Suppr超能文献

hsa_circ_0005358通过与PTBP1蛋白相互作用使CDCP1 mRNA不稳定,从而抑制宫颈癌转移。

hsa_circ_0005358 suppresses cervical cancer metastasis by interacting with PTBP1 protein to destabilize CDCP1 mRNA.

作者信息

Cen Yixuan, Zhu Tingjia, Zhang Yanan, Zhao Lu, Zhu Jiawei, Wang Lingfang, Xu Junfen, Ding Tian, Xie Xing, Wang Xinyu, Lu Weiguo

机构信息

Women's Reproductive Health Laboratory of Zhejiang Province, Women's Hospital, School of Medicine, Zhejiang University, Hangzhou 310006, China.

Department of Gynecologic Oncology, Women's Hospital, Zhejiang University School of Medicine, No. 1 Xueshi Road, Hangzhou 310006, China.

出版信息

Mol Ther Nucleic Acids. 2021 Nov 29;27:227-240. doi: 10.1016/j.omtn.2021.11.020. eCollection 2022 Mar 8.

Abstract

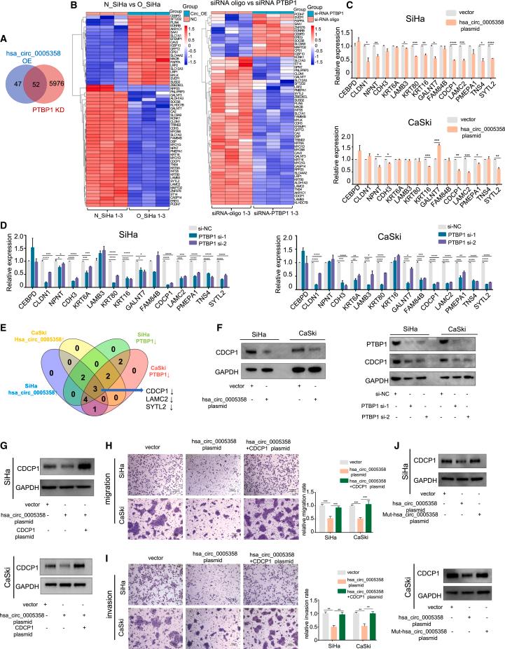
Metastasis is the main cause of cervical cancer lethality, but to date, no effective treatment has been developed to block metastasis. Circular RNAs (circRNAs) were recently found to be involved in cancer metastasis. In this study, we identified a downregulated circRNA derived from the host gene (hsa_circ_0005358) in cervical cancer tissues, which was expressed at lower levels in tissues with extracervical metastasis than in those without extracervical metastasis. Upregulation of hsa_circ_0005358 significantly suppressed the migration and invasion of cervical cancer cells , and downregulation of hsa_circ_0005358 had the opposite effect. A mouse model revealed that cervical cancer cells overexpressing hsa_circ_0005358 possessed weaker metastatic potential . RNA-pull-down assay, mass spectrometry, and RNA immunoprecipitation validated the findings that hsa_circ_0005358 functions via its 215-224 sequence, which interacts with polypyrimidine tract-binding protein 1 (PTBP1). RNA-sequencing profiling revealed that CUB-domain-containing protein 1 (CDCP1) is a common target for hsa_circ_0005358 and PTBP1. We further confirmed that hsa_circ_0005358 sequestered PTBP1, preventing it from stabilizing CDCP1 mRNA, reducing CDCP1 protein translation and ultimately suppressing cancer metastasis. Our findings reveal the function of hsa_circ_0005358 in tumor metastasis, which may be applied to a potential therapeutic approach for patients with metastatic cervical cancer.

摘要

转移是宫颈癌致死的主要原因,但迄今为止,尚未开发出有效的治疗方法来阻断转移。最近发现环状RNA(circRNA)参与癌症转移。在本研究中,我们鉴定出一种源自宿主基因(hsa_circ_0005358)的下调环状RNA,其在宫颈癌组织中表达,在有宫颈外转移的组织中表达水平低于无宫颈外转移的组织。上调hsa_circ_0005358可显著抑制宫颈癌细胞的迁移和侵袭,而下调hsa_circ_0005358则具有相反的效果。小鼠模型显示,过表达hsa_circ_0005358的宫颈癌细胞具有较弱的转移潜能。RNA下拉实验、质谱分析和RNA免疫沉淀验证了hsa_circ_0005358通过其215-224序列发挥作用的发现,该序列与多嘧啶序列结合蛋白1(PTBP1)相互作用。RNA测序分析显示,含CUB结构域蛋白1(CDCP1)是hsa_circ_0005358和PTBP1的共同靶点。我们进一步证实,hsa_circ_0005358隔离PTBP1,阻止其稳定CDCP1 mRNA,减少CDCP1蛋白翻译,最终抑制癌症转移。我们的研究结果揭示了hsa_circ_0005358在肿瘤转移中的作用,这可能为转移性宫颈癌患者提供一种潜在的治疗方法。

https://cdn.ncbi.nlm.nih.gov/pmc/blobs/ce82/8693350/b317001a6543/fx1.jpg

文献检索

告别复杂PubMed语法,用中文像聊天一样搜索,搜遍4000万医学文献。AI智能推荐,让科研检索更轻松。

立即免费搜索

文件翻译

保留排版,准确专业,支持PDF/Word/PPT等文件格式,支持 12+语言互译。

免费翻译文档

深度研究

AI帮你快速写综述,25分钟生成高质量综述,智能提取关键信息,辅助科研写作。

立即免费体验