Suppr超能文献

新型冠状病毒肺炎的影像学及胸部CT表现与随访:来自疫区的多中心经验

Radiographic and chest CT imaging presentation and follow-up of COVID-19 pneumonia: a multicenter experience from an endemic area.

作者信息

Vernuccio Federica, Giambelluca Dario, Cannella Roberto, Lombardo Francesco Paolo, Panzuto Fabio, Midiri Massimo, Cabassa Paolo

机构信息

Department of Health Promotion, Mother and Child Care, Internal Medicine and Medical Specialties, University Hospital of Palermo, Via del Vespro 129, 90127, Palermo, Italy.

University Paris Diderot, Sorbonne Paris Cité, Paris, France.

出版信息

Emerg Radiol. 2020 Dec;27(6):623-632. doi: 10.1007/s10140-020-01817-x. Epub 2020 Jul 11.

Abstract

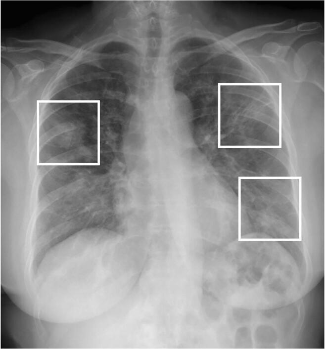
COVID-19 has infected more than 2 million people in the world in less than 5 months outbreak. Chest imaging is recommended for triage of suspected cases of COVID-19 with moderate-severe clinical features and high pre-test probability of disease, and may help for patient follow-up and to identify patients at higher risk of disease worsening. This pictorial essay illustrates typical and uncommon imaging findings of COVID-19 pneumonia and the role of imaging for patient management.

摘要

在不到5个月的爆发期内,新冠病毒肺炎已在全球感染了超过200万人。对于具有中重度临床特征且疾病预检概率高的新冠病毒肺炎疑似病例,建议进行胸部成像检查,这可能有助于患者的随访,并识别疾病恶化风险较高的患者。这篇图文并茂的文章阐述了新冠病毒肺炎的典型和不常见的影像学表现以及成像在患者管理中的作用。

https://cdn.ncbi.nlm.nih.gov/pmc/blobs/746f/7352095/020e9b566e51/10140_2020_1817_Fig1_HTML.jpg

文献AI研究员

20分钟写一篇综述,助力文献阅读效率提升50倍。

立即体验

用中文搜PubMed

大模型驱动的PubMed中文搜索引擎

马上搜索

文档翻译

学术文献翻译模型,支持多种主流文档格式。

立即体验