Suppr超能文献

介孔聚多巴胺纳米颗粒通过抑制氧化应激和恢复内源性抗氧化系统减轻神经性疼痛大鼠的吗啡耐受性。

Mesoporous Polydopamine Nanoparticles Attenuate Morphine Tolerance in Neuropathic Pain Rats by Inhibition of Oxidative Stress and Restoration of the Endogenous Antioxidant System.

作者信息

Kuthati Yaswanth, Busa Prabhakar, Tummala Srikrishna, Rao Vaikar Navakanth, Davuluri Venkata Naga Goutham, Ho Yen-Peng, Wong Chih-Shung

机构信息

Department of Anesthesiology, Cathy General Hospital, Taipei 280, Taiwan.

Department of Life Sciences, National Dong Hwa University, Hualien 97401, Taiwan.

出版信息

Antioxidants (Basel). 2021 Jan 29;10(2):195. doi: 10.3390/antiox10020195.

Abstract

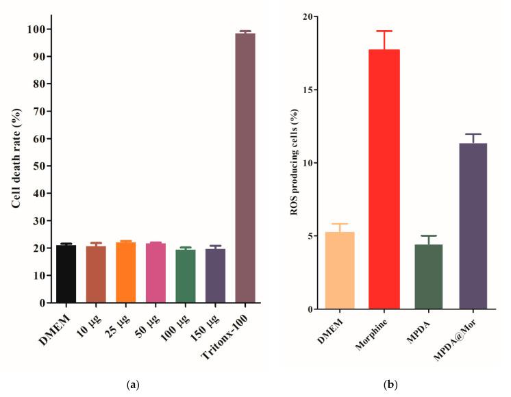
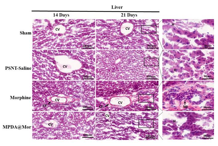
Oxidative stress resulting from reactive oxygen species (ROS) is known to play a key role in numerous neurological disorders, including neuropathic pain. Morphine is one of the commonly used opioids for pain management. However, long-term administration of morphine results in morphine antinociceptive tolerance (MAT) through elevation of ROS and suppression of natural antioxidant defense mechanisms. Recently, mesoporous polydopamine (MPDA) nanoparticles (NPS) have been known to possess strong antioxidant properties. We speculated that morphine delivery through an antioxidant nanocarrier might be a reasonable strategy to alleviate MAT. MPDAs showed a high drug loading efficiency of ∼50%, which was much higher than conventional NPS. Spectral and in vitro studies suggest a superior ROS scavenging ability of NPS. Results from a rat neuropathic pain model demonstrate that MPDA-loaded morphine (MPDA@Mor) is efficient in minimizing MAT with prolonged analgesic effect and suppression of pro-inflammatory cytokines. Additionally, serum levels of liver enzymes and levels of endogenous antioxidants were measured in the liver. Treatment with free morphine resulted in elevated levels of liver enzymes and significantly lowered the activities of endogenous antioxidant enzymes in comparison with the control and MPDA@Mor-treated group. Histopathological examination of the liver revealed that MPDA@Mor can significantly reduce the hepatotoxic effects of morphine. Taken together, our current work will provide an important insight into the development of safe and effective nano-antioxidant platforms for neuropathic pain management.

摘要

已知由活性氧(ROS)产生的氧化应激在包括神经性疼痛在内的多种神经系统疾病中起关键作用。吗啡是常用的用于疼痛管理的阿片类药物之一。然而,长期服用吗啡会通过升高ROS和抑制天然抗氧化防御机制导致吗啡抗伤害感受性耐受(MAT)。最近,已知介孔聚多巴胺(MPDA)纳米颗粒(NPs)具有强大的抗氧化性能。我们推测通过抗氧化纳米载体递送吗啡可能是减轻MAT的合理策略。MPDAs显示出约50%的高载药效率,远高于传统NPs。光谱和体外研究表明NPs具有卓越的ROS清除能力。大鼠神经性疼痛模型的结果表明,负载MPDA的吗啡(MPDA@Mor)在最小化MAT方面有效,具有延长的镇痛作用并抑制促炎细胞因子。此外,还测量了肝脏中肝酶的血清水平和内源性抗氧化剂的水平。与对照组和MPDA@Mor治疗组相比,游离吗啡治疗导致肝酶水平升高,并显著降低内源性抗氧化酶的活性。肝脏的组织病理学检查显示,MPDA@Mor可显著降低吗啡的肝毒性作用。综上所述,我们目前的工作将为开发用于神经性疼痛管理的安全有效的纳米抗氧化平台提供重要见解。

https://cdn.ncbi.nlm.nih.gov/pmc/blobs/abc9/7912557/7ef64d28a254/antioxidants-10-00195-g001.jpg

文献检索

告别复杂PubMed语法,用中文像聊天一样搜索,搜遍4000万医学文献。AI智能推荐,让科研检索更轻松。

立即免费搜索

文件翻译

保留排版,准确专业,支持PDF/Word/PPT等文件格式,支持 12+语言互译。

免费翻译文档

深度研究

AI帮你快速写综述,25分钟生成高质量综述,智能提取关键信息,辅助科研写作。

立即免费体验