Suppr超能文献

鳄梨(Mill.(樟科))种子的乙醇提取物成功诱导大鼠子宫内膜异位症模型中的植入物退化并恢复卵巢动态。

The Ethanol Extract of Avocado ( Mill. (Lauraceae)) Seeds Successfully Induces Implant Regression and Restores Ovarian Dynamic in a Rat Model of Endometriosis.

作者信息

Minko Essono Stéphane, Mvondo Marie Alfrede, Ngadjui Esther, Kemka Nguimatio François Xavier, Watcho Pierre

机构信息

Animal Physiology and Phytopharmacology Laboratory, University of Dschang, P.O. Box 67, Dschang, Cameroon.

出版信息

Evid Based Complement Alternat Med. 2020 Jul 25;2020:8521831. doi: 10.1155/2020/8521831. eCollection 2020.

Abstract

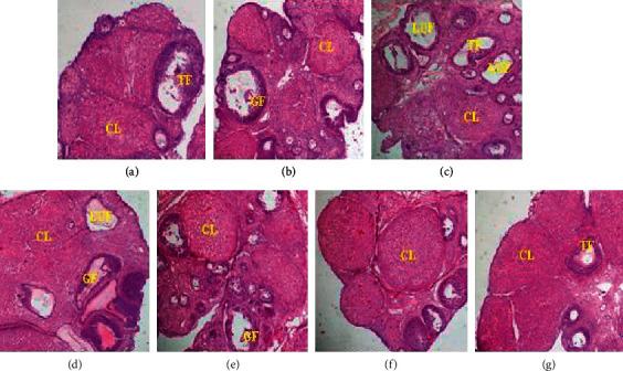
Endometriosis is an estrogen-dependent disease with conventional therapies which do not have desirable effectiveness and possess many side effects. Scientific evidences suggest that medicinal plants with antioxidant, anti-inflammatory, and/or antiproliferative properties are potential alternatives for the treatment of endometriosis. The ethanol extract of Mill. (Lauraceae) seeds was found exhibiting antiproliferative properties and . This study therefore is aimed at investigating the effects of such an extract on an experimental model of endometriosis. Endometriosis was induced by grafting uterine fragments onto the peritoneum of female Wistar rats. After checking the success of the transplantation surgery, animals with endometriosis were orally treated with the ethanol extract of seeds at the doses of 12.5, 25, and 50 mg/kg. The positive control was treated with letrozole (10 mg/kg) while the negative control received the vehicle. Treatments lasted 7 days and animals were sacrificed thereafter. Endometrial implant volume was determined. Estradiol and progesterone levels were measured in serum samples and endometriosis lesions. The oxidative status of endometriosis lesions was evaluated. Histological analysis of endometriosis lesions, uterus, and ovaries was also performed. Results showed that the ethanol extract of seeds decreased endometrial implant volume ( < 0.001) and serum levels of estradiol and progesterone ( < 0.01). The levels of estradiol also decreased in endometriosis lesions at doses of 12.5 and 50 mg/kg ( < 0.001). Both malondialdehyde and glutathione levels increased in endometriosis lesions ( < 0.001). The ectopic endometrium height decreased and the number of antral follicles and corpora lutea ( < 0.05) increased while that of luteinized unruptured follicles decreased ( < 0.001). In conclusion, the ethanol extract of seeds displayed an antiendometriosis effect suggesting that it could be a potential alternative for the treatment of endometriosis.

摘要

子宫内膜异位症是一种雌激素依赖性疾病,传统治疗方法效果不理想且有许多副作用。科学证据表明,具有抗氧化、抗炎和/或抗增殖特性的药用植物是治疗子宫内膜异位症的潜在替代方法。发现樟科植物种子的乙醇提取物具有抗增殖特性以及……。因此,本研究旨在调查这种提取物对子宫内膜异位症实验模型的影响。通过将子宫碎片移植到雌性Wistar大鼠的腹膜上诱导子宫内膜异位症。在检查移植手术成功后,对患有子宫内膜异位症的动物口服给予种子乙醇提取物,剂量分别为12.5、25和50mg/kg。阳性对照用来曲唑(10mg/kg)治疗,阴性对照接受赋形剂。治疗持续7天,之后处死动物。测定子宫内膜植入物的体积。测量血清样本和子宫内膜异位症病变中的雌二醇和孕酮水平。评估子宫内膜异位症病变的氧化状态。还对子宫内膜异位症病变、子宫和卵巢进行了组织学分析。结果表明,种子乙醇提取物可降低子宫内膜植入物体积(P<0.001)以及血清雌二醇和孕酮水平(P<0.01)。在剂量为12.5和50mg/kg时,子宫内膜异位症病变中的雌二醇水平也降低(P<0.001)。子宫内膜异位症病变中的丙二醛和谷胱甘肽水平均升高(P<0.001)。异位子宫内膜高度降低,窦状卵泡和黄体数量增加(P<0.05),而黄素化未破裂卵泡数量减少(P<0.001)。总之,种子乙醇提取物显示出抗子宫内膜异位症的作用,表明它可能是治疗子宫内膜异位症的一种潜在替代方法。

https://cdn.ncbi.nlm.nih.gov/pmc/blobs/2c27/7397419/b0d38a34af02/ECAM2020-8521831.001.jpg

文献检索

告别复杂PubMed语法,用中文像聊天一样搜索,搜遍4000万医学文献。AI智能推荐,让科研检索更轻松。

立即免费搜索

文件翻译

保留排版,准确专业,支持PDF/Word/PPT等文件格式,支持 12+语言互译。

免费翻译文档

深度研究

AI帮你快速写综述,25分钟生成高质量综述,智能提取关键信息,辅助科研写作。

立即免费体验