• 文献检索
  • 文档翻译
  • 深度研究
  • 学术资讯
  • Suppr Zotero 插件Zotero 插件
  • 邀请有礼
  • 套餐&价格
  • 历史记录
应用&插件
Suppr Zotero 插件Zotero 插件浏览器插件Mac 客户端Windows 客户端微信小程序
定价
高级版会员购买积分包购买API积分包
服务
文献检索文档翻译深度研究API 文档MCP 服务
关于我们
关于 Suppr公司介绍联系我们用户协议隐私条款
关注我们

Suppr 超能文献

核心技术专利:CN118964589B侵权必究
粤ICP备2023148730 号-1Suppr @ 2026

文献检索

告别复杂PubMed语法,用中文像聊天一样搜索,搜遍4000万医学文献。AI智能推荐,让科研检索更轻松。

立即免费搜索

文件翻译

保留排版,准确专业,支持PDF/Word/PPT等文件格式,支持 12+语言互译。

免费翻译文档

深度研究

AI帮你快速写综述,25分钟生成高质量综述,智能提取关键信息,辅助科研写作。

立即免费体验

一例罕见的巨大细胞肺癌经肺静脉向心腔内蔓延并形成血栓的病例。

A rare case of giant cell lung carcinoma with intracardiac extension via the pulmonary vein and thrombus formation.

作者信息

Leivaditis Vasileios, Koletsis Efstatios, Spiliotopoulos Konstantinos, Grapatsas Konstantinos, Tzelepi Vasiliki, Dougenis Dimitrios

机构信息

Department of Cardiothoracic and Vascular Surgery, Westpfalz-Klinikum, Kaiserslautern, Germany.

Department of Cardiothoracic Surgery, University Hospital of Patras, Patras, Greece.

出版信息

J Surg Case Rep. 2018 Jun 25;2018(6):rjy144. doi: 10.1093/jscr/rjy144. eCollection 2018 Jun.

DOI:10.1093/jscr/rjy144
PMID:29977517
原文链接:https://pmc.ncbi.nlm.nih.gov/articles/PMC6016651/
Abstract

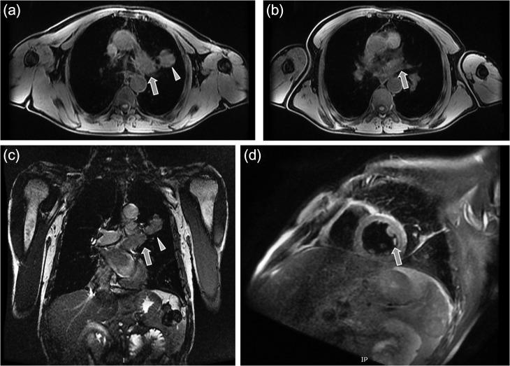
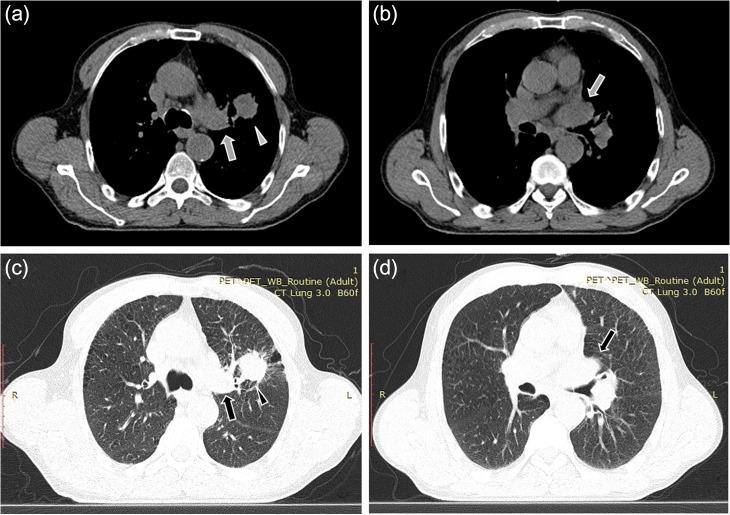
A 61-year-old man presented with dyspnea, left thoracic pain and productive cough. Chest computed tomography demonstrated a solid mass of the left upper lobe, 2.9 × 1.8 cm in size, which had irregular borders and appeared to infiltrate and totally occlude the upper left pulmonary vein extending up to the left atrium (LA) with thrombus formation. The patient underwent median sternotomy and left pneumonectomy, combined with LA thrombus resection under cardiopulmonary bypass (CPB) with bicaval cannulation. The LA was partially resected and the intracavitary thrombus was completely removed. The surgical margins were free of tumor cells. Episodes of embolism were not observed during surgery. The patient was successfully weaned from CPB. The postoperative course was uncomplicated. Pathological examination of the resected specimen revealed giant cell carcinoma.

摘要

一名61岁男性患者出现呼吸困难、左胸痛和咳痰。胸部计算机断层扫描显示左肺上叶有一个实性肿块,大小为2.9×1.8厘米,边界不规则,似乎浸润并完全阻塞了左上肺静脉,血栓形成一直延伸至左心房(LA)。患者接受了正中胸骨切开术和左肺切除术,并在体外循环(CPB)双腔插管下联合进行左心房血栓切除术。左心房部分切除,腔内血栓完全清除。手术切缘无肿瘤细胞。手术期间未观察到栓塞事件。患者成功脱离体外循环。术后过程无并发症。切除标本的病理检查显示为巨细胞癌。

https://cdn.ncbi.nlm.nih.gov/pmc/blobs/8eea/6016651/5299d1a40852/rjy144f06.jpg
https://cdn.ncbi.nlm.nih.gov/pmc/blobs/8eea/6016651/67032e8326a9/rjy144f01.jpg
https://cdn.ncbi.nlm.nih.gov/pmc/blobs/8eea/6016651/c668a70f8fa5/rjy144f02.jpg
https://cdn.ncbi.nlm.nih.gov/pmc/blobs/8eea/6016651/ef85ac4d57b7/rjy144f03.jpg
https://cdn.ncbi.nlm.nih.gov/pmc/blobs/8eea/6016651/fc32cc167205/rjy144f04.jpg
https://cdn.ncbi.nlm.nih.gov/pmc/blobs/8eea/6016651/5dffd03aef25/rjy144f05.jpg
https://cdn.ncbi.nlm.nih.gov/pmc/blobs/8eea/6016651/5299d1a40852/rjy144f06.jpg
https://cdn.ncbi.nlm.nih.gov/pmc/blobs/8eea/6016651/67032e8326a9/rjy144f01.jpg
https://cdn.ncbi.nlm.nih.gov/pmc/blobs/8eea/6016651/c668a70f8fa5/rjy144f02.jpg
https://cdn.ncbi.nlm.nih.gov/pmc/blobs/8eea/6016651/ef85ac4d57b7/rjy144f03.jpg
https://cdn.ncbi.nlm.nih.gov/pmc/blobs/8eea/6016651/fc32cc167205/rjy144f04.jpg
https://cdn.ncbi.nlm.nih.gov/pmc/blobs/8eea/6016651/5dffd03aef25/rjy144f05.jpg
https://cdn.ncbi.nlm.nih.gov/pmc/blobs/8eea/6016651/5299d1a40852/rjy144f06.jpg

相似文献

1
A rare case of giant cell lung carcinoma with intracardiac extension via the pulmonary vein and thrombus formation.一例罕见的巨大细胞肺癌经肺静脉向心腔内蔓延并形成血栓的病例。
J Surg Case Rep. 2018 Jun 25;2018(6):rjy144. doi: 10.1093/jscr/rjy144. eCollection 2018 Jun.
2
Advanced lung cancer invading the left atrium, treated with pneumonectomy combined with left atrium resection under cardiopulmonary bypass.晚期肺癌侵犯左心房,在体外循环下进行肺切除术联合左心房切除术治疗。
Ann Thorac Cardiovasc Surg. 2010 Aug;16(4):286-90.
3
[A successful removal of T4 lung cancer with its left atrial extension using cardiopulmonary bypass].[采用体外循环成功切除伴有左心房侵犯的T4期肺癌]
Kyobu Geka. 1997 Feb;50(2):110-3.
4
Surgical resection of recurrent extrahepatic hepatocellular carcinoma with tumor thrombus extending into the right atrium under cardiopulmonary bypass: a case report and review of the literature.体外循环下手术切除复发性肝外肝细胞癌伴肿瘤血栓延伸至右心房:1例病例报告并文献复习
Surg Case Rep. 2016 Dec;2(1):110. doi: 10.1186/s40792-016-0241-7. Epub 2016 Oct 11.
5
Complete resection of primary pulmonary malignancy extending into the left atrium via the left pulmonary vein using cardiopulmonary bypass and single incision: A case series.通过体外循环和单一切口,使用经左肺静脉入路完整切除延伸至左心房的原发性肺部恶性肿瘤:病例系列研究。
Thorac Cancer. 2019 May;10(5):1260-1262. doi: 10.1111/1759-7714.13028. Epub 2019 Mar 27.
6
An Atypically Large, Free-Floating Thrombus Extending From the Lung to the Left Atrium via a Pulmonary Vein: A Case Report.一例经肺静脉从肺延伸至左心房的非典型巨大游离血栓:病例报告
Medicine (Baltimore). 2015 Nov;94(46):e1853. doi: 10.1097/MD.0000000000001853.
7
[The combined resection of left atrium for advanced lung cancer on cardiopulmonary bypass: a case report].[体外循环下晚期肺癌左心房联合切除术:一例报告]
Kyobu Geka. 1996 Aug;49(9):738-41.
8
Report of a lung carcinoma extended to the left atrium through pulmonary vein.一例经肺静脉延伸至左心房的肺癌报告。
J Thorac Dis. 2018 Jan;10(1):E46-E51. doi: 10.21037/jtd.2017.12.33.
9
[Surgical Removal of Left Atrial Thrombus Originating from the Left Upper Pulmonary Vein Stump after Left Upper Lobectomy;Report of a Case].[左上肺叶切除术后源于左上肺静脉残端的左心房血栓的手术切除;病例报告]
Kyobu Geka. 2018 Jun;71(6):455-458.
10
Dyspnea after discharge from hospital due to pulmonary vein thrombosis after video-assisted left upper lobectomy: a case report.电视辅助左肺上叶切除术后因肺静脉血栓形成出院后出现呼吸困难:一例报告
JA Clin Rep. 2022 Sep 30;8(1):76. doi: 10.1186/s40981-022-00567-8.

引用本文的文献

1
Pulmonary vein thrombosis associated with metastatic uterine leiomyosarcoma: a case report.肺静脉血栓形成与转移性子宫平滑肌肉瘤相关:一例报告。
J Med Case Rep. 2023 Jan 12;17(1):11. doi: 10.1186/s13256-022-03719-7.
2
Pulmonary Vein Tumor Thrombus With Intracardiac Extension Secondary to Poorly Differentiated Bronchogenic Carcinoma.低分化支气管源性癌继发肺静脉肿瘤血栓并心内延伸
Cureus. 2020 May 25;12(5):e8278. doi: 10.7759/cureus.8278.

本文引用的文献

1
Tumors metastatic to the heart.转移性心脏肿瘤。
Circulation. 2013 Oct 15;128(16):1790-4. doi: 10.1161/CIRCULATIONAHA.112.000790.
2
Lung adenocarcinoma with peculiar growth to the pulmonary artery and thrombus formation: report of a case.肺腺癌伴肺动脉特殊生长及血栓形成:病例报告。
World J Surg Oncol. 2012 Jan 21;10:16. doi: 10.1186/1477-7819-10-16.
3
Pulmonary artery intimal sarcoma masquerading as pulmonary embolism.伪装成肺栓塞的肺动脉内膜肉瘤。
Circulation. 2011 Sep 6;124(10):1180-1. doi: 10.1161/CIRCULATIONAHA.111.026807.
4
Advanced lung cancer invading the left atrium, treated with pneumonectomy combined with left atrium resection under cardiopulmonary bypass.晚期肺癌侵犯左心房,在体外循环下进行肺切除术联合左心房切除术治疗。
Ann Thorac Cardiovasc Surg. 2010 Aug;16(4):286-90.
5
Deep hypothermia and circulatory arrest in the surgical management of renal tumors with cavoatrial extension.深低温停循环在伴有腔房延伸的肾肿瘤外科治疗中的应用
J Card Surg. 2009 Nov-Dec;24(6):617-23. doi: 10.1111/j.1540-8191.2009.00887.x. Epub 2009 Sep 2.
6
Giant intracardiac neoplasic thrombus of a large cell neuroendocrine carcinoma of the lung.肺大细胞神经内分泌癌巨大心内赘生物性血栓。
Cardiovasc Pathol. 2010 May-Jun;19(3):e85-7. doi: 10.1016/j.carpath.2008.10.010. Epub 2009 Jan 14.
7
Intracardiac extension of lung cancer via the pulmonary vein.肺癌经肺静脉的心脏内扩展
Thorax. 2008 Dec;63(12):1122. doi: 10.1136/thx.2007.090373.
8
Lung carcinoma with polypoid growth in the main pulmonary artery: report of two cases.
Jpn J Clin Oncol. 2000 Aug;30(8):358-61. doi: 10.1093/jjco/hyd088.
9
Successful management of intracardiac extension of tumor thrombus in a patient with advanced nonseminomatous germ cell testicular cancer.晚期非精原细胞性生殖细胞睾丸癌患者心脏内肿瘤血栓扩展的成功管理。
Urology. 1995 Dec;46(6):883-7. doi: 10.1016/s0090-4295(99)80366-5.
10
Unusual extension of lung cancer into the left atrium via the pulmonary vein.肺癌经肺静脉罕见地延伸至左心房。
Int Surg. 1990 Jan-Mar;75(1):22-6.