Suppr超能文献

新生儿呕血:一例病例报告

Hematemesis in a Newborn: A Case Report.

作者信息

Kataria-Hale Jasmeet, Febo-Rodriguez Liz, Parmekar Shweta

机构信息

Pediatrics, Texas Children's Hospital, Houston, USA.

Pediatrics, Baylor College of Medicine, Houston, USA.

出版信息

Cureus. 2020 Jan 27;12(1):e6784. doi: 10.7759/cureus.6784.

Abstract

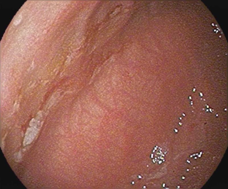
We present the case of a term-healthy neonate who developed hematemesis while being admitted at the newborn nursery. The infant was found to have gastric ulcers with duodenal eosinophils. The condition was conservatively managed and the symptoms, including ulcers, resolved with time; however, the etiology of the ulcers is still unknown.

摘要

我们报告一例足月健康新生儿的病例,该患儿在新生儿病房住院期间出现呕血。经检查发现该婴儿患有胃溃疡并伴有十二指肠嗜酸性粒细胞浸润。病情采用保守治疗,包括溃疡在内的症状随时间推移逐渐缓解;然而,溃疡的病因仍不明。

https://cdn.ncbi.nlm.nih.gov/pmc/blobs/aa41/7046013/ebafc1abfe4d/cureus-0012-00000006784-i01.jpg

文献检索

告别复杂PubMed语法,用中文像聊天一样搜索,搜遍4000万医学文献。AI智能推荐,让科研检索更轻松。

立即免费搜索

文件翻译

保留排版,准确专业,支持PDF/Word/PPT等文件格式,支持 12+语言互译。

免费翻译文档

深度研究

AI帮你快速写综述,25分钟生成高质量综述,智能提取关键信息,辅助科研写作。

立即免费体验