Suppr超能文献

膜染色质接触的解离对于有丝分裂中染色体的正确分离是必需的。

Dissociation of membrane-chromatin contacts is required for proper chromosome segregation in mitosis.

机构信息

Department of Biology, Institute of Biochemistry, ETH Zurich, CH-8093 Zurich, Switzerland.

出版信息

Mol Biol Cell. 2019 Feb 15;30(4):427-440. doi: 10.1091/mbc.E18-10-0609. Epub 2018 Dec 26.

Abstract

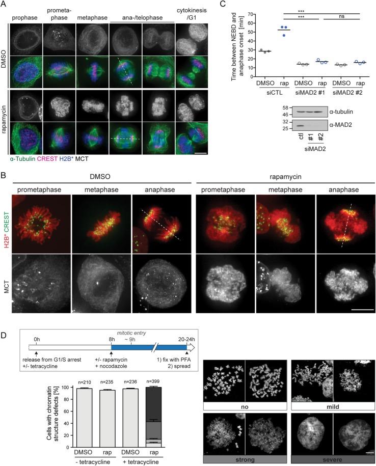
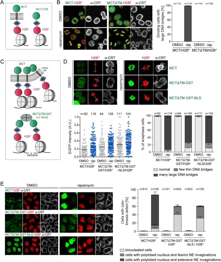
The nuclear envelope (NE) aids in organizing the interphase genome by tethering chromatin to the nuclear periphery. During mitotic entry, NE-chromatin contacts are broken. Here, we report on the consequences of impaired NE removal from chromatin for cell division of human cells. Using a membrane-chromatin tether that cannot be dissociated when cells enter mitosis, we show that a failure in breaking membrane-chromatin interactions impairs mitotic chromatin organization, chromosome segregation and cytokinesis, and induces an aberrant NE morphology in postmitotic cells. In contrast, chromosome segregation and cell division proceed successfully when membrane attachment to chromatin is induced during metaphase, after chromosomes have been singularized and aligned at the metaphase plate. These results indicate that the separation of membranes and chromatin is critical during prometaphase to allow for proper chromosome compaction and segregation. We propose that one cause of these defects is the multivalency of membrane-chromatin interactions.

摘要

核膜(NE)通过将染色质固定在核周缘来帮助组织有丝分裂间期的基因组。在有丝分裂进入时,NE-染色质接触被打破。在这里,我们报告了染色质从核膜上脱落后对人类细胞有丝分裂的影响。我们使用一种不能在细胞进入有丝分裂时解离的膜-染色质连接物,表明膜-染色质相互作用的破坏会损害有丝分裂染色质的组织、染色体分离和胞质分裂,并在有丝分裂后细胞中诱导异常的核膜形态。相比之下,当在中期诱导染色质与膜的附着时,即在染色体已经在中期板上单一化和排列之后,染色体分离和细胞分裂会成功进行。这些结果表明,在前期,膜和染色质的分离对于适当的染色体浓缩和分离是至关重要的。我们提出,这些缺陷的一个原因是膜-染色质相互作用的多价性。

https://cdn.ncbi.nlm.nih.gov/pmc/blobs/7288/6594442/fcf74cc7cf15/mbc-30-427-g001.jpg

文献AI研究员

20分钟写一篇综述,助力文献阅读效率提升50倍。

立即体验

用中文搜PubMed

大模型驱动的PubMed中文搜索引擎

马上搜索

文档翻译

学术文献翻译模型,支持多种主流文档格式。

立即体验