• 文献检索
  • 文档翻译
  • 深度研究
  • 学术资讯
  • Suppr Zotero 插件Zotero 插件
  • 邀请有礼
  • 套餐&价格
  • 历史记录
应用&插件
Suppr Zotero 插件Zotero 插件浏览器插件Mac 客户端Windows 客户端微信小程序
定价
高级版会员购买积分包购买API积分包
服务
文献检索文档翻译深度研究API 文档MCP 服务
关于我们
关于 Suppr公司介绍联系我们用户协议隐私条款
关注我们

Suppr 超能文献

核心技术专利:CN118964589B侵权必究
粤ICP备2023148730 号-1Suppr @ 2026

文献检索

告别复杂PubMed语法,用中文像聊天一样搜索,搜遍4000万医学文献。AI智能推荐,让科研检索更轻松。

立即免费搜索

文件翻译

保留排版,准确专业,支持PDF/Word/PPT等文件格式,支持 12+语言互译。

免费翻译文档

深度研究

AI帮你快速写综述,25分钟生成高质量综述,智能提取关键信息,辅助科研写作。

立即免费体验

富含酚类物质的洋葱提取物对肉鸡生长性能、行为、肠道组织学、氨基酸消化率、抗氧化活性及免疫状态的影响

Effects of Phenolic-Rich Onion ( L.) Extract on the Growth Performance, Behavior, Intestinal Histology, Amino Acid Digestibility, Antioxidant Activity, and the Immune Status of Broiler Chickens.

作者信息

Omar Anaam E, Al-Khalaifah Hanan S, Mohamed Wafaa A M, Gharib Heba S A, Osman Ali, Al-Gabri Naif A, Amer Shimaa A

机构信息

Department of Nutrition and Clinical Nutrition, Faculty of Veterinary Medicine, Zagazig University, Zagazig, Egypt.

Environment and Life Sciences Research Center, Kuwait Institute for Scientific Research, Kuwait City, Kuwait.

出版信息

Front Vet Sci. 2020 Nov 12;7:582612. doi: 10.3389/fvets.2020.582612. eCollection 2020.

DOI:10.3389/fvets.2020.582612
PMID:33282930
原文链接:https://pmc.ncbi.nlm.nih.gov/articles/PMC7689185/
Abstract

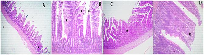
The effect of phenolic-rich onion extract (PROE), as a feed additive, was evaluated on the growth, carcass traits, behavior, welfare, intestinal histology, amino acid ileal digestibility "AID%," and the immune status of broiler chicks for 35 days. A total number of 400, 1-day-old broiler chicks (45.38 g ± 1.35) were allocated to four different treatments with 10 replicates each (100 chicks/treatment) consisting of: T1, basal diet without additives (control treatment) (PROE0); T2, basal diet + phenolic-rich onion extract (1 g/kg diet) (PROE1); T3, basal diet + phenolic-rich onion extract (2 g/kg diet) (PROE2); and T4, basal diet + phenolic-rich onion extract (3 g/kg diet) (PROE3). An increase in the final body weight "FBW," bodyweight gain "BWG," and feed consumption was observed ( < 0.05) at different PROE levels. Also, the thymus and bursa percentages were increased in the PROE2 and PROE3 treatments ( < 0.05). The chicks fed on PROE supplemented diets had increased frequency of feeding and drinking and showed comfortable behavior ( < 0.05) with lesser aggression ( < 0.05). Additionally, an increase was observed in the antioxidant enzyme activity, phagocytic %, phagocytic index, and serum lysozyme activity in PROE supplemented treatments, with the best outcome reported in the PROE3 treatment ( < 0.01). IgM was increased in the birds fed with PROE2 and PROE3 diets ( < 0.01). PROE supplementation increased the AID% of lysine and methionine ( <0.01), PROE3 treatment increased the AID% of threonine ( < 0.05), and PROE2 and PROE3 treatments increased the AID% of leucine and isoleucine ( < 0.05). Besides, PROE2, and PROE3 treatments increased the villus height and width, mucosal thickness, and goblet cell count from the duodena, jejuna, and ilea ( < 0.05) compared to control treatment. Based on these results, we concluded that the dietary addition of phenolic-rich onion extracts can improve the growth rate of broiler chicken by improving the AID% of amino acids and intestinal histology. Also, it can improve the welfare, antioxidant enzymes activity, and immune status of the birds. Phenolic-rich onion extracts can be used as a natural growth promoter in the poultry feed for good health and improved performance.

摘要

作为一种饲料添加剂,富含酚类的洋葱提取物(PROE)对肉鸡生长、胴体性状、行为、福利、肠道组织学、氨基酸回肠消化率“AID%”以及免疫状态的影响进行了为期35天的评估。总共400只1日龄肉鸡雏鸡(45.38克±1.35)被分配到四种不同处理组,每组10个重复(每组100只雏鸡),分别为:T1,不添加添加剂的基础日粮(对照处理)(PROE0);T2,基础日粮+富含酚类的洋葱提取物(1克/千克日粮)(PROE1);T3,基础日粮+富含酚类的洋葱提取物(2克/千克日粮)(PROE2);T4,基础日粮+富含酚类的洋葱提取物(3克/千克日粮)(PROE3)。在不同PROE水平下,观察到最终体重“FBW”、体重增加“BWG”和采食量有所增加(P<0.05)。此外,PROE2和PROE3处理组的胸腺和法氏囊百分比增加(P<0.05)。采食添加PROE日粮的雏鸡采食和饮水频率增加,表现出舒适行为(P<0.05),攻击性降低(P<0.05)。此外,在添加PROE的处理组中,抗氧化酶活性、吞噬%、吞噬指数和血清溶菌酶活性均有所增加,PROE3处理组效果最佳(P<0.01)。饲喂PROE2和PROE3日粮的鸡的IgM增加(P<0.01)。添加PROE提高了赖氨酸和蛋氨酸的AID%(P<0.01),PROE3处理提高了苏氨酸的AID%(P<0.05),PROE2和PROE3处理提高了亮氨酸和异亮氨酸的AID%(P<0.05)。此外,与对照处理相比,PROE2和PROE3处理增加了十二指肠、空肠和回肠的绒毛高度和宽度、黏膜厚度以及杯状细胞数量(P<0.05)。基于这些结果,我们得出结论,日粮中添加富含酚类的洋葱提取物可通过提高氨基酸的AID%和改善肠道组织学来提高肉鸡的生长速度。此外,它还可以改善鸡的福利、抗氧化酶活性和免疫状态。富含酚类的洋葱提取物可作为家禽饲料中的天然生长促进剂,以促进健康并提高生产性能。

https://cdn.ncbi.nlm.nih.gov/pmc/blobs/05d8/7689185/bdc43dfdd0f6/fvets-07-582612-g0004.jpg
https://cdn.ncbi.nlm.nih.gov/pmc/blobs/05d8/7689185/da874b2973fd/fvets-07-582612-g0001.jpg
https://cdn.ncbi.nlm.nih.gov/pmc/blobs/05d8/7689185/25d934f38ec0/fvets-07-582612-g0002.jpg
https://cdn.ncbi.nlm.nih.gov/pmc/blobs/05d8/7689185/5db6c18038c3/fvets-07-582612-g0003.jpg
https://cdn.ncbi.nlm.nih.gov/pmc/blobs/05d8/7689185/bdc43dfdd0f6/fvets-07-582612-g0004.jpg
https://cdn.ncbi.nlm.nih.gov/pmc/blobs/05d8/7689185/da874b2973fd/fvets-07-582612-g0001.jpg
https://cdn.ncbi.nlm.nih.gov/pmc/blobs/05d8/7689185/25d934f38ec0/fvets-07-582612-g0002.jpg
https://cdn.ncbi.nlm.nih.gov/pmc/blobs/05d8/7689185/5db6c18038c3/fvets-07-582612-g0003.jpg
https://cdn.ncbi.nlm.nih.gov/pmc/blobs/05d8/7689185/bdc43dfdd0f6/fvets-07-582612-g0004.jpg

相似文献

1
Effects of Phenolic-Rich Onion ( L.) Extract on the Growth Performance, Behavior, Intestinal Histology, Amino Acid Digestibility, Antioxidant Activity, and the Immune Status of Broiler Chickens.富含酚类物质的洋葱提取物对肉鸡生长性能、行为、肠道组织学、氨基酸消化率、抗氧化活性及免疫状态的影响
Front Vet Sci. 2020 Nov 12;7:582612. doi: 10.3389/fvets.2020.582612. eCollection 2020.
2
Changes in the growth, ileal digestibility, intestinal histology, behavior, fatty acid composition of the breast muscles, and blood biochemical parameters of broiler chickens by dietary inclusion of safflower oil and vitamin C.日粮中添加红花油和维生素 C 对肉鸡生长、回肠消化率、肠道组织学、行为、胸肌脂肪酸组成和血液生化参数的影响。
BMC Vet Res. 2021 Feb 4;17(1):68. doi: 10.1186/s12917-021-02773-5.
3
Effect of supplemental glycerol monolaurate and oregano essential oil blend on the growth performance, intestinal morphology, and amino acid digestibility of broiler chickens.甘油月桂酸单酯和牛至精油混合物对肉鸡生长性能、肠道形态和氨基酸消化率的影响。
BMC Vet Res. 2021 Sep 25;17(1):312. doi: 10.1186/s12917-021-03022-5.
4
Comparative effects of n-hexane and methanol extracts of elecampane (Inula helenium L.) rhizome on growth performance, carcass traits, feed digestibility, intestinal antioxidant status and ileal microbiota in broiler chickens.土木香(Inula helenium L.)根茎正己烷提取物和甲醇提取物对肉鸡生长性能、胴体性状、饲料消化率、肠道抗氧化状态及回肠微生物群的比较效应
Arch Anim Nutr. 2019 Apr;73(2):88-110. doi: 10.1080/1745039X.2019.1581027.
5
Effects of different feeding regimens with protease supplementation on growth, amino acid digestibility, economic efficiency, blood biochemical parameters, and intestinal histology in broiler chickens.不同添加蛋白酶的饲粮饲养方案对肉鸡生长性能、氨基酸消化率、经济效益、血液生化参数和肠道组织形态的影响。
BMC Vet Res. 2021 Aug 25;17(1):283. doi: 10.1186/s12917-021-02946-2.
6
Effects of onion extracts (Allium cepa) inclusion in diets on growth performance, carcass characteristics, and bone morphometric of broiler chickens.日粮中添加洋葱提取物(葱属植物)对肉鸡生长性能、胴体特性和骨形态计量学的影响。
Anim Biosci. 2023 Jul;36(7):1075-1082. doi: 10.5713/ab.22.0399. Epub 2023 Feb 26.
7
Effects of L-Methionine and DL-Methionine on Growth Performance, Methionine-Metabolizing Enzyme Activities, Feather Traits, and Intestinal Morphology of Medium-Growing, Yellow-Feathered Chickens between 1 and 30 Days of Age.L-蛋氨酸和DL-蛋氨酸对1至30日龄中生长黄羽肉鸡生长性能、蛋氨酸代谢酶活性、羽毛性状及肠道形态的影响
Animals (Basel). 2024 Jul 22;14(14):2135. doi: 10.3390/ani14142135.
8
Dietary Spirulina effects in Eimeria-challenged broiler chickens: growth performance, nutrient digestibility, intestinal morphology, serum biomarkers, and gene expression.日粮螺旋藻对受艾美耳球虫攻击的肉鸡的影响:生长性能、养分消化率、肠道形态、血清生物标志物及基因表达
J Anim Sci. 2024 Jan 3;102. doi: 10.1093/jas/skae186.
9
Effect of Dietary Medium-Chain α-Monoglycerides on the Growth Performance, Intestinal Histomorphology, Amino Acid Digestibility, and Broiler Chickens' Blood Biochemical Parameters.日粮中链α-单甘油酯对肉仔鸡生长性能、肠道组织形态学、氨基酸消化率及血液生化参数的影响
Animals (Basel). 2020 Dec 30;11(1):57. doi: 10.3390/ani11010057.
10
Effects of graded dose dietary supplementation of leaf meal and leaf meal on growth performance, apparent ileal digestibility, and gut morphology in broilers.分级剂量日粮添加叶粉和叶粉对肉鸡生长性能、回肠表观消化率及肠道形态的影响。
Saudi J Biol Sci. 2020 Jun;27(6):1503-1513. doi: 10.1016/j.sjbs.2020.04.017. Epub 2020 Apr 18.

引用本文的文献

1
Effects of different concentrations of a white grape marc extract on broiler performance, apparent ileal digestibility, antioxidant capacity, intestinal barrier function and nutrient transport markers.不同浓度白葡萄渣提取物对肉鸡生产性能、回肠表观消化率、抗氧化能力、肠道屏障功能及营养物质转运标志物的影响
Poult Sci. 2025 May 30;104(9):105366. doi: 10.1016/j.psj.2025.105366.
2
Investigating the Effect of Algal Inclusions in Broiler Chickens.研究肉鸡体内藻类包涵体的影响。
Life (Basel). 2025 Apr 17;15(4):670. doi: 10.3390/life15040670.
3
- co-culture: An investigation of bioagents for controlling -induced basal rot in onion.

本文引用的文献

1
Effect of dietary supplemental ascorbic acid and folic acid on the growth performance, redox status, and immune status of broiler chickens under heat stress.日粮添加抗坏血酸和叶酸对热应激条件下肉鸡生长性能、氧化还原状态和免疫状态的影响。
Trop Anim Health Prod. 2020 Nov;52(6):2987-2996. doi: 10.1007/s11250-020-02316-4. Epub 2020 Jun 7.
2
Effect of dietary supplementation of alpha-galactosidase on the growth performance, ileal digestibility, intestinal morphology, and biochemical parameters in broiler chickens.日粮添加α-半乳糖苷酶对肉鸡生长性能、回肠消化率、肠道形态和生化参数的影响。
BMC Vet Res. 2020 May 20;16(1):144. doi: 10.1186/s12917-020-02359-7.
3
- 共培养:用于控制洋葱镰刀菌引起的基腐病的生物制剂研究。
AIMS Microbiol. 2024 Nov 19;10(4):1024-1051. doi: 10.3934/microbiol.2024044. eCollection 2024.
4
Effects of shallot () powder supplementation on growth, intestinal morphology, immune stimulation, and intestinal bacteria in broiler chickens.补充青葱()粉对肉鸡生长、肠道形态、免疫刺激和肠道细菌的影响。 需注意原文中“shallot ()”括号处内容缺失。
Vet World. 2024 Oct;17(10):2338-2346. doi: 10.14202/vetworld.2024.2338-2346. Epub 2024 Oct 17.
5
Enhancing nutritional and potential antimicrobial properties of poultry feed through encapsulation of metagenome-derived multi-enzymes.通过包埋宏基因组衍生的多酶来提高家禽饲料的营养和潜在抗菌特性。
BMC Biotechnol. 2024 Oct 8;24(1):76. doi: 10.1186/s12896-024-00904-y.
6
Diversity of the Morphometric and Biochemical Traits of L. Varieties.L. 品种形态测量和生化特性的多样性。
Plants (Basel). 2024 Jun 22;13(13):1727. doi: 10.3390/plants13131727.
7
Quantification of quercetin from red onion ( L.) powder via high-performance liquid chromatography-ultraviolet (HPLC-UV) and its effect on hyperuricemia in male healthy Wistar albino rats.通过高效液相色谱 - 紫外检测法(HPLC - UV)对红洋葱(L.)粉末中的槲皮素进行定量分析及其对雄性健康Wistar白化大鼠高尿酸血症的影响。
Food Sci Nutr. 2023 Nov 22;12(2):1067-1081. doi: 10.1002/fsn3.3822. eCollection 2024 Feb.
8
Unlocking the Power of Onion Peel Extracts: Antimicrobial and Anti-Inflammatory Effects Improve Wound Healing through Repressing Notch-1/NLRP3/Caspase-1 Signaling.解锁洋葱皮提取物的功效:抗菌和抗炎作用通过抑制Notch-1/NLRP3/半胱天冬酶-1信号通路促进伤口愈合。
Pharmaceuticals (Basel). 2023 Sep 28;16(10):1379. doi: 10.3390/ph16101379.
9
Oleic acid as potential immunostimulant in metabolism pathways of hybrid grouper fingerlings (Epinephelus fuscoguttatus × Epinephelus lanceolatus) infected with Vibrio vulnificus.油酸作为杂交石斑鱼(褐点石斑鱼♀×青石斑鱼♂)感染创伤弧菌后代谢途径中的潜在免疫刺激剂。
Sci Rep. 2023 Aug 8;13(1):12830. doi: 10.1038/s41598-023-40096-7.
10
Effects of garlic, onion, and apple cider vinegar as a herbal mixture on performance and blood traits of broilers inoculated with chicken infectious anemia virus.大蒜、洋葱和苹果醋作为草药混合物对感染鸡传染性贫血病毒的肉鸡生产性能和血液性状的影响。
Heliyon. 2023 Jun 28;9(7):e17768. doi: 10.1016/j.heliyon.2023.e17768. eCollection 2023 Jul.
Dietary supplementation of soybean glycinin can alter the growth, carcass traits, blood biochemical indices, and meat quality of broilers.
大豆球蛋白的膳食补充可以改变肉鸡的生长、胴体特性、血液生化指标和肉质。
Poult Sci. 2020 Feb;99(2):820-828. doi: 10.1016/j.psj.2019.12.026. Epub 2020 Jan 24.
4
Antimicrobial Activity and Chemical Constitution of the Crude, Phenolic-Rich Extracts of and .和 的粗提物、富含酚类的提取物的抗菌活性和化学成分。
Molecules. 2019 Nov 24;24(23):4280. doi: 10.3390/molecules24234280.
5
Does light intensity affect the behavior, welfare, performance, meat quality, amino acid profile, and egg quality of Japanese quails?光照强度是否会影响鹌鹑的行为、福利、生产性能、肉质、氨基酸组成和蛋品质?
Poult Sci. 2019 Aug 1;98(8):3093-3102. doi: 10.3382/ps/pez089.
6
The impact of dietary linseed oil and pomegranate peel extract on broiler growth, carcass traits, serum lipid profile, and meat fatty acid, phenol, and flavonoid contents.日粮亚麻籽油和石榴皮提取物对肉鸡生长性能、胴体性状、血清脂质概况以及肉中脂肪酸、酚类和黄酮类化合物含量的影响。
Asian-Australas J Anim Sci. 2019 Aug;32(8):1161-1171. doi: 10.5713/ajas.18.0522. Epub 2019 Jan 4.
7
Impacts of supplementing growing rabbit diets with whey powder and citric acid on growth performance, nutrient digestibility, meat and bone analysis, and gut health.在生长兔日粮中添加乳清粉和柠檬酸对生长性能、养分消化率、肉和骨分析以及肠道健康的影响。
AMB Express. 2018 May 23;8(1):86. doi: 10.1186/s13568-018-0617-0.
8
Effects of Selenium- and Chromium-Enriched Diets on Growth Performance, Lipid Profile, and Mineral Concentration in Different Tissues of Growing Rabbits.富硒铬日粮对生长兔生长性能、脂类谱及不同组织矿物浓度的影响。
Biol Trace Elem Res. 2019 Jan;187(1):92-99. doi: 10.1007/s12011-018-1356-4. Epub 2018 Apr 27.
9
Impacts of bentonite supplementation on growth, carcass traits, nutrient digestibility, and histopathology of certain organs of rabbits fed diet naturally contaminated with aflatoxin.膨润土对天然受黄曲霉毒素污染日粮饲养家兔生长性能、屠宰性能、养分消化率及某些器官组织病理学的影响。
Environ Sci Pollut Res Int. 2018 Jan;25(2):1340-1349. doi: 10.1007/s11356-017-0578-x. Epub 2017 Oct 31.
10
In vivo effects of Allium cepa L. on the selected gut microflora and intestinal histomorphology in broiler.洋葱对肉鸡特定肠道微生物群和肠道组织形态的体内影响。
Acta Histochem. 2017 Jun;119(5):446-450. doi: 10.1016/j.acthis.2017.04.004. Epub 2017 May 9.