Kim Min-Ji, Upadhyaya Jitendra, Yoon Min-Sun, Ryu Nam Soo, Song Young Eun, Park Hee-Won, Kim Young-Hoi, Kim Myung-Kon
Department of Food Science and Technology, Chonbuk National University, Jeonju, Republic of Korea.
Department of Food Science and Biotechnology, Chonbuk National University, Iksan, Republic of Korea.
J Ginseng Res. 2018 Oct;42(4):504-511. doi: 10.1016/j.jgr.2017.07.001. Epub 2017 Jul 8.
The biological activities of ginseng saponins (ginsenosides) are associated with type, number, and position of sugar moieties linked to aglycone skeletons. Deglycosylated minor ginsenosides are known to be more biologically active than major ginsenosides. Accordingly, the deglycosylation of major ginsenosides can provide the multibioactive effects of ginsenosides. The purpose of this study was to transform ginsenoside Rb2, one of the protopanaxadiol-type major ginsenosides, into minor ginsenosides using β-glycosidase (BG-1) purified from mycelium.
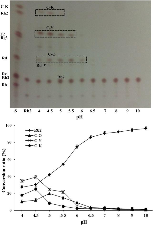
Ginsenoside Rb2 was hydrolyzed by using BG-1; the hydrolytic properties of Rb2 by BG-1 were also characterized. In addition, the influence of reaction conditions such as reaction time, pH, and temperature, and transformation pathways of Rb2, Rd, F2, compound O (C-O), and C-Y by treatment with BG-1 were investigated.
BG-1 first hydrolyzes 3--outer β-d-glucoside of Rb2, then 3--β-d-glucoside of C-O into C-Y. C-Y was gradually converted into C-K with a prolonged reaction time, but the pathway of Rb2 → Rd → F2 → C-K was not observed. The optimum reaction conditions for C-Y and C-K formation from Rb2 by BG-1 were pH 4.0-4.5, temperature 45-60°C, and reaction time 72-96 h.
β-Glycosidase purified from mycelium can be efficiently used to transform Rb2 into C-Y and C-K. To our best knowledge, this is the first result of transformation from Rb2 into C-Y and C-K by basidiomycete mushroom enzyme.
人参皂苷(ginsenosides)的生物活性与连接在苷元骨架上的糖部分的类型、数量和位置相关。已知去糖基化的次要人参皂苷比主要人参皂苷具有更高的生物活性。因此,主要人参皂苷的去糖基化可以提供人参皂苷的多种生物活性作用。本研究的目的是使用从菌丝体中纯化的β-糖苷酶(BG-1)将原人参二醇型主要人参皂苷之一的人参皂苷Rb2转化为次要人参皂苷。
使用BG-1水解人参皂苷Rb2;还对BG-1对Rb2的水解特性进行了表征。此外,研究了反应时间、pH和温度等反应条件的影响,以及用BG-1处理后Rb2、Rd、F2、化合物O(C-O)和C-Y的转化途径。
BG-1首先水解Rb2的3-O-外-β-D-葡萄糖苷,然后将C-O的3-O-β-D-葡萄糖苷水解为C-Y。随着反应时间延长,C-Y逐渐转化为C-K,但未观察到Rb2→Rd→F2→C-K的途径。BG-1从Rb2形成C-Y和C-K的最佳反应条件为pH 4.0 - 4.5、温度45 - 60°C和反应时间72 - 96小时。
从菌丝体中纯化的β-糖苷酶可有效地用于将Rb2转化为C-Y和C-K。据我们所知,这是担子菌蘑菇酶将Rb2转化为C-Y和C-K的首个结果。