Suppr超能文献

重症监护病房中新冠肺炎患者的计算机断层扫描结果

Computed tomography findings of COVID-19 pneumonia in Intensive Care Unit-patients.

作者信息

Cau Riccardo, Falaschi Zeno, Paschè Alessio, Danna Pietro, Arioli Roberto, Arru Chiara D, Zagaria Domenico, Tricca Stefano, Suri Jasjit S, Karla Mannudeep K, Carriero Alessandro, Saba Luca

机构信息

Department of Radiology, Azienda Ospedaliero Universitaria (A.O.U.) di Cagliari, Polo di Monserrato (CA).

Department of Radiology, A.O.U. "Maggiore d.c.", University of Eastern Piedmont, Novara.

出版信息

J Public Health Res. 2021 Apr 19;10(3):2270. doi: 10.4081/jphr.2021.2270.

Abstract

BACKGROUND

In December 2019, a cluster of unknown etiology pneumonia cases occurred in Wuhan, China leading to identification of the responsible pathogen as SARS-coV-2. Since then, the coronavirus disease 2019 (COVID-19) has spread to the entire world. Computed Tomography (CT) is frequently used to assess severity and complications of COVID-19 pneumonia. The purpose of this study is to compare the CT patterns and clinical characteristics in intensive care unit (ICU) and non-ICU patients with COVID-19 pneumonia.

DESIGN AND METHODS

This retrospective study included 218 consecutive patients (136 males; 82 females; mean age 63±15 years) with laboratory-confirmed SARS-coV-2. Patients were categorized in two different groups: (a) ICU patients and (b) non-ICU inpatients. We assessed the type and extent of pulmonary opacities on chest CT exams and recorded the information on comorbidities and laboratory values for all patients.

RESULTS

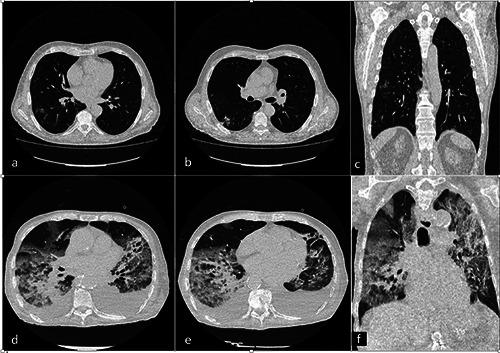
Of the 218 patients, 23 (20 males: 3 females; mean age 60 years) required ICU admission, 195 (118 males: 77 females, mean age 64 years) were admitted to a clinical ward. Compared with non-ICU patients, ICU patients were predominantly males (60% versus 83% p=0.03), had more comorbidities, a positive CRP (p=0.04) and higher LDH values (p=0.008). ICU patients' chest CT demonstrated higher incidence of consolidation (p=0.03), mixed lesions (p=0.01), bilateral opacities (p<0.01) and overall greater lung involvement by consolidation (p=0.02) and GGO (p=0.001).

CONCLUSIONS

CT imaging features of ICU patients affected by COVID-19 are significantly different compared with non-ICU patients. Identification of CT features could assist in a stratification of the disease severity and supportive treatment.

摘要

背景

2019年12月,中国武汉出现了一组病因不明的肺炎病例,随后确定致病病原体为严重急性呼吸综合征冠状病毒2型(SARS-CoV-2)。自那时起,2019冠状病毒病(COVID-19)已蔓延至全球。计算机断层扫描(CT)常用于评估COVID-19肺炎的严重程度和并发症。本研究的目的是比较COVID-19肺炎重症监护病房(ICU)患者和非ICU患者的CT表现及临床特征。

设计与方法

这项回顾性研究纳入了218例实验室确诊为SARS-CoV-2的连续患者(男性136例;女性82例;平均年龄63±15岁)。患者被分为两组:(a)ICU患者和(b)非ICU住院患者。我们评估了胸部CT检查中肺部混浊的类型和范围,并记录了所有患者的合并症信息和实验室检查值。

结果

在218例患者中,23例(男性20例:女性3例;平均年龄60岁)需要入住ICU,195例(男性118例:女性77例,平均年龄64岁)入住临床病房。与非ICU患者相比,ICU患者以男性为主(60%对83%,p=0.03),合并症更多,C反应蛋白(CRP)阳性(p=0.04),乳酸脱氢酶(LDH)值更高(p=0.008)。ICU患者的胸部CT显示实变发生率更高(p=0.03)、混合性病变(p=0.01)、双侧混浊(p<0.01),总体上实变(p=0.02)和磨玻璃影(GGO)(p=0.001)累及的肺组织更多。

结论

与非ICU患者相比,受COVID-19影响的ICU患者的CT影像特征有显著差异。识别CT特征有助于对疾病严重程度进行分层并指导支持治疗。

https://cdn.ncbi.nlm.nih.gov/pmc/blobs/8122/8490945/e10e7cf2df7e/jphr-10-3-2270-g001.jpg

文献AI研究员

20分钟写一篇综述,助力文献阅读效率提升50倍。

立即体验

用中文搜PubMed

大模型驱动的PubMed中文搜索引擎

马上搜索

文档翻译

学术文献翻译模型,支持多种主流文档格式。

立即体验