Suppr超能文献

用儿茶酚功能化肟水凝胶预防术后心脏粘连。

Preventing post-surgical cardiac adhesions with a catechol-functionalized oxime hydrogel.

机构信息

Department of Bioengineering, University of California, San Diego, San Diego, CA, USA.

Sanford Consortium for Regenerative Medicine, University of California, San Diego, San Diego, CA, USA.

出版信息

Nat Commun. 2021 Jun 18;12(1):3764. doi: 10.1038/s41467-021-24104-w.

Abstract

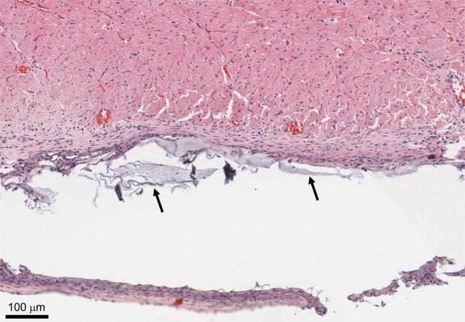
Post-surgical cardiac adhesions represent a significant problem during routine cardiothoracic procedures. This fibrous tissue can impair heart function and inhibit surgical access in reoperation procedures. Here, we propose a hydrogel barrier composed of oxime crosslinked poly(ethylene glycol) (PEG) with the inclusion of a catechol (Cat) group to improve retention on the heart for pericardial adhesion prevention. This three component system is comprised of aldehyde (Ald), aminooxy (AO), and Cat functionalized PEG mixed to form the final gel (Ald-AO-Cat). Ald-AO-Cat has favorable mechanical properties, degradation kinetics, and minimal swelling, as well as superior tissue retention compared to an initial Ald-AO gel formulation. We show that the material is cytocompatible, resists cell adhesion, and led to a reduction in the severity of adhesions in an in vivo rat model. We further show feasibility in a pilot porcine study. The Ald-AO-Cat hydrogel barrier may therefore serve as a promising solution for preventing post-surgical cardiac adhesions.

摘要

术后心脏粘连是心脏胸外科手术中一个严重的问题。这种纤维组织会损害心脏功能,并影响再次手术时的手术操作。在这里,我们提出了一种水凝胶屏障,由肟交联的聚乙二醇(PEG)组成,其中包含一个儿茶酚(Cat)基团,以改善在心包粘连预防中的保留。该三组分系统由醛(Ald)、氨氧基(AO)和 Cat 功能化 PEG 混合形成最终凝胶(Ald-AO-Cat)。与初始的 Ald-AO 凝胶配方相比,Ald-AO-Cat 具有良好的机械性能、降解动力学和最小的肿胀,以及更好的组织保留。我们证明了该材料具有细胞相容性,能抵抗细胞黏附,并在体内大鼠模型中减少粘连的严重程度。我们还在初步的猪研究中证明了其可行性。因此,Ald-AO-Cat 水凝胶屏障可能是一种有前途的预防术后心脏粘连的解决方案。

https://cdn.ncbi.nlm.nih.gov/pmc/blobs/d667/8213776/ab785964d867/41467_2021_24104_Fig1_HTML.jpg

文献检索

告别复杂PubMed语法,用中文像聊天一样搜索,搜遍4000万医学文献。AI智能推荐,让科研检索更轻松。

立即免费搜索

文件翻译

保留排版,准确专业,支持PDF/Word/PPT等文件格式,支持 12+语言互译。

免费翻译文档

深度研究

AI帮你快速写综述,25分钟生成高质量综述,智能提取关键信息,辅助科研写作。

立即免费体验