• 文献检索
  • 文档翻译
  • 深度研究
  • 学术资讯
  • Suppr Zotero 插件Zotero 插件
  • 邀请有礼
  • 套餐&价格
  • 历史记录
应用&插件
Suppr Zotero 插件Zotero 插件浏览器插件Mac 客户端Windows 客户端微信小程序
定价
高级版会员购买积分包购买API积分包
服务
文献检索文档翻译深度研究API 文档MCP 服务
关于我们
关于 Suppr公司介绍联系我们用户协议隐私条款
关注我们

Suppr 超能文献

核心技术专利:CN118964589B侵权必究
粤ICP备2023148730 号-1Suppr @ 2026

文献检索

告别复杂PubMed语法,用中文像聊天一样搜索,搜遍4000万医学文献。AI智能推荐,让科研检索更轻松。

立即免费搜索

文件翻译

保留排版,准确专业,支持PDF/Word/PPT等文件格式,支持 12+语言互译。

免费翻译文档

深度研究

AI帮你快速写综述,25分钟生成高质量综述,智能提取关键信息,辅助科研写作。

立即免费体验

保护链脲佐菌素中毒 Wistar 大鼠的心、肝、肾抗氧化状态。

Protects Cardio-, Hepato-, and Reno-Antioxidant Status in Streptozotocin-Intoxicated Wistar Rats.

机构信息

Centre for Research on Medicinal Plants and Traditional Medicine, Institute of Medical Research and Medicinal Plants Studies, P.O. Box 13033, Yaoundé, Cameroon.

Department of Biochemistry, University of Dschang, P.O. Box 67, Dschang, Cameroon.

出版信息

Biomed Res Int. 2018 Nov 25;2018:4907648. doi: 10.1155/2018/4907648. eCollection 2018.

DOI:10.1155/2018/4907648
PMID:30596093
原文链接:https://pmc.ncbi.nlm.nih.gov/articles/PMC6286743/
Abstract

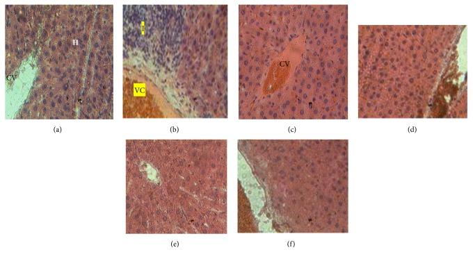
Medicinal plants are efficient modulators of oxidative stress associated with diabetes mellitus. This study evaluated the cardio-, reno-, and hepato-antioxidant status of hydroethanolic extract of on streptozotocin-intoxicated diabetic rats. Experimental animals were daily administered with hydroethanolic extract of by oral intubation for eight weeks (60 days), after which the levels of catalase (CAT), superoxide dismutase (SOD), glutathione (GSH), and lipid peroxidation marker (MDA) were evaluated in the heart, liver, and kidney homogenates. Plasma biochemical parameters such as aspartate aminotransferase (AST), alanine aminotransferase (ALT), alkaline phosphatase (ALP), lactate dehydrogenase (LDH), total protein, creatinine, and urea were determined. Meanwhile, parts of the heart, kidneys, and liver were histopathologically examined. Streptozotocin administration induced toxicity in the cardiac, hepatic, and renal tissues by stimulating significant increases (p<0.05) in the levels of CAT and SOD, GSH, and MDA. Similarly, significant increases (P<0.05) in the levels of ALT, AST, urea, and total protein were observed in streptozotocin treated rats, whereas decreases were observed in the levels of ALP, LDH, and creatinine. Following the treatments with hydroethanolic extract prevented the effect of streptozotocin by maintaining the tissue antioxidant status (CAT, SOD, GSH, and MDA) and the plasma biochemical parameters (AST, ALT, ALP, LDH, creatinine, and urea) towards the normal ranges. The histopathological examination revealed hepatovascular congestion and leucocyte infiltration as well as renovascular congestion, glomerulosclerosis, and tubular clarification in the untreated diabetic control and their absence in the group of animals treated with a high dose of extract. The findings of the present investigation suggest that possesses antioxidant activities capable of regulating drug induced tissue damage.

摘要

药用植物是与糖尿病相关的氧化应激的有效调节剂。本研究评估了水醇提取物对链脲佐菌素中毒糖尿病大鼠的心、肾和肝抗氧化状态。实验动物通过口服插管每天给予水醇提取物 8 周(60 天),然后评估心脏、肝脏和肾脏匀浆中的过氧化氢酶(CAT)、超氧化物歧化酶(SOD)、谷胱甘肽(GSH)和脂质过氧化标志物(MDA)的水平。测定血浆生化参数如天冬氨酸转氨酶(AST)、丙氨酸转氨酶(ALT)、碱性磷酸酶(ALP)、乳酸脱氢酶(LDH)、总蛋白、肌酐和尿素。同时,对心脏、肾脏和肝脏的部分组织进行了组织病理学检查。链脲佐菌素给药通过刺激 CAT 和 SOD、GSH 和 MDA 水平的显著增加(p<0.05)在心脏、肝脏和肾脏组织中引起毒性。同样,在链脲佐菌素处理的大鼠中观察到 ALT、AST、尿素和总蛋白水平的显著增加(P<0.05),而 ALP、LDH 和肌酐水平则下降。用 水醇提取物处理后,通过维持组织抗氧化状态(CAT、SOD、GSH 和 MDA)和血浆生化参数(AST、ALT、ALP、LDH、肌酐和尿素)在正常范围内,防止了链脲佐菌素的作用。组织病理学检查显示未经处理的糖尿病对照组存在肝血管充血和白细胞浸润以及肾血管充血、肾小球硬化和管状澄清,而用高剂量 提取物处理的动物组则不存在这些情况。本研究的结果表明, 具有抗氧化活性,能够调节药物引起的组织损伤。

https://cdn.ncbi.nlm.nih.gov/pmc/blobs/64fe/6286743/bd7606128b00/BMRI2018-4907648.003.jpg
https://cdn.ncbi.nlm.nih.gov/pmc/blobs/64fe/6286743/9d6b417da1f0/BMRI2018-4907648.001.jpg
https://cdn.ncbi.nlm.nih.gov/pmc/blobs/64fe/6286743/28dc0f3c3a9c/BMRI2018-4907648.002.jpg
https://cdn.ncbi.nlm.nih.gov/pmc/blobs/64fe/6286743/bd7606128b00/BMRI2018-4907648.003.jpg
https://cdn.ncbi.nlm.nih.gov/pmc/blobs/64fe/6286743/9d6b417da1f0/BMRI2018-4907648.001.jpg
https://cdn.ncbi.nlm.nih.gov/pmc/blobs/64fe/6286743/28dc0f3c3a9c/BMRI2018-4907648.002.jpg
https://cdn.ncbi.nlm.nih.gov/pmc/blobs/64fe/6286743/bd7606128b00/BMRI2018-4907648.003.jpg

相似文献

1
Protects Cardio-, Hepato-, and Reno-Antioxidant Status in Streptozotocin-Intoxicated Wistar Rats.保护链脲佐菌素中毒 Wistar 大鼠的心、肝、肾抗氧化状态。
Biomed Res Int. 2018 Nov 25;2018:4907648. doi: 10.1155/2018/4907648. eCollection 2018.
2
Influence of ferulic acid consumption in ameliorating the cadmium-induced liver and renal oxidative damage in rats.阿魏酸对改善镉诱导的大鼠肝肾氧化损伤的影响。
Environ Sci Pollut Res Int. 2019 Jul;26(20):20631-20653. doi: 10.1007/s11356-019-05420-7. Epub 2019 May 18.
3
The influence of tobacco smoke exposure on selected markers of oxidative stress, kidneys and liver function in the serum of rats with streptozotocin-induced diabetes.烟草烟雾暴露对链脲佐菌素诱导糖尿病大鼠血清中氧化应激、肾脏和肝功能相关标志物的影响。
Pharmacol Rep. 2019 Dec;71(6):1293-1298. doi: 10.1016/j.pharep.2019.07.012. Epub 2019 Aug 1.
4
Anti-inflammatory and antioxidant activities of Costus afer Ker Gawl. hexane leaf fraction in arthritic rat models.非洲闭鞘姜叶己烷部位在关节炎大鼠模型中的抗炎和抗氧化活性
J Ethnopharmacol. 2014 Aug 8;155(1):543-51. doi: 10.1016/j.jep.2014.05.057. Epub 2014 Jun 6.
5
Oxidative stress, genotoxicity, biochemical and histopathological modifications induced by epoxiconazole in liver and kidney of Wistar rats.环氧康唑对 Wistar 大鼠肝脏和肾脏引起的氧化应激、遗传毒性、生化和组织病理学改变。
Environ Sci Pollut Res Int. 2019 Jun;26(17):17535-17547. doi: 10.1007/s11356-019-05022-3. Epub 2019 Apr 25.
6
Effects of resveratrol on biomarkers of oxidative stress and on the activity of delta aminolevulinic acid dehydratase in liver and kidney of streptozotocin-induced diabetic rats.白藜芦醇对链脲佐菌素诱导的糖尿病大鼠肝脏和肾脏氧化应激生物标志物及δ-氨基乙酰丙酸脱水酶活性的影响。
Biochimie. 2012 Feb;94(2):374-83. doi: 10.1016/j.biochi.2011.08.005. Epub 2011 Aug 16.
7
White butterfly (Clerodendrum volubile) leaf extract protects against carbon tetrachloride-induced hepatotoxicity in rats.白花丹(Clerodendrum volubile)叶提取物可预防四氯化碳诱导的大鼠肝毒性。
Biomed Pharmacother. 2017 Dec;96:924-929. doi: 10.1016/j.biopha.2017.12.005. Epub 2017 Dec 7.
8
Protective effects of Mentha piperita L. leaf essential oil against CCl induced hepatic oxidative damage and renal failure in rats.胡椒薄荷叶精油对 CCl 诱导的大鼠肝氧化损伤和肾衰竭的保护作用。
Lipids Health Dis. 2018 Jan 9;17(1):9. doi: 10.1186/s12944-017-0645-9.
9
Trigonella stellata reduced the deleterious effects of diabetes mellitus through alleviation of oxidative stress, antioxidant- and drug-metabolizing enzymes activities.三叶型苜蓿通过减轻氧化应激、抗氧化和药物代谢酶的活性来降低糖尿病的有害影响。
J Ethnopharmacol. 2020 Jun 28;256:112821. doi: 10.1016/j.jep.2020.112821. Epub 2020 Apr 3.
10
Antioxidant and hepatoprotective activity of Fagonia schweinfurthii (Hadidi) Hadidi extract in carbon tetrachloride induced hepatotoxicity in HepG2 cell line and rats.没药属植物提取物对四氯化碳诱导的 HepG2 细胞和大鼠肝毒性的抗氧化和保肝作用。
J Ethnopharmacol. 2013 Dec 12;150(3):973-81. doi: 10.1016/j.jep.2013.09.048. Epub 2013 Oct 17.

引用本文的文献

1
Vitamin D Supplementation Could Enhance the Effectiveness of Glibenclamide in Treating Diabetes and Preventing Diabetic Nephropathy: A Biochemical, Histological and Immunohistochemical Study.维生素 D 补充剂可能增强格列本脲治疗糖尿病和预防糖尿病肾病的效果:生化、组织学和免疫组织化学研究。
J Evid Based Integr Med. 2022 Jan-Dec;27:2515690X221116403. doi: 10.1177/2515690X221116403.
2
Multi-organ protective effect of on low concentration toxic metal mixture in albino rats.[具体物质]对白化大鼠低浓度有毒金属混合物的多器官保护作用
Int J Physiol Pathophysiol Pharmacol. 2021 Apr 15;13(2):52-68. eCollection 2021.
3
Pectin-Lyase-Modified Ginseng Extract and Ginsenoside Rd Inhibits High Glucose-Induced ROS Production in Mesangial Cells and Prevents Renal Dysfunction in db/db Mice.

本文引用的文献

1
The Protective Effect of Antioxidants Consumption on Diabetes and Vascular Complications.摄入抗氧化剂对糖尿病及血管并发症的保护作用。
Diseases. 2016 Jul 11;4(3):24. doi: 10.3390/diseases4030024.
2
Antioxidant and Antidiabetic Effect of Aqueous Fruit Extract of Passiflora ligularis Juss. on Streptozotocin Induced Diabetic Rats.西番莲果实水提取物对链脲佐菌素诱导的糖尿病大鼠的抗氧化和抗糖尿病作用
Int Sch Res Notices. 2014 Dec 21;2014:130342. doi: 10.1155/2014/130342. eCollection 2014.
3
Costus afer Possesses Carbohydrate Hydrolyzing Enzymes Inhibitory Activity and Antioxidant Capacity In Vitro.
果胶裂解酶修饰的人参提取物和人参皂苷 Rd 抑制高糖诱导的系膜细胞 ROS 产生,并预防 db/db 小鼠的肾功能障碍。
Molecules. 2021 Jan 12;26(2):367. doi: 10.3390/molecules26020367.
4
: A Systematic Review of Evidence-Based Data in support of Its Medicinal Relevance.一项支持其医学相关性的循证数据的系统评价。
Scientifica (Cairo). 2019 Dec 25;2019:3732687. doi: 10.1155/2019/3732687. eCollection 2019.
非洲闭鞘姜具有体外碳水化合物水解酶抑制活性和抗氧化能力。
Evid Based Complement Alternat Med. 2015;2015:987984. doi: 10.1155/2015/987984. Epub 2015 Jul 13.
4
The antidiabetic effect of low doses of Moringa oleifera Lam. seeds on streptozotocin induced diabetes and diabetic nephropathy in male rats.低剂量辣木籽对链脲佐菌素诱导的雄性大鼠糖尿病及糖尿病肾病的抗糖尿病作用。
Biomed Res Int. 2015;2015:381040. doi: 10.1155/2015/381040. Epub 2015 Jan 5.
5
Piper species protect cardiac, hepatic and renal antioxidant status of atherogenic diet fed hamsters.胡椒属植物可保护喂食致动脉粥样化饮食的仓鼠的心脏、肝脏和肾脏的抗氧化状态。
Food Chem. 2012 Oct 1;134(3):1354-9. doi: 10.1016/j.foodchem.2012.03.030. Epub 2012 Mar 23.
6
Review of the mechanism of cell death resulting from streptozotocin challenge in experimental animals, its practical use and potential risk to humans.实验动物中链脲佐菌素攻击导致细胞死亡的机制、其实际应用及对人类的潜在风险综述。
J Diabetes Metab Disord. 2013 Dec 23;12(1):60. doi: 10.1186/2251-6581-12-60.
7
Protective nature of mangiferin on oxidative stress and antioxidant status in tissues of streptozotocin-induced diabetic rats.芒果苷对链脲佐菌素诱导的糖尿病大鼠组织氧化应激和抗氧化状态的保护作用。
ISRN Pharmacol. 2013 Sep 12;2013:750109. doi: 10.1155/2013/750109. eCollection 2013.
8
Ferulsinaic Acid Modulates SOD, GSH, and Antioxidant Enzymes in Diabetic Kidney.阿魏酸调节糖尿病肾病中的 SOD、GSH 和抗氧化酶。
Evid Based Complement Alternat Med. 2012;2012:580104. doi: 10.1155/2012/580104. Epub 2012 Sep 6.
9
The use of animal models in diabetes research.在糖尿病研究中使用动物模型。
Br J Pharmacol. 2012 Jun;166(3):877-94. doi: 10.1111/j.1476-5381.2012.01911.x.
10
Oxidative stress, insulin signaling, and diabetes.氧化应激、胰岛素信号转导与糖尿病。
Free Radic Biol Med. 2011 Mar 1;50(5):567-75. doi: 10.1016/j.freeradbiomed.2010.12.006. Epub 2010 Dec 13.