Suppr超能文献

巴西东北部医院和社区环境中耐甲氧西林金黄色葡萄球菌分离株的分子特征。

Molecular characteristics of methicillin-resistant Staphylococcus aureus isolates from hospital and community environments in northeastern Brazil.

机构信息

Universidade Estadual de Santa Cruz, Campus Soane Nazaré de Andrade, Ilhéus, BA, Brazil.

Universidade Estadual de Santa Cruz, Campus Soane Nazaré de Andrade, Ilhéus, BA, Brazil; Universidade Federal da Bahia, Instituto Multidisciplinar de Saúde, Vitória da Conquista, BA, Brazil.

出版信息

Braz J Infect Dis. 2019 Mar-Apr;23(2):134-138. doi: 10.1016/j.bjid.2019.04.005. Epub 2019 May 16.

Abstract

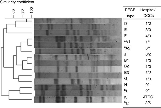
This study characterized 30 MRSA isolates from intensive care unit (ICU) environment and equipment surfaces and healthy children. The SCCmec types I, IVa and V were detected in HA-MRSA isolates while CA-MRSA showed the SCCmec type IVa and V. Most isolates were classified as agr group II. All isolates presented the sei gene, and only HA-MRSA were positive for etb e tst genes. Three genotypes were related to Pediatric (ST5/SCCmecIV) and Berlin (ST45/SCCmecIV) clones. The present study showed molecular similarity between CA- and HA-MRSA isolates in hospital and community settings in a Brazilian region.

摘要

本研究对来自重症监护病房(ICU)环境和设备表面以及健康儿童的 30 株 MRSA 分离株进行了特征描述。HA-MRSA 分离株中检测到 SCCmec 类型 I、IVa 和 V,而 CA-MRSA 则显示 SCCmec 类型 IVa 和 V。大多数分离株被归类为 agr 组 II。所有分离株均携带 sei 基因,只有 HA-MRSA 携带 etb 和 tst 基因。三种基因型与儿科(ST5/SCCmecIV)和柏林(ST45/SCCmecIV)克隆有关。本研究显示了巴西某地区医院和社区环境中 CA-MRSA 和 HA-MRSA 分离株之间的分子相似性。

https://cdn.ncbi.nlm.nih.gov/pmc/blobs/7f57/9425645/f4455b046ee8/gr1.jpg

文献AI研究员

20分钟写一篇综述,助力文献阅读效率提升50倍。

立即体验

用中文搜PubMed

大模型驱动的PubMed中文搜索引擎

马上搜索

文档翻译

学术文献翻译模型,支持多种主流文档格式。

立即体验