Suppr超能文献

芪参益气滴丸通过抑制大鼠Wnt/β-连环蛋白和转化生长因子-β/Smad信号通路对糖尿病肾病起到保护作用。

Qishen Yiqi Dripping Pill Protects Against Diabetic Nephropathy by Inhibiting the Wnt/β-Catenin and Transforming Growth Factor-β/Smad Signaling Pathways in Rats.

作者信息

Zhang Qian, Xiao Xinhua, Zheng Jia, Li Ming, Yu Miao, Ping Fan, Wang Tong, Wang Xiaojing

机构信息

Key Laboratory of Endocrinology, Ministry of Health, Department of Endocrinology, Peking Union Medical College Hospital, Peking Union Medical College, Chinese Academy of Medical Sciences, Beijing, China.

出版信息

Front Physiol. 2021 Feb 19;11:613324. doi: 10.3389/fphys.2020.613324. eCollection 2020.

Abstract

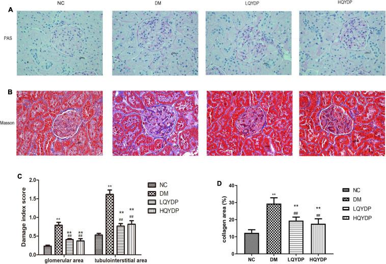
Diabetic nephropathy is a severe microvascular complication of diabetes. Qishen Yiqi dripping pill (QYDP) has been reported to be a renal protective drug. However, the mechanisms remain unclear. This study was performed to investigate the mechanisms. In this study, Sprague-Dawley rats were injected with streptozotocin to generate a diabetes model. Diabetic rats were administered 150 or 300 mg/kg/day QYDP. After 8 weeks of treatment, serum creatinine, serum blood urea nitrogen, and 24-h urinary albumin were measured. Kidney histological staining and immunostaining were analyzed. Then, the renal tissue was analyzed with a genome expression array. The results showed that QYDP treatment reduced serum creatinine, blood urea nitrogen, and 24-h urinary albumin and improved kidney histology and fibrosis. The gene array revealed that the expression of 189 genes was increased, and that of 127 genes was decreased in the high dosage QYDP group compared with the diabetic group. Pathway and gene ontology analyses showed that the differentially expressed genes were involved in the Wnt/β-catenin and transforming growth factor-β (TGF-β)/Smad2 signaling pathways. QYDP reduced the renal Wnt1, catenin β1, Tgfb1, and Smad2 gene expression and β-catenin, TGF-β, Smad2, collagen I, α-smooth muscle actin, and fibronectin protein expression in diabetic rats. Our results provide the first evidence that QYDP performs its renal-protective function by inhibiting the Wnt/β-catenin and TGF-β/Smad2 signaling pathways in diabetic rats.

摘要

糖尿病肾病是糖尿病一种严重的微血管并发症。据报道,芪参益气滴丸(QYDP)是一种肾脏保护药物。然而,其作用机制尚不清楚。本研究旨在探讨其机制。在本研究中,给Sprague-Dawley大鼠注射链脲佐菌素以建立糖尿病模型。给糖尿病大鼠给予150或300mg/kg/天的芪参益气滴丸。治疗8周后,测量血清肌酐、血清尿素氮和24小时尿白蛋白。分析肾脏组织学染色和免疫染色。然后,用基因组表达阵列分析肾组织。结果显示,芪参益气滴丸治疗可降低血清肌酐、尿素氮和24小时尿白蛋白,并改善肾脏组织学和纤维化。基因阵列显示,与糖尿病组相比,高剂量芪参益气滴丸组中189个基因的表达增加,127个基因的表达减少。通路和基因本体分析表明,差异表达基因参与Wnt/β-连环蛋白和转化生长因子-β(TGF-β)/Smad2信号通路。芪参益气滴丸降低糖尿病大鼠肾组织中Wnt1、连环蛋白β1、Tgfb1和Smad2基因表达以及β-连环蛋白、TGF-β、Smad2、胶原蛋白I、α-平滑肌肌动蛋白和纤连蛋白的蛋白表达。我们的结果首次证明芪参益气滴丸通过抑制糖尿病大鼠的Wnt/β-连环蛋白和TGF-β/Smad2信号通路发挥其肾脏保护作用。

https://cdn.ncbi.nlm.nih.gov/pmc/blobs/2959/7933526/1cdb9cc030a3/fphys-11-613324-g001.jpg

文献AI研究员

20分钟写一篇综述,助力文献阅读效率提升50倍。

立即体验

用中文搜PubMed

大模型驱动的PubMed中文搜索引擎

马上搜索

文档翻译

学术文献翻译模型,支持多种主流文档格式。

立即体验