Suppr超能文献

慢病毒诱导的淋巴细胞增生性疾病。表型不同的绵羊慢病毒株的比较致病性。

Lentivirus-induced lymphoproliferative disease. Comparative pathogenicity of phenotypically distinct ovine lentivirus strains.

作者信息

Lairmore M D, Poulson J M, Adducci T A, DeMartini J C

机构信息

Department of Pathology, Colorado State University, College of Veterinary Medicine and Biomedical Sciences, Fort Collins.

出版信息

Am J Pathol. 1988 Jan;130(1):80-90.

Abstract

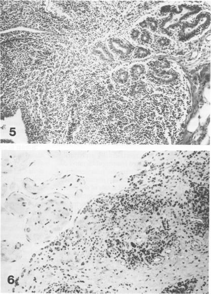
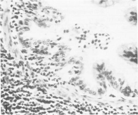
For investigation of the pathogenicity of lentivirus strains, which have distinctly different cytopathic phenotypes in synovial membrane cell culture, plaque-purified, lytic, and nonlytic ovine lentivirus (OvLV) isolates were inoculated intratracheally into two groups of neonatal lambs. Twelve lambs were inoculated with a lytic OvLV isolate and 3 lambs each with two nonlytic OvLV isolates. Five control lambs were inoculated with either virus-free medium or were left uninoculated. In 8 of 12 lambs inoculated with a lytic OvLV isolate mild to severe lesions of lymphoid interstitial pneumonia (LIP) and pulmonary lymphoid hyperplasia developed, 6 of 12 lambs had lesions of pulmonary lymph node follicular hyperplasia, 3 of 9 female lambs had lesions of lymphoproliferative mastitis, 3 of 10 lambs had lesions of lymphocytic/plasmacytic synovitis, and 3 lambs had no lesions. In 3 of 6 lambs inoculated with nonlytic OvLV isolates only mild LIP lesions developed, without concurrent mammary gland or joint lesions. Bronchoalveolar lavage samples from OvLV-diseased lambs contained on average 1.5-fold more numbers of total leukocytes, and 4-fold more numbers of lymphocytes, compared with bronchoalveolar lavage samples of normal lambs. Monoclonal antibodies to ovine lymphocyte surface markers showed that the SBU-T8+ lymphocyte (CD 8 equivalent) was the predominant lymphocyte subset (mean of 65% of total lavaged lymphocytes) in bronchoalveolar lavage samples of 3 diseased lambs. Ovine lentivirus was reisolated from multiple tissues of both groups of OvLV-inoculated lambs, but the percentage of individual tissues infected was greater in lambs inoculated with the lytic viral isolate. Control lambs had no lesions and failed to produce OvLV-specific antibodies or yield OvLV from tissues. All OvLV-inoculated lambs produced either low or undetectable serum virus neutralizing antibodies. In contrast, lambs inoculated with either lytic or nonlytic OvLV produced precipitating antibodies to OvLV glycoprotein and group-specific protein. However, initial detection of precipitating antibodies to OvLV glycoprotein was earlier (mean, 5.8 weeks after inoculation) in OvLV-infected lambs in which severe lymphoproliferative disease developed and delayed (mean, 10.2 weeks after inoculation) in OvLV-infected lambs with mild or no lesions. Together, these results suggest that lentivirus isolates produced disease in a virus strain-dependent manner and suggest that humoral immune responses against OvLV failed to prevent lesion development in lentivirus-infected lambs.(ABSTRACT TRUNCATED AT 400 WORDS)

摘要

为研究在滑膜细胞培养中具有明显不同细胞病变表型的慢病毒株的致病性,将空斑纯化的、溶细胞性和非溶细胞性绵羊慢病毒(OvLV)分离株经气管内接种到两组新生羔羊体内。给12只羔羊接种溶细胞性OvLV分离株,给3只羔羊分别接种两种非溶细胞性OvLV分离株。5只对照羔羊接种无病毒培养基或不接种。在接种溶细胞性OvLV分离株的12只羔羊中,8只出现了轻度至重度的淋巴间质性肺炎(LIP)和肺淋巴组织增生病变,12只中有6只出现肺淋巴结滤泡增生病变,9只雌性羔羊中有3只出现淋巴增生性乳腺炎病变,10只羔羊中有3只出现淋巴细胞/浆细胞性滑膜炎病变,3只羔羊无病变。在接种非溶细胞性OvLV分离株的6只羔羊中,3只仅出现轻度LIP病变,无乳腺或关节并发病变。与正常羔羊的支气管肺泡灌洗样本相比,OvLV患病羔羊的支气管肺泡灌洗样本中总白细胞数量平均多1.5倍,淋巴细胞数量多4倍。针对绵羊淋巴细胞表面标志物的单克隆抗体显示,在3只患病羔羊的支气管肺泡灌洗样本中,SBU-T8 +淋巴细胞(相当于CD 8)是主要的淋巴细胞亚群(平均占总灌洗淋巴细胞的65%)。从两组接种OvLV的羔羊的多个组织中重新分离出绵羊慢病毒,但接种溶细胞性病毒分离株的羔羊中单个组织的感染百分比更高。对照羔羊无病变,未产生OvLV特异性抗体,也未从组织中分离出OvLV。所有接种OvLV的羔羊产生的血清病毒中和抗体水平低或检测不到。相比之下,接种溶细胞性或非溶细胞性OvLV的羔羊产生了针对OvLV糖蛋白和群特异性蛋白的沉淀抗体。然而,在发生严重淋巴增生性疾病的OvLV感染羔羊中,针对OvLV糖蛋白的沉淀抗体的初始检测较早(接种后平均5.8周),而在病变轻微或无病变的OvLV感染羔羊中则延迟(接种后平均10.2周)。总之,这些结果表明慢病毒分离株以病毒株依赖的方式引发疾病,并表明针对OvLV的体液免疫反应未能预防慢病毒感染羔羊的病变发展。(摘要截于400字)

https://cdn.ncbi.nlm.nih.gov/pmc/blobs/0287/1880540/9e24734b50c9/amjpathol00136-0094-a.jpg

文献检索

告别复杂PubMed语法,用中文像聊天一样搜索,搜遍4000万医学文献。AI智能推荐,让科研检索更轻松。

立即免费搜索

文件翻译

保留排版,准确专业,支持PDF/Word/PPT等文件格式,支持 12+语言互译。

免费翻译文档

深度研究

AI帮你快速写综述,25分钟生成高质量综述,智能提取关键信息,辅助科研写作。

立即免费体验