• 文献检索
  • 文档翻译
  • 深度研究
  • 学术资讯
  • Suppr Zotero 插件Zotero 插件
  • 邀请有礼
  • 套餐&价格
  • 历史记录
应用&插件
Suppr Zotero 插件Zotero 插件浏览器插件Mac 客户端Windows 客户端微信小程序
定价
高级版会员购买积分包购买API积分包
服务
文献检索文档翻译深度研究API 文档MCP 服务
关于我们
关于 Suppr公司介绍联系我们用户协议隐私条款
关注我们

Suppr 超能文献

核心技术专利:CN118964589B侵权必究
粤ICP备2023148730 号-1Suppr @ 2026

文献检索

告别复杂PubMed语法,用中文像聊天一样搜索,搜遍4000万医学文献。AI智能推荐,让科研检索更轻松。

立即免费搜索

文件翻译

保留排版,准确专业,支持PDF/Word/PPT等文件格式,支持 12+语言互译。

免费翻译文档

深度研究

AI帮你快速写综述,25分钟生成高质量综述,智能提取关键信息,辅助科研写作。

立即免费体验

大鼠肺中降钙素基因相关肽免疫反应性:光镜和电镜研究

Calcitonin gene related peptide immunoreactivity in rat lung: light and electron microscopic study.

作者信息

Lauweryns J M, van Ranst L

出版信息

Thorax. 1987 Mar;42(3):183-9. doi: 10.1136/thx.42.3.183.

DOI:10.1136/thx.42.3.183
PMID:3303426
原文链接:https://pmc.ncbi.nlm.nih.gov/articles/PMC460686/
Abstract

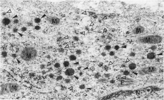
Calcitonin gene related peptide immunoreactivity was investigated in the rat lung. Immunoreactive material was observed in nerve fibres surrounding bronchi, bronchioli, and blood vessels, and also in neuroendocrine cells and neuroepithelial bodies. In addition, the peptide was identified by immunoelectron microscopy in dense cored vesicles of granulated cells of the neuroepithelial bodies. These observations suggest that calcitonin gene related peptide plays a part in the regulatory function of the rat respiratory tract, exerting its influence by endocrine, paracrine, neurosecretory pathways, or a combination of these.

摘要

在大鼠肺中研究了降钙素基因相关肽免疫反应性。在支气管、细支气管和血管周围的神经纤维中以及神经内分泌细胞和神经上皮小体中观察到免疫反应物质。此外,通过免疫电子显微镜在神经上皮小体颗粒细胞的致密核心囊泡中鉴定出该肽。这些观察结果表明,降钙素基因相关肽在大鼠呼吸道的调节功能中起作用,通过内分泌、旁分泌、神经分泌途径或这些途径的组合发挥其影响。

https://cdn.ncbi.nlm.nih.gov/pmc/blobs/8a00/460686/820c4e2a238b/thorax00255-0027-b.jpg
https://cdn.ncbi.nlm.nih.gov/pmc/blobs/8a00/460686/9d1b3a8e9161/thorax00255-0025-a.jpg
https://cdn.ncbi.nlm.nih.gov/pmc/blobs/8a00/460686/ef1b40e1cf12/thorax00255-0025-b.jpg
https://cdn.ncbi.nlm.nih.gov/pmc/blobs/8a00/460686/3b852d0e996f/thorax00255-0025-c.jpg
https://cdn.ncbi.nlm.nih.gov/pmc/blobs/8a00/460686/ee60b1f69b7e/thorax00255-0025-d.jpg
https://cdn.ncbi.nlm.nih.gov/pmc/blobs/8a00/460686/4a9980c58cfc/thorax00255-0026-a.jpg
https://cdn.ncbi.nlm.nih.gov/pmc/blobs/8a00/460686/f4cd99765801/thorax00255-0026-b.jpg
https://cdn.ncbi.nlm.nih.gov/pmc/blobs/8a00/460686/83267772c8c5/thorax00255-0027-a.jpg
https://cdn.ncbi.nlm.nih.gov/pmc/blobs/8a00/460686/820c4e2a238b/thorax00255-0027-b.jpg
https://cdn.ncbi.nlm.nih.gov/pmc/blobs/8a00/460686/9d1b3a8e9161/thorax00255-0025-a.jpg
https://cdn.ncbi.nlm.nih.gov/pmc/blobs/8a00/460686/ef1b40e1cf12/thorax00255-0025-b.jpg
https://cdn.ncbi.nlm.nih.gov/pmc/blobs/8a00/460686/3b852d0e996f/thorax00255-0025-c.jpg
https://cdn.ncbi.nlm.nih.gov/pmc/blobs/8a00/460686/ee60b1f69b7e/thorax00255-0025-d.jpg
https://cdn.ncbi.nlm.nih.gov/pmc/blobs/8a00/460686/4a9980c58cfc/thorax00255-0026-a.jpg
https://cdn.ncbi.nlm.nih.gov/pmc/blobs/8a00/460686/f4cd99765801/thorax00255-0026-b.jpg
https://cdn.ncbi.nlm.nih.gov/pmc/blobs/8a00/460686/83267772c8c5/thorax00255-0027-a.jpg
https://cdn.ncbi.nlm.nih.gov/pmc/blobs/8a00/460686/820c4e2a238b/thorax00255-0027-b.jpg

相似文献

1
Calcitonin gene related peptide immunoreactivity in rat lung: light and electron microscopic study.大鼠肺中降钙素基因相关肽免疫反应性:光镜和电镜研究
Thorax. 1987 Mar;42(3):183-9. doi: 10.1136/thx.42.3.183.
2
Immuno-electron microscopic study of calcitonin gene-related peptide (CGRP) in axis cylinders of the vagus nerve. CGRP is present in both myelinated and unmyelinated fibers.迷走神经轴突中降钙素基因相关肽(CGRP)的免疫电子显微镜研究。CGRP存在于有髓纤维和无髓纤维中。
Brain Res. 1988 Feb 2;440(1):153-8. doi: 10.1016/0006-8993(88)91168-7.
3
Immunoreactivity for calcitonin gene-related peptide in neuroepithelial bodies of the newborn cat.新生猫神经上皮小体中降钙素基因相关肽的免疫反应性
Cell Tissue Res. 1987 Aug;249(2):337-40. doi: 10.1007/BF00215517.
4
Calcitonin gene-related peptide immunoreactivity in adult mouse lung.成年小鼠肺中降钙素基因相关肽免疫反应性
Eur J Histochem. 1997;41(2):119-26.
5
An ultrastructural study of calcitonin gene-related peptide-immunoreactive nerve fibers innervating the rat posterior longitudinal ligament. A morphologic basis for their possible efferent actions.降钙素基因相关肽免疫反应性神经纤维支配大鼠后纵韧带的超微结构研究。其可能传出作用的形态学基础。
Spine (Phila Pa 1976). 1997 Sep 1;22(17):1941-7. doi: 10.1097/00007632-199709010-00001.
6
Substance P- and CGRP-immunoreactive nerves in bone.骨中P物质和降钙素基因相关肽免疫反应性神经
Peptides. 1988 Jan-Feb;9(1):165-71. doi: 10.1016/0196-9781(88)90023-x.
7
Calcitonin gene-related peptide- and substance P-immunoreactive nerve fibers in Meissner's corpuscles of rats: an immunohistochemical analysis.大鼠迈斯纳小体中降钙素基因相关肽和P物质免疫反应性神经纤维:免疫组织化学分析
Brain Res. 1988 Jun 21;453(1-2):362-6. doi: 10.1016/0006-8993(88)90179-5.
8
Calcitonin gene-related peptide (CGRP) immunoreactivity in the neuroendocrine Merkel cells and nerve fibres of pig and human skin.猪和人皮肤的神经内分泌默克尔细胞及神经纤维中降钙素基因相关肽(CGRP)免疫反应性
Histochemistry. 1989;92(2):127-32. doi: 10.1007/BF00490231.
9
Evidence for the coexistence of serotonin and calcitonin gene-related peptide at the subcellular level in neuroepithelial bodies in the lung of a marsupial, Isoodon macrourus.有袋动物大尾袋鼩肺神经上皮小体中亚细胞水平上5-羟色胺和降钙素基因相关肽共存的证据。
Cell Tissue Res. 1992 Oct;270(1):199-203. doi: 10.1007/BF00381894.
10
Peptide immunoreactivity of unmyelinated primary afferent axons in rat lumbar dorsal roots.大鼠腰段背根无髓初级传入轴突的肽免疫反应性
J Histochem Cytochem. 1989 Jul;37(7):1047-52. doi: 10.1177/37.7.2471724.

引用本文的文献

1
The Pulmonary NEB ME Is a Complex Intraepithelial Unit.肺神经内分泌小体是一个复杂的上皮内单位。
Adv Anat Embryol Cell Biol. 2021;233:7-18. doi: 10.1007/978-3-030-65817-5_2.
2
Pulmonary Sensory Receptors.肺感觉感受器
Adv Anat Embryol Cell Biol. 2021;233:1-65. doi: 10.1007/978-3-030-65817-5_1.
3
Neurochemical pattern of the complex innervation of neuroepithelial bodies in mouse lungs.小鼠肺脏神经上皮小体复杂神经支配的神经化学模式

本文引用的文献

1
Immunohistochemical localization of serotonin in intrapulmonary neuro-epithelial bodies.肺内神经上皮小体中5-羟色胺的免疫组织化学定位
Cell Tissue Res. 1982;226(1):215-23. doi: 10.1007/BF00217095.
2
Morphometric analysis of hypoxia-induced synaptic activity in intrapulmonary neuroepithelial bodies.肺内神经上皮小体中缺氧诱导的突触活动的形态计量分析
Cell Tissue Res. 1982;226(1):201-14. doi: 10.1007/BF00217094.
3
Bombesin, calcitonin and leu-enkephalin immunoreactivity in endocrine cells of human lung.人肺内分泌细胞中的蛙皮素、降钙素和亮氨酸脑啡肽免疫反应性
Histochem Cell Biol. 2009 Jan;131(1):55-74. doi: 10.1007/s00418-008-0495-7. Epub 2008 Sep 2.
4
Neuroendocrine cells in the cat laryngeal epithelium.猫喉上皮中的神经内分泌细胞。
Eur Arch Otorhinolaryngol. 1996;253(4-5):287-93. doi: 10.1007/BF00171145.
5
Neuroepithelial bodies in the Fawn Hooded rat lung: morphological and neuroanatomical evidence for a sensory innervation.黄褐帽大鼠肺中的神经上皮小体:感觉神经支配的形态学和神经解剖学证据
J Anat. 1993 Dec;183 ( Pt 3)(Pt 3):553-66.
6
Ontogeny of endocrine cells in the respiratory system of Syrian golden hamsters. II. Intrapulmonary airways and alveoli.叙利亚金黄地鼠呼吸系统内分泌细胞的个体发生。II. 肺内气道和肺泡。
Cell Tissue Res. 1994 Jan;275(1):157-67. doi: 10.1007/BF00305383.
7
Calcitonin gene-related peptide (CGRP) immunoreactivity in the neuroendocrine Merkel cells and nerve fibres of pig and human skin.猪和人皮肤的神经内分泌默克尔细胞及神经纤维中降钙素基因相关肽(CGRP)免疫反应性
Histochemistry. 1989;92(2):127-32. doi: 10.1007/BF00490231.
8
Effects and interactions of sensory neuropeptides on airway microvascular leakage in guinea-pigs.感觉神经肽对豚鼠气道微血管渗漏的影响及相互作用
Br J Pharmacol. 1988 Dec;95(4):1109-16. doi: 10.1111/j.1476-5381.1988.tb11745.x.
9
Calcitonin gene-related peptide augments parasympathetic contraction of rabbit tracheal smooth muscle in vitro.降钙素基因相关肽增强家兔气管平滑肌的体外副交感神经收缩作用。
Agents Actions. 1990 Nov;31(3-4):219-24. doi: 10.1007/BF01997611.
10
PYY-like material and its spatial relationship with NPY, CGRP and 5-HT in the lung of the Syrian golden hamster.叙利亚金黄地鼠肺中类PYY物质及其与NPY、CGRP和5-HT的空间关系。
Cell Tissue Res. 1990 Dec;262(3):543-50. doi: 10.1007/BF00305251.
Experientia. 1981 Jul 15;37(7):765-7. doi: 10.1007/BF01967969.
4
Inverted logic.反向逻辑。
Nature. 1984;308(5962):776. doi: 10.1038/308776b0.
5
Release of the predicted calcitonin gene-related peptide from cultured rat trigeminal ganglion cells.从培养的大鼠三叉神经节细胞中释放预测的降钙素基因相关肽。
Nature. 1984;308(5960):653-5. doi: 10.1038/308653a0.
6
Production of a novel neuropeptide encoded by the calcitonin gene via tissue-specific RNA processing.通过组织特异性RNA加工产生由降钙素基因编码的一种新型神经肽。
Nature. 1983;304(5922):129-35. doi: 10.1038/304129a0.
7
Calcitonin gene-related peptide immunoreactivity in the spinal cord of man and of eight other species.人及其他八个物种脊髓中降钙素基因相关肽免疫反应性
J Neurosci. 1984 Dec;4(12):3101-11. doi: 10.1523/JNEUROSCI.04-12-03101.1984.
8
Ultrastructural localization of antigenic sites on osmium-fixed tissues applying the protein A-gold technique.应用蛋白A-金技术对锇固定组织上抗原位点进行超微结构定位。
J Histochem Cytochem. 1983 Jan;31(1):101-9. doi: 10.1177/31.1.6187796.
9
Immunogold staining procedure for the localisation of regulatory peptides.用于调节肽定位的免疫金染色程序。
Peptides. 1982 May-Jun;3(3):259-72. doi: 10.1016/0196-9781(82)90086-9.
10
Neuro-epithelial bodies in the respiratory mucosa of various mammals. A light optical, histochemical and ultrastructural investigation.各种哺乳动物呼吸道黏膜中的神经上皮小体。一项光学显微镜、组织化学和超微结构研究。
Z Zellforsch Mikrosk Anat. 1972;135(4):569-92. doi: 10.1007/BF00583438.