Suppr超能文献

一例罕见的酷似复发性胸腔积液的囊性纵隔淋巴管瘤病例报告。

Case Report of a Rare Cystic Mediastinal Lymphangioma Mimicking Recurrent Pleural Effusion.

作者信息

Salehi Fateme, Landis Mark, Inculet Richard, Wiseman Daniele

机构信息

Department of Radiology, Victoria Hospital, London Health Science Centre, Western University, London, ON, Canada N6A 5W9.

Division of Thoracic Surgery, Victoria Hospital, London Health Science Centre, Western University, London, ON, Canada N6A 5W9.

出版信息

Case Rep Radiol. 2019 May 26;2019:1301845. doi: 10.1155/2019/1301845. eCollection 2019.

Abstract

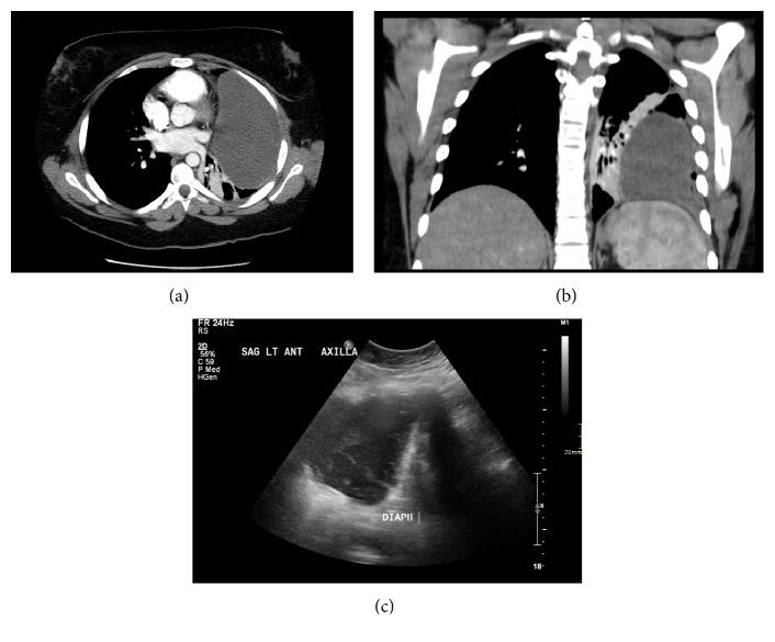
Mediastinal lymphangiomas are rare benign congenital malformations, but complications can occur, including infection, cystic hemorrhage, superior vena cava syndrome, airway compromise, and chylothorax. Radiologically, lymphangiomas are well-defined masses, with low attenuation ranging from simple to complex fluid and fat. They often encase adjacent mediastinal structures. We present a case of mediastinal lymphangioma in a young female, who presented with recurrent complex pleural effusions, initially thought to represent an empyema and/or necrotic mass. Despite surgical chest tube and interventional radiology drainage, fluid reaccumulated. Upon further review, the interventional and thoracic radiologist concurred that the complex collection was in fact predominantly extra pleural in location. The patient underwent partial resection after it was discovered intraoperatively that the extra pleural cystic mass was contiguous with and extended deeply into the mediastinum. Histopathology confirmed the diagnosis of lymphangioma.

摘要

纵隔淋巴管瘤是一种罕见的先天性良性畸形,但可能会出现并发症,包括感染、囊性出血、上腔静脉综合征、气道受压和乳糜胸。在影像学上,淋巴管瘤表现为边界清晰的肿块,密度较低,范围从单纯性到复杂性液体及脂肪。它们常包绕相邻的纵隔结构。我们报告一例年轻女性纵隔淋巴管瘤病例,该患者表现为复发性复杂性胸腔积液,最初被认为是脓胸和/或坏死性肿块。尽管进行了外科胸腔闭式引流和介入放射学引流,但液体仍再次积聚。经进一步检查,介入放射科医生和胸放射科医生一致认为,该复杂性积液实际上主要位于胸膜外。术中发现胸膜外囊性肿块与纵隔相连并深入纵隔后,患者接受了部分切除术。组织病理学确诊为淋巴管瘤。

https://cdn.ncbi.nlm.nih.gov/pmc/blobs/3637/6556350/60a9f4fb4a48/CRIRA2019-1301845.001.jpg

文献检索

告别复杂PubMed语法,用中文像聊天一样搜索,搜遍4000万医学文献。AI智能推荐,让科研检索更轻松。

立即免费搜索

文件翻译

保留排版,准确专业,支持PDF/Word/PPT等文件格式,支持 12+语言互译。

免费翻译文档

深度研究

AI帮你快速写综述,25分钟生成高质量综述,智能提取关键信息,辅助科研写作。

立即免费体验