Suppr超能文献

含牙囊肿与成釉细胞瘤中钙视网膜蛋白表达的比较:一项免疫组织化学研究。

Comparison of calretinin expression in dentigerous cysts and ameloblastoma: An immunohistochemical study.

作者信息

Varshney Anchal, Aggarwal Shivani, Gill Sharanjeet Kaur, Aggarwal Ashim, Jaiswal Yashmi, Sharma Jaishree

机构信息

Department of Oral Pathology and Microbiology, Manav Rachna Dental College, Faridabad, Haryana, India.

Department of Oral and Maxillofacial Surgery, Manav Rachna Dental College, Faridabad, Haryana, India.

出版信息

Natl J Maxillofac Surg. 2020 Jul-Dec;11(2):224-230. doi: 10.4103/njms.NJMS_71_19. Epub 2020 Dec 16.

Abstract

BACKGROUND

Calretinin is a calcium-binding protein of 29-kilodalton (kDa), which is widely expressed in normal human tissues and tumorigenic tissues. Its expression in the odontogenic epithelium during odontogenesis and in neoplastic odontogenic tissues has been demonstrated. Unicystic ameloblastoma poses a diagnostic challenge, as its histologic presentation can be sometimes mistaken for cystic odontogenic lesions. In the present study, an attempt is made to overcome the confusion encountered in the diagnosis of dentigerous cyst and unicystic ameloblastoma, using the expression of calretinin in both lesions and to compare this expression with conventional ameloblastoma to accurately diagnose and differentiate these lesions.

MATERIALS AND METHODS

A total of eighty cases, in which twenty cases each of ameloblastoma, unicystic ameloblastoma, dentigerous cyst, and odontogenic keratocyst (OKC) were included in the study. Slides were made from the archival blocks of each case and were stained immunohistochemically with calretinin.

RESULTS

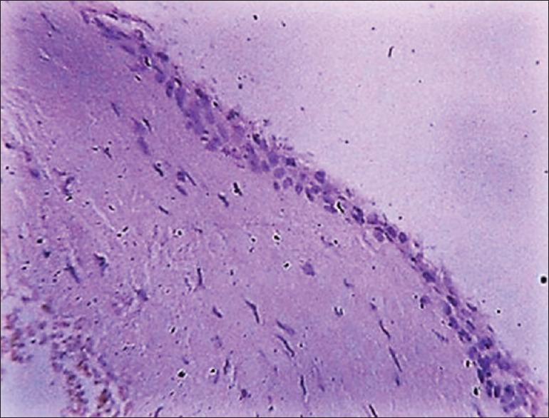
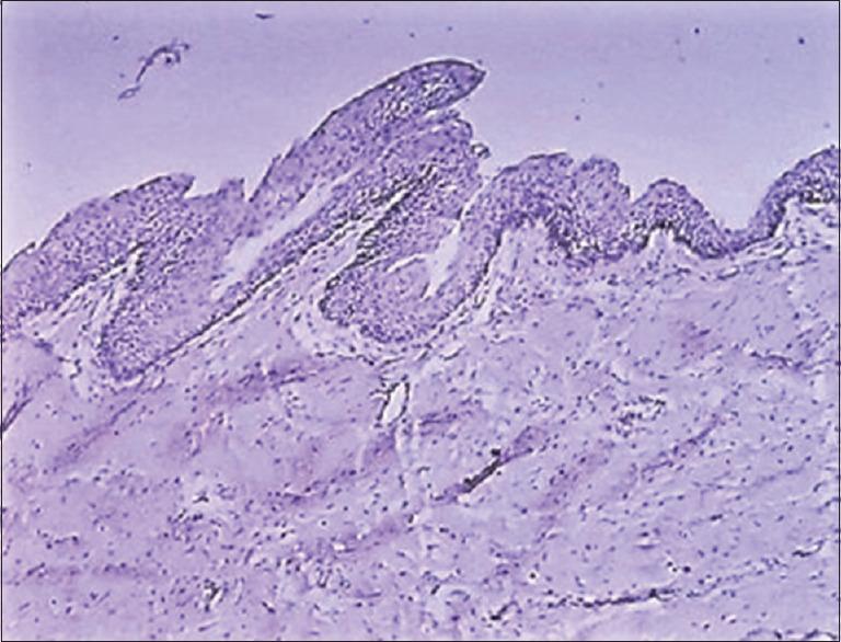
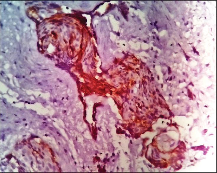
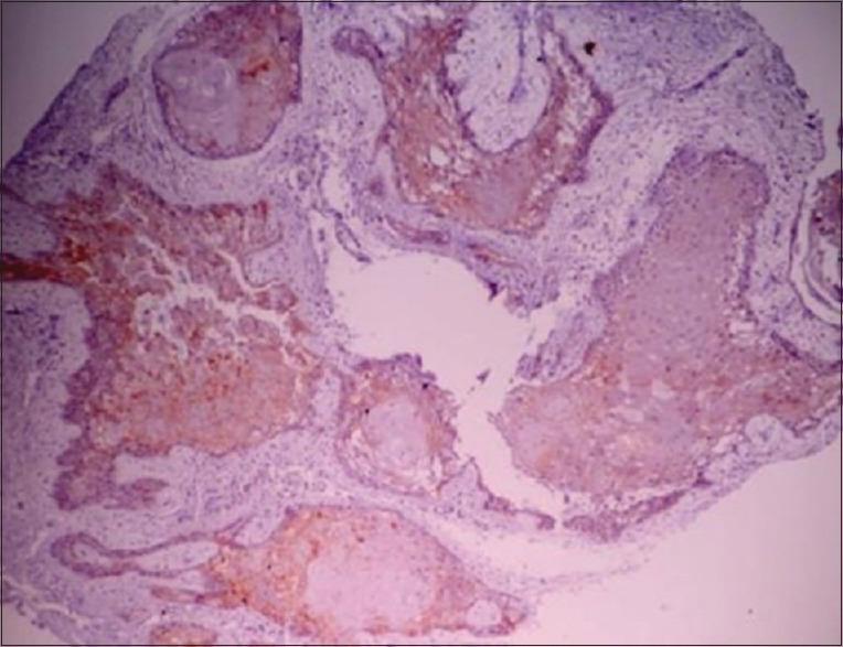
Correlation between calretinin staining and histopathological diagnosis was done, and it was found that all twenty cases of ameloblastoma showed positivity for calretinin, whereas 17 of twenty cases of unicystic ameloblastoma showed positivity for calretinin staining. All the cases of OKC and dentigerous cyst were negative for calretinin.

CONCLUSION

Calretinin may serve as an important diagnostic adjunct in the differential diagnosis of ameloblastoma and cystic odontogenic lesions.

摘要

背景

钙视网膜蛋白是一种29千道尔顿(kDa)的钙结合蛋白,广泛表达于正常人体组织和致瘤组织中。其在牙胚发生过程中的牙源性上皮以及牙源性肿瘤组织中的表达已得到证实。单囊性成釉细胞瘤的诊断具有挑战性,因为其组织学表现有时可能被误诊为囊性牙源性病变。在本研究中,试图通过利用钙视网膜蛋白在这两种病变中的表达来克服在诊断含牙囊肿和单囊性成釉细胞瘤时遇到的混淆,并将这种表达与传统成釉细胞瘤进行比较,以准确诊断和区分这些病变。

材料与方法

共纳入80例病例,其中成釉细胞瘤、单囊性成釉细胞瘤、含牙囊肿和牙源性角化囊肿(OKC)各20例。从每个病例的存档蜡块制作切片,并用钙视网膜蛋白进行免疫组织化学染色。

结果

对钙视网膜蛋白染色与组织病理学诊断之间进行相关性分析,发现所有20例成釉细胞瘤病例钙视网膜蛋白呈阳性,而20例单囊性成釉细胞瘤病例中有17例钙视网膜蛋白染色呈阳性。所有OKC和含牙囊肿病例钙视网膜蛋白均为阴性。

结论

钙视网膜蛋白可作为成釉细胞瘤和囊性牙源性病变鉴别诊断的重要辅助诊断指标。

https://cdn.ncbi.nlm.nih.gov/pmc/blobs/8e49/8051659/d0eafaa91981/NJMS-11-224-g001.jpg

文献检索

告别复杂PubMed语法,用中文像聊天一样搜索,搜遍4000万医学文献。AI智能推荐,让科研检索更轻松。

立即免费搜索

文件翻译

保留排版,准确专业,支持PDF/Word/PPT等文件格式,支持 12+语言互译。

免费翻译文档

深度研究

AI帮你快速写综述,25分钟生成高质量综述,智能提取关键信息,辅助科研写作。

立即免费体验