Suppr超能文献

患有甲状腺功能亢进症的青春期女性二尖瓣脱垂

Mitral valve prolapse in adolescent female with hyperthyroidism.

作者信息

Griffith Elliot, Nunlist Eva

机构信息

Nemours Cardiac Center, Nemours Children's Hospital, Orlando, FL, United States of America.

Department of Pediatrics, University of Central Florida College of Medicine, Orlando, FL, United States of America.

出版信息

Prog Pediatr Cardiol. 2020 Sep;58:101264. doi: 10.1016/j.ppedcard.2020.101264. Epub 2020 Jun 25.

Abstract

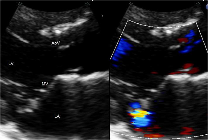
Mitral valve prolapse is prevalent in about 6% of young healthy females yet two to three times as prevalent in patients with hyperthyroidism [1, 8]. Hyperthyroidism is often missed as an underlying diagnosis when mitral valve prolapse is visualized by echocardiogram. There are many cardiac findings reported in the literature associated with hyperthyroidism. However, hyperthyroidism may be difficult to diagnose in the early stages of the disease process without other classic signs and symptoms. We report a case of an adolescent female who presented to our cardiology clinic with palpitations and chest pain diagnosed with hyperthyroidism after subtle findings of mitral valve prolapse and trivial mitral regurgitation. This case report will review the classic cardiac changes which may be observed on echocardiography in patients with hyperthyroidism.

摘要

二尖瓣脱垂在约6%的年轻健康女性中普遍存在,但在甲状腺功能亢进患者中的发生率是前者的两到三倍[1, 8]。当通过超声心动图发现二尖瓣脱垂时,甲状腺功能亢进常被漏诊为潜在病因。文献中报道了许多与甲状腺功能亢进相关的心脏表现。然而,在疾病早期,如果没有其他典型的体征和症状,甲状腺功能亢进可能难以诊断。我们报告一例青少年女性,因心悸和胸痛就诊于我们的心脏病诊所,在发现轻微的二尖瓣脱垂和轻度二尖瓣反流后被诊断为甲状腺功能亢进。本病例报告将回顾甲状腺功能亢进患者超声心动图上可能观察到的典型心脏变化。

https://cdn.ncbi.nlm.nih.gov/pmc/blobs/5e71/7315958/c302ba0690e9/gr1_lrg.jpg

文献AI研究员

20分钟写一篇综述,助力文献阅读效率提升50倍。

立即体验

用中文搜PubMed

大模型驱动的PubMed中文搜索引擎

马上搜索

文档翻译

学术文献翻译模型,支持多种主流文档格式。

立即体验