Suppr超能文献

胸膜肺炎放线杆菌5型荚膜聚合物的毒力特性及保护效力

Virulence properties and protective efficacy of the capsular polymer of Haemophilus (Actinobacillus) pleuropneumoniae serotype 5.

作者信息

Inzana T J, Ma J, Workman T, Gogolewski R P, Anderson P

机构信息

Department of Veterinary Microbiology-Pathology, Washington State University, Pullman 99164-7040.

出版信息

Infect Immun. 1988 Aug;56(8):1880-9. doi: 10.1128/iai.56.8.1880-1889.1988.

Abstract

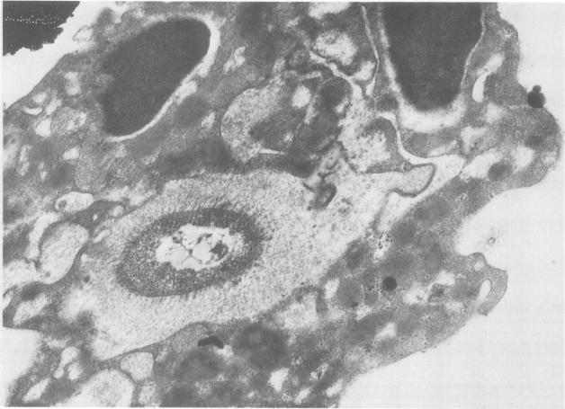
The role of the capsule of Haemophilus (Actinobacillus) pleuropneumoniae serotype 5 in bacterial virulence, and the protective efficacy of antibody to serotype 5 capsule was investigated. Encapsulated H. pleuropneumoniae serotype 5 were resistant to killing by complement and antibody to capsule or somatic antigens, whereas a noncapsulated mutant was sensitive to killing by the alternative complement pathway alone. Antiserum to whole H. pleuropneumoniae serotype 5 bacteria or monospecific antiserum to capsule was capable of opsonizing bacteria of the homologous serotype for phagocytosis by swine polymorphonuclear leukocytes but was not opsonic for a heterologous serotype. An immunoglobulin M monoclonal antibody to the serotype 5 capsule was not opsonic for any serotype. Mice were protected against lethal, intranasal challenge with the homologous or heterologous serotype after immunization with live encapsulated or noncapsulated bacteria, but not after immunization with killed bacteria, lipopolysaccharide, or a capsule-protein conjugate vaccine. The protection induced by immunization with live bacteria was transferred to nonimmune, syngeneic mice by serum but not by spleen cells. Nonimmune pigs passively immunized with monospecific swine serum to capsule were protected from lethal infection but not from development of hemorrhagic lung lesions, whereas pigs passively immunized with swine antiserum to live bacteria did not develop severe respiratory lesions. Thus, the capsule of H. pleuropneumoniae serotype 5 was inhibitory to the bactericidal activity of serum and was antiphagocytic. Antibody to the capsule was opsonic but was not fully protective.

摘要

研究了胸膜肺炎放线杆菌5型荚膜在细菌毒力中的作用以及5型荚膜抗体的保护效力。5型荚膜化的胸膜肺炎放线杆菌对补体以及荚膜或菌体抗原抗体介导的杀伤具有抗性,而一个非荚膜化突变体仅对替代补体途径介导的杀伤敏感。5型胸膜肺炎放线杆菌全菌抗血清或荚膜单特异性抗血清能够调理同源血清型细菌,使其被猪多形核白细胞吞噬,但对异源血清型细菌则无调理作用。一种针对5型荚膜的免疫球蛋白M单克隆抗体对任何血清型均无调理作用。用活的荚膜化或非荚膜化细菌免疫小鼠后,可使其免受同源或异源血清型的致死性鼻内攻击,但用灭活细菌、脂多糖或荚膜-蛋白结合疫苗免疫则不能。用活细菌免疫诱导的保护作用可通过血清传递给未免疫的同基因小鼠,但不能通过脾细胞传递。用荚膜单特异性猪血清被动免疫的未免疫猪可免受致死性感染,但不能防止出血性肺损伤的发生,而用活细菌抗血清被动免疫的猪则不会出现严重的呼吸道病变。因此,5型胸膜肺炎放线杆菌的荚膜可抑制血清的杀菌活性且具有抗吞噬作用。荚膜抗体具有调理作用,但保护作用不完全。

https://cdn.ncbi.nlm.nih.gov/pmc/blobs/f29a/259496/ace85aa38154/iai00080-0066-a.jpg

相似文献

2
Serotype specificity and immunogenicity of the capsular polymer of Haemophilus pleuropneumoniae serotype 5.
Infect Immun. 1987 Jul;55(7):1580-7. doi: 10.1128/iai.55.7.1580-1587.1987.
6
The comparative pathogenicity of four serovars of Actinobacillus (Haemophilus) pleuropneumoniae.
Aust Vet J. 1990 Jan;67(1):9-12. doi: 10.1111/j.1751-0813.1990.tb07382.x.

引用本文的文献

3
Transcription analysis on response of porcine alveolar macrophages to Haemophilus parasuis.
BMC Genomics. 2012 Feb 13;13:68. doi: 10.1186/1471-2164-13-68.
5
Modulation of gene expression in Actinobacillus pleuropneumoniae exposed to bronchoalveolar fluid.
PLoS One. 2009 Jul 3;4(7):e6139. doi: 10.1371/journal.pone.0006139.
6
Differences in phagocytosis susceptibility in Haemophilus parasuis strains.
Vet Res. 2009 May-Jun;40(3):24. doi: 10.1051/vetres/2009007. Epub 2009 Feb 26.
7
Characterization and comparison of biofilm development by pathogenic and commensal isolates of Histophilus somni.
J Bacteriol. 2007 Nov;189(22):8179-85. doi: 10.1128/JB.00479-07. Epub 2007 Jul 20.
9
Association of Actinobacillus pleuropneumoniae capsular polysaccharide with virulence in pigs.
Infect Immun. 2003 Jun;71(6):3320-8. doi: 10.1128/IAI.71.6.3320-3328.2003.
10
The N-terminal domain of RTX toxin ApxI of Actinobacillus pleuropneumoniae elicits protective immunity in mice.
Infect Immun. 2002 Nov;70(11):6464-7. doi: 10.1128/IAI.70.11.6464-6467.2002.

本文引用的文献

4
SELECTION OF HYBRIDS FROM MATINGS OF FIBROBLASTS IN VITRO AND THEIR PRESUMED RECOMBINANTS.
Science. 1964 Aug 14;145(3633):709-10. doi: 10.1126/science.145.3633.709.
6
A new oral vaccine against typhoid fever.
J Infect Dis. 1982 Mar;145(3):289-91. doi: 10.1093/infdis/145.3.289.
10
Serum bactericidal effect on capsulated and non-capsulated Haemophilus influenzae.
Acta Pathol Microbiol Scand C. 1980 Feb;88(1):47-56. doi: 10.1111/j.1699-0463.1980.tb00071.x.

文献AI研究员

20分钟写一篇综述,助力文献阅读效率提升50倍。

立即体验

用中文搜PubMed

大模型驱动的PubMed中文搜索引擎

马上搜索

文档翻译

学术文献翻译模型,支持多种主流文档格式。

立即体验