Suppr超能文献

SARS-CoV-2-associated encephalitis: arguments for a post-infectious mechanism.

作者信息

Picod Adrien, Dinkelacker Vera, Savatovsky Julien, Trouiller Pierre, Guéguen Antoine, Engrand Nicolas

机构信息

Neuro-Intensive Care Unit, Fondation Ophtalmologique Adolphe de Rothschild, 29 rue Manin, 75019, Paris, France.

Department of Neurology, Fondation Ophtalmologique Adolphe de Rothschild, 29 rue Manin, 75019, Paris, France.

出版信息

Crit Care. 2020 Nov 23;24(1):658. doi: 10.1186/s13054-020-03389-1.

Abstract
摘要
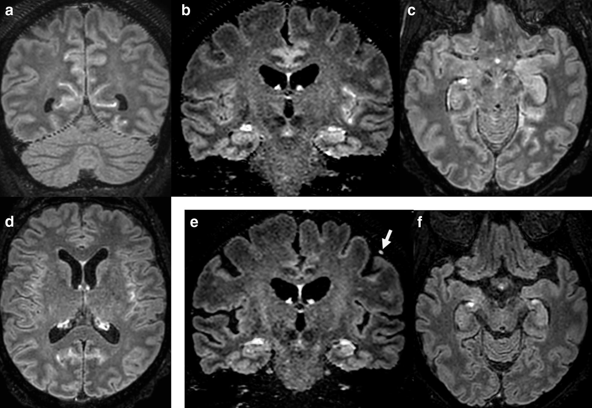
https://cdn.ncbi.nlm.nih.gov/pmc/blobs/917d/7685590/f26fce8b5a9b/13054_2020_3389_Fig1_HTML.jpg

相似文献

1
SARS-CoV-2-associated encephalitis: arguments for a post-infectious mechanism.
Crit Care. 2020 Nov 23;24(1):658. doi: 10.1186/s13054-020-03389-1.
3
SARS-CoV- 2 Encephalitis in an Adolescent Girl.
Indian Pediatr. 2020 Dec 15;57(12):1186-1187. doi: 10.1007/s13312-020-2080-7.
4
Possible Autoimmune Encephalitis with Claustrum Sign in case of Acute SARS-CoV-2 Infection.
Can J Neurol Sci. 2021 May;48(3):430-432. doi: 10.1017/cjn.2020.209. Epub 2020 Sep 17.
5
COVID-19 Post-Infectious Encephalitis Presenting With Delirium as an Initial Manifestation.
J Investig Med High Impact Case Rep. 2021 Jan-Dec;9:23247096211029787. doi: 10.1177/23247096211029787.
6
Delayed presentation of postinfectious encephalitis associated with SARS-CoV-2 infection: a case report.
Neurol Sci. 2021 Sep;42(9):3527-3530. doi: 10.1007/s10072-021-05395-9. Epub 2021 Jun 17.
7
Large and Small Cerebral Vessel Involvement in Severe COVID-19: Detailed Clinical Workup of a Case Series.
Stroke. 2020 Dec;51(12):3719-3722. doi: 10.1161/STROKEAHA.120.031224. Epub 2020 Oct 15.
8
MR Imaging Findings in a Neonate With COVID -19-Associated Encephalitis.
Pediatr Neurol. 2021 Jun;119:48-49. doi: 10.1016/j.pediatrneurol.2021.02.012. Epub 2021 Mar 9.
9
Ischemic stroke related to HIV and SARS-COV-2 co-infection: a case report.
Rev Soc Bras Med Trop. 2020 Nov 25;53:e20200692. doi: 10.1590/0037-8682-0692-2020. eCollection 2020.
10
Teaching NeuroImages: SARS-CoV-2-Related Encephalitis: MRI Pattern of Olfactory Tract Involvement.
Neurology. 2021 Jan 26;96(4):e645-e646. doi: 10.1212/WNL.0000000000011150. Epub 2020 Nov 5.

引用本文的文献

1
Unraveling Genetic Causality Between Type 2 Diabetes Mellitus and Hemiplegia Based on Mendelian Randomization.
J Multidiscip Healthc. 2025 Aug 7;18:4893-4901. doi: 10.2147/JMDH.S543296. eCollection 2025.
2
Post-COVID-19 Encephalitis With Claustrum Sign Responsive to Immunomodulation.
Cureus. 2023 Feb 23;15(2):e35363. doi: 10.7759/cureus.35363. eCollection 2023 Feb.
4
Encephalitis in Patients with COVID-19: A Systematic Evidence-Based Analysis.
Cells. 2022 Aug 18;11(16):2575. doi: 10.3390/cells11162575.
5
[Manifestations of the central nervous system after COVID-19].
Nervenarzt. 2022 Aug;93(8):769-778. doi: 10.1007/s00115-022-01294-2. Epub 2022 May 12.
6
Posterior reversible encephalopathy syndrome - A pathology that should not be overlooked in the era of COVID-19.
Am J Emerg Med. 2022 Jun;56:393.e5-393.e8. doi: 10.1016/j.ajem.2022.03.005. Epub 2022 Mar 13.
7
COVID-19-Associated Encephalopathy-Case Series and Clinical Considerations.
J Clin Med. 2022 Feb 13;11(4):981. doi: 10.3390/jcm11040981.
8
Association between Long COVID and Overweight/Obesity.
J Clin Med. 2021 Sep 14;10(18):4143. doi: 10.3390/jcm10184143.
9
Age-Associated Neurological Complications of COVID-19: A Systematic Review and Meta-Analysis.
Front Aging Neurosci. 2021 Aug 2;13:653694. doi: 10.3389/fnagi.2021.653694. eCollection 2021.
10
NEUROLOGICAL DYSFUNCTION ASSOCIATED WITH COVID-19.
Rev Bras Ter Intensiva. 2021 Apr-Jun;33(2):325. doi: 10.5935/0103-507X.20210042.

本文引用的文献

1
Delirium and encephalopathy in severe COVID-19: a cohort analysis of ICU patients.
Crit Care. 2020 Aug 8;24(1):491. doi: 10.1186/s13054-020-03200-1.
3
Neurological manifestations of COVID-19: a systematic review.
Crit Care. 2020 Jul 13;24(1):421. doi: 10.1186/s13054-020-03121-z.
4
The emerging spectrum of COVID-19 neurology: clinical, radiological and laboratory findings.
Brain. 2020 Oct 1;143(10):3104-3120. doi: 10.1093/brain/awaa240.
6
Neurologic Manifestations of Hospitalized Patients With Coronavirus Disease 2019 in Wuhan, China.
JAMA Neurol. 2020 Jun 1;77(6):683-690. doi: 10.1001/jamaneurol.2020.1127.

文献AI研究员

20分钟写一篇综述,助力文献阅读效率提升50倍。

立即体验

用中文搜PubMed

大模型驱动的PubMed中文搜索引擎

马上搜索

文档翻译

学术文献翻译模型,支持多种主流文档格式。

立即体验