• 文献检索
  • 文档翻译
  • 深度研究
  • 学术资讯
  • Suppr Zotero 插件Zotero 插件
  • 邀请有礼
  • 套餐&价格
  • 历史记录
应用&插件
Suppr Zotero 插件Zotero 插件浏览器插件Mac 客户端Windows 客户端微信小程序
定价
高级版会员购买积分包购买API积分包
服务
文献检索文档翻译深度研究API 文档MCP 服务
关于我们
关于 Suppr公司介绍联系我们用户协议隐私条款
关注我们

Suppr 超能文献

核心技术专利:CN118964589B侵权必究
粤ICP备2023148730 号-1Suppr @ 2026

文献检索

告别复杂PubMed语法,用中文像聊天一样搜索,搜遍4000万医学文献。AI智能推荐,让科研检索更轻松。

立即免费搜索

文件翻译

保留排版,准确专业,支持PDF/Word/PPT等文件格式,支持 12+语言互译。

免费翻译文档

深度研究

AI帮你快速写综述,25分钟生成高质量综述,智能提取关键信息,辅助科研写作。

立即免费体验

使用数字PET/CT系统评估图像质量和病变可检测性

Assessment of Image Quality and Lesion Detectability With Digital PET/CT System.

作者信息

Delcroix Olivier, Bourhis David, Keromnes Nathalie, Robin Philippe, Le Roux Pierre-Yves, Abgral Ronan, Salaun Pierre-Yves, Querellou Solène

机构信息

Nuclear Medicine Department, Brest University Hospital, Brest, France.

EA 3878 GETBO IFR, Brest, France.

出版信息

Front Med (Lausanne). 2021 Feb 22;8:629096. doi: 10.3389/fmed.2021.629096. eCollection 2021.

DOI:10.3389/fmed.2021.629096
PMID:33693016
原文链接:https://pmc.ncbi.nlm.nih.gov/articles/PMC7937710/
Abstract

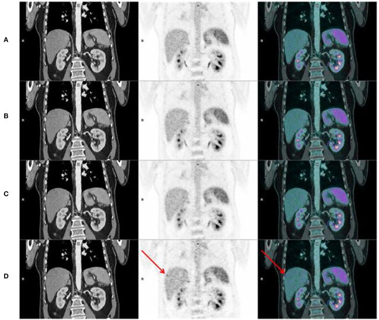
The aim of this study was to assess image quality and lesion detectability acquired with a digital Positron Emission Tomography/Computed Tomography (PET/CT) Siemens Biograph Vision 600 system. Consecutive patients who underwent a FDG PET/CT during the first week of use of a digital PET/CT (Siemens Biograph Vision 600) at the nuclear medicine department of the university hospital of Brest were analyzed. PET were realized using list mode acquisition. For all patients, 4 datasets were reconstructed. We determined, according to phantom measurements, an equivalent time acquisition/reconstruction parameters pair of the digital PET/CT corresponding to an analog PET/CT image quality ("analog-like") as reference dataset. We compared the reference dataset with 3 others digital PET/CT reconstruction parameters, allowing a decrease of emission duration: 60, 90, and 120 s per bed position. Three nuclear medicine physicians evaluated independently, for each dataset, overall image quality [Maximal Intensity Projection (MIP), noise, sharpness] using a 4-point scale. Physicians assessed also lesion detection capability by reporting new visible lesions on each digital datasets with their confidence level in comparison with analog-like dataset. Ninety-eight patients were analyzed. Image quality of MIP (IQ), sharpness (IQ), and noise (IQ) of all digital datasets (60, 90, and 120 s) were better than those evaluated with analog-like reconstruction. Moreover, digital PET/CT system improved IQ, IQ, and IQ whatever the BMI. Lesion detection capability and confidence level were higher for 60, 90, 120 s per bed position, respectively, than for analog-like images. Our study demonstrated an improvement of image quality and lesion detectability with a digital PET/CT system.

摘要

本研究的目的是评估使用数字正电子发射断层扫描/计算机断层扫描(PET/CT)西门子Biograph Vision 600系统获得的图像质量和病变可检测性。对在布雷斯特大学医院核医学科使用数字PET/CT(西门子Biograph Vision 600)的第一周内接受FDG PET/CT检查的连续患者进行了分析。PET采用列表模式采集。对所有患者重建了4个数据集。根据体模测量,我们确定了与模拟PET/CT图像质量(“类模拟”)相对应的数字PET/CT的等效时间采集/重建参数对作为参考数据集。我们将参考数据集与其他3种数字PET/CT重建参数进行了比较,这些参数允许发射持续时间减少:每个床位位置分别为60、90和120秒。三名核医学医生对每个数据集独立评估总体图像质量[最大强度投影(MIP)、噪声、清晰度],采用4分制。医生还通过报告每个数字数据集上与类模拟数据集相比新出现的可见病变及其置信水平来评估病变检测能力。共分析了9名患者。所有数字数据集(60、90和120秒)的MIP图像质量(IQ)、清晰度(IQ)和噪声(IQ)均优于类模拟重建评估的结果。此外,无论BMI如何,数字PET/CT系统均改善了IQ、IQ和IQ。每个床位位置60、90、120秒时的病变检测能力和置信水平分别高于类模拟图像。我们的研究证明了数字PET/CT系统在图像质量和病变可检测性方面的改善。 (注:原文中“Ninety-eight patients were analyzed.”疑有误,根据语境推测可能是“Ninety patients were analyzed.”,翻译时按推测内容翻译,若实际不是该内容,请根据正确原文调整。)

https://cdn.ncbi.nlm.nih.gov/pmc/blobs/ee8b/7937710/f88d0f902a5d/fmed-08-629096-g0005.jpg
https://cdn.ncbi.nlm.nih.gov/pmc/blobs/ee8b/7937710/ef7f3d89bd6f/fmed-08-629096-g0001.jpg
https://cdn.ncbi.nlm.nih.gov/pmc/blobs/ee8b/7937710/c806af8ee5e9/fmed-08-629096-g0002.jpg
https://cdn.ncbi.nlm.nih.gov/pmc/blobs/ee8b/7937710/880d84615b23/fmed-08-629096-g0003.jpg
https://cdn.ncbi.nlm.nih.gov/pmc/blobs/ee8b/7937710/dab82b280e0a/fmed-08-629096-g0004.jpg
https://cdn.ncbi.nlm.nih.gov/pmc/blobs/ee8b/7937710/f88d0f902a5d/fmed-08-629096-g0005.jpg
https://cdn.ncbi.nlm.nih.gov/pmc/blobs/ee8b/7937710/ef7f3d89bd6f/fmed-08-629096-g0001.jpg
https://cdn.ncbi.nlm.nih.gov/pmc/blobs/ee8b/7937710/c806af8ee5e9/fmed-08-629096-g0002.jpg
https://cdn.ncbi.nlm.nih.gov/pmc/blobs/ee8b/7937710/880d84615b23/fmed-08-629096-g0003.jpg
https://cdn.ncbi.nlm.nih.gov/pmc/blobs/ee8b/7937710/dab82b280e0a/fmed-08-629096-g0004.jpg
https://cdn.ncbi.nlm.nih.gov/pmc/blobs/ee8b/7937710/f88d0f902a5d/fmed-08-629096-g0005.jpg

相似文献

1
Assessment of Image Quality and Lesion Detectability With Digital PET/CT System.使用数字PET/CT系统评估图像质量和病变可检测性
Front Med (Lausanne). 2021 Feb 22;8:629096. doi: 10.3389/fmed.2021.629096. eCollection 2021.
2
Image Quality and Activity Optimization in Oncologic F-FDG PET Using the Digital Biograph Vision PET/CT System.基于数字 Biograph Vision PET/CT 系统的肿瘤 F-FDG PET 中的图像质量和活性优化。
J Nucl Med. 2020 May;61(5):764-771. doi: 10.2967/jnumed.119.234351. Epub 2019 Oct 18.
3
Phantom-based acquisition time and image reconstruction parameter optimisation for oncologic FDG PET/CT examinations using a digital system.基于数字系统的肿瘤 FDG PET/CT 检查中基于体模的采集时间和图像重建参数优化。
BMC Cancer. 2022 Aug 18;22(1):899. doi: 10.1186/s12885-022-09993-4.
4
Total-body F-FDG PET/CT scan in oncology patients: how fast could it be?肿瘤患者全身 F-FDG PET/CT 扫描:能有多快?
Eur J Nucl Med Mol Imaging. 2021 Jul;48(8):2384-2394. doi: 10.1007/s00259-021-05357-5. Epub 2021 Apr 18.
5
Image Quality and Semiquantitative Measurements on the Biograph Vision PET/CT System: Initial Experiences and Comparison with the Biograph mCT.Biograph Vision PET/CT 系统的图像质量和半定量测量:初步经验及与 Biograph mCT 的比较。
J Nucl Med. 2020 Jan;61(1):129-135. doi: 10.2967/jnumed.119.227801. Epub 2019 Jun 28.
6
Comparison of image quality and lesion detection between digital and analog PET/CT.数字与模拟 PET/CT 图像质量和病灶检出的比较。
Eur J Nucl Med Mol Imaging. 2019 Jun;46(6):1383-1390. doi: 10.1007/s00259-019-4260-z. Epub 2019 Jan 10.
7
Evaluation of Penalized-Likelihood Estimation Reconstruction on a Digital Time-of-Flight PET/CT Scanner for F-FDG Whole-Body Examinations.基于数字飞行时间 PET/CT 扫描仪的 F-FDG 全身扫描中惩罚似然估计重建的评估。
J Nucl Med. 2018 Jul;59(7):1152-1158. doi: 10.2967/jnumed.117.200790. Epub 2018 Feb 15.
8
Impact of acquisition time and penalizing factor in a block-sequential regularized expectation maximization reconstruction algorithm on a Si-photomultiplier-based PET-CT system for F-FDG.采集时间和惩罚因子在基于硅光电倍增管的F-FDG PET-CT系统的块序贯正则化期望最大化重建算法中的影响
EJNMMI Res. 2019 Jul 24;9(1):64. doi: 10.1186/s13550-019-0535-4.
9
Comparing lesion detection efficacy and image quality across different PET system generations to optimize the iodine-124 PET protocol for recurrent thyroid cancer.比较不同代PET系统的病变检测效能和图像质量,以优化用于复发性甲状腺癌的碘-124 PET方案。
EJNMMI Phys. 2021 Feb 15;8(1):14. doi: 10.1186/s40658-021-00361-y.
10
The image quality, lesion detectability, and acquisition time of F-FDG total-body PET/CT in oncological patients.F-FDG全身PET/CT在肿瘤患者中的图像质量、病变可检测性及采集时间。
Eur J Nucl Med Mol Imaging. 2020 Oct;47(11):2507-2515. doi: 10.1007/s00259-020-04823-w. Epub 2020 May 18.

引用本文的文献

1
Insertion of synthetic lesions on patient data: a method for evaluating clinical performance differences between PET systems.在患者数据上插入合成病变:一种评估PET系统之间临床性能差异的方法。
EJNMMI Phys. 2024 Jan 22;11(1):9. doi: 10.1186/s40658-023-00610-2.
2
Impact of respiratory motion on F-FDG PET radiomics stability: Clinical evaluation with a digital PET scanner.呼吸运动对 F-FDG PET 影像组学稳定性的影响:数字 PET 扫描仪的临床评估。
J Appl Clin Med Phys. 2023 Dec;24(12):e14200. doi: 10.1002/acm2.14200. Epub 2023 Nov 8.
3
PET imaging and quantification of small animals using a clinical SiPM-based camera.

本文引用的文献

1
Comparison of Image Quality and Semi-quantitative Measurements with Digital PET/CT and Standard PET/CT from Different Vendors.不同供应商的数字PET/CT与标准PET/CT的图像质量和半定量测量比较。
Nucl Med Mol Imaging. 2020 Oct;54(5):233-240. doi: 10.1007/s13139-020-00661-8. Epub 2020 Aug 13.
2
Added Value of Digital over Analog PET/CT: More Significant as Image Field of View and Body Mass Index Increase.数字 PET/CT 相对于模拟 PET/CT 的优势:随着图像视野和体质量指数的增大而更加显著。
J Nucl Med Technol. 2020 Dec;48(4):354-360. doi: 10.2967/jnmt.120.244160. Epub 2020 Sep 4.
3
From a PMT-based to a SiPM-based PET system: a study to define matched acquisition/reconstruction parameters and NEMA performance of the Biograph Vision 450.
使用基于临床硅光电倍增管的相机对小动物进行正电子发射断层显像(PET)成像及定量分析。
EJNMMI Phys. 2023 Oct 7;10(1):61. doi: 10.1186/s40658-023-00583-2.
4
Automated F18-FDG PET/CT image quality assessment using deep neural networks on a latest 6-ring digital detector system.基于最新 6 环数字探测器系统的深度学习神经网络自动 F18-FDG PET/CT 图像质量评估。
Sci Rep. 2023 Jul 13;13(1):11332. doi: 10.1038/s41598-023-37182-1.
5
Multicentric development and evaluation of F-FDG PET/CT and MRI radiomics models to predict para-aortic lymph node involvement in locally advanced cervical cancer.多中心开发和评估 F-FDG PET/CT 和 MRI 影像组学模型,以预测局部晚期宫颈癌的腹主动脉旁淋巴结受累。
Eur J Nucl Med Mol Imaging. 2023 Jul;50(8):2514-2528. doi: 10.1007/s00259-023-06180-w. Epub 2023 Mar 9.
6
Enhancement of F-Fluorodeoxyglucose PET Image Quality by Deep-Learning-Based Image Reconstruction Using Advanced Intelligent Clear-IQ Engine in Semiconductor-Based PET/CT Scanners.基于深度学习的图像重建利用先进智能清晰IQ引擎在基于半导体的PET/CT扫描仪中增强F-氟脱氧葡萄糖PET图像质量
Diagnostics (Basel). 2022 Oct 15;12(10):2500. doi: 10.3390/diagnostics12102500.
7
Dynamic PET Imaging Using Dual Texture Features.使用双重纹理特征的动态正电子发射断层显像
Front Comput Neurosci. 2022 Jan 7;15:819840. doi: 10.3389/fncom.2021.819840. eCollection 2021.
从基于光电倍增管(PMT)到基于硅光电倍增管(SiPM)的正电子发射断层扫描(PET)系统:一项关于确定Biograph Vision 450匹配的采集/重建参数和NEMA性能的研究。
EJNMMI Phys. 2020 Sep 3;7(1):55. doi: 10.1186/s40658-020-00323-w.
4
Benefit of Improved Performance with State-of-the Art Digital PET/CT for Lesion Detection in Oncology.提高肿瘤病变检测性能的益处:最先进的数字 PET/CT。
J Nucl Med. 2020 Nov;61(11):1684-1690. doi: 10.2967/jnumed.120.242305. Epub 2020 Mar 20.
5
Phantom-based image quality assessment of clinical F-FDG protocols in digital PET/CT and comparison to conventional PMT-based PET/CT.基于体模的数字PET/CT临床F-FDG协议图像质量评估及与传统基于光电倍增管的PET/CT的比较。
EJNMMI Phys. 2020 Jan 6;7(1):1. doi: 10.1186/s40658-019-0269-4.
6
Image Quality and Activity Optimization in Oncologic F-FDG PET Using the Digital Biograph Vision PET/CT System.基于数字 Biograph Vision PET/CT 系统的肿瘤 F-FDG PET 中的图像质量和活性优化。
J Nucl Med. 2020 May;61(5):764-771. doi: 10.2967/jnumed.119.234351. Epub 2019 Oct 18.
7
Image Quality and Semiquantitative Measurements on the Biograph Vision PET/CT System: Initial Experiences and Comparison with the Biograph mCT.Biograph Vision PET/CT 系统的图像质量和半定量测量:初步经验及与 Biograph mCT 的比较。
J Nucl Med. 2020 Jan;61(1):129-135. doi: 10.2967/jnumed.119.227801. Epub 2019 Jun 28.
8
Comparison of image quality and lesion detection between digital and analog PET/CT.数字与模拟 PET/CT 图像质量和病灶检出的比较。
Eur J Nucl Med Mol Imaging. 2019 Jun;46(6):1383-1390. doi: 10.1007/s00259-019-4260-z. Epub 2019 Jan 10.
9
Performance Characteristics of the Digital Biograph Vision PET/CT System.Digital Biograph Vision PET/CT 系统的性能特点。
J Nucl Med. 2019 Jul;60(7):1031-1036. doi: 10.2967/jnumed.118.215418. Epub 2019 Jan 10.
10
Digital vs. analog PET/CT: intra-subject comparison of the SUVmax in target lesions and reference regions.数字与模拟 PET/CT:靶病灶和参照区 SUVmax 的受试者内比较。
Eur J Nucl Med Mol Imaging. 2019 Jul;46(8):1745-1750. doi: 10.1007/s00259-018-4256-0. Epub 2019 Jan 7.