Suppr超能文献

联合剥脱性和非剥脱性激光治疗对面部皮肤的组织学和免疫组化变化

Histological and immunohistochemical changes in facial skin treated with combined ablative and non-ablative laser therapy.

作者信息

Shanina Natalia A, Patrushev Alexander V, Zorman Anže

机构信息

S. M. Kirov Military Medical Academy, Sankt Petersburg, Russian Federation.

Medilase, Ljubljana, Slovenia.

出版信息

J Cosmet Dermatol. 2021 Nov;20(11):3509-3516. doi: 10.1111/jocd.14023. Epub 2021 Mar 22.

Abstract

BACKGROUND

Facial skin rejuvenation is a highly sought after procedure. Different materials, energy-based devices and techniques have been shown to offer good results in facial rejuvenation.

AIMS

The aim of this study was to evaluate the macroscopic and histological and immunohistochemical changes in facial skin treated with a combined laser therapy.

PATIENTS/METHODS: Fourteen patients aged from 38 to 59 years were included in the study. Two different wavelengths (2940 and 1064 nm) were used in this four-step procedure.

RESULTS

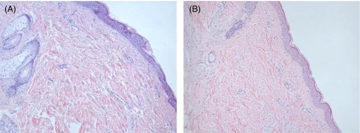
Significant improvement according to classification for age-related changes in all areas of the face was achieved. There were also significant structural changes in the epidermis and dermis, confirmed with histology and immunohistochemistry.

CONCLUSION

The dual-wavelength protocol has been found to provide excellent results for facial rejuvenation.

摘要

背景

面部皮肤年轻化是一种备受追捧的手术。不同的材料、基于能量的设备和技术已被证明在面部年轻化方面能取得良好效果。

目的

本研究的目的是评估联合激光治疗对面部皮肤的宏观、组织学和免疫组化变化。

患者/方法:本研究纳入了14名年龄在38至59岁之间的患者。在这个四步骤过程中使用了两种不同的波长(2940和1064纳米)。

结果

面部所有区域根据年龄相关变化的分类均有显著改善。表皮和真皮也有显著的结构变化,经组织学和免疫组化证实。

结论

已发现双波长方案在面部年轻化方面能提供出色的效果。

https://cdn.ncbi.nlm.nih.gov/pmc/blobs/af94/8597027/13347e506a37/JOCD-20-3509-g002.jpg

文献AI研究员

20分钟写一篇综述,助力文献阅读效率提升50倍。

立即体验

用中文搜PubMed

大模型驱动的PubMed中文搜索引擎

马上搜索

文档翻译

学术文献翻译模型,支持多种主流文档格式。

立即体验