• 文献检索
  • 文档翻译
  • 深度研究
  • 学术资讯
  • Suppr Zotero 插件Zotero 插件
  • 邀请有礼
  • 套餐&价格
  • 历史记录
应用&插件
Suppr Zotero 插件Zotero 插件浏览器插件Mac 客户端Windows 客户端微信小程序
定价
高级版会员购买积分包购买API积分包
服务
文献检索文档翻译深度研究API 文档MCP 服务
关于我们
关于 Suppr公司介绍联系我们用户协议隐私条款
关注我们

Suppr 超能文献

核心技术专利:CN118964589B侵权必究
粤ICP备2023148730 号-1Suppr @ 2026

文献检索

告别复杂PubMed语法,用中文像聊天一样搜索,搜遍4000万医学文献。AI智能推荐,让科研检索更轻松。

立即免费搜索

文件翻译

保留排版,准确专业,支持PDF/Word/PPT等文件格式,支持 12+语言互译。

免费翻译文档

深度研究

AI帮你快速写综述,25分钟生成高质量综述,智能提取关键信息,辅助科研写作。

立即免费体验

NF-κB 相互作用的长非编码 RNA 增强了瓦博格效应和血管生成,并与胶质瘤患者的生存降低相关。

NF-kappa B interacting long noncoding RNA enhances the Warburg effect and angiogenesis and is associated with decreased survival of patients with gliomas.

机构信息

Department of Neurosurgery, XinHua Hospital, Shanghai JiaoTong University School of Medicine, 1665 KongJiang Rd, Shanghai, 200092, China.

The Cranial Nerve Disease Center of Shanghai JiaoTong University, Shanghai, 200092, China.

出版信息

Cell Death Dis. 2020 May 7;11(5):323. doi: 10.1038/s41419-020-2520-2.

DOI:10.1038/s41419-020-2520-2
PMID:32382013
原文链接:https://pmc.ncbi.nlm.nih.gov/articles/PMC7206073/
Abstract

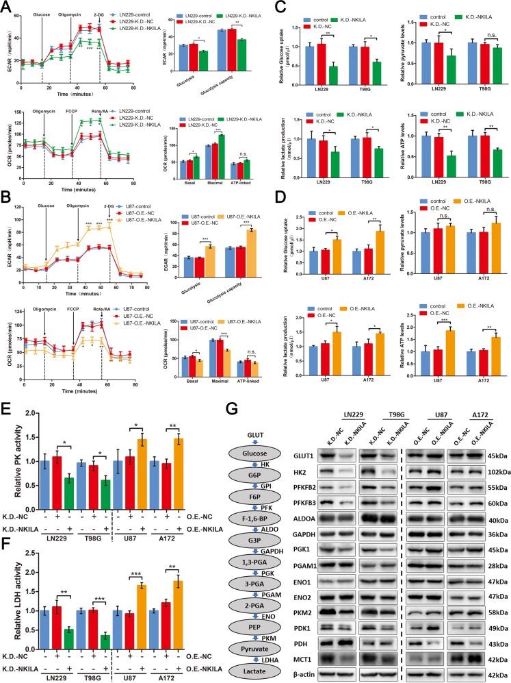
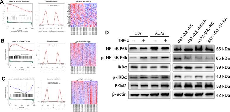
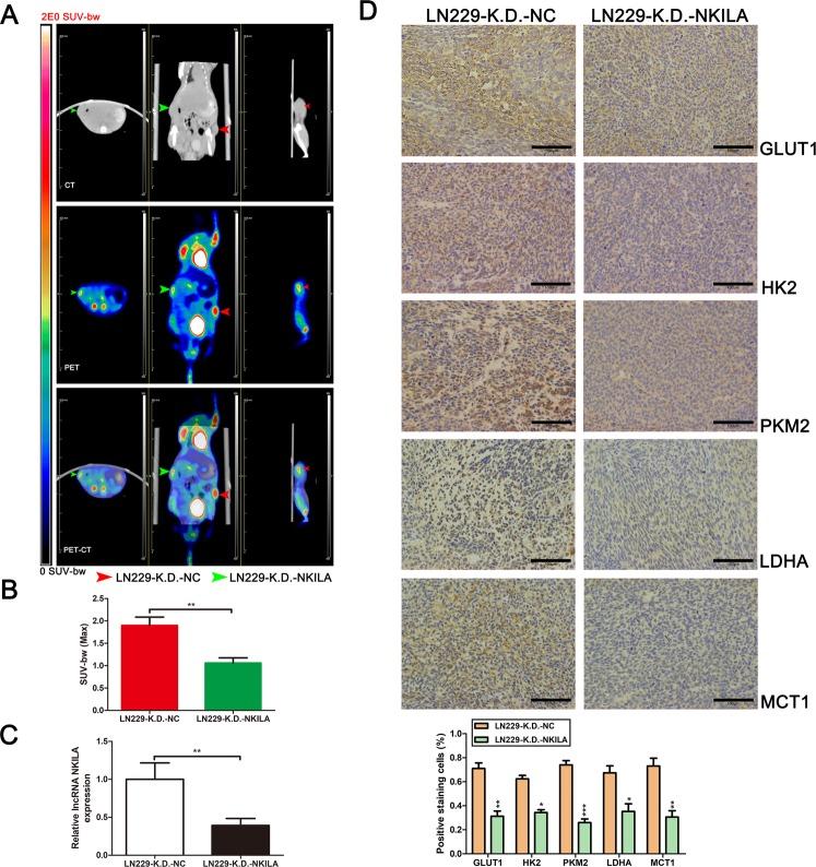
In various malignant tumors, NF-kappa B interacting long noncoding RNA (NKILA) displays antitumor activity by inhibiting the NF-kappa B pathway. However, the role of NKILA in gliomas remains unclear. Surprisingly, this study showed that NKILA is significantly upregulated in gliomas, and the increased levels of NKILA were correlated with a decrease in patient survival time. NKILA increased the expression level of hypoxia-inducible factor-1α, and the activity of the hypoxia pathway in gliomas. Furthermore, we demonstrated that NKILA enhances the Warburg effect and angiogenesis in gliomas both in vitro and in vivo. Therefore, NKILA is a potential therapeutic target in gliomas. In addition, we showed that a 20(S)-Rg3 monomer suppresses NKILA accumulation and reverses its stimulation of the Warburg effect and angiogenesis in gliomas, both in vitro and in vivo. Therefore, this study not only identified NKILA as a potential therapeutic target in gliomas, but also demonstrated a practical approach to treatment.

摘要

在各种恶性肿瘤中,NF-κB 相互作用的长非编码 RNA(NKILA)通过抑制 NF-κB 通路显示出抗肿瘤活性。然而,NKILA 在神经胶质瘤中的作用尚不清楚。令人惊讶的是,本研究表明 NKILA 在神经胶质瘤中显著上调,NKILA 水平的增加与患者生存时间的减少相关。NKILA 增加了缺氧诱导因子-1α的表达水平,以及神经胶质瘤中缺氧通路的活性。此外,我们证明 NKILA 增强了神经胶质瘤的瓦伯格效应和血管生成,无论是在体外还是体内。因此,NKILA 是神经胶质瘤的一个潜在治疗靶点。此外,我们表明,20(S)-Rg3 单体抑制 NKILA 的积累,并逆转其对神经胶质瘤中瓦伯格效应和血管生成的刺激,无论是在体外还是体内。因此,本研究不仅鉴定了 NKILA 作为神经胶质瘤的一个潜在治疗靶点,还证明了一种实用的治疗方法。

https://cdn.ncbi.nlm.nih.gov/pmc/blobs/f980/7206073/e6ffd09efabe/41419_2020_2520_Fig8_HTML.jpg
https://cdn.ncbi.nlm.nih.gov/pmc/blobs/f980/7206073/65319b169f95/41419_2020_2520_Fig1_HTML.jpg
https://cdn.ncbi.nlm.nih.gov/pmc/blobs/f980/7206073/5929a4bfd9d5/41419_2020_2520_Fig2_HTML.jpg
https://cdn.ncbi.nlm.nih.gov/pmc/blobs/f980/7206073/920db2190538/41419_2020_2520_Fig3_HTML.jpg
https://cdn.ncbi.nlm.nih.gov/pmc/blobs/f980/7206073/646bc1f30bdc/41419_2020_2520_Fig4_HTML.jpg
https://cdn.ncbi.nlm.nih.gov/pmc/blobs/f980/7206073/0d58644bd755/41419_2020_2520_Fig5_HTML.jpg
https://cdn.ncbi.nlm.nih.gov/pmc/blobs/f980/7206073/87284f7dc2b4/41419_2020_2520_Fig6_HTML.jpg
https://cdn.ncbi.nlm.nih.gov/pmc/blobs/f980/7206073/721e50f7f13f/41419_2020_2520_Fig7_HTML.jpg
https://cdn.ncbi.nlm.nih.gov/pmc/blobs/f980/7206073/e6ffd09efabe/41419_2020_2520_Fig8_HTML.jpg
https://cdn.ncbi.nlm.nih.gov/pmc/blobs/f980/7206073/65319b169f95/41419_2020_2520_Fig1_HTML.jpg
https://cdn.ncbi.nlm.nih.gov/pmc/blobs/f980/7206073/5929a4bfd9d5/41419_2020_2520_Fig2_HTML.jpg
https://cdn.ncbi.nlm.nih.gov/pmc/blobs/f980/7206073/920db2190538/41419_2020_2520_Fig3_HTML.jpg
https://cdn.ncbi.nlm.nih.gov/pmc/blobs/f980/7206073/646bc1f30bdc/41419_2020_2520_Fig4_HTML.jpg
https://cdn.ncbi.nlm.nih.gov/pmc/blobs/f980/7206073/0d58644bd755/41419_2020_2520_Fig5_HTML.jpg
https://cdn.ncbi.nlm.nih.gov/pmc/blobs/f980/7206073/87284f7dc2b4/41419_2020_2520_Fig6_HTML.jpg
https://cdn.ncbi.nlm.nih.gov/pmc/blobs/f980/7206073/721e50f7f13f/41419_2020_2520_Fig7_HTML.jpg
https://cdn.ncbi.nlm.nih.gov/pmc/blobs/f980/7206073/e6ffd09efabe/41419_2020_2520_Fig8_HTML.jpg

相似文献

1
NF-kappa B interacting long noncoding RNA enhances the Warburg effect and angiogenesis and is associated with decreased survival of patients with gliomas.NF-κB 相互作用的长非编码 RNA 增强了瓦博格效应和血管生成,并与胶质瘤患者的生存降低相关。
Cell Death Dis. 2020 May 7;11(5):323. doi: 10.1038/s41419-020-2520-2.
2
Long non-coding RNA NKILA inhibited angiogenesis of breast cancer through NF-κB/IL-6 signaling pathway.长非编码 RNA NKILA 通过 NF-κB/IL-6 信号通路抑制乳腺癌血管生成。
Microvasc Res. 2020 May;129:103968. doi: 10.1016/j.mvr.2019.103968. Epub 2019 Dec 17.
3
NDRG1 overexpressing gliomas are characterized by reduced tumor vascularization and resistance to antiangiogenic treatment.过表达 NDRG1 的神经胶质瘤的特点是肿瘤血管生成减少和对抗血管生成治疗的抗性。
Cancer Lett. 2016 Oct 1;380(2):568-576. doi: 10.1016/j.canlet.2015.06.026. Epub 2015 Aug 20.
4
NF-κB-Interacting Long Noncoding RNA Regulates HIV-1 Replication and Latency by Repressing NF-κB Signaling.NF-κB 相互作用的长非编码 RNA 通过抑制 NF-κB 信号来调节 HIV-1 的复制和潜伏期。
J Virol. 2020 Aug 17;94(17). doi: 10.1128/JVI.01057-20.
5
Long noncoding RNA NKILA enhances the anti-cancer effects of baicalein in hepatocellular carcinoma via the regulation of NF-κB signaling.长链非编码 RNA NKILA 通过调控 NF-κB 信号通路增强黄芩素对肝癌的抗癌作用。
Chem Biol Interact. 2018 Apr 1;285:48-58. doi: 10.1016/j.cbi.2018.02.027. Epub 2018 Feb 23.
6
Long non-coding RNA NKILA inhibits migration and invasion of tongue squamous cell carcinoma cells via suppressing epithelial-mesenchymal transition.长链非编码RNA NKILA通过抑制上皮-间质转化抑制舌鳞状细胞癌细胞的迁移和侵袭。
Oncotarget. 2016 Sep 20;7(38):62520-62532. doi: 10.18632/oncotarget.11528.
7
The Ketogenic Diet Alters the Hypoxic Response and Affects Expression of Proteins Associated with Angiogenesis, Invasive Potential and Vascular Permeability in a Mouse Glioma Model.生酮饮食改变低氧反应并影响小鼠胶质瘤模型中与血管生成、侵袭潜能和血管通透性相关的蛋白质表达。
PLoS One. 2015 Jun 17;10(6):e0130357. doi: 10.1371/journal.pone.0130357. eCollection 2015.
8
TGF-β-induced NKILA inhibits ESCC cell migration and invasion through NF-κB/MMP14 signaling.TGF-β 诱导的 NKILA 通过 NF-κB/MMP14 信号抑制 ESCC 细胞迁移和侵袭。
J Mol Med (Berl). 2018 Apr;96(3-4):301-313. doi: 10.1007/s00109-018-1621-1. Epub 2018 Jan 29.
9
Correlation of Delta-like ligand 4 (DLL4) with VEGF and HIF-1α expression in human glioma.人胶质瘤中Delta样配体4(DLL4)与血管内皮生长因子(VEGF)及缺氧诱导因子-1α(HIF-1α)表达的相关性
Asian Pac J Cancer Prev. 2011;12(1):215-8.
10
NKILA, a prognostic indicator, inhibits tumor metastasis by suppressing NF-κB/Slug mediated epithelial-mesenchymal transition in hepatocellular carcinoma.NKILA 通过抑制 NF-κB/Slug 介导的上皮-间充质转化抑制肝癌转移,是一种预后指标。
Int J Biol Sci. 2020 Jan 1;16(3):495-503. doi: 10.7150/ijbs.39582. eCollection 2020.

引用本文的文献

1
Human disease-related long noncoding RNAs: Impact of ginsenosides.人类疾病相关的长链非编码RNA:人参皂苷的影响
J Ginseng Res. 2024 Jul;48(4):347-353. doi: 10.1016/j.jgr.2024.04.002. Epub 2024 Apr 14.
2
NKILA is a novel suppressor of local recurrence in women breast malignant phyllodes tumor patients via inhibition of the NF-κB pathway.NKILA通过抑制NF-κB信号通路,是女性乳腺恶性叶状肿瘤患者局部复发的一种新型抑制因子。
Heliyon. 2024 Jun 20;10(13):e33259. doi: 10.1016/j.heliyon.2024.e33259. eCollection 2024 Jul 15.
3
Deciphering the role of transcription factors in glioblastoma cancer stem cells.

本文引用的文献

1
NKILA represses nasopharyngeal carcinoma carcinogenesis and metastasis by NF-κB pathway inhibition.NKILA 通过抑制 NF-κB 通路抑制鼻咽癌的发生和转移。
PLoS Genet. 2019 Aug 20;15(8):e1008325. doi: 10.1371/journal.pgen.1008325. eCollection 2019 Aug.
2
Roles of HIFs and VEGF in angiogenesis in the retina and brain.低氧诱导因子(HIFs)和血管内皮生长因子(VEGF)在视网膜和脑中的血管生成中的作用。
J Clin Invest. 2019 Aug 12;129(9):3807-3820. doi: 10.1172/JCI126655.
3
Oncogenic lncRNA downregulates cancer cell antigen presentation and intrinsic tumor suppression.
解析转录因子在胶质母细胞瘤癌症干细胞中的作用。
Acta Biochim Biophys Sin (Shanghai). 2024 May 8;56(9):1245-1255. doi: 10.3724/abbs.2024061.
4
Development of a novel angiogenesis-related lncRNA signature to predict the prognosis and immunotherapy of glioblastoma multiforme.开发一种新型血管生成相关lncRNA特征以预测多形性胶质母细胞瘤的预后和免疫治疗效果。
Transl Cancer Res. 2023 Jan 30;12(1):13-30. doi: 10.21037/tcr-22-1592. Epub 2022 Dec 22.
5
Evolving Insights Into the Biological Function and Clinical Significance of Long Noncoding RNA in Glioblastoma.对胶质母细胞瘤中长链非编码RNA的生物学功能和临床意义的新见解
Front Cell Dev Biol. 2022 Apr 21;10:846864. doi: 10.3389/fcell.2022.846864. eCollection 2022.
6
Targeting Non-coding RNA for Glioblastoma Therapy: The Challenge of Overcomes the Blood-Brain Barrier.靶向非编码RNA治疗胶质母细胞瘤:克服血脑屏障的挑战
Front Med Technol. 2021 Aug 10;3:678593. doi: 10.3389/fmedt.2021.678593. eCollection 2021.
7
Non-Coding RNAs in Glioma Microenvironment and Angiogenesis.胶质瘤微环境与血管生成中的非编码RNA
Front Mol Neurosci. 2021 Nov 3;14:763610. doi: 10.3389/fnmol.2021.763610. eCollection 2021.
8
Ginsenoside Rh2 Inhibits Glycolysis through the STAT3/c-MYC Axis in Non-Small-Cell Lung Cancer.人参皂苷Rh2通过STAT3/c-MYC轴抑制非小细胞肺癌中的糖酵解
J Oncol. 2021 Sep 25;2021:9715154. doi: 10.1155/2021/9715154. eCollection 2021.
9
Regulatory Mechanisms of LncRNAs in Cancer Glycolysis: Facts and Perspectives.长链非编码RNA在肿瘤糖酵解中的调控机制:现状与展望
Cancer Manag Res. 2021 Jul 5;13:5317-5336. doi: 10.2147/CMAR.S314502. eCollection 2021.
10
Roles of Long Noncoding RNAs in Conferring Glioma Progression and Treatment.长链非编码RNA在胶质瘤进展和治疗中的作用
Front Oncol. 2021 Jun 11;11:688027. doi: 10.3389/fonc.2021.688027. eCollection 2021.
致癌长链非编码 RNA 下调癌细胞抗原呈递和内在肿瘤抑制。
Nat Immunol. 2019 Jul;20(7):835-851. doi: 10.1038/s41590-019-0400-7. Epub 2019 Jun 3.
4
R406 elicits anti-Warburg effect via Syk-dependent and -independent mechanisms to trigger apoptosis in glioma stem cells.R406 通过依赖和不依赖 Syk 的机制引发抗 Warburg 效应,从而触发神经胶质瘤干细胞凋亡。
Cell Death Dis. 2019 May 1;10(5):358. doi: 10.1038/s41419-019-1587-0.
5
LncRNA NKILA Inhibits Retinoblastoma by Downregulating lncRNA XIST.长链非编码 RNA NKILA 通过下调 lncRNA XIST 抑制视网膜母细胞瘤。
Curr Eye Res. 2019 Sep;44(9):975-979. doi: 10.1080/02713683.2019.1606253. Epub 2019 May 15.
6
Long non-coding RNA GBCDRlnc1 induces chemoresistance of gallbladder cancer cells by activating autophagy.长非编码 RNA GBCDRlnc1 通过激活自噬诱导胆囊癌细胞的化疗耐药性。
Mol Cancer. 2019 Apr 5;18(1):82. doi: 10.1186/s12943-019-1016-0.
7
Brain Glucose Metabolism: Integration of Energetics with Function.脑葡萄糖代谢:能量与功能的整合。
Physiol Rev. 2019 Jan 1;99(1):949-1045. doi: 10.1152/physrev.00062.2017.
8
20(S)-ginsenoside-Rg3 reverses temozolomide resistance and restrains epithelial-mesenchymal transition progression in glioblastoma.20(S)-人参皂苷 Rg3 逆转替莫唑胺耐药并抑制胶质母细胞瘤中上皮-间充质转化的进展。
Cancer Sci. 2019 Jan;110(1):389-400. doi: 10.1111/cas.13881. Epub 2018 Dec 14.
9
Long noncoding RNA MALAT1 suppresses breast cancer metastasis.长链非编码 RNA MALAT1 抑制乳腺癌转移。
Nat Genet. 2018 Dec;50(12):1705-1715. doi: 10.1038/s41588-018-0252-3. Epub 2018 Oct 22.
10
Ketoconazole and Posaconazole Selectively Target HK2-expressing Glioblastoma Cells.酮康唑和泊沙康唑选择性靶向表达 HK2 的脑胶质瘤细胞。
Clin Cancer Res. 2019 Jan 15;25(2):844-855. doi: 10.1158/1078-0432.CCR-18-1854. Epub 2018 Oct 15.