• 文献检索
  • 文档翻译
  • 深度研究
  • 学术资讯
  • Suppr Zotero 插件Zotero 插件
  • 邀请有礼
  • 套餐&价格
  • 历史记录
应用&插件
Suppr Zotero 插件Zotero 插件浏览器插件Mac 客户端Windows 客户端微信小程序
定价
高级版会员购买积分包购买API积分包
服务
文献检索文档翻译深度研究API 文档MCP 服务
关于我们
关于 Suppr公司介绍联系我们用户协议隐私条款
关注我们

Suppr 超能文献

核心技术专利:CN118964589B侵权必究
粤ICP备2023148730 号-1Suppr @ 2026

文献检索

告别复杂PubMed语法,用中文像聊天一样搜索,搜遍4000万医学文献。AI智能推荐,让科研检索更轻松。

立即免费搜索

文件翻译

保留排版,准确专业,支持PDF/Word/PPT等文件格式,支持 12+语言互译。

免费翻译文档

深度研究

AI帮你快速写综述,25分钟生成高质量综述,智能提取关键信息,辅助科研写作。

立即免费体验

[儿童养鸟人肺疾病:关于一例罕见且特殊的病例]

[Bird fancier's disease in a child: about a rare and unusual case].

作者信息

Jallouli Abderrahmane, Fakiri Karima El, Rada Noureddine, Draiss Ghizlane, Bouskraoui Mohammed

机构信息

Unité de Pneumopédiatrie, Service de Pédiatrie A, Centre Hospitalier Universitaire Mohammed VI de Marrakech, Marrakech, Maroc.

Faculté de Médecine et de Pharmacie, Université Cadi Ayyad de Marrakech, Marrakech, Maroc.

出版信息

Pan Afr Med J. 2020 Oct 29;37:189. doi: 10.11604/pamj.2020.37.189.26003. eCollection 2020.

DOI:10.11604/pamj.2020.37.189.26003
PMID:33447344
原文链接:https://pmc.ncbi.nlm.nih.gov/articles/PMC7778181/
Abstract

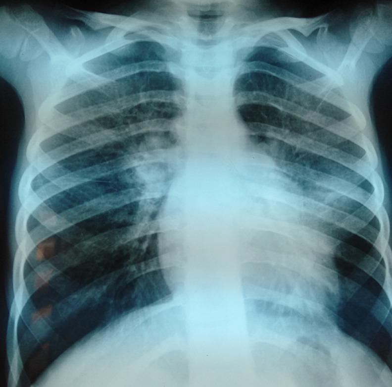
Bird fancier's disease falls within the spectrum of hypersensitivity pneumonitis secondary to immuno-allergic reaction to avian antigens. This occurs only rarely in children. It is found in two-thirds of patients with hypersensitivity pneumonitis. Diagnosis is not so easy. It is based on a body of clinical evidence. We here report the peculiar case of a 7-year-old girl with a family history of atopic disease initially treated as asthma based on the presence of wheezing and dyspnea and cough without improvement. The patient had worsening of symptoms such as dyspnea at rest complicated by cyanosis in respiratory distress. All of this took place in a context of alteration of general state. Clinical examination showed growth retardation, perioral cyanosis with digital hippocratism. Lung auscultation revealed bilateral crackling sounds. Chest X-ray objectified bilateral interstitial syndrome. Chest computed tomography (CT) scan showed diffuse ground-glass opacities. Laboratory tests revealed hypereosinophilia with hyper-IgE and excluded tuberculosis, cystic fibrosis, immune deficiency. In a second stage interview contact with birds was reported. Serological tests for bird fancier's disease were positive. The patient received inhaled corticosteroids associated with avoidance of exposure to birds. After a follow-up of 2 months, outcome was favorable. Given that the signs of bird fancier's disease are non-specific, this should be suspected in patients with respiratory symptoms associated with exposure to avian antigens.

摘要

养鸟人肺疾病属于对禽类抗原免疫过敏反应继发的超敏性肺炎范畴。这种疾病在儿童中极为罕见。在三分之二的超敏性肺炎患者中可发现此病。诊断并非易事,它基于一系列临床证据。我们在此报告一例特殊病例,一名7岁女孩,有特应性疾病家族史,最初因喘息、呼吸困难和咳嗽被诊断为哮喘,但治疗后未见改善。患者出现如静息时呼吸困难加重并伴有呼吸窘迫时发绀等症状恶化情况。所有这些均发生在全身状况改变的背景下。临床检查显示生长发育迟缓、口周发绀伴杵状指。肺部听诊发现双侧有啰音。胸部X线检查显示双侧间质性综合征。胸部计算机断层扫描(CT)显示弥漫性磨玻璃样混浊。实验室检查显示嗜酸性粒细胞增多伴IgE升高,并排除了结核病、囊性纤维化和免疫缺陷。在第二阶段访谈中,患者报告曾接触鸟类。养鸟人肺疾病的血清学检查呈阳性。患者接受了吸入性糖皮质激素治疗,并避免接触鸟类。经过2个月的随访,结果良好。鉴于养鸟人肺疾病的症状不具有特异性,对于有接触禽类抗原相关呼吸道症状的患者应怀疑此病。

https://cdn.ncbi.nlm.nih.gov/pmc/blobs/03eb/7778181/3cf18ed9f0b4/PAMJ-37-189-g002.jpg
https://cdn.ncbi.nlm.nih.gov/pmc/blobs/03eb/7778181/fbf7a4742ca6/PAMJ-37-189-g001.jpg
https://cdn.ncbi.nlm.nih.gov/pmc/blobs/03eb/7778181/3cf18ed9f0b4/PAMJ-37-189-g002.jpg
https://cdn.ncbi.nlm.nih.gov/pmc/blobs/03eb/7778181/fbf7a4742ca6/PAMJ-37-189-g001.jpg
https://cdn.ncbi.nlm.nih.gov/pmc/blobs/03eb/7778181/3cf18ed9f0b4/PAMJ-37-189-g002.jpg

相似文献

1
[Bird fancier's disease in a child: about a rare and unusual case].[儿童养鸟人肺疾病:关于一例罕见且特殊的病例]
Pan Afr Med J. 2020 Oct 29;37:189. doi: 10.11604/pamj.2020.37.189.26003. eCollection 2020.
2
Bird fancier's lung: a series of 86 patients.养鸟人肺:86例患者系列研究
Medicine (Baltimore). 2008 Mar;87(2):110-130. doi: 10.1097/MD.0b013e31816d1dda.
3
Bird fancier's lung: clinical-radiological presentation in 15 cases.养鸟人肺:15例临床-放射学表现
Pneumonol Alergol Pol. 2015;83(1):39-44. doi: 10.5603/PiAP.2015.0005.
4
Rosella parrot exposure as a cause of bird fancier's lung.接触玫瑰鹦鹉作为饲鸟者肺的病因
Arch Environ Occup Health. 2005 Jul-Aug;60(4):187-92. doi: 10.3200/AEOH.60.4.187-192.
5
[Hypersensitivity pneumopathies ("bird fancier's lung") in children. Diagnostic value of bronchoalveolar lavage].[儿童超敏性肺炎(“养鸟人肺”)。支气管肺泡灌洗的诊断价值]
Arch Fr Pediatr. 1988 Feb;45(2):115-7.
6
Suberosis and bird fancier's disease: a comparative study of radiological, functional and bronchoalveolar lavage profiles.杉尘沉着病和养鸟人肺:放射学、功能及支气管肺泡灌洗特征的比较研究
J Investig Allergol Clin Immunol. 2004;14(1):26-33.
7
Hypersensitivity pneumonia in a schoolchild admitted to the hospital's asthma clinic.一名入住医院哮喘诊所的学童患过敏性肺炎。
Turk J Pediatr. 2015 Sep-Oct;57(5):529-32.
8
Hypersensitivity pneumonitis secondary to lovebirds: a new cause of bird fancier's disease.鹦鹉引起的过敏性肺炎:养鸟人肺的一个新病因。
Eur Respir J. 2008 Aug;32(2):517-21. doi: 10.1183/09031936.00108507.
9
[Pigeon breeder's disease].
Tunis Med. 2010 May;88(5):370-2.
10
[Bird fancier's lung disease (report of two cases)].[养鸟人肺疾病(两例报告)]
Tuberk Toraks. 2007;55(1):103-7.

本文引用的文献

1
[Hypersensitivity pneumonitis in children].[儿童过敏性肺炎]
Rev Mal Respir. 2019 Apr;36(4):495-507. doi: 10.1016/j.rmr.2018.06.010. Epub 2019 Apr 19.
2
Hypersensitivity pneumonitis: insights in diagnosis and pathobiology.过敏性肺炎:诊断与病理生物学的新认识。
Am J Respir Crit Care Med. 2012 Aug 15;186(4):314-24. doi: 10.1164/rccm.201203-0513CI. Epub 2012 Jun 7.
3
Frequency, treatment, and functional outcome in children with hypersensitivity pneumonitis.儿童过敏性肺炎的频率、治疗和功能结局。
Pediatr Pulmonol. 2011 Nov;46(11):1098-107. doi: 10.1002/ppul.21479. Epub 2011 May 26.
4
Bird breeder's disease: a rare diagnosis in young children.
Eur J Pediatr. 2006 Jan;165(1):55-61. doi: 10.1007/s00431-005-1762-4. Epub 2005 Nov 4.
5
Hypersensitivity pneumonitis in children: clinical features, diagnosis, and treatment.儿童过敏性肺炎:临床特征、诊断与治疗
Paediatr Drugs. 2005;7(4):235-44. doi: 10.2165/00148581-200507040-00003.
6
Hypersensitivity pneumonitis in children.儿童过敏性肺炎
Curr Opin Pediatr. 2002 Jun;14(3):323-6. doi: 10.1097/00008480-200206000-00008.
7
Major histocompatibility complex and tumor necrosis factor-alpha polymorphisms in pigeon breeder's disease.鸽饲养者病中的主要组织相容性复合体与肿瘤坏死因子-α多态性
Am J Respir Crit Care Med. 2001 Jun;163(7):1528-33. doi: 10.1164/ajrccm.163.7.2004023.
8
Histologic diagnosis of extrinsic allergic alveolitis.
Am J Surg Pathol. 1988 Jul;12(7):514-8. doi: 10.1097/00000478-198807000-00002.
9
Guidelines for the clinical evaluation of hypersensitivity pneumonitis. Report of the Subcommittee on Hypersensitivity Pneumonitis.
J Allergy Clin Immunol. 1989 Nov;84(5 Pt 2):839-44. doi: 10.1016/0091-6749(89)90349-7.