Suppr超能文献

建立一个模拟人类临床结果的鹿蜱病毒发病机制的小动物模型。

Development of a small animal model for deer tick virus pathogenesis mimicking human clinical outcome.

机构信息

SUNY Center for Environmental Health and Medicine, SUNY Upstate Medical University, Syracuse, New York, United States of America.

Institute for Global Health and Translational Sciences, SUNY Upstate Medical University, Syracuse, New York, United States of America.

出版信息

PLoS Negl Trop Dis. 2020 Jun 15;14(6):e0008359. doi: 10.1371/journal.pntd.0008359. eCollection 2020 Jun.

Abstract

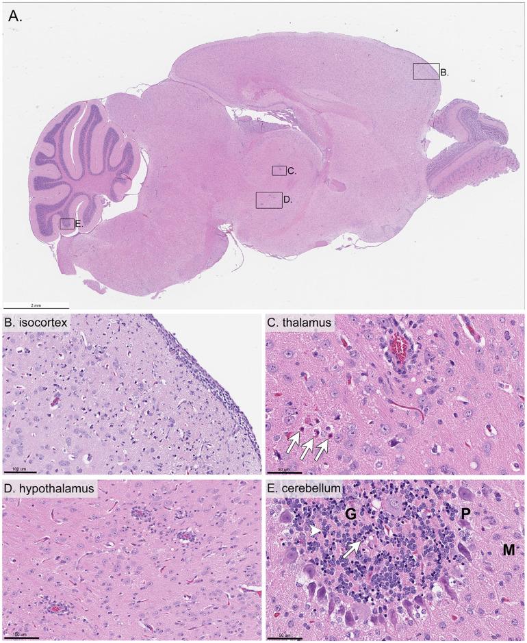
Powassan virus (POWV) is a tick-borne flavivirus that encompasses two genetic lineages, POWV (Lineage I) and deer tick virus (DTV, Lineage II). In recent years, the incidence of reported POWV disease cases has increased, coupled with an expanded geographic range of the DTV tick vector, Ixodes scapularis. POWV and DTV are serologically indistinguishable, and it is not known whether clinical manifestations, pathology, or disease outcome differ between the two viruses. Six-week-old male and female BALB/c mice were footpad-inoculated with DTV doses ranging from 101 to 105 FFU. Dose-independent mortality, morbidity, and organ viral loads were observed for mice inoculated with sequentially increasing doses of DTV. By study completion, all surviving mice had cleared their viremias but detectable levels of negative-sense DTV RNA were present in the brain, indicating viral persistence of infectious DTV in the central nervous system. For mice that succumbed to disease, neuropathology revealed meningoencephalitis characterized by microscopic lesions with widespread distribution of viral RNA in the brain. These findings, coupled with the rapid onset of neurological signs of disease and high viral titers in nervous tissue, highlight the neurotropism of DTV in this mouse model. Additionally, disease outcome for DTV-infected mice was not affected by sex, as males and females were equally susceptible to disease. This is the first study to comprehensively characterize the clinical disease outcome in a small animal model across a spectrum of POWV/DTV infection doses. Here, we developed a small animal model for DTV pathogenesis that mimics the manifestations of POWV disease in humans. Since it is currently not known whether DTV and POWV differ in their capacity to cause human disease, the animal model detailed in our study could be utilized in future comparative pathogenesis studies, or as a platform for testing the efficacy of vaccines, and anti-virals.

摘要

波瓦桑病毒(POWV)是一种蜱传黄病毒,包括两个遗传谱系,即波瓦桑病毒(谱系 I)和鹿蜱病毒(DTV,谱系 II)。近年来,报告的波瓦桑病毒病病例发病率有所增加,同时,鹿蜱(Ixodes scapularis)的地理分布范围也有所扩大。POWV 和 DTV 在血清学上无法区分,目前尚不清楚这两种病毒的临床表现、病理学或疾病结局是否存在差异。6 周龄的雄性和雌性 BALB/c 小鼠通过足底接种方式感染 DTV,剂量范围为 101 至 105 FFU。结果显示,随着 DTV 剂量的逐步增加,感染小鼠的死亡率、发病率和器官病毒载量呈剂量依赖性增加。研究结束时,所有幸存的小鼠都清除了病毒血症,但在大脑中仍可检测到负义 DTV RNA,表明中枢神经系统中存在感染性 DTV 的持续病毒。对于死于疾病的小鼠,神经病理学显示出脑膜脑炎,特征为大脑中病毒 RNA 广泛分布的微观病变。这些发现,加上疾病早期出现的神经症状和神经组织中高病毒滴度,突出了 DTV 在该小鼠模型中的神经嗜性。此外,DTV 感染小鼠的疾病结局不受性别影响,雄性和雌性对疾病的易感性相同。这是第一项在一系列 POWV/DTV 感染剂量范围内全面描述小动物模型临床疾病结局的研究。在这里,我们建立了一种 DTV 发病机制的小动物模型,该模型模拟了人类 POWV 疾病的表现。由于目前尚不清楚 DTV 和 POWV 在引起人类疾病的能力方面是否存在差异,因此我们研究中详细描述的动物模型可以用于未来的比较发病机制研究,或作为测试疫苗和抗病毒药物疗效的平台。

https://cdn.ncbi.nlm.nih.gov/pmc/blobs/a162/7316340/151a4f484816/pntd.0008359.g001.jpg

文献检索

告别复杂PubMed语法,用中文像聊天一样搜索,搜遍4000万医学文献。AI智能推荐,让科研检索更轻松。

立即免费搜索

文件翻译

保留排版,准确专业,支持PDF/Word/PPT等文件格式,支持 12+语言互译。

免费翻译文档

深度研究

AI帮你快速写综述,25分钟生成高质量综述,智能提取关键信息,辅助科研写作。

立即免费体验