Suppr超能文献

一位经产妇的赫林-韦纳-温德利希综合征

Herlyn-Werner-Wunderlich syndrome in a multiparous female.

作者信息

Sidhu HarSumeet Singh, Madaan Prateek Kumar

机构信息

Department of Radiodiagnosis, ABVIMS and Dr RML Hospital, New Delhi, India.

Department of Radiodiagnosis, VMMC and Safdarjung Hospital, New Delhi, India.

出版信息

BJR Case Rep. 2020 Oct 28;7(1):20200132. doi: 10.1259/bjrcr.20200132. eCollection 2021 Feb 1.

Abstract

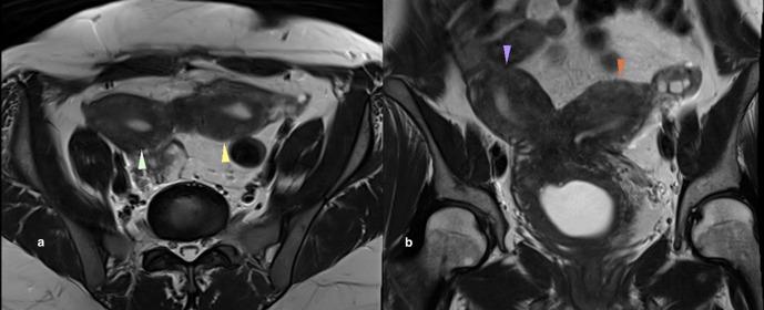
Herlyn-Werner-Wunderlich syndrome is a rare complex congenital anomaly of the urogenital tract involving Mullerian ducts and mesonephric ducts. It is also called OHVIRA syndrome (Obstructed Hemivagina and Ipsilateral Renal agenesis). It is characterized by a triad of uterus didelphys, obstructed hemivagina and ipsilateral renal agenesis. Patients usually present after menarche with pelvic pain, dysmenorrhea, mass, and rarely with primary infertility in later years. We report a case of a multiparous female who presented to the hospital with pain in lower abdomen for the past 2 months and acute retention of urine for 1 day. This is an atypical presentation in a multiparous female that has been described in a single case report so far. Intravenous pyelogram and MRI of the patient revealed uterine didelphys, obstructed right hemivagina causing hematohemicolpos and right renal agenesis. Thorough knowledge of imaging features can enable a radiologist to make a correct diagnosis even in an atypical presentation.

摘要

赫林-韦纳-温德利希综合征是一种罕见的泌尿生殖道复杂先天性异常,累及苗勒管和中肾管。它也被称为OHVIRA综合征(梗阻性半阴道和同侧肾缺如)。其特征为双子宫、梗阻性半阴道和同侧肾缺如三联征。患者通常在初潮后出现盆腔疼痛、痛经、肿块,后期很少出现原发性不孕。我们报告一例经产妇,因过去2个月下腹部疼痛和1天急性尿潴留入院。这是经产妇的非典型表现,迄今为止仅在一篇病例报告中有描述。患者的静脉肾盂造影和磁共振成像显示双子宫、梗阻性右半阴道导致阴道积血和右肾缺如。即使在非典型表现中,对影像学特征的全面了解也能使放射科医生做出正确诊断。

https://cdn.ncbi.nlm.nih.gov/pmc/blobs/3b32/7869122/e0a9f5ab2720/bjrcr.20200132.g001.jpg

文献AI研究员

20分钟写一篇综述,助力文献阅读效率提升50倍。

立即体验

用中文搜PubMed

大模型驱动的PubMed中文搜索引擎

马上搜索

文档翻译

学术文献翻译模型,支持多种主流文档格式。

立即体验