Suppr超能文献

两例罕见肿瘤病例系列:胸膜孤立性纤维瘤。

A series of two cases of rare tumors: Solitary fibrous tumor of the pleura.

作者信息

Bukamur Hazim, Karem Emhemmid, Fares Serag, Sigdel Saroj, Alkhankan Emad, Zeid Fuad

机构信息

Department of Pulmonary Medicine, Marshall University, Joan C. Edwards School of Medicine, Huntington, WV, 25701, USA.

Department of Internal Medicine, Marshall University, Joan C. Edwards School of Medicine, Huntington, WV, 25701, USA.

出版信息

Respir Med Case Rep. 2019 Jun 4;28:100872. doi: 10.1016/j.rmcr.2019.100872. eCollection 2019.

Abstract

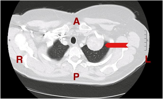
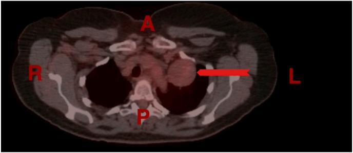
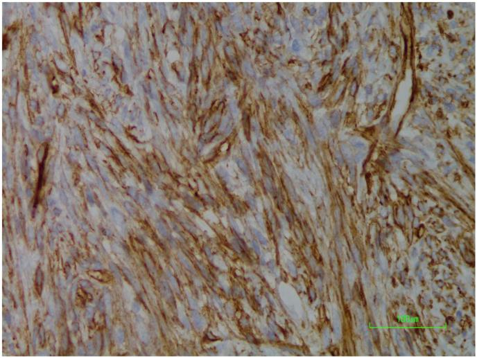
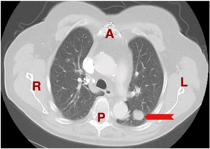
Solitary fibrous tumors of the pleura (SFTPs) are rare neoplasms of mesenchymal origin most commonly arising in the pleura and have a benign biological behavior in the majority of cases. Most patients with SFTPs are asymptomatic; however, symptoms are mostly related to the mass effect within the thoracic cavity. Chest computed tomography (CT) scanning is the radiographic test of choice, but findings lack specificity. Surgical resection is the treatment of choice for most patients. Long-term survival after resection of benign SFTPs is excellent. In this case series, we present two females, one presented with shortness of breath (SOB) and nonproductive cough and the other one was referred because of abnormal x-ray findings. The histological as well as the immunohistochemical examination revealed the mass to be a solitary fibrous tumor of the pleura.

摘要

胸膜孤立性纤维瘤(SFTPs)是一种罕见的间叶源性肿瘤,最常起源于胸膜,大多数病例具有良性生物学行为。大多数SFTPs患者无症状;然而,症状大多与胸腔内的肿块效应有关。胸部计算机断层扫描(CT)是首选的影像学检查,但检查结果缺乏特异性。手术切除是大多数患者的首选治疗方法。良性SFTPs切除后的长期生存率很高。在本病例系列中,我们报告了两名女性,一名表现为呼吸急促(SOB)和干咳,另一名因X线检查结果异常而转诊。组织学及免疫组化检查显示该肿块为胸膜孤立性纤维瘤。

https://cdn.ncbi.nlm.nih.gov/pmc/blobs/817d/6554494/8cca4218e106/gr1.jpg

文献AI研究员

20分钟写一篇综述,助力文献阅读效率提升50倍。

立即体验

用中文搜PubMed

大模型驱动的PubMed中文搜索引擎

马上搜索

文档翻译

学术文献翻译模型,支持多种主流文档格式。

立即体验