• 文献检索
  • 文档翻译
  • 深度研究
  • 学术资讯
  • Suppr Zotero 插件Zotero 插件
  • 邀请有礼
  • 套餐&价格
  • 历史记录
应用&插件
Suppr Zotero 插件Zotero 插件浏览器插件Mac 客户端Windows 客户端微信小程序
定价
高级版会员购买积分包购买API积分包
服务
文献检索文档翻译深度研究API 文档MCP 服务
关于我们
关于 Suppr公司介绍联系我们用户协议隐私条款
关注我们

Suppr 超能文献

核心技术专利:CN118964589B侵权必究
粤ICP备2023148730 号-1Suppr @ 2026

文献检索

告别复杂PubMed语法,用中文像聊天一样搜索,搜遍4000万医学文献。AI智能推荐,让科研检索更轻松。

立即免费搜索

文件翻译

保留排版,准确专业,支持PDF/Word/PPT等文件格式,支持 12+语言互译。

免费翻译文档

深度研究

AI帮你快速写综述,25分钟生成高质量综述,智能提取关键信息,辅助科研写作。

立即免费体验

勒米尔综合征:一例报告

Lemierre's Syndrome: A Case Report.

作者信息

Doan Hannah, Niyazi Sara, Burton April, Nibir Ikramamul, Kavaliauskas Augustas

机构信息

Medicine, Lake Erie College of Osteopathic Medicine, Bradenton, USA.

Internal Medicine, AdventHealth Florida, Sebring, USA.

出版信息

Cureus. 2021 Apr 27;13(4):e14713. doi: 10.7759/cureus.14713.

DOI:10.7759/cureus.14713
PMID:34055552
原文链接:https://pmc.ncbi.nlm.nih.gov/articles/PMC8157818/
Abstract

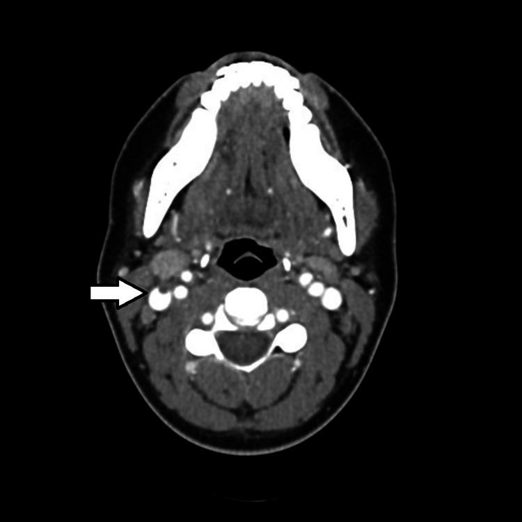
Lemierre's syndrome is a condition in which an oropharyngeal infection progresses to sepsis and thrombophlebitis of the internal jugular vein. Although the incidence of this syndrome has fallen dramatically since the widespread use of antibiotic therapy to treat streptococcal pharyngitis, it should still be suspected in otherwise healthy young patients presenting with the triad of prolonged pharyngitis, lateral neck pain, and septic symptoms. In this report, we explore a unique case of Lemierre's syndrome complicated by hypercoagulability and ineffective initial antibiotic therapy.

摘要

勒米尔综合征是一种口咽感染发展为败血症和颈内静脉血栓性静脉炎的病症。尽管自从广泛使用抗生素治疗链球菌性咽炎以来,该综合征的发病率已大幅下降,但对于出现咽炎持续时间延长、颈部侧方疼痛和败血症症状三联征的其他方面健康的年轻患者,仍应怀疑此病。在本报告中,我们探讨了一例并发高凝状态且初始抗生素治疗无效的勒米尔综合征的独特病例。

https://cdn.ncbi.nlm.nih.gov/pmc/blobs/fafe/8157818/c538c8bf9de3/cureus-0013-00000014713-i04.jpg
https://cdn.ncbi.nlm.nih.gov/pmc/blobs/fafe/8157818/be8f9482dde2/cureus-0013-00000014713-i01.jpg
https://cdn.ncbi.nlm.nih.gov/pmc/blobs/fafe/8157818/5406328aac3a/cureus-0013-00000014713-i02.jpg
https://cdn.ncbi.nlm.nih.gov/pmc/blobs/fafe/8157818/36a3b2795677/cureus-0013-00000014713-i03.jpg
https://cdn.ncbi.nlm.nih.gov/pmc/blobs/fafe/8157818/c538c8bf9de3/cureus-0013-00000014713-i04.jpg
https://cdn.ncbi.nlm.nih.gov/pmc/blobs/fafe/8157818/be8f9482dde2/cureus-0013-00000014713-i01.jpg
https://cdn.ncbi.nlm.nih.gov/pmc/blobs/fafe/8157818/5406328aac3a/cureus-0013-00000014713-i02.jpg
https://cdn.ncbi.nlm.nih.gov/pmc/blobs/fafe/8157818/36a3b2795677/cureus-0013-00000014713-i03.jpg
https://cdn.ncbi.nlm.nih.gov/pmc/blobs/fafe/8157818/c538c8bf9de3/cureus-0013-00000014713-i04.jpg

相似文献

1
Lemierre's Syndrome: A Case Report.勒米尔综合征:一例报告
Cureus. 2021 Apr 27;13(4):e14713. doi: 10.7759/cureus.14713.
2
Lemierre's Syndrome in a Pediatric Patient: A Case Report.一名儿科患者的勒米尔综合征:病例报告
Cureus. 2023 Nov 13;15(11):e48712. doi: 10.7759/cureus.48712. eCollection 2023 Nov.
3
Lemierre's syndrome: a forgotten complication of oropharyngeal infection.勒米尔综合征:一种被遗忘的口咽感染并发症。
J Ayub Med Coll Abbottabad. 2005 Jan-Mar;17(1):30-3.
4
Lemierre's syndrome.勒米尔综合征
Int J Emerg Med. 2013 Oct 23;6(1):40. doi: 10.1186/1865-1380-6-40.
5
Lemierre's Syndrome Due to Streptococcus anginosus: A Case Report and Review of the Literature.由咽峡炎链球菌引起的勒米尔综合征:一例报告及文献复习
Cureus. 2023 Aug 29;15(8):e44311. doi: 10.7759/cureus.44311. eCollection 2023 Aug.
6
Lemierre's syndrome (necrobacillosis).勒米尔综合征(坏死性杆菌病)。
Postgrad Med J. 1999 Mar;75(881):141-4. doi: 10.1136/pgmj.75.881.141.
7
Lemierre's syndrome: postanginal sepsis due to anaerobic oropharyngeal infection.勒米尔综合征:因口咽部厌氧菌感染所致的咽后脓毒症。
Ann Otol Rhinol Laryngol. 1994 Mar;103(3):208-10. doi: 10.1177/000348949410300307.
8
The forgotten disease: Bilateral lemierre's disease with mycotic aneurysm of the vertebral artery.被遗忘的疾病:双侧莱米尔氏病伴椎动脉霉菌性动脉瘤
Am J Case Rep. 2014 May 25;15:230-4. doi: 10.12659/AJCR.890449. eCollection 2014.
9
Lemierre's syndrome and rapidly deteriorating respiratory failure in the emergency department.勒米厄尔氏综合征和急诊科迅速恶化的呼吸衰竭。
Am J Emerg Med. 2012 Oct;30(8):1658.e5-7. doi: 10.1016/j.ajem.2011.08.008. Epub 2011 Oct 26.
10
[Lemierre's syndrome (post-anginal sepsis): a forgotten infection].[勒米尔综合征(心绞痛后脓毒症):一种被遗忘的感染]
Med Clin (Barc). 1989 Nov 25;93(17):660-2.

引用本文的文献

1
Lemierre Syndrome Presenting as Tender Goiter.以触痛性甲状腺肿为表现的勒米尔综合征
Cureus. 2023 Dec 24;15(12):e51023. doi: 10.7759/cureus.51023. eCollection 2023 Dec.
2
Lemierre Syndrome: A Diagnosis behind the Veil.勒米尔综合征:面纱背后的诊断
Case Rep Infect Dis. 2023 Apr 18;2023:2273954. doi: 10.1155/2023/2273954. eCollection 2023.
3
Lemierre's Syndrome: A Lethal Complication of Acute Tonsillitis.勒米尔综合征:急性扁桃体炎的一种致命并发症。

本文引用的文献

1
Lemierre's syndrome.勒米尔综合征
Int J Emerg Med. 2013 Oct 23;6(1):40. doi: 10.1186/1865-1380-6-40.
2
Venous thrombosis in users of non-oral hormonal contraception: follow-up study, Denmark 2001-10.非口服激素类避孕药使用者的静脉血栓形成:随访研究,丹麦,2001-2010 年。
BMJ. 2012 May 10;344:e2990. doi: 10.1136/bmj.e2990.
3
Lemierre's syndrome: A systematic review.勒米尔综合征:一项系统评价。
Cureus. 2022 Oct 8;14(10):e30072. doi: 10.7759/cureus.30072. eCollection 2022 Oct.
Laryngoscope. 2009 Aug;119(8):1552-9. doi: 10.1002/lary.20542.
4
Advanced Lemierre syndrome requiring surgery.需要手术治疗的晚期勒米尔综合征。
Infection. 2008 Oct;36(5):495-6. doi: 10.1007/s15010-008-8216-7.
5
Lemierre's syndrome and other disseminated Fusobacterium necrophorum infections in Denmark: a prospective epidemiological and clinical survey.丹麦的勒米尔综合征及其他播散性坏死梭杆菌感染:一项前瞻性流行病学和临床调查。
Eur J Clin Microbiol Infect Dis. 2008 Sep;27(9):779-89. doi: 10.1007/s10096-008-0496-4. Epub 2008 Mar 11.
6
Detection of Fusobacterium necrophorum subsp. funduliforme in tonsillitis in young adults by real-time PCR.通过实时聚合酶链反应检测年轻成年人扁桃体炎中坏死梭杆菌亚种舟形亚种。
Clin Microbiol Infect. 2007 Jul;13(7):695-701. doi: 10.1111/j.1469-0691.2007.01719.x. Epub 2007 Apr 2.
7
Lemierre's syndrome: Porphyromonas asaccharolytica as a putative pathogen.勒米尔综合征:解糖卟啉单胞菌作为一种可能的病原体。
Intern Med. 2005 Apr;44(4):350-3. doi: 10.2169/internalmedicine.44.350.
8
Lemierre's syndrome: more than a historical curiosa.勒米尔综合征:不止是历史趣闻。
Postgrad Med J. 2004 Jun;80(944):328-34. doi: 10.1136/pgmj.2003.014274.
9
The evolution of Lemierre syndrome: report of 2 cases and review of the literature.勒米尔综合征的演变:2例报告并文献复习
Medicine (Baltimore). 2002 Nov;81(6):458-65. doi: 10.1097/00005792-200211000-00006.
10
Possible association between the Norplant contraceptive system and thrombotic thrombocytopenic purpura.诺普兰避孕系统与血栓性血小板减少性紫癜之间可能存在的关联。
Obstet Gynecol. 1996 May;87(5 Pt 2):860-3.