urinary LH surge. (TVS) was used to measure endometrial thickness, and subendometrial blood flow color Doppler Resistance Index (RI). On the same day of transvaginal ultrasound, endometrial samples were taken using the Endocell® office suction sampler for Immunohistochemistry (IHC) study using monoclonal mouse IgG antibodies to detect endometrial αvβ3 integrin.

RESULTS

Thirty-five fertile women with a diagnosis of unexplained infertility were included as a group I [Unexplained infertility Group] along with an equal number of fertile women as group II [Fertile Group]. The group of women with a diagnosis of unexplained infertility had a significantly lower αvβ3 integrin score when compared to the fertile group (median score 0, range:0-2 and median score 1, range: 1-3 and for infertile and fertile groups respectively, P < 0.0001). In addition, the unexplained infertility group had significantly higher subendometrial flow RI and Significantly thinner endometrial thickness.

CONCLUSION

This study showed that Alpha v Beta 3 integrin is a significantly lower in endometrium in cases of unexplained infertility, which may suggest that underexpression of Alpha v Beta 3 integrin in human endometrium could be linked to defective uterine receptivity, and play a role as an unrecognized cause of infertility in this population of women. We need larger studies of adequate statistical power, ideally investigating more than one menstrual cycle in the same woman, to investigate the usefulness of using these molecular molecules in clinical practice.

摘要

背景

着床缺陷是不明原因不孕症的影响因素之一。在黄体中期,预计会发生着床时,整合素表达显著增加。因此,整合素可能作为着床窗框架的标志物。αVβ3整合素可能作为胚胎附着的潜在受体。本研究的目的是调查不明原因不孕症女性的子宫内膜αvβ3整合素表达模式是否与正常生育女性不同。

方法

本研究纳入两组女性。第一组是不明原因不孕症组。该组包括被诊断为不明原因原发性不孕症的女性。第二组是生育组,包括到计划生育门诊寻求避孕的已生育有生育能力的女性。在检测到尿促黄体生成素激增六天后进行经阴道二维超声扫描(TVS)。(TVS)用于测量子宫内膜厚度和子宫内膜下血流彩色多普勒阻力指数(RI)。在经阴道超声检查的同一天,使用Endocell®办公室抽吸采样器采集子宫内膜样本,用于免疫组织化学(IHC)研究,使用单克隆小鼠IgG抗体检测子宫内膜αvβ3整合素。

结果

35名被诊断为不明原因不孕症的有生育能力女性作为第一组[不明原因不孕症组],另有同等数量的有生育能力女性作为第二组[生育组]。与生育组相比,被诊断为不明原因不孕症的女性组αvβ3整合素评分显著更低(不孕组和生育组的中位数评分分别为0,范围:0 - 2和中位数评分1,范围:1 - 3,P < 0.0001)。此外,不明原因不孕症组的子宫内膜下血流RI显著更高,子宫内膜厚度显著更薄。

结论

本研究表明,在不明原因不孕症病例中,子宫内膜中的αvβ3整合素显著更低,这可能表明人子宫内膜中αvβ3整合素表达不足可能与子宫容受性缺陷有关,并在这群女性中作为未被认识的不孕原因发挥作用。我们需要进行具有足够统计学效力的更大规模研究,理想情况下在同一女性中调查不止一个月经周期,以研究在临床实践中使用这些分子的实用性。

https://cdn.ncbi.nlm.nih.gov/pmc/blobs/4c07/5615471/b0fe549e0836/12905_2017_438_Fig6_HTML.jpg
https://cdn.ncbi.nlm.nih.gov/pmc/blobs/4c07/5615471/125240fb5a9c/12905_2017_438_Fig1_HTML.jpg
https://cdn.ncbi.nlm.nih.gov/pmc/blobs/4c07/5615471/865c81b79d80/12905_2017_438_Fig2_HTML.jpg
https://cdn.ncbi.nlm.nih.gov/pmc/blobs/4c07/5615471/db55a9d1bd1b/12905_2017_438_Fig3_HTML.jpg
https://cdn.ncbi.nlm.nih.gov/pmc/blobs/4c07/5615471/9c2a2e37ffaf/12905_2017_438_Fig4_HTML.jpg
https://cdn.ncbi.nlm.nih.gov/pmc/blobs/4c07/5615471/3f64ee363031/12905_2017_438_Fig5_HTML.jpg
https://cdn.ncbi.nlm.nih.gov/pmc/blobs/4c07/5615471/b0fe549e0836/12905_2017_438_Fig6_HTML.jpg
https://cdn.ncbi.nlm.nih.gov/pmc/blobs/4c07/5615471/125240fb5a9c/12905_2017_438_Fig1_HTML.jpg
https://cdn.ncbi.nlm.nih.gov/pmc/blobs/4c07/5615471/865c81b79d80/12905_2017_438_Fig2_HTML.jpg
https://cdn.ncbi.nlm.nih.gov/pmc/blobs/4c07/5615471/db55a9d1bd1b/12905_2017_438_Fig3_HTML.jpg
https://cdn.ncbi.nlm.nih.gov/pmc/blobs/4c07/5615471/9c2a2e37ffaf/12905_2017_438_Fig4_HTML.jpg
https://cdn.ncbi.nlm.nih.gov/pmc/blobs/4c07/5615471/3f64ee363031/12905_2017_438_Fig5_HTML.jpg
https://cdn.ncbi.nlm.nih.gov/pmc/blobs/4c07/5615471/b0fe549e0836/12905_2017_438_Fig6_HTML.jpg

相似文献

1
AlphaVBeta3 Integrin expression within uterine endometrium in unexplained infertility: a prospective cohort study.不明原因不孕症患者子宫内膜中αVBeta3整合素的表达:一项前瞻性队列研究。
BMC Womens Health. 2017 Sep 26;17(1):90. doi: 10.1186/s12905-017-0438-3.
2
Assessment of endometrial receptivity during implantation window in women with unexplained infertility.评估不明原因不孕妇女种植窗期子宫内膜容受性。
Gynecol Endocrinol. 2020 Oct;36(10):917-921. doi: 10.1080/09513590.2020.1727433. Epub 2020 Feb 19.
3
Prospective assessment of midsecretory endometrial leukemia inhibitor factor expression versus ανβ3 testing in women with unexplained infertility.前瞻性评估不明原因不孕妇女的中分泌期子宫内膜白血病抑制因子表达与 ανβ3 检测。
Fertil Steril. 2014 Jun;101(6):1724-31. doi: 10.1016/j.fertnstert.2014.02.027. Epub 2014 Mar 29.
4
Beta3 integrin expression within uterine endometrium and its relationship with unexplained infertility.β3整合素在子宫内膜中的表达及其与不明原因不孕症的关系。
Pak J Biol Sci. 2008 Nov 1;11(21):2495-9. doi: 10.3923/pjbs.2008.2495.2499.
5
Endometrial pinopode and alphavbeta3 integrin expression is not impaired in infertile patients with endometriosis.子宫内膜微绒毛和αvβ3整合素表达在患有子宫内膜异位症的不孕患者中并未受损。
J Assist Reprod Genet. 2003 Nov;20(11):465-73. doi: 10.1023/b:jarg.0000006709.61216.6f.
6
Integrins as markers of uterine receptivity in women with primary unexplained infertility.整合素作为原发性不明原因不孕症女性子宫容受性的标志物。
Fertil Steril. 1995 Mar;63(3):535-42.
7
Expression pattern of osteopontin and αvβ3 integrin during the implantation window in infertile patients with early stages of endometriosis.在早期子宫内膜异位症不孕患者的着床窗口期,骨桥蛋白和αvβ3 整合素的表达模式。
Hum Reprod. 2012 Mar;27(3):805-13. doi: 10.1093/humrep/der432. Epub 2012 Jan 2.
8
A quantitative evaluation of alpha1, alpha4, alphaV and beta3 endometrial integrins of fertile and unexplained infertile women during the menstrual cycle. A flow cytometric appraisal.月经周期中可育与不明原因不孕女性子宫内膜α1、α4、αV及β3整合素的定量评估:流式细胞术鉴定
Hum Reprod. 1999 Oct;14(10):2485-92. doi: 10.1093/humrep/14.10.2485.
9
Difference in alpha(v)beta3 integrin expression in endometrial stromal cell in subgroups of women with unexplained infertility.不明原因不孕症女性亚组中子宫内膜基质细胞α(v)β3整合素表达的差异。
Eur J Obstet Gynecol Reprod Biol. 2006 Jun 1;126(2):206-11. doi: 10.1016/j.ejogrb.2005.11.034. Epub 2005 Dec 28.
10
Infertile women with isolated polycystic ovaries are deficient in endometrial expression of osteopontin but not alphavbeta3 integrin during the implantation window.患有单纯性多囊卵巢的不孕女性在着床窗口期子宫内膜骨桥蛋白表达不足,但αvβ3整合素表达正常。
Fertil Steril. 2009 Feb;91(2):489-99. doi: 10.1016/j.fertnstert.2007.11.063. Epub 2008 Mar 18.

引用本文的文献

1
Effects of standard and low doses of estradiol on markers of endometrial receptivity in frozen-thawed embryo transfer cycles: Double-blind, randomized clinical trial.标准剂量和低剂量雌二醇对冻融胚胎移植周期子宫内膜容受性标志物的影响:双盲随机临床试验
PLoS One. 2025 Jul 28;20(7):e0328871. doi: 10.1371/journal.pone.0328871. eCollection 2025.
2
PAPPA's role in female reproduction.妊娠相关血浆蛋白A在女性生殖中的作用。
Reproduction. 2025 Jul 18;170(2). doi: 10.1530/REP-25-0012. Print 2025 Aug 1.
3
In Vitro Gene Expression Profiling of Quantum Molecular Resonance Effects on Human Endometrium Models: A Preliminary Study.

本文引用的文献

1
Integrin αVβ3 and αVβ5 are required for leukemia inhibitory factor-mediated the adhesion of trophoblast cells to the endometrial cells.整合素αVβ3和αVβ5是白血病抑制因子介导滋养层细胞与子宫内膜细胞黏附所必需的。
Biochem Biophys Res Commun. 2016 Jan 22;469(4):936-40. doi: 10.1016/j.bbrc.2015.12.103. Epub 2015 Dec 24.
2
Systematic review of cell adhesion molecules and estrogen receptor expression in the endometrium of patients with polycystic ovary syndrome.多囊卵巢综合征患者子宫内膜中细胞粘附分子与雌激素受体表达的系统评价
Int J Gynaecol Obstet. 2015 Apr;129(1):1-4. doi: 10.1016/j.ijgo.2014.10.022. Epub 2014 Dec 18.
3
量子分子共振效应在人子宫内膜模型上的体外基因表达谱分析:一项初步研究
Genes (Basel). 2025 Feb 27;16(3):290. doi: 10.3390/genes16030290.
4
Low pH induces amiloride-sensitive expression of leukemia inhibitory factor in endometrial cells.低pH值诱导子宫内膜细胞中白血病抑制因子的氨氯地平敏感性表达。
J Reprod Dev. 2025 Jun 6;71(3):115-123. doi: 10.1262/jrd.2024-105. Epub 2025 Mar 21.
5
Repeated implantation failures and infertility in patients are strongly associated with elevated integrin B3 due to endometrial copy number variation.由于子宫内膜拷贝数变异,患者反复植入失败和不孕与整合素β3升高密切相关。
Reprod Fertil. 2025 Feb 1;6(1). doi: 10.1530/RAF-24-0088.
6
When the Embryo Meets the Endometrium: Identifying the Features Required for Successful Embryo Implantation.当胚胎遇见子宫内膜:鉴定胚胎着床成功所需的特征。
Int J Mol Sci. 2024 Feb 29;25(5):2834. doi: 10.3390/ijms25052834.
7
Differential expression of tsRNAs and miRNAs in embryo culture medium: potential impact on embryo implantation.胚胎培养液中 tsRNAs 和 miRNAs 的差异表达:对胚胎着床的潜在影响。
J Assist Reprod Genet. 2024 Mar;41(3):781-793. doi: 10.1007/s10815-024-03034-8. Epub 2024 Jan 25.
8
Assisted reproductive technology outcomes and gene expression in unexplained infertility patients.不明原因不孕症患者的辅助生殖技术结局与基因表达
Front Cell Dev Biol. 2023 Jul 28;11:1217808. doi: 10.3389/fcell.2023.1217808. eCollection 2023.
9
Could maternal serum MFG-E8 level predict adverse first trimester pregnancy outcome? A preliminary study.母体血清 MFG-E8 水平能否预测不良的早孕期妊娠结局?一项初步研究。
Turk J Med Sci. 2023 Apr;53(2):536-543. doi: 10.55730/1300-0144.5614. Epub 2023 Apr 19.
10
Integrins and ligands, are correlated at pig placental interface during pregnancy?整合素及其配体在妊娠期间的猪胎盘界面是否相关?
Reprod Fertil. 2023 Feb 1;4(1). doi: 10.1530/RAF-22-0079.
Endometrial integrin expression in women with recurrent implantation failure after in vitro fertilization and its relationship to pregnancy outcome.
体外受精后反复着床失败患者的子宫内膜整合素表达及其与妊娠结局的关系。
Fertil Steril. 2013 Sep;100(3):825-30. doi: 10.1016/j.fertnstert.2013.05.007. Epub 2013 Jun 10.
4
Expression pattern of osteopontin and αvβ3 integrin during the implantation window in infertile patients with early stages of endometriosis.在早期子宫内膜异位症不孕患者的着床窗口期,骨桥蛋白和αvβ3 整合素的表达模式。
Hum Reprod. 2012 Mar;27(3):805-13. doi: 10.1093/humrep/der432. Epub 2012 Jan 2.
5
Role of endometrial blood flow assessment with color Doppler energy in predicting pregnancy outcome of IVF-ET cycles.彩色能量多普勒评估子宫内膜血流在预测 IVF-ET 周期妊娠结局中的作用。
Reprod Biol Endocrinol. 2010 Oct 18;8:122. doi: 10.1186/1477-7827-8-122.
6
Osteopontin and alphavbeta3 integrin as markers of endometrial receptivity: the effect of different hormone therapies.骨桥蛋白和αvβ3 整合素作为子宫内膜容受性的标志物:不同激素治疗的影响。
Reprod Biomed Online. 2010 Sep;21(3):349-59. doi: 10.1016/j.rbmo.2010.04.012. Epub 2010 Apr 24.
7
Adhesion molecules in endometrial epithelium: tissue integrity and embryo implantation.子宫内膜上皮细胞中的黏附分子:组织完整性与胚胎着床。
J Anat. 2009 Jul;215(1):3-13. doi: 10.1111/j.1469-7580.2008.01034.x. Epub 2009 Apr 22.
8
Beta3 integrin expression within uterine endometrium and its relationship with unexplained infertility.β3整合素在子宫内膜中的表达及其与不明原因不孕症的关系。
Pak J Biol Sci. 2008 Nov 1;11(21):2495-9. doi: 10.3923/pjbs.2008.2495.2499.
9
The correlation between endometrial thickness and outcome of in vitro fertilization and embryo transfer (IVF-ET) outcome.子宫内膜厚度与体外受精-胚胎移植(IVF-ET)结局之间的相关性。
Reprod Biol Endocrinol. 2008 Sep 2;6:37. doi: 10.1186/1477-7827-6-37.
10
Osteopontin and alphavbeta3 integrin expression in the endometrium of infertile and fertile women.骨桥蛋白和αvβ3整合素在不孕和有生育能力女性子宫内膜中的表达。
Reprod Biomed Online. 2008 Jun;16(6):808-16. doi: 10.1016/s1472-6483(10)60146-0.