Suppr超能文献

第一颈椎后弓发育不全:是否存在理想的解剖学分类?

Hypoplasia of C1's posterior arch: Is there an ideal anatomical classification?

作者信息

Junior Messias Gonçalves Pacheco, Dos Santos Nicoly Augusta da Silva Quezada, Ribeiro Raphael Tavares, Landeiro Jose Alberto, Pessoa Bruno Lima

机构信息

Department of Neurosurgery, Antônio Pedro University Hospital, Federal Fluminense University, Niteroi, Rio de Janeiro, Brazil.

出版信息

Surg Neurol Int. 2021 Dec 20;12:623. doi: 10.25259/SNI_820_2021. eCollection 2021.

Abstract

BACKGROUND

Congenital anomalies of the atlas are rare and usually occur in conjunction with other congenital variants. They include a wide spectrum of anomalies ranging from clefts to hypoplasia or aplasia of its arches that may contribute to spinal cord compressive syndrome.

CASE DESCRIPTION

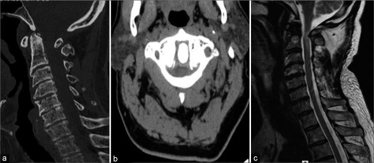
A 54-year-old male presented with the sudden onset of a severe quadriparesis and loss of proprioception after a minor fall. The magnetic resonance (MR) scan showed cord compression at the C1 level attributed to C1 arch hypoplasia. Two months following a decompressive C1 laminectomy without fusion, and the patient was symptom free.

CONCLUSION

Posterior C1 arch hypoplasia is a rare anomaly that can contribute to cervical cord compression and myelopathy. The optimal surgical management may include, as in this case, a posterior decompression without fusion.

摘要

背景

寰椎先天性异常较为罕见,通常与其他先天性变异同时出现。其包括从裂隙到椎弓发育不全或发育不良等广泛的异常情况,这些异常可能导致脊髓压迫综合征。

病例描述

一名54岁男性在轻微跌倒后突然出现严重的四肢瘫和本体感觉丧失。磁共振成像(MR)扫描显示C1水平脊髓受压,原因是C1椎弓发育不全。在进行了不融合的C1椎板减压术后两个月,患者症状消失。

结论

C1后弓发育不全是一种罕见的异常情况,可导致颈髓压迫和脊髓病。如本病例所示,最佳手术治疗可能包括后路减压且不进行融合。

https://cdn.ncbi.nlm.nih.gov/pmc/blobs/5bf8/8720474/0aaa9fda89af/SNI-12-623-g001.jpg

文献AI研究员

20分钟写一篇综述,助力文献阅读效率提升50倍。

立即体验

用中文搜PubMed

大模型驱动的PubMed中文搜索引擎

马上搜索

文档翻译

学术文献翻译模型,支持多种主流文档格式。

立即体验