• 文献检索
  • 文档翻译
  • 深度研究
  • 学术资讯
  • Suppr Zotero 插件Zotero 插件
  • 邀请有礼
  • 套餐&价格
  • 历史记录
应用&插件
Suppr Zotero 插件Zotero 插件浏览器插件Mac 客户端Windows 客户端微信小程序
定价
高级版会员购买积分包购买API积分包
服务
文献检索文档翻译深度研究API 文档MCP 服务
关于我们
关于 Suppr公司介绍联系我们用户协议隐私条款
关注我们

Suppr 超能文献

核心技术专利:CN118964589B侵权必究
粤ICP备2023148730 号-1Suppr @ 2026

文献检索

告别复杂PubMed语法,用中文像聊天一样搜索,搜遍4000万医学文献。AI智能推荐,让科研检索更轻松。

立即免费搜索

文件翻译

保留排版,准确专业,支持PDF/Word/PPT等文件格式,支持 12+语言互译。

免费翻译文档

深度研究

AI帮你快速写综述,25分钟生成高质量综述,智能提取关键信息,辅助科研写作。

立即免费体验

环磷酸腺苷及环磷酸腺苷受体蛋白对大肠杆菌素E1基因的正调控

Positive regulation of the colicin E1 gene by cyclic AMP and cyclic AMP receptor protein.

作者信息

Shirabe K, Ebina Y, Miki T, Nakazawa T, Nakazawa A

出版信息

Nucleic Acids Res. 1985 Jul 11;13(13):4687-98. doi: 10.1093/nar/13.13.4687.

DOI:10.1093/nar/13.13.4687
PMID:2991844
原文链接:https://pmc.ncbi.nlm.nih.gov/articles/PMC321820/
Abstract

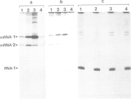
In previous experiments, we showed that the in vivo transcription of the colicin E1 gene was dependent on cyclic AMP in adenylate cyclase-defective mutant cells of Escherichia coli (Ebina, Y. and Nakazawa, A (1983) J. Biol. Chem. 258, 7072-7078). We now show that cyclic AMP and cyclic AMP receptor protein stimulated the in vitro transcription of the gene in the presence of spermidine. As determined in DNase I protection experiments, two binding sites for the complex of cyclic AMP and the receptor protein were identified about 60 base pairs (CRP-1) and 110 base pairs (CRP-2) upstream from the transcription initiation site of the colicin E1 gene. CRP-1 had a higher affinity for the complex than that of CRP-2. Substituting an unrelated DNA sequence for CRP-2 reduced the efficiency of in vitro stimulation of the gene by cyclic AMP and the receptor protein. These potential binding sites for the cyclic AMP-cyclic AMP receptor protein complex probably participate in the stimulation of the colicin E1 gene transcription.

摘要

在先前的实验中,我们发现大肠杆菌腺苷酸环化酶缺陷型突变细胞中,大肠杆菌素E1基因的体内转录依赖于环腺苷酸(江名洋和中泽明,1983年,《生物化学杂志》258卷,7072 - 7078页)。现在我们发现,在亚精胺存在的情况下,环腺苷酸和环腺苷酸受体蛋白能刺激该基因的体外转录。通过DNA酶I保护实验确定,在大肠杆菌素E1基因转录起始位点上游约60个碱基对(CRP - 1)和110个碱基对(CRP - 2)处,鉴定出了环腺苷酸与受体蛋白复合物的两个结合位点。CRP - 1对该复合物的亲和力高于CRP - 2。用无关DNA序列替换CRP - 2会降低环腺苷酸和受体蛋白对该基因体外刺激的效率。环腺苷酸 - 环腺苷酸受体蛋白复合物的这些潜在结合位点可能参与了对大肠杆菌素E1基因转录的刺激。

https://cdn.ncbi.nlm.nih.gov/pmc/blobs/8892/321820/e1aad1e709e2/nar00307-0091-a.jpg
https://cdn.ncbi.nlm.nih.gov/pmc/blobs/8892/321820/5db9fe1dca31/nar00307-0087-a.jpg
https://cdn.ncbi.nlm.nih.gov/pmc/blobs/8892/321820/31345b3de329/nar00307-0088-a.jpg
https://cdn.ncbi.nlm.nih.gov/pmc/blobs/8892/321820/fbda184981a6/nar00307-0090-a.jpg
https://cdn.ncbi.nlm.nih.gov/pmc/blobs/8892/321820/e1aad1e709e2/nar00307-0091-a.jpg
https://cdn.ncbi.nlm.nih.gov/pmc/blobs/8892/321820/5db9fe1dca31/nar00307-0087-a.jpg
https://cdn.ncbi.nlm.nih.gov/pmc/blobs/8892/321820/31345b3de329/nar00307-0088-a.jpg
https://cdn.ncbi.nlm.nih.gov/pmc/blobs/8892/321820/fbda184981a6/nar00307-0090-a.jpg
https://cdn.ncbi.nlm.nih.gov/pmc/blobs/8892/321820/e1aad1e709e2/nar00307-0091-a.jpg

相似文献

1
Positive regulation of the colicin E1 gene by cyclic AMP and cyclic AMP receptor protein.环磷酸腺苷及环磷酸腺苷受体蛋白对大肠杆菌素E1基因的正调控
Nucleic Acids Res. 1985 Jul 11;13(13):4687-98. doi: 10.1093/nar/13.13.4687.
2
Cyclic AMP-dependent initiation and rho-dependent termination of colicin E1 gene transcription.环磷酸腺苷(cAMP)依赖性的大肠杆菌素E1基因转录起始及rho依赖性的转录终止
J Biol Chem. 1983 Jun 10;258(11):7072-8.
3
An Escherichia coli rpoB mutation that inhibits transcription of catabolite-sensitive operons.一种抑制分解代谢敏感操纵子转录的大肠杆菌rpoB突变。
J Mol Biol. 1991 Nov 20;222(2):189-96. doi: 10.1016/0022-2836(91)90205-k.
4
Control of Vibrio fischeri luminescence gene expression in Escherichia coli by cyclic AMP and cyclic AMP receptor protein.环腺苷酸和环腺苷酸受体蛋白对费氏弧菌发光基因在大肠杆菌中表达的调控
J Bacteriol. 1985 Oct;164(1):45-50. doi: 10.1128/jb.164.1.45-50.1985.
5
Cyclic adenosine 3',5'-monophosphate regulation of the bacteriophage T6/colicin K receptor in Escherichia coli.环磷酸腺苷对大肠杆菌中噬菌体T6/大肠杆菌素K受体的调控
J Bacteriol. 1979 Nov;140(2):369-76. doi: 10.1128/jb.140.2.369-376.1979.
6
How cyclic AMP and its receptor protein act in Escherichia coli.环磷酸腺苷及其受体蛋白在大肠杆菌中的作用方式。
Cell. 1982 Jun;29(2):287-9. doi: 10.1016/0092-8674(82)90145-3.
7
Stringent spacing requirements for transcription activation by CRP.CRP转录激活的严格间隔要求。
Cell. 1990 Aug 24;62(4):733-43. doi: 10.1016/0092-8674(90)90118-x.
8
Transcription regulation of the colicin K cka gene reveals induction of colicin synthesis by differential responses to environmental signals.大肠杆菌素K cka基因的转录调控揭示了通过对环境信号的不同反应诱导大肠杆菌素合成。
J Bacteriol. 1999 Dec;181(23):7373-80. doi: 10.1128/JB.181.23.7373-7380.1999.
9
Monoclonal antibodies that inhibit activation of transcription by the Escherichia coli cyclic AMP receptor protein.抑制大肠杆菌环磷酸腺苷受体蛋白转录激活的单克隆抗体。
J Biol Chem. 1988 Mar 5;263(7):3448-53.
10
RNA polymerase makes important contacts upstream from base pair -49 at the Escherichia coli galactose operon P1 promoter.RNA聚合酶在大肠杆菌半乳糖操纵子P1启动子的碱基对-49上游形成重要接触。
Gene. 1987;53(2-3):145-52. doi: 10.1016/0378-1119(87)90002-3.

引用本文的文献

1
Cyclic AMP (cAMP) and cAMP receptor protein influence both synthesis and uptake of extracellular autoinducer 2 in Escherichia coli.环磷酸腺苷(cAMP)和cAMP受体蛋白影响大肠杆菌中细胞外自诱导物2的合成与摄取。
J Bacteriol. 2005 Mar;187(6):2066-76. doi: 10.1128/JB.187.6.2066-2076.2005.
2
Integration host factor and cyclic AMP receptor protein are required for TyrR-mediated activation of tpl in Citrobacter freundii.整合宿主因子和环磷酸腺苷受体蛋白是弗氏柠檬酸杆菌中TyrR介导的tpl激活所必需的。
J Bacteriol. 1998 Dec;180(23):6173-86. doi: 10.1128/JB.180.23.6173-6186.1998.
3
Analysis of the spacer DNA between the cyclic AMP receptor protein binding site and the lac promoter.

本文引用的文献

1
Deoxyribo ucleic acid-directed synthesis of ribonucleic acid by an enzyme from Escherichia coli.大肠杆菌中一种酶催化的脱氧核糖核酸指导的核糖核酸合成。
Proc Natl Acad Sci U S A. 1962 Jan 15;48(1):81-94. doi: 10.1073/pnas.48.1.81.
2
The SOS regulatory system of Escherichia coli.大肠杆菌的SOS调控系统。
Cell. 1982 May;29(1):11-22. doi: 10.1016/0092-8674(82)90085-x.
3
Direct participation of lexA protein in repression of colicin E1 synthesis.LexA蛋白直接参与大肠杆菌素E1合成的抑制过程。
对环磷酸腺苷受体蛋白结合位点与乳糖启动子之间间隔DNA的分析。
J Bacteriol. 1996 Apr;178(8):2436-9. doi: 10.1128/jb.178.8.2436-2439.1996.
4
Temporal control of colicin E1 induction.大肠杆菌素E1诱导的时间控制
J Bacteriol. 1987 Nov;169(11):5028-34. doi: 10.1128/jb.169.11.5028-5034.1987.
5
Interaction of the CRP-cAMP complex with the cea regulatory region.CRP-cAMP复合物与cea调控区的相互作用。
Mol Gen Genet. 1989 Feb;215(3):537-42. doi: 10.1007/BF00427053.
6
The promoters of the genes for colicin production, release and immunity in the ColA plasmid: effects of convergent transcription and Lex A protein.ColA质粒中大肠杆菌素产生、释放及免疫相关基因的启动子:反向转录和Lex A蛋白的作用
Nucleic Acids Res. 1986 Mar 25;14(6):2621-36. doi: 10.1093/nar/14.6.2621.
7
Control site location and transcriptional regulation in Escherichia coli.大肠杆菌中的控制位点定位与转录调控
Microbiol Rev. 1991 Sep;55(3):371-94. doi: 10.1128/mr.55.3.371-394.1991.
8
D-Xylose (D-glucose) isomerase from Arthrobacter strain N.R.R.L. B3728. Gene cloning, sequence and expression.来自节杆菌菌株N.R.R.L. B3728的D-木糖(D-葡萄糖)异构酶。基因克隆、序列及表达。
Biochem J. 1991 Jul 1;277 ( Pt 1)(Pt 1):263-71. doi: 10.1042/bj2770263.
9
Three adjacent binding sites for cAMP receptor protein are involved in the activation of the divergent malEp-malKp promoters.三个相邻的环磷酸腺苷受体蛋白结合位点参与了双向的malEp-malKp启动子的激活。
Proc Natl Acad Sci U S A. 1991 Jan 1;88(1):229-33. doi: 10.1073/pnas.88.1.229.
10
Anaerobic control of colicin E1 production.大肠杆菌素E1产生的厌氧控制
J Bacteriol. 1992 Aug;174(15):5101-9. doi: 10.1128/jb.174.15.5101-5109.1992.
J Bacteriol. 1982 Jun;150(3):1479-81. doi: 10.1128/jb.150.3.1479-1481.1982.
4
The catabolite-sensitive promoter for the chloramphenicol acetyl transferase gene is preceded by two binding sites for the catabolite gene activator protein.氯霉素乙酰转移酶基因的分解代谢物敏感型启动子之前有两个分解代谢物基因激活蛋白的结合位点。
J Bacteriol. 1982 Apr;150(1):312-8. doi: 10.1128/jb.150.1.312-318.1982.
5
Cyclic AMP receptor protein: role in transcription activation.环磷酸腺苷受体蛋白:在转录激活中的作用。
Science. 1984 May 25;224(4651):831-8. doi: 10.1126/science.6372090.
6
Mutagenesis and inducible responses to deoxyribonucleic acid damage in Escherichia coli.大肠杆菌中的诱变作用及对脱氧核糖核酸损伤的诱导反应
Microbiol Rev. 1984 Mar;48(1):60-93. doi: 10.1128/mr.48.1.60-93.1984.
7
LexA protein is a repressor of the colicin E1 gene.LexA蛋白是大肠杆菌素E1基因的阻遏物。
J Biol Chem. 1983 Nov 10;258(21):13258-61.
8
Tandem CRP binding sites in the deo operon of Escherichia coli K-12.大肠杆菌K-12的deo操纵子中的串联CRP结合位点。
EMBO J. 1982;1(9):1049-54. doi: 10.1002/j.1460-2075.1982.tb01295.x.
9
Transcription analysis of the lexA gene of Escherichia coli: attenuation and cotranscription with the neighboring region.大肠杆菌lexA基因的转录分析:衰减作用及与相邻区域的共转录
Nucleic Acids Res. 1984 Jan 25;12(2):1203-17.
10
Plasmid-encoded regulation of colicin E1 gene expression.质粒编码对大肠杆菌素E1基因表达的调控。
J Bacteriol. 1983 Nov;156(2):487-92. doi: 10.1128/jb.156.2.487-492.1983.