• 文献检索
  • 文档翻译
  • 深度研究
  • 学术资讯
  • Suppr Zotero 插件Zotero 插件
  • 邀请有礼
  • 套餐&价格
  • 历史记录
应用&插件
Suppr Zotero 插件Zotero 插件浏览器插件Mac 客户端Windows 客户端微信小程序
定价
高级版会员购买积分包购买API积分包
服务
文献检索文档翻译深度研究API 文档MCP 服务
关于我们
关于 Suppr公司介绍联系我们用户协议隐私条款
关注我们

Suppr 超能文献

核心技术专利:CN118964589B侵权必究
粤ICP备2023148730 号-1Suppr @ 2026

文献检索

告别复杂PubMed语法,用中文像聊天一样搜索,搜遍4000万医学文献。AI智能推荐,让科研检索更轻松。

立即免费搜索

文件翻译

保留排版,准确专业,支持PDF/Word/PPT等文件格式,支持 12+语言互译。

免费翻译文档

深度研究

AI帮你快速写综述,25分钟生成高质量综述,智能提取关键信息,辅助科研写作。

立即免费体验

肺泡型棘球蚴病的诊断难点(病例报告)

Difficulties in diagnosing the alveolar echinococcosis (case report).

作者信息

Kaliyeva Dinar, Yukhnevich Yekaterina, Abatov Nurkassi, Nurbekov Aydin

机构信息

Department of Surgical Diseases, Karaganda Medical University, 40, Gogolia str, Karaganda 10017, Kazakhstan.

Department of Clinical Pharmacology and Evidence-Based Medicine, Karaganda Medical University, 40, Gogolia str, Karaganda 10017, Kazakhstan.

出版信息

Int J Surg Case Rep. 2020;75:258-260. doi: 10.1016/j.ijscr.2020.08.025. Epub 2020 Aug 31.

DOI:10.1016/j.ijscr.2020.08.025
PMID:32977148
原文链接:https://pmc.ncbi.nlm.nih.gov/articles/PMC7516185/
Abstract

INTRODUCTION

Alveolar echinococcosis is dangerous parasitic zoonose with the large endemic area. This disease has a high prevalence in Kazakhstan.

PRESENTATION OF CASE

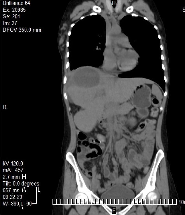
We report on a 45-year woman suffering from alveolar echinococcosis with a huge cystic mass and difficulty of differential diagnosis. She was hospitalized for surgery with primary diagnosis of hydatid disease. The liver carcinoma was suspected during surgery due to the huge size and structure of the mass. This mass was totally removed. The alveolar echinococcosis was confirmed by histopathological examination.

DISCUSSION

Essential features of this case are the large size of the lesion with a dense consistency and the germination of blood vessels, which unusual for alveolar echinococcosis. Total resection and Albendazole therapy was successful for patient, she didn't have a relapse during the follow-up examination.

CONCLUSION

This report may provide new aspects of visualization of alveolar echinococcosis and highlight the necessity for the upgrade of the diagnosis tactic.

摘要

引言

肺泡型棘球蚴病是一种危险的寄生虫性人畜共患病,流行区域广泛。该病在哈萨克斯坦发病率很高。

病例介绍

我们报告了一名45岁患有肺泡型棘球蚴病的女性,其患有巨大囊肿性肿块且鉴别诊断困难。她因初步诊断为包虫病而住院接受手术。由于肿块的巨大尺寸和结构,手术期间怀疑为肝癌。该肿块被完全切除。经组织病理学检查确诊为肺泡型棘球蚴病。

讨论

该病例的主要特征是病变体积大、质地致密以及血管增生,这在肺泡型棘球蚴病中并不常见。对患者进行全切除和阿苯达唑治疗取得成功,在随访检查期间她未复发。

结论

本报告可能为肺泡型棘球蚴病的可视化提供新的视角,并强调升级诊断策略的必要性。

https://cdn.ncbi.nlm.nih.gov/pmc/blobs/fd51/7516185/ce8db3b1415e/gr5.jpg
https://cdn.ncbi.nlm.nih.gov/pmc/blobs/fd51/7516185/61dde867e3c0/gr1.jpg
https://cdn.ncbi.nlm.nih.gov/pmc/blobs/fd51/7516185/59ecca37f68e/gr2.jpg
https://cdn.ncbi.nlm.nih.gov/pmc/blobs/fd51/7516185/3fcb3592aae7/gr3.jpg
https://cdn.ncbi.nlm.nih.gov/pmc/blobs/fd51/7516185/e5356d43f577/gr4.jpg
https://cdn.ncbi.nlm.nih.gov/pmc/blobs/fd51/7516185/ce8db3b1415e/gr5.jpg
https://cdn.ncbi.nlm.nih.gov/pmc/blobs/fd51/7516185/61dde867e3c0/gr1.jpg
https://cdn.ncbi.nlm.nih.gov/pmc/blobs/fd51/7516185/59ecca37f68e/gr2.jpg
https://cdn.ncbi.nlm.nih.gov/pmc/blobs/fd51/7516185/3fcb3592aae7/gr3.jpg
https://cdn.ncbi.nlm.nih.gov/pmc/blobs/fd51/7516185/e5356d43f577/gr4.jpg
https://cdn.ncbi.nlm.nih.gov/pmc/blobs/fd51/7516185/ce8db3b1415e/gr5.jpg

相似文献

1
Difficulties in diagnosing the alveolar echinococcosis (case report).肺泡型棘球蚴病的诊断难点(病例报告)
Int J Surg Case Rep. 2020;75:258-260. doi: 10.1016/j.ijscr.2020.08.025. Epub 2020 Aug 31.
2
Disseminated alveolar echinococcosis resembling metastatic malignancy: a case report.播散性肺泡型棘球蚴病酷似转移性恶性肿瘤:一例报告
J Med Case Rep. 2017 Apr 18;11(1):113. doi: 10.1186/s13256-017-1279-2.
3
Coinfection with hepatic cystic and alveolar echinococcosis with abdominal wall abscess and sinus tract formation: A case report.肝囊性和泡状棘球蚴病合并腹壁脓肿及窦道形成:一例报告
World J Hepatol. 2024 Feb 27;16(2):279-285. doi: 10.4254/wjh.v16.i2.279.
4
Cerebral alveolar echinococcosis. A case report with MRI and review of the literature.脑泡型棘球蚴病。一例MRI病例报告并文献复习
J Neurosurg Sci. 2007 Sep;51(3):145-51; discussion 151.
5
Vertebral alveolar echinococcosis-a case report, systematic analysis, and review of the literature.脊柱泡型棘球蚴病:病例报告、系统分析和文献回顾。
Lancet Infect Dis. 2018 Mar;18(3):e87-e98. doi: 10.1016/S1473-3099(17)30335-3. Epub 2017 Aug 11.
6
Liver Transplantation for Incurable Alveolar Echinococcosis: An Analysis of Patients Hospitalized in Department of Tropical and Parasitic Diseases in Gdynia.不可治愈性肺泡型肝包虫病的肝移植:格但斯克热带与寄生虫病科住院患者分析
Transplant Proc. 2016 Jun;48(5):1708-12. doi: 10.1016/j.transproceed.2016.01.087.
7
Diagnosis and treatment of mixed infection of hepatic cystic and alveolar : Four case reports.肝囊肿与肝泡状棘球蚴混合感染的诊断与治疗:四例报告
World J Clin Cases. 2020 Sep 6;8(17):3911-3919. doi: 10.12998/wjcc.v8.i17.3911.
8
Autochthonous human alveolar echinococcosis in a Hungarian patient.一名匈牙利患者的自体人类肺泡型棘球蚴病
Infection. 2017 Feb;45(1):107-110. doi: 10.1007/s15010-016-0918-7. Epub 2016 Jun 28.
9
Orbital alveolar echinococcosis: A case report.眼眶-牙槽棘球蚴病:一例报告
J Curr Ophthalmol. 2017 Nov 9;30(2):182-185. doi: 10.1016/j.joco.2017.09.005. eCollection 2018 Jun.
10
Hydatidosis of infratemporal fossa with proptosis - an unusual presentation: a case report and review of the literature.颞下窝包虫病伴眼球突出——一种不寻常的表现:病例报告及文献复习
J Med Case Rep. 2018 Oct 17;12(1):309. doi: 10.1186/s13256-018-1812-y.

引用本文的文献

1
Contrast-enhanced ultrasound (CEUS) in patients with metastasis-like hepatic alveolar echinococcosis: a cohort study.伴有转移样表现的肝泡型包虫病患者的超声造影:一项队列研究。
J Ultrasound. 2023 Mar;26(1):129-136. doi: 10.1007/s40477-022-00688-x. Epub 2022 May 21.

本文引用的文献

1
Anti-echinococcal activity of menthol and a novel prodrug, menthol-pentanol, against Echinococcus multilocularis.薄荷醇和一种新前药薄荷醇-戊醇抗细粒棘球蚴的作用。
Acta Trop. 2020 May;205:105411. doi: 10.1016/j.actatropica.2020.105411. Epub 2020 Feb 23.
2
Surgery versus conservative drug therapy in alveolar echinococcosis patients in Germany - A health-related quality of life comparison.德国肺泡型包虫病患者手术与保守药物治疗的比较——与健康相关的生活质量对比
Food Waterborne Parasitol. 2019 May 30;16:e00057. doi: 10.1016/j.fawpar.2019.e00057. eCollection 2019 Sep.
3
Surgical treatment strategies for hepatic alveolar echinococcosis.
肝泡型包虫病的外科治疗策略
Food Waterborne Parasitol. 2019 Apr 5;15:e00050. doi: 10.1016/j.fawpar.2019.e00050. eCollection 2019 Jun.
4
Worldwide literature on epidemiology of human alveolar echinococcosis: a systematic review of research published in the twenty-first century.全球人类泡型包虫病流行病学文献:二十一世纪发表研究的系统评价。
Infection. 2019 Oct;47(5):703-727. doi: 10.1007/s15010-019-01325-2. Epub 2019 May 30.
5
Echinococcosis: Advances in the 21st Century.包虫病:21 世纪的进展。
Clin Microbiol Rev. 2019 Feb 13;32(2). doi: 10.1128/CMR.00075-18. Print 2019 Mar 20.
6
The SCARE 2018 statement: Updating consensus Surgical CAse REport (SCARE) guidelines.SCARE 2018 声明:更新共识手术病例报告(SCARE)指南。
Int J Surg. 2018 Dec;60:132-136. doi: 10.1016/j.ijsu.2018.10.028. Epub 2018 Oct 18.
7
Global Distribution of Alveolar and Cystic Echinococcosis.肺泡型和囊型棘球蚴病的全球分布
Adv Parasitol. 2017;95:315-493. doi: 10.1016/bs.apar.2016.11.001. Epub 2017 Jan 20.
8
Alveolar echinococcosis-spreading disease challenging clinicians: a case report and literature review.泡型包虫病——一种极具挑战性的临床疾病:病例报告及文献复习。
World J Gastroenterol. 2013 Jul 14;19(26):4257-61. doi: 10.3748/wjg.v19.i26.4257.
9
Hepatic echinococcosis: clinical and therapeutic aspects.肝包虫病:临床与治疗方面。
World J Gastroenterol. 2012 Apr 7;18(13):1448-58. doi: 10.3748/wjg.v18.i13.1448.
10
Case studies emphasising the difficulties in the diagnosis and management of alveolar echinococcosis in rural China.强调在中国农村诊断和治疗泡型包虫病困难的病例研究。
Parasit Vectors. 2011 Oct 9;4:196. doi: 10.1186/1756-3305-4-196.