Suppr超能文献

纹状体中多巴胺的减少和接触射频电磁场后 MPTP 损伤后运动恢复困难。

Decreased dopamine in striatum and difficult locomotor recovery from MPTP insult after exposure to radiofrequency electromagnetic fields.

机构信息

Department of Pharmacology, College of Medicine, Dankook University, Cheonan, Chungnam, Republic of Korea.

Department of Pharmacy, College of Pharmacy, Dankook University, Cheonan, Chungnam, Republic of Korea.

出版信息

Sci Rep. 2019 Feb 4;9(1):1201. doi: 10.1038/s41598-018-37874-z.

Abstract

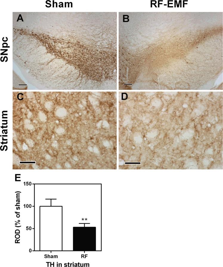
Concern is growing about possible neuronal effects of human exposure to radiofrequency electromagnetic fields because of the increasing usage of cell phones and the close proximity of these devices to the brain when in use. We found that exposure to a radiofrequency electromagnetic field (RF-EMF) of 835 MHz (4.0 W/kg specific absorption rate [SAR] for 5 h/day for 12 weeks) affects striatal neurons in C57BL/6 mice. The number of synaptic vesicles (SVs) in striatal presynaptic boutons was significantly decreased after RF-EMF exposure. The expression levels of synapsin I and II were also significantly decreased in the striatum of the RF-EMF-exposed group. RF-EMF exposure led to a reduction in dopamine concentration in the striatum and also to a decrease in the expression of tyrosine hydroxylase in striatal neurons. Furthermore, in behavioral tests, exposure to RF-EMF impeded the recovery of locomotor activities after repeated treatments with 1-methyl-4-phenyl-1,2,3,6-tetrahydropyridine (MPTP). These results suggest that the observed decrease in dopamine concentration in the striatum was caused by both a reduction in the number of dopaminergic neurons and a decline in the number of SVs. The decreased dopamine neuron numbers and concentration seen after RF-EMF exposure would have caused the difficult recovery after MPTP treatment. In summary, our results strongly suggest that exposing the brain to RF-EMF can decrease the number of SVs and dopaminergic neurons in the striatum. These primary changes impair the recovery of locomotor activities following MPTP damage to the striatum.

摘要

人们越来越担心人类接触射频电磁场可能对神经元产生影响,因为手机的使用越来越频繁,而且在使用时手机离大脑很近。我们发现,暴露于 835MHz 的射频电磁场(4.0 W/kg 比吸收率,每天 5 小时,持续 12 周)会影响 C57BL/6 小鼠纹状体神经元。纹状体内突触小泡(SVs)的数量在射频电磁场暴露后明显减少。RF-EMF 暴露组纹状体中突触素 I 和 II 的表达水平也明显降低。RF-EMF 暴露导致纹状体中多巴胺浓度降低,同时纹状体神经元中酪氨酸羟化酶的表达也降低。此外,在行为测试中,RF-EMF 暴露会阻碍反复用 1-甲基-4-苯基-1,2,3,6-四氢吡啶(MPTP)处理后运动活动的恢复。这些结果表明,纹状体中多巴胺浓度的观察下降既归因于多巴胺能神经元数量的减少,也归因于 SVs 数量的减少。RF-EMF 暴露后多巴胺神经元数量和浓度的降低会导致 MPTP 治疗后的恢复困难。总之,我们的研究结果强烈表明,大脑暴露于射频电磁场会减少纹状体中的 SVs 和多巴胺能神经元数量。这些主要变化会损害纹状体中 MPTP 损伤后运动活动的恢复。

https://cdn.ncbi.nlm.nih.gov/pmc/blobs/2662/6362053/57cc8a495505/41598_2018_37874_Fig1_HTML.jpg

文献检索

告别复杂PubMed语法,用中文像聊天一样搜索,搜遍4000万医学文献。AI智能推荐,让科研检索更轻松。

立即免费搜索

文件翻译

保留排版,准确专业,支持PDF/Word/PPT等文件格式,支持 12+语言互译。

免费翻译文档

深度研究

AI帮你快速写综述,25分钟生成高质量综述,智能提取关键信息,辅助科研写作。

立即免费体验