Suppr超能文献

健康近视眼中非并列微脉管结构缺失的微观结构。

Microstructure of Nonjuxtapapillary Microvasculature Dropout in Healthy Myopic Eyes.

机构信息

,.

出版信息

Invest Ophthalmol Vis Sci. 2020 Feb 7;61(2):36. doi: 10.1167/iovs.61.2.36.

Abstract

PURPOSE

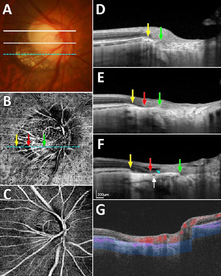
The purpose of this study was to characterize the microstructure of the nonjuxtapapillary microvasculature dropout (MvD) in healthy myopic eyes.

METHODS

This cross-sectional study included 50 eyes (25 eyes with a nonjuxtapapillary MvD and 25 age-matched eyes without any MvD) from a cohort of 126 nonglaucomatous healthy myopic eyes having parapapillary atrophy (PPA) γ-zone. The parapapillary deep-layer microvasculature was evaluated in en-face images obtained using swept-source optical coherence tomography (OCT) angiography (OCTA). A nonjuxtapapillary MvD was defined as an area with focal absence of vascular signals in the distal portion of PPA confined to the nonjuxtapapillary area. Enhanced depth-imaging OCT scanning was performed to assess the parapapillary microstructure.

RESULTS

Nonjuxtapapillary MvD was found in 25 eyes (19.8%). The parapapillary microstructure at the nonjuxtapapillary MvD in 18 eyes was characterized by the misalignment of Bruch's membrane (BM)-retinal pigment epithelium (RPE) complex, which was identified by the absence of BM-RPE complex and the presence of the inner retina and sclera. In seven eyes with a nonjuxtapapillary MvD but without such misaligned BM-RPE complex, RPE atrophy was observed at the location of the nonjuxtapapillary MvD. Eyes with a nonjuxtapapillary MvD had a longer axial length (AXL; P = 0.013) and a wider γ-zone (P < 0.001) than age-matched control eyes without any MvD.

CONCLUSIONS

The microstructure at the nonjuxtapapillary MvD in healthy myopic eyes was characterized in approximately 70% of eyes by temporally misaligned BM-RPE complex. Although the clinical importance of the nonjuxtapapillary MvD remains to be determined, it should be differentiated from the parapapillary choroidal MvD observed in glaucoma.

摘要

目的

本研究旨在描述健康近视眼中非近节段微脉管缺失(MvD)的微观结构。

方法

本横断面研究纳入了来自 126 例无青光眼的伴旁中心区萎缩(PPA)γ 区的非近视性健康眼队列中的 50 只眼(25 只眼存在非近节段 MvD,25 只年龄匹配的眼无任何 MvD)。应用扫频源光学相干断层扫描血管造影(OCTA)获得的 en-face 图像评估旁中心深层微血管。将局限于非近节段区域的 PPA 远端局灶性血管信号缺失定义为非近节段 MvD。行增强深度成像 OCT 扫描以评估旁中心微观结构。

结果

25 只眼(19.8%)发现存在非近节段 MvD。18 只眼的非近节段 MvD 旁中心微观结构的特征为脉络膜-视网膜色素上皮(RPE)复合体的错位,这通过 BM-RPE 复合体缺失和内视网膜和巩膜的存在来识别。在 7 只存在非近节段 MvD 但无这种错位 BM-RPE 复合体的眼中,在非近节段 MvD 部位观察到 RPE 萎缩。存在非近节段 MvD 的眼 AXL 较长(P=0.013),γ 区较宽(P<0.001)。

结论

在健康近视眼中,约 70%的非近节段 MvD 旁中心微观结构的特征为 BM-RPE 复合体的暂时错位。虽然非近节段 MvD 的临床重要性尚待确定,但它应与青光眼观察到的旁脉络膜 MvD 相区别。

https://cdn.ncbi.nlm.nih.gov/pmc/blobs/f912/7329630/fb1ff36b1add/iovs-61-2-36-f001.jpg

文献检索

告别复杂PubMed语法,用中文像聊天一样搜索,搜遍4000万医学文献。AI智能推荐,让科研检索更轻松。

立即免费搜索

文件翻译

保留排版,准确专业,支持PDF/Word/PPT等文件格式,支持 12+语言互译。

免费翻译文档

深度研究

AI帮你快速写综述,25分钟生成高质量综述,智能提取关键信息,辅助科研写作。

立即免费体验