Suppr超能文献

COVID-19 死亡患者肺、心、肝死后活检的病理学发现。

Pathological Findings of Postmortem Biopsies From Lung, Heart, and Liver of 7 Deceased COVID-19 Patients.

机构信息

48439Tehran University of Medical Sciences, Tehran, Iran.

出版信息

Int J Surg Pathol. 2021 Apr;29(2):135-145. doi: 10.1177/1066896920935195. Epub 2020 Jun 19.

Abstract

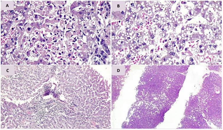
. A novel coronavirus named severe acute respiratory syndrome coronavirus 2 (SARS-CoV-2) has been affecting almost all nations around the world. Most infected patients who have been admitted to intensive care units show SARS signs. In this study, we aimed to achieve a better understanding of pathological alterations that take place during the novel coronavirus infection in most presumed affected organs. . We performed postmortem core needle biopsies from lung, heart, and liver on 7 deceased patients who had died of coronavirus disease 2019. Prepared tissue sections were observed by 2 expert pathologists. . Diffuse alveolar damage was the main pathologic finding in the lung tissue samples. Patients with hospitalization durations of more than 10 days showed evidence of organization. Multinucleated cells in alveolar spaces and alveolar walls, atypical enlarged cells, accumulation of macrophages in alveolar spaces, and congestion of vascular channels were the other histopathologic alteration of the lung. None of our heart biopsy samples met the criteria for myocarditis. Liver biopsies showed congestion, micro- and macro-vesicular changes, and minimal to mild portal inflammation, in the majority of cases. . Similar to the previous coronavirus infection in 2003, the main pathologic finding in the lung was diffuse alveolar damage with a pattern of organization in prolonged cases. The SARS-CoV-2 infection does not cause myocarditis, and the ischemia of myocardium is the most probable justification of the observed pathologic changes in the heart. Liver tissue sections mostly showed nonspecific findings; however, ischemia of the liver can be identified in some cases.

摘要

一种名为严重急性呼吸综合征冠状病毒 2(SARS-CoV-2)的新型冠状病毒已影响到世界上几乎所有国家。大多数被送入重症监护病房的感染患者都有非典症状。在这项研究中,我们旨在更好地了解新型冠状病毒感染在大多数假定受影响器官中发生的病理变化。

我们对 7 名死于 2019 年冠状病毒病的患者的肺、心和肝进行了死后核心针活检。制备的组织切片由 2 名专家病理学家观察。

弥漫性肺泡损伤是肺组织样本中的主要病理发现。住院时间超过 10 天的患者有组织化的证据。肺泡腔和肺泡壁中的多核细胞、非典型增大的细胞、巨噬细胞在肺泡腔中的积聚以及血管通道的充血是肺的其他组织病理学改变。我们的心脏活检样本均不符合心肌炎的标准。在大多数情况下,肝活检显示充血、微泡和大泡改变以及轻微至轻度门脉炎症。

与 2003 年的先前冠状病毒感染类似,肺的主要病理发现是弥漫性肺泡损伤,在长时间的情况下会出现组织化模式。SARS-CoV-2 感染不会引起心肌炎,观察到的心脏病理变化最可能的原因是心肌缺血。肝组织切片大多显示非特异性发现;然而,在某些情况下可以识别肝脏缺血。

https://cdn.ncbi.nlm.nih.gov/pmc/blobs/3554/8041443/fb9da1f21ccc/10.1177_1066896920935195-fig1.jpg

文献AI研究员

20分钟写一篇综述,助力文献阅读效率提升50倍。

立即体验

用中文搜PubMed

大模型驱动的PubMed中文搜索引擎

马上搜索

文档翻译

学术文献翻译模型,支持多种主流文档格式。

立即体验