• 文献检索
  • 文档翻译
  • 深度研究
  • 学术资讯
  • Suppr Zotero 插件Zotero 插件
  • 邀请有礼
  • 套餐&价格
  • 历史记录
应用&插件
Suppr Zotero 插件Zotero 插件浏览器插件Mac 客户端Windows 客户端微信小程序
定价
高级版会员购买积分包购买API积分包
服务
文献检索文档翻译深度研究API 文档MCP 服务
关于我们
关于 Suppr公司介绍联系我们用户协议隐私条款
关注我们

Suppr 超能文献

核心技术专利:CN118964589B侵权必究
粤ICP备2023148730 号-1Suppr @ 2026

文献检索

告别复杂PubMed语法,用中文像聊天一样搜索,搜遍4000万医学文献。AI智能推荐,让科研检索更轻松。

立即免费搜索

文件翻译

保留排版,准确专业,支持PDF/Word/PPT等文件格式,支持 12+语言互译。

免费翻译文档

深度研究

AI帮你快速写综述,25分钟生成高质量综述,智能提取关键信息,辅助科研写作。

立即免费体验

用于引导骨再生(GBR)的胶原基牙科屏障膜整合行为和免疫反应的体内比较分析

Comparative In Vivo Analysis of the Integration Behavior and Immune Response of Collagen-Based Dental Barrier Membranes for Guided Bone Regeneration (GBR).

作者信息

Radenković Milena, Alkildani Said, Stoewe Ignacio, Bielenstein James, Sundag Bernd, Bellmann Olaf, Jung Ole, Najman Stevo, Stojanović Sanja, Barbeck Mike

机构信息

Department for Cell and Tissue Engineering, Faculty of Medicine, University of Niš, 18000 Niš, Serbia.

BerlinAnalytix GmbH, 12109 Berlin, Germany.

出版信息

Membranes (Basel). 2021 Sep 15;11(9):712. doi: 10.3390/membranes11090712.

DOI:10.3390/membranes11090712
PMID:34564529
原文链接:https://pmc.ncbi.nlm.nih.gov/articles/PMC8467533/
Abstract

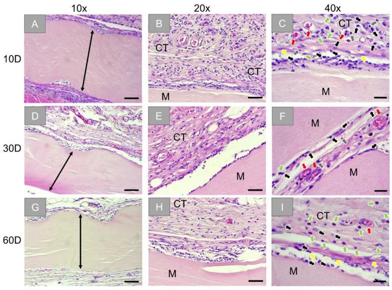
Collagen-based resorbable barrier membranes have been increasingly utilized for Guided Bone Regeneration (GBR), as an alternative to non-resorbable synthetic membranes that require a second surgical intervention for removal. One of the most important characteristics of a resorbable barrier membrane is its mechanical integrity that is required for space maintenance and its tissue integration that plays a crucial role in wound healing and bone augmentation. This study compares a commercially available porcine-derived sugar-crosslinked collagen membrane with two non-crosslinked collagen barrier membranes. The material analysis provides an insight into the influence of manufacturing on the microstructure. In vivo subcutaneous implantation model provides further information on the host tissue reaction of the barrier membranes, as well as their tissue integration patterns that involve cellular infiltration, vascularization, and degradation. The obtained histochemical and immunohistochemical results over three time points (10, 30, and 60 days) showed that the tissue response to the sugar crosslinked collagen membrane involves inflammatory macrophages in a comparable manner to the macrophages observed in the surrounding tissue of the control collagen-based membranes, which were proven as biocompatible. The tissue reactions to the barrier membranes were additionally compared to wounds from a sham operation. Results suggest wound healing properties of all the investigated barrier membranes. However, the sugar-crosslinked membrane lacked in cellular infiltration and transmembraneous vascularization, providing an exclusive barrier function in GBR. Moreover, this membrane maintained a similar swelling ratio over examined timepoints, which suggests a very slow degradation pattern and supports its barrier function. Based on the study results, which showed biocompatibility of the sugar crosslinked membrane and its stability up to 60 days post-implantation, it can be concluded that this membrane may be suitable for application in GBR as a biomaterial with exclusive barrier functionality, similar to non-resorbable options.

摘要

基于胶原蛋白的可吸收屏障膜已越来越多地用于引导骨再生(GBR),作为需要二次手术取出的不可吸收合成膜的替代品。可吸收屏障膜最重要的特性之一是其维持空间所需的机械完整性及其在伤口愈合和骨增量中起关键作用的组织整合性。本研究将一种市售的猪源糖交联胶原蛋白膜与两种非交联胶原蛋白屏障膜进行了比较。材料分析深入了解了制造对微观结构的影响。体内皮下植入模型提供了关于屏障膜宿主组织反应的进一步信息,以及它们涉及细胞浸润、血管化和降解的组织整合模式。在三个时间点(10天、30天和60天)获得的组织化学和免疫组织化学结果表明,对糖交联胶原蛋白膜的组织反应涉及炎性巨噬细胞,其方式与在对照胶原蛋白基膜周围组织中观察到的巨噬细胞相当,后者已被证明具有生物相容性。还将屏障膜的组织反应与假手术伤口进行了比较。结果表明所有研究的屏障膜都具有伤口愈合特性。然而,糖交联膜缺乏细胞浸润和跨膜血管化,在GBR中提供了独特的屏障功能。此外,该膜在检查的时间点保持相似的肿胀率,这表明其降解模式非常缓慢并支持其屏障功能。基于研究结果,表明糖交联膜具有生物相容性且在植入后60天内保持稳定,可以得出结论,该膜可能适合作为具有独特屏障功能的生物材料应用于GBR,类似于不可吸收的材料。

https://cdn.ncbi.nlm.nih.gov/pmc/blobs/69a6/8467533/37267d3e1982/membranes-11-00712-g009.jpg
https://cdn.ncbi.nlm.nih.gov/pmc/blobs/69a6/8467533/e1d475a37e0a/membranes-11-00712-g001.jpg
https://cdn.ncbi.nlm.nih.gov/pmc/blobs/69a6/8467533/6565e258802c/membranes-11-00712-g002.jpg
https://cdn.ncbi.nlm.nih.gov/pmc/blobs/69a6/8467533/1369a18dcc32/membranes-11-00712-g003.jpg
https://cdn.ncbi.nlm.nih.gov/pmc/blobs/69a6/8467533/e171d1667410/membranes-11-00712-g004.jpg
https://cdn.ncbi.nlm.nih.gov/pmc/blobs/69a6/8467533/5e6083c92532/membranes-11-00712-g005.jpg
https://cdn.ncbi.nlm.nih.gov/pmc/blobs/69a6/8467533/7b05c1ace10f/membranes-11-00712-g006.jpg
https://cdn.ncbi.nlm.nih.gov/pmc/blobs/69a6/8467533/b46c1d1bdaf3/membranes-11-00712-g007.jpg
https://cdn.ncbi.nlm.nih.gov/pmc/blobs/69a6/8467533/84b59b6e55b3/membranes-11-00712-g008.jpg
https://cdn.ncbi.nlm.nih.gov/pmc/blobs/69a6/8467533/37267d3e1982/membranes-11-00712-g009.jpg
https://cdn.ncbi.nlm.nih.gov/pmc/blobs/69a6/8467533/e1d475a37e0a/membranes-11-00712-g001.jpg
https://cdn.ncbi.nlm.nih.gov/pmc/blobs/69a6/8467533/6565e258802c/membranes-11-00712-g002.jpg
https://cdn.ncbi.nlm.nih.gov/pmc/blobs/69a6/8467533/1369a18dcc32/membranes-11-00712-g003.jpg
https://cdn.ncbi.nlm.nih.gov/pmc/blobs/69a6/8467533/e171d1667410/membranes-11-00712-g004.jpg
https://cdn.ncbi.nlm.nih.gov/pmc/blobs/69a6/8467533/5e6083c92532/membranes-11-00712-g005.jpg
https://cdn.ncbi.nlm.nih.gov/pmc/blobs/69a6/8467533/7b05c1ace10f/membranes-11-00712-g006.jpg
https://cdn.ncbi.nlm.nih.gov/pmc/blobs/69a6/8467533/b46c1d1bdaf3/membranes-11-00712-g007.jpg
https://cdn.ncbi.nlm.nih.gov/pmc/blobs/69a6/8467533/84b59b6e55b3/membranes-11-00712-g008.jpg
https://cdn.ncbi.nlm.nih.gov/pmc/blobs/69a6/8467533/37267d3e1982/membranes-11-00712-g009.jpg

相似文献

1
Comparative In Vivo Analysis of the Integration Behavior and Immune Response of Collagen-Based Dental Barrier Membranes for Guided Bone Regeneration (GBR).用于引导骨再生(GBR)的胶原基牙科屏障膜整合行为和免疫反应的体内比较分析
Membranes (Basel). 2021 Sep 15;11(9):712. doi: 10.3390/membranes11090712.
2
In Vivo Biocompatibility Analysis of a Novel Barrier Membrane Based on Bovine Dermis-Derived Collagen for Guided Bone Regeneration (GBR).基于牛真皮来源胶原蛋白的新型屏障膜用于引导骨再生(GBR)的体内生物相容性分析
Membranes (Basel). 2022 Mar 30;12(4):378. doi: 10.3390/membranes12040378.
3
Novel Histomorphometrical Approach to Evaluate the Integration Pattern and Functionality of Barrier Membranes.评估屏障膜整合模式和功能的新型组织形态计量学方法。
Dent J (Basel). 2021 Oct 25;9(11):127. doi: 10.3390/dj9110127.
4
The Early Fragmentation of a Bovine Dermis-Derived Collagen Barrier Membrane Contributes to Transmembraneous Vascularization-A Possible Paradigm Shift for Guided Bone Regeneration.牛真皮来源的胶原屏障膜早期碎片化有助于跨膜血管化——引导性骨再生的一种可能的范式转变。
Membranes (Basel). 2021 Mar 9;11(3):185. doi: 10.3390/membranes11030185.
5
Biodegradable magnesium barrier membrane used for guided bone regeneration in dental surgery.用于牙外科引导骨再生的可生物降解镁屏障膜。
Bioact Mater. 2021 Nov 29;14:152-168. doi: 10.1016/j.bioactmat.2021.11.018. eCollection 2022 Aug.
6
Systematic evaluation of three porcine-derived collagen membranes for guided bone regeneration.对三种猪源胶原膜用于引导骨再生的系统评价。
Biomater Transl. 2023 Mar 28;4(1):41-50. doi: 10.12336/biomatertransl.2023.01.006. eCollection 2023.
7
Guided bone regeneration around endosseous implants with anorganic bovine bone mineral. A randomized controlled trial comparing bioabsorbable versus non-resorbable barriers.使用无机牛骨矿物质在骨内种植体周围进行引导性骨再生。一项比较生物可吸收屏障与不可吸收屏障的随机对照试验。
J Periodontol. 2000 Nov;71(11):1743-9. doi: 10.1902/jop.2000.71.11.1743.
8
A long-lasting guided bone regeneration membrane from sequentially functionalised photoactive atelocollagen.一种具有长效引导骨再生功能的膜,由序列功能化的光活性去端肽胶原制备。
Acta Biomater. 2022 Mar 1;140:190-205. doi: 10.1016/j.actbio.2021.12.004. Epub 2021 Dec 9.
9
Non-cross-linked porcine-based collagen I-III membranes do not require high vascularization rates for their integration within the implantation bed: a paradigm shift.非交联猪源胶原 I-III 膜在植入床内整合时不需要高血管化率:观念的转变。
Acta Biomater. 2012 Aug;8(8):3061-72. doi: 10.1016/j.actbio.2012.04.041. Epub 2012 May 3.
10
Sugar-based collagen membrane cross-linking increases barrier capacity of membranes.糖基化胶原蛋白膜交联增加了膜的屏障能力。
Clin Oral Investig. 2018 May;22(4):1851-1863. doi: 10.1007/s00784-017-2281-1. Epub 2017 Dec 6.

引用本文的文献

1
Diagnostic and Clinical Outcomes of Three Regenerative Strategies for Alveolar Bone Defects: A Comparative Study Using CBCT and ISQ.三种牙槽骨缺损再生策略的诊断与临床结果:一项使用锥形束计算机断层扫描(CBCT)和种植体稳定性商数(ISQ)的对比研究
Diagnostics (Basel). 2025 Aug 19;15(16):2078. doi: 10.3390/diagnostics15162078.
2
Evaluation of angiogenic, osteogenic, and antimicrobial potential of novel type X collagen-derived GBR membrane: an in vivo preliminary study.新型X型胶原来源的引导骨组织再生膜的血管生成、成骨及抗菌潜力评估:一项体内初步研究
Odontology. 2025 Aug 9. doi: 10.1007/s10266-025-01163-9.
3
Dual-functional biomimetic periosteum incorporating engineered small extracellular vesicles for treating critical bone defect with soft tissue fenestration via TGF-beta1/SMAD pathway.

本文引用的文献

1
The Early Fragmentation of a Bovine Dermis-Derived Collagen Barrier Membrane Contributes to Transmembraneous Vascularization-A Possible Paradigm Shift for Guided Bone Regeneration.牛真皮来源的胶原屏障膜早期碎片化有助于跨膜血管化——引导性骨再生的一种可能的范式转变。
Membranes (Basel). 2021 Mar 9;11(3):185. doi: 10.3390/membranes11030185.
2
In Vivo Comparative Evaluation of Biocompatibility and Biodegradation of Bovine and Porcine Collagen Membranes.牛和猪胶原蛋白膜生物相容性与生物降解性的体内比较评估
Membranes (Basel). 2020 Dec 15;10(12):423. doi: 10.3390/membranes10120423.
3
Thermal treatment at 500 °C significantly reduces the reaction to irregular tricalcium phosphate granules as foreign bodies: An in vivo study.
双功能仿生骨膜结合工程化小细胞外囊泡通过TGF-β1/SMAD途径治疗伴有软组织开窗的严重骨缺损
Mater Today Bio. 2025 May 20;32:101892. doi: 10.1016/j.mtbio.2025.101892. eCollection 2025 Jun.
4
Biofunctionalization of Collagen Barrier Membranes with Bone-Conditioned Medium, as a Natural Source of Growth Factors, Enhances Osteoblastic Cell Behavior.用骨条件培养基对胶原屏障膜进行生物功能化处理,作为生长因子的天然来源,可增强成骨细胞行为。
Int J Mol Sci. 2025 Feb 13;26(4):1610. doi: 10.3390/ijms26041610.
5
Comparative evaluation of allograft particulate bone and cortical bone blocks combined with xenograft bone for labial bone defects in the aesthetic zone: a prospective cohort study.同种异体颗粒骨和皮质骨块联合异种骨修复前牙区唇侧骨缺损的比较评价:一项前瞻性队列研究。
BMC Oral Health. 2025 Jan 25;25(1):137. doi: 10.1186/s12903-025-05443-2.
6
Challenges and Innovations in Alveolar Bone Regeneration: A Narrative Review on Materials, Techniques, Clinical Outcomes, and Future Directions.牙槽骨再生的挑战与创新:关于材料、技术、临床结果及未来方向的叙述性综述
Medicina (Kaunas). 2024 Dec 27;61(1):20. doi: 10.3390/medicina61010020.
7
The influence of different crosslinking agents onto the physical properties, integration behavior and immune response of collagen-based barrier membranes.不同交联剂对胶原基屏障膜物理性能、整合行为及免疫反应的影响。
Front Bioeng Biotechnol. 2025 Jan 6;12:1506433. doi: 10.3389/fbioe.2024.1506433. eCollection 2024.
8
Tissue Sources Influence the Morphological and Morphometric Characteristics of Collagen Membranes for Guided Bone Regeneration.组织来源影响用于引导骨再生的胶原膜的形态学和形态计量学特征。
Polymers (Basel). 2024 Dec 16;16(24):3499. doi: 10.3390/polym16243499.
9
Engineering Dual Active Sites and Defect Structure in Nanozymes to Reprogram Jawbone Microenvironment for Osteoradionecrosis Therapy.工程化纳米酶中的双活性位点和缺陷结构以重编程颌骨微环境用于放射性骨坏死治疗
Adv Sci (Weinh). 2025 Feb;12(6):e2413215. doi: 10.1002/advs.202413215. Epub 2024 Dec 17.
10
Zinc nanoparticles induced eggshell collagen membrane used for guided bone regeneration: A novel approach in rabbit models.用于引导骨再生的锌纳米颗粒诱导蛋壳胶原膜:兔模型中的一种新方法。
Odontology. 2024 Dec 13. doi: 10.1007/s10266-024-01040-x.
500°C的热处理显著降低了对不规则磷酸三钙颗粒作为异物的反应:一项体内研究。
Acta Biomater. 2021 Feb;121:621-636. doi: 10.1016/j.actbio.2020.11.034. Epub 2020 Nov 26.
4
Specialized Histological and Histomorphometrical Analytical Methods for Biocompatibility Testing of Biomaterials for Maxillofacial Surgery in (Pre-) Clinical Studies.用于颌面外科生物材料(临床前)研究的生物相容性测试的专门组织学和组织形态计量学分析方法。
In Vivo. 2020 Nov-Dec;34(6):3137-3152. doi: 10.21873/invivo.12148.
5
Differential Biodegradation Kinetics of Collagen Membranes for Bone Regeneration.用于骨再生的胶原膜的差异生物降解动力学
Polymers (Basel). 2020 Jun 4;12(6):1290. doi: 10.3390/polym12061290.
6
Degradation, Bone Regeneration and Tissue Response of an Innovative Volume Stable Magnesium-Supported GBR/GTR Barrier Membrane.一种创新的体积稳定型镁支撑 GBR/GTR 屏障膜的降解、骨再生和组织反应。
Int J Mol Sci. 2020 Apr 28;21(9):3098. doi: 10.3390/ijms21093098.
7
Selection of Collagen Membranes for Bone Regeneration: A Literature Review.用于骨再生的胶原膜的选择:文献综述
Materials (Basel). 2020 Feb 9;13(3):786. doi: 10.3390/ma13030786.
8
Tensile Properties of Three Selected Collagen Membranes.三种选定胶原膜的拉伸性能。
Biomed Res Int. 2019 Dec 5;2019:5163603. doi: 10.1155/2019/5163603. eCollection 2019.
9
-(Carboxymethyl)arginine Is One of the Dominant Advanced Glycation End Products in Glycated Collagens and Mouse Tissues.(羧甲基)精氨酸是糖化胶原蛋白和小鼠组织中占主导地位的晚期糖基化终产物之一。
Oxid Med Cell Longev. 2019 Sep 10;2019:9073451. doi: 10.1155/2019/9073451. eCollection 2019.
10
Soft tissue response to dental implant closure caps made of either polyetheretherketone (PEEK) or titanium.软组织对聚醚醚酮(PEEK)或钛制成的牙种植体封闭帽的反应。
Clin Oral Implants Res. 2019 Aug;30(8):808-816. doi: 10.1111/clr.13487. Epub 2019 Jun 12.