Suppr超能文献

高频刺激背侧耳蜗核缓解耳鸣:啮齿动物研究。

Alleviation of Tinnitus With High-Frequency Stimulation of the Dorsal Cochlear Nucleus: A Rodent Study.

机构信息

1 Department of Ear Nose and Throat/Head and Neck Surgery, Maastricht University Medical Center, Maastricht, The Netherlands.

2 School for Mental Health and Neuroscience (MHeNS), Maastricht University, Maastricht, The Netherlands.

出版信息

Trends Hear. 2019 Jan-Dec;23:2331216519835080. doi: 10.1177/2331216519835080.

Abstract

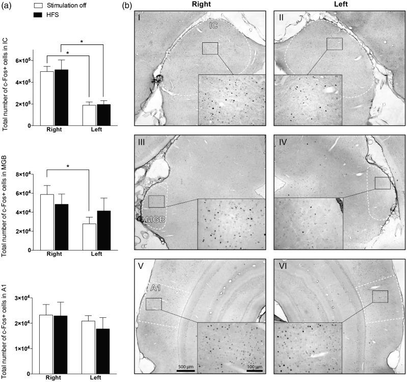
Deep brain stimulation of the central auditory pathway is emerging as a promising treatment modality for tinnitus. Within this pathway, the dorsal cochlear nucleus (DCN) plays a key role in the pathophysiology of tinnitus and is believed to be a tinnitus generator. We hypothesized that high-frequency stimulation (HFS) of the DCN would influence tinnitus-related abnormal neuronal activity within the auditory pathway and hereby suppress tinnitus. To this end, we assessed the effect of HFS of the DCN in a noise-induced rat model of tinnitus. The presence of tinnitus was verified using the gap prepulse inhibition of the acoustic startle response paradigm. Hearing thresholds were determined before and after noise trauma by measuring the auditory brainstem responses. In addition, changes in neuronal activity induced by noise trauma and HFS were assessed using c-Fos immunohistochemistry in related structures. Results showed tinnitus development after noise trauma and hearing loss ipsilateral to the side exposed to noise trauma. During HFS of the DCN, tinnitus was suppressed. There was no change in c-Fos expression within the central auditory pathway after HFS. These findings suggest that DCN-HFS changes patterns of activity and results in information lesioning within the network and hereby blocking the relay of abnormal tinnitus-related neuronal activity.

摘要

深部脑刺激中枢听觉通路正成为治疗耳鸣的一种有前途的治疗方式。在该通路中,耳蜗背核(DCN)在耳鸣的病理生理学中起着关键作用,被认为是耳鸣发生器。我们假设 DCN 的高频刺激(HFS)将影响听觉通路上与耳鸣相关的异常神经元活动,并以此抑制耳鸣。为此,我们评估了 DCN 的 HFS 在噪声诱导的耳鸣大鼠模型中的作用。使用声刺激反应的间隙预脉冲抑制范式验证耳鸣的存在。通过测量听觉脑干反应,在噪声创伤前后确定听力阈值。此外,使用 c-Fos 免疫组织化学评估噪声创伤和 HFS 诱导的神经元活动变化。结果表明,噪声创伤后出现耳鸣,并且对噪声创伤侧的同侧听力下降。在 DCN 的 HFS 期间,耳鸣得到抑制。HFS 后,中枢听觉通路上的 c-Fos 表达没有变化。这些发现表明,DCN-HFS 改变了活动模式,并导致网络内的信息损伤,从而阻断异常耳鸣相关神经元活动的传递。

https://cdn.ncbi.nlm.nih.gov/pmc/blobs/7933/6419256/c09c31a26afc/10.1177_2331216519835080-fig1.jpg

文献AI研究员

20分钟写一篇综述,助力文献阅读效率提升50倍。

立即体验

用中文搜PubMed

大模型驱动的PubMed中文搜索引擎

马上搜索

文档翻译

学术文献翻译模型,支持多种主流文档格式。

立即体验