• 文献检索
  • 文档翻译
  • 深度研究
  • 学术资讯
  • Suppr Zotero 插件Zotero 插件
  • 邀请有礼
  • 套餐&价格
  • 历史记录
应用&插件
Suppr Zotero 插件Zotero 插件浏览器插件Mac 客户端Windows 客户端微信小程序
定价
高级版会员购买积分包购买API积分包
服务
文献检索文档翻译深度研究API 文档MCP 服务
关于我们
关于 Suppr公司介绍联系我们用户协议隐私条款
关注我们

Suppr 超能文献

核心技术专利:CN118964589B侵权必究
粤ICP备2023148730 号-1Suppr @ 2026

文献检索

告别复杂PubMed语法,用中文像聊天一样搜索,搜遍4000万医学文献。AI智能推荐,让科研检索更轻松。

立即免费搜索

文件翻译

保留排版,准确专业,支持PDF/Word/PPT等文件格式,支持 12+语言互译。

免费翻译文档

深度研究

AI帮你快速写综述,25分钟生成高质量综述,智能提取关键信息,辅助科研写作。

立即免费体验

用于长期活体血管成像的阴离子型长循环量子点

Anionic Long-Circulating Quantum Dots for Long-Term Intravital Vascular Imaging.

作者信息

Wang Haolu, Yang Haotian, Xu Zhi Ping, Liu Xin, Roberts Michael S, Liang Xiaowen

机构信息

Therapeutics Research Group, The University of Queensland Diamantina Institute, The University of Queensland, Translational Research Institute, Brisbane, QLD 4102, Australia.

Australian Institute for Bioengineering and Nanotechnology, The University of Queensland, St Lucia, Brisbane, QLD 4072, Australia.

出版信息

Pharmaceutics. 2018 Nov 20;10(4):244. doi: 10.3390/pharmaceutics10040244.

DOI:10.3390/pharmaceutics10040244
PMID:30463341
原文链接:https://pmc.ncbi.nlm.nih.gov/articles/PMC6321227/
Abstract

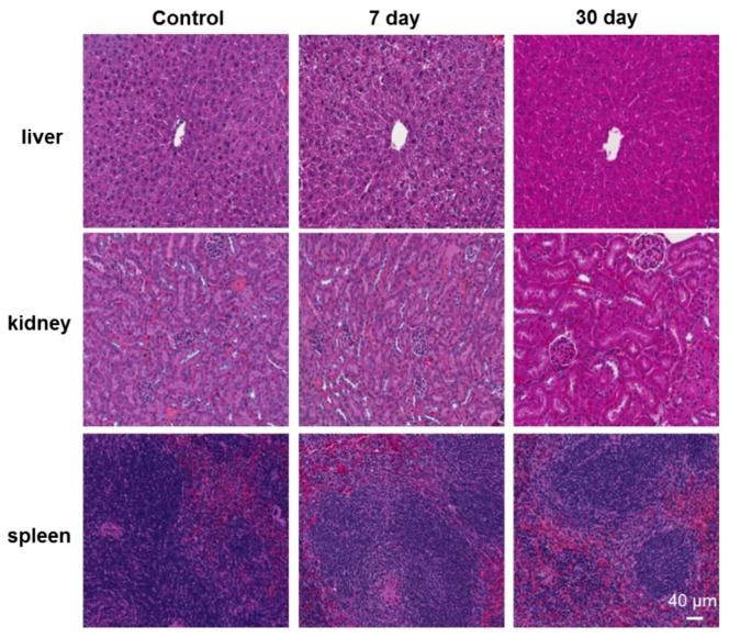
A major impediment to the long-term in vivo vascular imaging is a lack of suitable probes and contrast agents. Our developed mercaptosuccinic acid (MSA) capped cadmium telluride/cadmium sulfide (CdTe/CdS) ultrasmall quantum dots (QDs) have high fluorescent quantum yield, long fluorescence lifetime and long half-life in blood, allowing high resolution long-term intravital vascular imaging. In this study, we showed that these QDs can be used to visualize the in vivo the vasculature in normal and cancerous livers in mice using multiphoton microscopy (MPM) coupled with fluorescence lifetime imaging (FLIM), with cellular resolution (~1 µm) up to 36 h after intravenous injection. Compared to highly regulated and controlled sinusoids in normal liver tissue, disordered, tortuous, and immature neovessels were observed in tumors. The utilized imaging methods have great potential as emerging tools in diagnosis and monitoring of treatment response in cancer.

摘要

长期进行体内血管成像的一个主要障碍是缺乏合适的探针和造影剂。我们研发的巯基琥珀酸(MSA)包覆的碲化镉/硫化镉(CdTe/CdS)超小量子点(QDs)具有高荧光量子产率、长荧光寿命和在血液中的长半衰期,可实现高分辨率的长期活体血管成像。在本研究中,我们表明,这些量子点可用于通过多光子显微镜(MPM)结合荧光寿命成像(FLIM),在小鼠体内可视化正常肝脏和癌性肝脏中的脉管系统,静脉注射后长达36小时内具有细胞分辨率(约1 µm)。与正常肝组织中高度规则且受控的窦状隙相比,肿瘤中观察到无序、迂曲和不成熟的新生血管。所采用的成像方法作为癌症诊断和治疗反应监测的新兴工具具有巨大潜力。

https://cdn.ncbi.nlm.nih.gov/pmc/blobs/520d/6321227/5f3faa8dacfa/pharmaceutics-10-00244-g005.jpg
https://cdn.ncbi.nlm.nih.gov/pmc/blobs/520d/6321227/1f0436eef1bc/pharmaceutics-10-00244-g002.jpg
https://cdn.ncbi.nlm.nih.gov/pmc/blobs/520d/6321227/403d933201f4/pharmaceutics-10-00244-g003.jpg
https://cdn.ncbi.nlm.nih.gov/pmc/blobs/520d/6321227/5f3faa8dacfa/pharmaceutics-10-00244-g005.jpg
https://cdn.ncbi.nlm.nih.gov/pmc/blobs/520d/6321227/1f0436eef1bc/pharmaceutics-10-00244-g002.jpg
https://cdn.ncbi.nlm.nih.gov/pmc/blobs/520d/6321227/403d933201f4/pharmaceutics-10-00244-g003.jpg
https://cdn.ncbi.nlm.nih.gov/pmc/blobs/520d/6321227/5f3faa8dacfa/pharmaceutics-10-00244-g005.jpg

相似文献

1
Anionic Long-Circulating Quantum Dots for Long-Term Intravital Vascular Imaging.用于长期活体血管成像的阴离子型长循环量子点
Pharmaceutics. 2018 Nov 20;10(4):244. doi: 10.3390/pharmaceutics10040244.
2
Intravital multiphoton imaging of the selective uptake of water-dispersible quantum dots into sinusoidal liver cells.活体多光子成像观察水散量子点被选择性摄入肝窦细胞
Small. 2015 Apr 8;11(14):1711-20. doi: 10.1002/smll.201402698. Epub 2014 Dec 15.
3
One-pot preparation of highly fluorescent cadmium telluride/cadmium sulfide quantum dots under neutral-pH condition for biological applications.在中性 pH 条件下一锅法制备具有高荧光性能的碲化镉/硫化镉量子点用于生物应用。
J Colloid Interface Sci. 2013 Jan 15;390(1):3-10. doi: 10.1016/j.jcis.2012.08.003. Epub 2012 Oct 2.
4
Cancer Cell Targeting Using Folic Acid/Anti-HER2 Antibody Conjugated Fluorescent CdSe/CdS/ZnS-MPA and CdTe-MSA Quantum Dots.使用叶酸/抗HER2抗体偶联的荧光CdSe/CdS/ZnS-MPA和CdTe-MSA量子点靶向癌细胞
J Nanosci Nanotechnol. 2015 Dec;15(12):9382-95. doi: 10.1166/jnn.2015.10767.
5
Cancer Cell Targeting Using Folic Acid/Anti-HER2 Antibody Conjugated Fluorescent CdSe/CdS/ZnS-Mercaptopropionic Acid and CdTe-Mercaptosuccinic Acid Quantum Dots.使用叶酸/抗HER2抗体偶联的荧光CdSe/CdS/ZnS-巯基丙酸和CdTe-巯基琥珀酸量子点靶向癌细胞
J Nanosci Nanotechnol. 2016 Jan;16(1):130-43. doi: 10.1166/jnn.2016.10825.
6
Application of mercaptosuccinic acid capped CdTe quantum dots for latent fingermark development.巯基琥珀酸修饰的碲化镉量子点在潜伏指纹显现中的应用。
Forensic Sci Int. 2013 Sep 10;231(1-3):125-30. doi: 10.1016/j.forsciint.2013.04.027. Epub 2013 May 16.
7
Fluorescent cadmium telluride quantum dots embedded chitosan nanoparticles: a stable, biocompatible preparation for bio-imaging.嵌入壳聚糖纳米颗粒的荧光碲化镉量子点:一种用于生物成像的稳定、生物相容性制剂。
J Biomater Sci Polym Ed. 2015;26(1):42-56. doi: 10.1080/09205063.2014.982240. Epub 2014 Nov 20.
8
Structural effects and nanoparticle size are essential for quantum dots-metallothionein complex formation.结构效应和纳米颗粒大小对量子点-金属硫蛋白复合物的形成至关重要。
Colloids Surf B Biointerfaces. 2015 Oct 1;134:262-72. doi: 10.1016/j.colsurfb.2015.06.045. Epub 2015 Jun 26.
9
Kinetic analysis of human metallothionein and CdTe quantum dot complexes using fluorescence and voltammetry techniques.利用荧光和伏安技术对人金属硫蛋白与 CdTe 量子点复合物的动力学分析。
Colloids Surf B Biointerfaces. 2017 Dec 1;160:381-389. doi: 10.1016/j.colsurfb.2017.09.033. Epub 2017 Sep 14.
10
Cathodic stripping synthesis and cytotoxity studies of glutathione-capped CdTe quantum dots.谷胱甘肽包覆的碲化镉量子点的阴极溶出伏安法合成及细胞毒性研究
J Nanosci Nanotechnol. 2011 Aug;11(8):6710-7. doi: 10.1166/jnn.2011.4243.

引用本文的文献

1
A Review of in vivo Toxicity of Quantum Dots in Animal Models.量子点在动物模型体内毒性的综述。
Int J Nanomedicine. 2023 Dec 29;18:8143-8168. doi: 10.2147/IJN.S434842. eCollection 2023.
2
Point-of-Care for Evaluating Antimicrobial Resistance through the Adoption of Functional Materials.通过采用功能材料进行抗菌药物耐药性评估的床旁检测
Anal Chem. 2022 Jan 11;94(1):26-40. doi: 10.1021/acs.analchem.1c03856. Epub 2021 Nov 22.
3
Photoluminescent Nanomaterials for Medical Biotechnology.用于医学生物技术的光致发光纳米材料

本文引用的文献

1
Visualization and Modeling of the In Vivo Distribution of Mesenchymal Stem Cells.间充质干细胞体内分布的可视化与建模
Curr Protoc Stem Cell Biol. 2017 Nov 15;43:2B.8.1-2B.8.17. doi: 10.1002/cpsc.39.
2
Physiologically Based Pharmacokinetic Model for Long-Circulating Inorganic Nanoparticles.长循环无机纳米颗粒的生理药代动力学模型
Nano Lett. 2016 Feb 10;16(2):939-45. doi: 10.1021/acs.nanolett.5b03854. Epub 2016 Jan 21.
3
Short- and Long-Term Tracking of Anionic Ultrasmall Nanoparticles in Kidney.肾脏中阴离子超小纳米颗粒的短期和长期跟踪。
Acta Naturae. 2021 Apr-Jun;13(2):16-31. doi: 10.32607/actanaturae.11180.
4
FLIM as a Promising Tool for Cancer Diagnosis and Treatment Monitoring.荧光寿命成像显微镜作为癌症诊断和治疗监测的一种有前景的工具。
Nanomicro Lett. 2021 Jun 3;13(1):133. doi: 10.1007/s40820-021-00653-z.
5
Actually Seeing What Is Going on - Intravital Microscopy in Tissue Engineering.实际观察正在发生的情况——组织工程中的活体显微镜检查
Front Bioeng Biotechnol. 2021 Feb 17;9:627462. doi: 10.3389/fbioe.2021.627462. eCollection 2021.
6
Cellular Plasticity during Metastasis: New Insights Provided by Intravital Microscopy.肿瘤转移过程中的细胞可塑性:活体显微镜提供的新见解。
Cold Spring Harb Perspect Med. 2020 Nov 2;10(11):a037267. doi: 10.1101/cshperspect.a037267.
ACS Nano. 2016 Jan 26;10(1):387-95. doi: 10.1021/acsnano.5b05066. Epub 2016 Jan 13.
4
Real-time histology in liver disease using multiphoton microscopy with fluorescence lifetime imaging.利用多光子显微镜和荧光寿命成像技术进行肝脏疾病的实时组织学研究。
Biomed Opt Express. 2015 Feb 10;6(3):780-92. doi: 10.1364/BOE.6.000780. eCollection 2015 Mar 1.
5
Intravital multiphoton imaging of the selective uptake of water-dispersible quantum dots into sinusoidal liver cells.活体多光子成像观察水散量子点被选择性摄入肝窦细胞
Small. 2015 Apr 8;11(14):1711-20. doi: 10.1002/smll.201402698. Epub 2014 Dec 15.
6
Semiconductor quantum dots for bioimaging and biodiagnostic applications.半导体量子点在生物成像和生物诊断应用中的研究进展。
Annu Rev Anal Chem (Palo Alto Calif). 2013;6(1):143-62. doi: 10.1146/annurev-anchem-060908-155136. Epub 2013 Mar 20.
7
One-pot preparation of highly fluorescent cadmium telluride/cadmium sulfide quantum dots under neutral-pH condition for biological applications.在中性 pH 条件下一锅法制备具有高荧光性能的碲化镉/硫化镉量子点用于生物应用。
J Colloid Interface Sci. 2013 Jan 15;390(1):3-10. doi: 10.1016/j.jcis.2012.08.003. Epub 2012 Oct 2.
8
Multiphoton microscopy can visualize zonal damage and decreased cellular metabolic activity in hepatic ischemia-reperfusion injury in rats.多光子显微镜可用于观察大鼠肝缺血再灌注损伤中区域性损伤和细胞代谢活性降低。
J Biomed Opt. 2011 Nov;16(11):116011. doi: 10.1117/1.3647597.
9
Inorganic nanomaterials for tumor angiogenesis imaging.用于肿瘤血管生成成像的无机纳米材料。
Eur J Nucl Med Mol Imaging. 2010 Aug;37 Suppl 1:S147-63. doi: 10.1007/s00259-010-1452-y.
10
Two-photon microscopy of deep intravital tissues and its merits in clinical research.双光子显微镜在深层活体组织中的应用及其在临床研究中的优势。
J Microsc. 2010 Apr 1;238(1):1-20. doi: 10.1111/j.1365-2818.2009.03330.x.