• 文献检索
  • 文档翻译
  • 深度研究
  • 学术资讯
  • Suppr Zotero 插件Zotero 插件
  • 邀请有礼
  • 套餐&价格
  • 历史记录
应用&插件
Suppr Zotero 插件Zotero 插件浏览器插件Mac 客户端Windows 客户端微信小程序
定价
高级版会员购买积分包购买API积分包
服务
文献检索文档翻译深度研究API 文档MCP 服务
关于我们
关于 Suppr公司介绍联系我们用户协议隐私条款
关注我们

Suppr 超能文献

核心技术专利:CN118964589B侵权必究
粤ICP备2023148730 号-1Suppr @ 2026

文献检索

告别复杂PubMed语法,用中文像聊天一样搜索,搜遍4000万医学文献。AI智能推荐,让科研检索更轻松。

立即免费搜索

文件翻译

保留排版,准确专业,支持PDF/Word/PPT等文件格式,支持 12+语言互译。

免费翻译文档

深度研究

AI帮你快速写综述,25分钟生成高质量综述,智能提取关键信息,辅助科研写作。

立即免费体验

通过自修复水凝胶内球体融合实现高细胞密度异质组织模型的 3D 生物打印。

3D bioprinting of high cell-density heterogeneous tissue models through spheroid fusion within self-healing hydrogels.

机构信息

Department of Bioengineering, University of Pennsylvania, Philadelphia, PA, USA.

出版信息

Nat Commun. 2021 Feb 2;12(1):753. doi: 10.1038/s41467-021-21029-2.

DOI:10.1038/s41467-021-21029-2
PMID:33531489
原文链接:https://pmc.ncbi.nlm.nih.gov/articles/PMC7854667/
Abstract

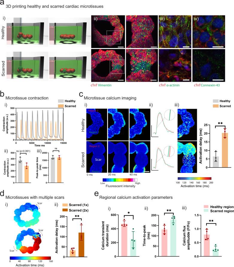
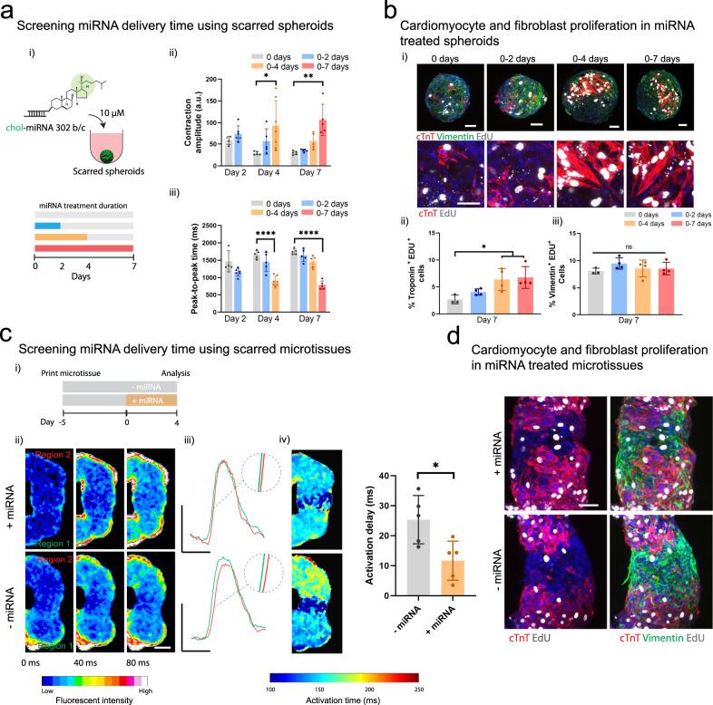
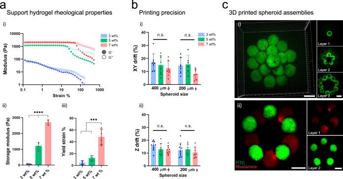
Cellular models are needed to study human development and disease in vitro, and to screen drugs for toxicity and efficacy. Current approaches are limited in the engineering of functional tissue models with requisite cell densities and heterogeneity to appropriately model cell and tissue behaviors. Here, we develop a bioprinting approach to transfer spheroids into self-healing support hydrogels at high resolution, which enables their patterning and fusion into high-cell density microtissues of prescribed spatial organization. As an example application, we bioprint induced pluripotent stem cell-derived cardiac microtissue models with spatially controlled cardiomyocyte and fibroblast cell ratios to replicate the structural and functional features of scarred cardiac tissue that arise following myocardial infarction, including reduced contractility and irregular electrical activity. The bioprinted in vitro model is combined with functional readouts to probe how various pro-regenerative microRNA treatment regimes influence tissue regeneration and recovery of function as a result of cardiomyocyte proliferation. This method is useful for a range of biomedical applications, including the development of precision models to mimic diseases and the screening of drugs, particularly where high cell densities and heterogeneity are important.

摘要

细胞模型对于在体外研究人类发育和疾病以及筛选毒性和疗效药物是必需的。目前的方法在构建具有必要细胞密度和异质性的功能性组织模型方面受到限制,无法很好地模拟细胞和组织行为。在这里,我们开发了一种生物打印方法,可将球体以高分辨率转移到自修复支撑水凝胶中,从而可以对其进行图案化和融合,形成具有规定空间组织的高细胞密度微组织。作为一个示例应用,我们生物打印了诱导多能干细胞衍生的心脏微组织模型,其中具有空间控制的心肌细胞和成纤维细胞比例,以复制心肌梗死后出现的瘢痕心脏组织的结构和功能特征,包括收缩力降低和不规则电活动。将生物打印的体外模型与功能读数相结合,以探究各种促再生 microRNA 治疗方案如何影响组织再生和功能恢复,这是由于心肌细胞增殖所致。该方法可用于一系列生物医学应用,包括开发模拟疾病的精确模型和药物筛选,特别是在需要高细胞密度和异质性的情况下。

https://cdn.ncbi.nlm.nih.gov/pmc/blobs/3a74/7854667/66d9f2956d19/41467_2021_21029_Fig6_HTML.jpg
https://cdn.ncbi.nlm.nih.gov/pmc/blobs/3a74/7854667/ac4ecaa9bfe0/41467_2021_21029_Fig1_HTML.jpg
https://cdn.ncbi.nlm.nih.gov/pmc/blobs/3a74/7854667/18adc705ef15/41467_2021_21029_Fig2_HTML.jpg
https://cdn.ncbi.nlm.nih.gov/pmc/blobs/3a74/7854667/1dc7cb26955c/41467_2021_21029_Fig3_HTML.jpg
https://cdn.ncbi.nlm.nih.gov/pmc/blobs/3a74/7854667/15f512589ac1/41467_2021_21029_Fig4_HTML.jpg
https://cdn.ncbi.nlm.nih.gov/pmc/blobs/3a74/7854667/226b6bfce59f/41467_2021_21029_Fig5_HTML.jpg
https://cdn.ncbi.nlm.nih.gov/pmc/blobs/3a74/7854667/66d9f2956d19/41467_2021_21029_Fig6_HTML.jpg
https://cdn.ncbi.nlm.nih.gov/pmc/blobs/3a74/7854667/ac4ecaa9bfe0/41467_2021_21029_Fig1_HTML.jpg
https://cdn.ncbi.nlm.nih.gov/pmc/blobs/3a74/7854667/18adc705ef15/41467_2021_21029_Fig2_HTML.jpg
https://cdn.ncbi.nlm.nih.gov/pmc/blobs/3a74/7854667/1dc7cb26955c/41467_2021_21029_Fig3_HTML.jpg
https://cdn.ncbi.nlm.nih.gov/pmc/blobs/3a74/7854667/15f512589ac1/41467_2021_21029_Fig4_HTML.jpg
https://cdn.ncbi.nlm.nih.gov/pmc/blobs/3a74/7854667/226b6bfce59f/41467_2021_21029_Fig5_HTML.jpg
https://cdn.ncbi.nlm.nih.gov/pmc/blobs/3a74/7854667/66d9f2956d19/41467_2021_21029_Fig6_HTML.jpg

相似文献

1
3D bioprinting of high cell-density heterogeneous tissue models through spheroid fusion within self-healing hydrogels.通过自修复水凝胶内球体融合实现高细胞密度异质组织模型的 3D 生物打印。
Nat Commun. 2021 Feb 2;12(1):753. doi: 10.1038/s41467-021-21029-2.
2
Principles of Spheroid Preparation for Creation of 3D Cardiac Tissue Using Biomaterial-Free Bioprinting.无生物材料 3D 生物打印构建心脏组织球体制备的原则
Methods Mol Biol. 2020;2140:183-197. doi: 10.1007/978-1-0716-0520-2_12.
3
Laser-assisted bioprinting of targeted cartilaginous spheroids for high density bottom-up tissue engineering.激光辅助靶向软骨球的生物打印在高密度自下而上的组织工程中的应用。
Biofabrication. 2024 Aug 22;16(4). doi: 10.1088/1758-5090/ad6e1a.
4
Laser-based 3D bioprinting for spatial and size control of tumor spheroids and embryoid bodies.基于激光的 3D 生物打印用于肿瘤球体和类胚胎体的空间和大小控制。
Acta Biomater. 2019 Sep 1;95:357-370. doi: 10.1016/j.actbio.2019.02.014. Epub 2019 Feb 15.
5
Recent advances in microarray 3D bioprinting for high-throughput spheroid and tissue culture and analysis.微阵列 3D 生物打印在高通量球体和组织培养及分析方面的最新进展。
Essays Biochem. 2021 Aug 10;65(3):481-489. doi: 10.1042/EBC20200150.
6
Creation of Cardiac Tissue Exhibiting Mechanical Integration of Spheroids Using 3D Bioprinting.利用3D生物打印技术构建具有球体机械整合性的心脏组织。
J Vis Exp. 2017 Jul 2(125):55438. doi: 10.3791/55438.
7
Synergistic interplay between human MSCs and HUVECs in 3D spheroids laden in collagen/fibrin hydrogels for bone tissue engineering.在胶原/纤维蛋白水凝胶负载的 3D 球体中人骨髓间充质干细胞和 HUVECs 的协同相互作用用于骨组织工程。
Acta Biomater. 2019 Sep 1;95:348-356. doi: 10.1016/j.actbio.2019.02.046. Epub 2019 Mar 1.
8
Bioprinting 3D microfibrous scaffolds for engineering endothelialized myocardium and heart-on-a-chip.用于构建内皮化心肌和芯片心脏的生物打印3D微纤维支架
Biomaterials. 2016 Dec;110:45-59. doi: 10.1016/j.biomaterials.2016.09.003. Epub 2016 Sep 5.
9
Engineering bioprintable alginate/gelatin composite hydrogels with tunable mechanical and cell adhesive properties to modulate tumor spheroid growth kinetics.工程生物可打印的藻酸盐/明胶复合水凝胶,具有可调的机械和细胞黏附性能,以调节肿瘤球体生长动力学。
Biofabrication. 2019 Dec 31;12(1):015024. doi: 10.1088/1758-5090/ab3a5c.
10
Engineered biomaterials to guide spheroid formation, function, and fabrication into 3D tissue constructs.工程化生物材料引导球体形成、功能和制造为 3D 组织构建体。
Acta Biomater. 2023 Jul 15;165:4-18. doi: 10.1016/j.actbio.2022.09.052. Epub 2022 Sep 24.

引用本文的文献

1
Organoid-based tissue engineering for advanced tissue repair and reconstruction.用于先进组织修复与重建的基于类器官的组织工程
Mater Today Bio. 2025 Jul 15;33:102093. doi: 10.1016/j.mtbio.2025.102093. eCollection 2025 Aug.
2
Transformative bioprinting: 4D printing and its role in the evolution of engineering and personalized medicine.变革性生物打印:4D打印及其在工程和个性化医学发展中的作用。
Discov Nano. 2025 Jul 23;20(1):118. doi: 10.1186/s11671-025-04230-w.
3
Bioprinting for drug screening: A path toward reducing animal testing or redefining preclinical research?

本文引用的文献

1
3D Printing of Shear-Thinning Hyaluronic Acid Hydrogels with Secondary Cross-Linking.具有二次交联的剪切变稀透明质酸水凝胶的3D打印
ACS Biomater Sci Eng. 2016 Oct 10;2(10):1743-1751. doi: 10.1021/acsbiomaterials.6b00158. Epub 2016 Jun 9.
2
Human-iPSC-Derived Cardiac Stromal Cells Enhance Maturation in 3D Cardiac Microtissues and Reveal Non-cardiomyocyte Contributions to Heart Disease.人诱导多能干细胞衍生的心脏基质细胞增强 3D 心脏微组织的成熟,并揭示非心肌细胞对心脏疾病的贡献。
Cell Stem Cell. 2020 Jun 4;26(6):862-879.e11. doi: 10.1016/j.stem.2020.05.004. Epub 2020 May 26.
3
Human cardiac organoids for the modelling of myocardial infarction and drug cardiotoxicity.
用于药物筛选的生物打印:是减少动物实验的途径还是重新定义临床前研究?
Bioact Mater. 2025 Jul 15;51:993-1017. doi: 10.1016/j.bioactmat.2025.07.006. eCollection 2025 Sep.
4
Cell and tissue reprogramming: Unlocking a new era in medical drug discovery.细胞与组织重编程:开启药物研发的新时代。
Pharmacol Rev. 2025 Jun 26;77(5):100077. doi: 10.1016/j.pharmr.2025.100077.
5
Instant assembly of collagen for tissue engineering and bioprinting.用于组织工程和生物打印的胶原蛋白即时组装。
Nat Mater. 2025 Jun 6. doi: 10.1038/s41563-025-02241-7.
6
A mathematical phase field model predicts superparamagnetic nanoparticle accelerated fusion of HeLa spheroids for field guided biofabrication.一个数学相场模型预测超顺磁性纳米颗粒可加速HeLa球体的融合,用于场引导生物制造。
Sci Rep. 2025 Jun 5;15(1):19765. doi: 10.1038/s41598-025-04495-2.
7
Bottom-up Biomaterial strategies for creating tailored stem cells in regenerative medicine.用于在再生医学中创建定制干细胞的自下而上生物材料策略。
Front Bioeng Biotechnol. 2025 May 20;13:1581292. doi: 10.3389/fbioe.2025.1581292. eCollection 2025.
8
Biofabrication in suspension media-a decade of advances.悬浮介质中的生物制造——十年进展
Biofabrication. 2025 Jun 3;17(3):033001. doi: 10.1088/1758-5090/addc42.
9
Dressed in Collagen: 2D and 3D Cardiac Fibrosis Models.身披胶原蛋白:二维和三维心脏纤维化模型
Int J Mol Sci. 2025 Mar 26;26(7):3038. doi: 10.3390/ijms26073038.
10
Hydrogels with programmed spatiotemporal mechanical cues for stem cell-assisted bone regeneration.具有编程时空力学线索的水凝胶用于干细胞辅助骨再生
Nat Commun. 2025 Apr 16;16(1):3633. doi: 10.1038/s41467-025-59016-6.
人心肌类器官用于心肌梗死和药物心脏毒性的建模。
Nat Biomed Eng. 2020 Apr;4(4):446-462. doi: 10.1038/s41551-020-0539-4. Epub 2020 Apr 13.
4
Aspiration-assisted bioprinting for precise positioning of biologics.辅助抽吸生物打印技术实现生物制剂的精准定位。
Sci Adv. 2020 Mar 6;6(10):eaaw5111. doi: 10.1126/sciadv.aaw5111. eCollection 2020 Mar.
5
3D Co-culture of hiPSC-Derived Cardiomyocytes With Cardiac Fibroblasts Improves Tissue-Like Features of Cardiac Spheroids.人诱导多能干细胞衍生的心肌细胞与心脏成纤维细胞的3D共培养改善了心脏球体的类组织特征。
Front Mol Biosci. 2020 Feb 14;7:14. doi: 10.3389/fmolb.2020.00014. eCollection 2020.
6
Bioengineered 3D Models to Recapitulate Tissue Fibrosis.生物工程 3D 模型以再现组织纤维化。
Trends Biotechnol. 2020 Jun;38(6):623-636. doi: 10.1016/j.tibtech.2019.12.010. Epub 2020 Jan 15.
7
Organoid and Assembloid Technologies for Investigating Cellular Crosstalk in Human Brain Development and Disease.类器官和聚集体技术在人类大脑发育和疾病中细胞串扰研究中的应用。
Trends Cell Biol. 2020 Feb;30(2):133-143. doi: 10.1016/j.tcb.2019.11.004. Epub 2019 Dec 23.
8
Biomanufacturing of organ-specific tissues with high cellular density and embedded vascular channels.器官特异性组织的生物制造,具有高细胞密度和嵌入式血管通道。
Sci Adv. 2019 Sep 6;5(9):eaaw2459. doi: 10.1126/sciadv.aaw2459. eCollection 2019 Sep.
9
Biowire Model of Interstitial and Focal Cardiac Fibrosis.间质和局灶性心脏纤维化的生物线模型
ACS Cent Sci. 2019 Jul 24;5(7):1146-1158. doi: 10.1021/acscentsci.9b00052. Epub 2019 Jun 4.
10
Biofabrication strategies for 3D in vitro models and regenerative medicine.用于3D体外模型和再生医学的生物制造策略。
Nat Rev Mater. 2018 May;3(5):21-37. doi: 10.1038/s41578-018-0006-y. Epub 2018 Apr 26.