• 文献检索
  • 文档翻译
  • 深度研究
  • 学术资讯
  • Suppr Zotero 插件Zotero 插件
  • 邀请有礼
  • 套餐&价格
  • 历史记录
应用&插件
Suppr Zotero 插件Zotero 插件浏览器插件Mac 客户端Windows 客户端微信小程序
定价
高级版会员购买积分包购买API积分包
服务
文献检索文档翻译深度研究API 文档MCP 服务
关于我们
关于 Suppr公司介绍联系我们用户协议隐私条款
关注我们

Suppr 超能文献

核心技术专利:CN118964589B侵权必究
粤ICP备2023148730 号-1Suppr @ 2026

文献检索

告别复杂PubMed语法,用中文像聊天一样搜索,搜遍4000万医学文献。AI智能推荐,让科研检索更轻松。

立即免费搜索

文件翻译

保留排版,准确专业,支持PDF/Word/PPT等文件格式,支持 12+语言互译。

免费翻译文档

深度研究

AI帮你快速写综述,25分钟生成高质量综述,智能提取关键信息,辅助科研写作。

立即免费体验

采用骨膜下隧道技术的外侧牙槽嵴增高术:一项初步研究

Lateral alveolar ridge augmentation procedure using subperiosteal tunneling technique: a pilot study.

作者信息

Kakar Ashish, Kakar Kanupriya, Sripathi Rao Bappanadu H, Lindner Annette, Nagursky Heiner, Jain Gaurav, Patney Aditya

机构信息

1Yenepoya University Dental College, University Road, Mangalore, 575018 India.

4Dental Surgery, Indraprastha Apollo Hospitals, New Delhi, India.

出版信息

Maxillofac Plast Reconstr Surg. 2018 Feb 25;40(1):3. doi: 10.1186/s40902-018-0142-8. eCollection 2018 Dec.

DOI:10.1186/s40902-018-0142-8
PMID:30687682
原文链接:https://pmc.ncbi.nlm.nih.gov/articles/PMC6328851/
Abstract

BACKGROUND

In this research article, we evaluate the use of sub-periosteal tunneling (tunnel technique) combined with alloplastic in situ hardening biphasic calcium phosphate (BCP, a compound of β-tricalcium phosphate and hydroxyapatite) bone graft for lateral augmentation of a deficient alveolar ridge.

METHODS

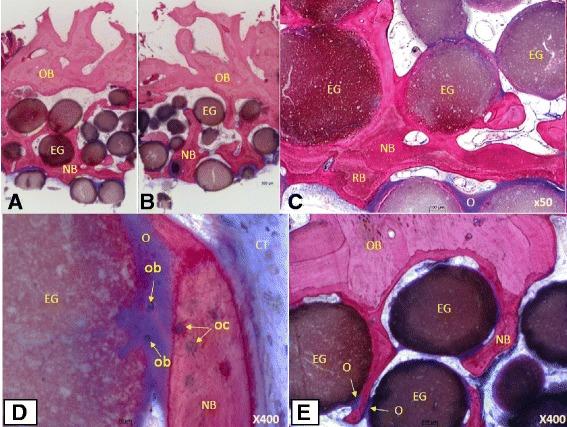
A total of 9 patients with deficient mandibular alveolar ridges were included in the present pilot study. Ten lateral ridge augmentation were carried out using the sub-periosteal tunneling technique, including a bilateral procedure in one patient. The increase in ridge width was assessed using CBCT evaluation of the ridge preoperatively and at 4 months postoperatively. Histological assessment of the quality of bone formation was also carried out with bone cores obtained at the implant placement re-entry in one patient.

RESULTS

The mean bucco-lingual ridge width increased in average from 4.17 ± 0.99 mm to 8.56 ± 1.93 mm after lateral bone augmentation with easy-graft CRYSTAL using the tunneling technique. The gain in ridge width was statistically highly significant ( = 0.0019). Histomorphometric assessment of two bone cores obtained at the time of implant placement from one patient revealed 27.6% new bone and an overall mineralized fraction of 72.3% in the grafted area 4 months after the bone grafting was carried out.

CONCLUSIONS

Within the limits of this pilot study, it can be concluded that sub-periosteal tunneling technique using in situ hardening biphasic calcium phosphate is a valuable option for lateral ridge augmentation to allow implant placement in deficient alveolar ridges. Further prospective randomized clinical trials will be necessary to assess its performance in comparison to conventional ridge augmentation procedures.

摘要

背景

在本研究文章中,我们评估了骨膜下隧道技术(隧道技术)联合异体原位硬化双相磷酸钙(BCP,β-磷酸三钙与羟基磷灰石的复合物)骨移植用于牙槽嵴缺损侧方增高的效果。

方法

本初步研究共纳入9例下颌牙槽嵴缺损患者。采用骨膜下隧道技术进行了10次牙槽嵴侧方增高术,其中1例患者为双侧手术。术前及术后4个月通过CBCT评估牙槽嵴宽度增加情况。还对1例患者在种植体植入再次切开时获取的骨芯进行了骨形成质量的组织学评估。

结果

使用隧道技术采用易植CRYSTAL进行侧方骨增高后,颊舌向牙槽嵴平均宽度从4.17±0.99mm增加至8.56±1.93mm。牙槽嵴宽度的增加在统计学上具有高度显著性(P = 0.0019)。对1例患者种植体植入时获取的两个骨芯进行组织形态计量学评估显示,骨移植术后4个月,移植区域新骨占27.6%,矿化部分总体占72.3%。

结论

在本初步研究的范围内,可以得出结论,使用原位硬化双相磷酸钙的骨膜下隧道技术是牙槽嵴缺损侧方增高以允许在牙槽嵴缺损处植入种植体的一种有价值的选择。与传统牙槽嵴增高手术相比,有必要进行进一步的前瞻性随机临床试验来评估其性能。

https://cdn.ncbi.nlm.nih.gov/pmc/blobs/84c9/6328851/f20dd20bca4a/40902_2018_142_Fig3_HTML.jpg
https://cdn.ncbi.nlm.nih.gov/pmc/blobs/84c9/6328851/ae8fb0309ef6/40902_2018_142_Fig1_HTML.jpg
https://cdn.ncbi.nlm.nih.gov/pmc/blobs/84c9/6328851/0a9d6957a5a2/40902_2018_142_Fig2_HTML.jpg
https://cdn.ncbi.nlm.nih.gov/pmc/blobs/84c9/6328851/f20dd20bca4a/40902_2018_142_Fig3_HTML.jpg
https://cdn.ncbi.nlm.nih.gov/pmc/blobs/84c9/6328851/ae8fb0309ef6/40902_2018_142_Fig1_HTML.jpg
https://cdn.ncbi.nlm.nih.gov/pmc/blobs/84c9/6328851/0a9d6957a5a2/40902_2018_142_Fig2_HTML.jpg
https://cdn.ncbi.nlm.nih.gov/pmc/blobs/84c9/6328851/f20dd20bca4a/40902_2018_142_Fig3_HTML.jpg

相似文献

1
Lateral alveolar ridge augmentation procedure using subperiosteal tunneling technique: a pilot study.采用骨膜下隧道技术的外侧牙槽嵴增高术:一项初步研究
Maxillofac Plast Reconstr Surg. 2018 Feb 25;40(1):3. doi: 10.1186/s40902-018-0142-8. eCollection 2018 Dec.
2
Lateral ridge augmentation using different bone fillers and barrier membrane application. A histologic and histomorphometric pilot study in the canine mandible.使用不同骨填充材料和屏障膜进行侧方牙槽嵴增高术:一项在犬下颌骨上的组织学和组织形态计量学初步研究
Clin Oral Implants Res. 2001 Jun;12(3):260-9. doi: 10.1034/j.1600-0501.2001.012003260.x.
3
Augmentation of deficient lateral alveolar ridge using the subperiosteal tunneling dissection approach.采用骨膜下隧道剥离法增高牙槽嵴外侧骨量不足。
Oral Surg Oral Med Oral Pathol Oral Radiol Endod. 2007 Mar;103(3):e14-9. doi: 10.1016/j.tripleo.2006.10.019. Epub 2007 Jan 22.
4
Evaluation of poly lactic-co-glycolic acid-coated β-tricalcium phosphate for alveolar ridge preservation: A multicenter randomized controlled trial.聚乳酸-羟基乙酸共聚物涂层β-磷酸三钙用于牙槽嵴保存的评价:一项多中心随机对照试验。
J Periodontol. 2021 Apr;92(4):524-535. doi: 10.1002/JPER.20-0360. Epub 2020 Oct 12.
5
Screw "tent-pole" grafting technique for reconstruction of large vertical alveolar ridge defects using human mineralized allograft for implant site preparation.使用人矿化同种异体骨进行种植位点预备的螺钉“帐篷杆”移植技术用于修复大型垂直牙槽嵴缺损
J Oral Maxillofac Surg. 2010 Feb;68(2):428-35. doi: 10.1016/j.joms.2009.04.059. Epub 2010 Jan 15.
6
Cortical tenting grafting technique in the severely atrophic alveolar ridge for implant site preparation.严重萎缩性牙槽嵴种植位点预备的皮质帐篷移植技术
Implant Dent. 2008 Mar;17(1):40-50. doi: 10.1097/ID.0b013e318166d503.
7
Lateral Alveolar Ridge Augmentation with Autogenous Tooth Roots and Staged Implant Placement-5-Year Follow-Up Case Series.使用自体牙根进行牙槽嵴外侧增高术及分期种植体植入——5年随访病例系列
J Clin Med. 2024 Aug 29;13(17):5118. doi: 10.3390/jcm13175118.
8
Lateral alveolar ridge augmentation using a synthetic nano-crystalline hydroxyapatite bone substitution material (Ostim): preliminary clinical and histological results.使用合成纳米晶羟基磷灰石骨替代材料(Ostim)进行牙槽嵴外侧增高术:初步临床及组织学结果
Clin Oral Implants Res. 2007 Dec;18(6):743-51. doi: 10.1111/j.1600-0501.2007.01416.x. Epub 2007 Sep 20.
9
Ridge preservation using an in situ hardening biphasic calcium phosphate (β-TCP/HA) bone graft substitute-a clinical, radiological, and histological study.使用原位硬化双相磷酸钙(β-磷酸三钙/羟基磷灰石)骨移植替代物进行牙槽嵴保存——一项临床、放射学和组织学研究。
Int J Implant Dent. 2017 Dec;3(1):25. doi: 10.1186/s40729-017-0086-2. Epub 2017 Jun 22.
10
Minimal invasive horizontal ridge augmentation using subperiosteal tunneling technique.采用骨膜下隧道技术进行微创水平嵴增高术。
Maxillofac Plast Reconstr Surg. 2016 Nov 5;38(1):41. doi: 10.1186/s40902-016-0087-8. eCollection 2016 Dec.

引用本文的文献

1
Evaluation of Two Alloplastic Biomaterials in a Critical-Size Rat Calvarial Defect Model.在大鼠颅骨临界尺寸缺损模型中对两种异体生物材料的评估
J Funct Biomater. 2025 Jun 6;16(6):214. doi: 10.3390/jfb16060214.
2
New Subperiosteal Dental Implant Design with Finite Element Analysis and Mechanical Validation: A Design Validation Study.基于有限元分析和力学验证的新型骨膜下牙种植体设计:一项设计验证研究。
Materials (Basel). 2025 Jan 29;18(3):622. doi: 10.3390/ma18030622.
3
Subperiosteal Ridge Augmentation Technique Utilizing Sticky Bone: A Case Series.

本文引用的文献

1
Ridge preservation using an in situ hardening biphasic calcium phosphate (β-TCP/HA) bone graft substitute-a clinical, radiological, and histological study.使用原位硬化双相磷酸钙(β-磷酸三钙/羟基磷灰石)骨移植替代物进行牙槽嵴保存——一项临床、放射学和组织学研究。
Int J Implant Dent. 2017 Dec;3(1):25. doi: 10.1186/s40729-017-0086-2. Epub 2017 Jun 22.
2
Subperiosteal Minimally Invasive Aesthetic Ridge Augmentation Technique (SMART): A New Standard for Bone Reconstruction of the Jaws.骨膜下微创美学牙槽嵴增高术(SMART):颌骨骨重建的新标准。
Int J Periodontics Restorative Dent. 2017 Mar/Apr;37(2):165-173. doi: 10.11607/prd.3171.
3
利用粘性骨的骨膜下嵴增强技术:病例系列
Cureus. 2024 Jul 29;16(7):e65641. doi: 10.7759/cureus.65641. eCollection 2024 Jul.
4
Evaluation of the Effectiveness of Bone Grafting in Alveolar Ridge Augmentation Using the Two-Stage Splitting Technique.采用两阶段劈开技术评价骨移植在牙槽嵴增高中的效果。
Bull Exp Biol Med. 2023 Dec;176(2):268-274. doi: 10.1007/s10517-024-06007-0. Epub 2024 Jan 9.
5
Bone Grafts in Dental Medicine: An Overview of Autografts, Allografts and Synthetic Materials.牙科医学中的骨移植:自体移植、异体移植和合成材料概述
Materials (Basel). 2023 May 31;16(11):4117. doi: 10.3390/ma16114117.
6
Enhanced Bone Regeneration in Variable-Type Biphasic Ceramic Phosphate Scaffolds Using rhBMP-2.使用 rhBMP-2 增强可变型双相陶瓷磷酸钙支架的骨再生。
Int J Mol Sci. 2021 Oct 25;22(21):11485. doi: 10.3390/ijms222111485.
7
Evaluation of Osteoconduction of a Synthetic Hydroxyapatite/β-Tricalcium Phosphate Block Fixed in Rabbit Mandibles.固定于兔下颌骨的合成羟基磷灰石/β-磷酸三钙块的骨传导性评估
Materials (Basel). 2020 Oct 31;13(21):4902. doi: 10.3390/ma13214902.
8
Classification of the journal category "oral surgery" in the Scopus and the Science Citation Index Expanded: flaws and suggestions.Scopus和《科学引文索引扩展版》中“口腔外科”期刊类别的分类:缺陷与建议
J Korean Assoc Oral Maxillofac Surg. 2019 Aug;45(4):186-191. doi: 10.5125/jkaoms.2019.45.4.186. Epub 2019 Aug 28.
9
Evaluation of the Bone Regeneration Effect of Recombinant Human Bone Morphogenic Protein-2 on Subperiosteal Bone Graft in the Rat Calvarial Model.重组人骨形态发生蛋白-2对大鼠颅骨模型骨膜下骨移植骨再生效果的评估
Materials (Basel). 2019 May 16;12(10):1613. doi: 10.3390/ma12101613.
Minimally Invasive Alveolar Ridge Preservation Utilizing an In Situ Hardening β-Tricalcium Phosphate Bone Substitute: A Multicenter Case Series.
利用原位硬化β-磷酸三钙骨替代物的微创牙槽嵴保存:多中心病例系列
Int J Dent. 2016;2016:5406736. doi: 10.1155/2016/5406736. Epub 2016 Apr 14.
4
Efficacy of Alveolar Vertical Distraction Osteogenesis and Autogenous Bone Grafting for Dental Implants: Systematic Review and Meta-Analysis.牙槽嵴垂直牵张成骨联合自体骨移植用于牙种植体的疗效:系统评价与Meta分析
Int J Oral Maxillofac Implants. 2016 Jan-Feb;31(1):26-36. doi: 10.11607/jomi.4479.
5
Reconstruction of mandibular vertical defects for dental implants with autogenous bone block grafts using a tunnel approach: clinical study of 50 cases.采用隧道技术使用自体骨块移植修复下颌垂直骨缺损以植入牙种植体:50例临床研究
Int J Oral Maxillofac Surg. 2015 Nov;44(11):1416-22. doi: 10.1016/j.ijom.2015.05.019. Epub 2015 Jun 23.
6
Mandibular bone block harvesting from the retromolar region: a 10-year prospective clinical study.从磨牙后区获取下颌骨块:一项为期10年的前瞻性临床研究。
Int J Oral Maxillofac Implants. 2015 May-Jun;30(3):688-97. doi: 10.11607/jomi.4117.
7
A new syringe-delivered, moldable, alloplastic bone graft substitute.一种新型的通过注射器输送、可塑形的异质骨移植替代物。
Compend Contin Educ Dent. 2014 Nov-Dec;35(4 Suppl):8-10.
8
Alveolar bone dimensional changes of post-extraction sockets in humans: a systematic review.人类拔牙窝牙槽骨的尺寸变化:系统评价。
J Clin Periodontol. 2009 Dec;36(12):1048-58. doi: 10.1111/j.1600-051X.2009.01482.x.
9
Bone augmentation procedures in localized defects in the alveolar ridge: clinical results with different bone grafts and bone-substitute materials.牙槽嵴局部缺损的骨增量程序:不同骨移植物和骨替代材料的临床效果。
Int J Oral Maxillofac Implants. 2009;24 Suppl:218-36.
10
Minimally invasive alveolar ridge augmentation procedure (tunneling technique) using rhPDGF-BB in combination with three matrices: a case series.使用重组人血小板衍生生长因子-BB(rhPDGF-BB)联合三种基质的微创牙槽嵴增高术(隧道技术):病例系列
Int J Periodontics Restorative Dent. 2009 Aug;29(4):371-83.