• 文献检索
  • 文档翻译
  • 深度研究
  • 学术资讯
  • Suppr Zotero 插件Zotero 插件
  • 邀请有礼
  • 套餐&价格
  • 历史记录
应用&插件
Suppr Zotero 插件Zotero 插件浏览器插件Mac 客户端Windows 客户端微信小程序
定价
高级版会员购买积分包购买API积分包
服务
文献检索文档翻译深度研究API 文档MCP 服务
关于我们
关于 Suppr公司介绍联系我们用户协议隐私条款
关注我们

Suppr 超能文献

核心技术专利:CN118964589B侵权必究
粤ICP备2023148730 号-1Suppr @ 2026

文献检索

告别复杂PubMed语法,用中文像聊天一样搜索,搜遍4000万医学文献。AI智能推荐,让科研检索更轻松。

立即免费搜索

文件翻译

保留排版,准确专业,支持PDF/Word/PPT等文件格式,支持 12+语言互译。

免费翻译文档

深度研究

AI帮你快速写综述,25分钟生成高质量综述,智能提取关键信息,辅助科研写作。

立即免费体验

使用机器人手臂辅助进行初次全膝关节置换翻修术:一例报告。

Utilization of Robotic Arm Assistance for Revision of Primary Total Knee Arthroplasty: A Case Report.

作者信息

Steelman Kevin, Carlson Kyle, Ketner Andrew

机构信息

Department of Orthopaedic Surgery, Harper University Hospital, Detroit, Michigan, United States.

Department of Orthopaedic Surgery, Huron Valley-Sinai Hospital, Commerce Township, Michigan, United States.

出版信息

J Orthop Case Rep. 2021 Aug;11(8):50-54. doi: 10.13107/jocr.2021.v11.i08.2362.

DOI:10.13107/jocr.2021.v11.i08.2362
PMID:35004375
原文链接:https://pmc.ncbi.nlm.nih.gov/articles/PMC8686493/
Abstract

INTRODUCTION

With increasing numbers of knee arthroplasty procedures being performed, revision total knee arthroplasty (TKA) remains a challenge to orthopedic surgeons. The use of robotics in primary joint arthroplasty is also increasing due to better technology and surgeon familiarity. Robotic arms have the ability to execute bone cuts within 1 mm of a preoperative plan, can measure soft tissue gap tension, and can plan femoral and tibial augments and rotation. The use of robotic arm assistance for revision TKA, however, has not been documented in the literature.

CASE REPORT

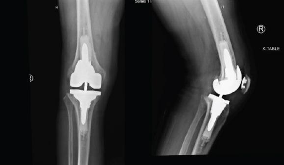
We present a case describing a novel technique in which the Mako robot (Stryker, Ft. Lauderdale, FL) was utilized for revision of a failed primary TKA secondary to aseptic loosening. The patient is a 68-year-old Caucasian male who underwent right revision TKA with robotic assistance. Stryker Triathlon TS implants were utilized with the use of both femoral and tibial cones and medial and lateral posterior femoral augments. He had satisfactory component alignment based on postoperative radiographs, and excellent clinical outcomes 6 months postoperatively.

CONCLUSION

The use of robotic arm assistance in revision TKA for failed primary TKA is a novel technique and resulted in excellent operative outcomes in this case. Further study should be done to confirm its use in revision TKA.

摘要

引言

随着膝关节置换手术数量的增加,翻修全膝关节置换术(TKA)对骨科医生来说仍然是一项挑战。由于技术的进步和外科医生对其的熟悉程度提高,机器人技术在初次关节置换术中的应用也在增加。机器人手臂能够在术前计划的1毫米范围内进行截骨,可以测量软组织间隙张力,并可以规划股骨和胫骨的增大及旋转。然而,文献中尚未记载使用机器人手臂辅助进行翻修TKA的情况。

病例报告

我们介绍了一个病例,描述了一种新技术,即使用Mako机器人(史赛克公司,佛罗里达州劳德代尔堡)对因无菌性松动导致初次TKA失败的患者进行翻修。患者是一名68岁的白人男性,在机器人辅助下接受了右膝翻修TKA。使用了史赛克Triathlon TS植入物,包括股骨和胫骨锥体以及股骨内外侧后髁增大装置。根据术后X光片,假体排列满意,术后6个月临床效果良好。

结论

在因初次TKA失败而进行的翻修TKA中使用机器人手臂辅助是一种新技术,本病例取得了良好的手术效果。应进行进一步研究以证实其在翻修TKA中的应用。

https://cdn.ncbi.nlm.nih.gov/pmc/blobs/ac03/8686493/c30a33a6f4b0/JOCR-11-50-g005.jpg
https://cdn.ncbi.nlm.nih.gov/pmc/blobs/ac03/8686493/3d85295f8168/JOCR-11-50-g001.jpg
https://cdn.ncbi.nlm.nih.gov/pmc/blobs/ac03/8686493/8bb18827049b/JOCR-11-50-g002.jpg
https://cdn.ncbi.nlm.nih.gov/pmc/blobs/ac03/8686493/f040315dd165/JOCR-11-50-g003.jpg
https://cdn.ncbi.nlm.nih.gov/pmc/blobs/ac03/8686493/03d32c64d20a/JOCR-11-50-g004.jpg
https://cdn.ncbi.nlm.nih.gov/pmc/blobs/ac03/8686493/c30a33a6f4b0/JOCR-11-50-g005.jpg
https://cdn.ncbi.nlm.nih.gov/pmc/blobs/ac03/8686493/3d85295f8168/JOCR-11-50-g001.jpg
https://cdn.ncbi.nlm.nih.gov/pmc/blobs/ac03/8686493/8bb18827049b/JOCR-11-50-g002.jpg
https://cdn.ncbi.nlm.nih.gov/pmc/blobs/ac03/8686493/f040315dd165/JOCR-11-50-g003.jpg
https://cdn.ncbi.nlm.nih.gov/pmc/blobs/ac03/8686493/03d32c64d20a/JOCR-11-50-g004.jpg
https://cdn.ncbi.nlm.nih.gov/pmc/blobs/ac03/8686493/c30a33a6f4b0/JOCR-11-50-g005.jpg

相似文献

1
Utilization of Robotic Arm Assistance for Revision of Primary Total Knee Arthroplasty: A Case Report.使用机器人手臂辅助进行初次全膝关节置换翻修术:一例报告。
J Orthop Case Rep. 2021 Aug;11(8):50-54. doi: 10.13107/jocr.2021.v11.i08.2362.
2
Robotic-arm-assisted conversion of unicompartmental knee arthroplasty to total knee arthroplasty.机器人手臂辅助下单髁膝关节置换术转换为全膝关节置换术
J Orthop. 2024 Mar 26;52:119-123. doi: 10.1016/j.jor.2024.03.024. eCollection 2024 Jun.
3
Joint line is restored in robotic-arm-assisted total knee arthroplasty performed with a tibia-based functional alignment.机器人辅助全膝关节置换术中基于胫骨的功能对线实现关节线的恢复。
Arch Orthop Trauma Surg. 2021 Dec;141(12):2175-2184. doi: 10.1007/s00402-021-04039-z. Epub 2021 Jul 13.
4
Robotic-Assisted Total Knee Arthroplasty in the Presence of Extra-Articular Deformity.存在关节外畸形情况下的机器人辅助全膝关节置换术
Surg Technol Int. 2019 May 15;34:497-502.
5
The Conversion of Unicompartmental Knee Arthroplasty to Total Knee Arthroplasty with Non-CT-Based Robotic Assistance: A Novel Surgical Technique and Case Series.基于非CT的机器人辅助下单髁膝关节置换术转换为全膝关节置换术:一种新型手术技术及病例系列
J Knee Surg. 2025 Feb;38(3):141-147. doi: 10.1055/a-2421-5496. Epub 2024 Sep 24.
6
A prospective randomized controlled trial comparing the systemic inflammatory response in conventional jig-based total knee arthroplasty versus robotic-arm assisted total knee arthroplasty.一项比较常规夹具辅助全膝关节置换术与机器人辅助全膝关节置换术患者全身炎症反应的前瞻性随机对照研究。
Bone Joint J. 2021 Jan;103-B(1):113-122. doi: 10.1302/0301-620X.103B1.BJJ-2020-0602.R2.
7
Imageless robotic-assisted revision arthroplasty from UKA to TKA : Surgical technique and case-control study compared with primary robotic TKA.无影像机器人辅助 UKA 至 TKA 翻修术:与初次机器人 TKA 的手术技术及病例对照研究。
Orthopade. 2021 Dec;50(12):1018-1025. doi: 10.1007/s00132-021-04182-w. Epub 2021 Oct 29.
8
Robotic assistance improves success of cementless component fixation in one total knee arthroplasty system.在一个全膝关节置换系统中,机器人辅助提高了非骨水泥型假体固定的成功率。
Knee. 2024 Dec;51:240-248. doi: 10.1016/j.knee.2024.09.012. Epub 2024 Oct 12.
9
Accuracy of Bone Resection in MAKO Total Knee Robotic-Assisted Surgery.MAKO 全膝关节机器人辅助手术中骨切除的准确性。
J Knee Surg. 2021 Jun;34(7):745-748. doi: 10.1055/s-0039-1700570. Epub 2019 Nov 6.
10
Robotic arm-assisted total knee arthroplasty improves preoperative planning and intraoperative decision-making.机器人辅助全膝关节置换术可改善术前规划和术中决策。
J Orthop Surg Res. 2021 Nov 15;16(1):670. doi: 10.1186/s13018-021-02815-6.

引用本文的文献

1
Mako surgical robot could improve the traditional surgical techniques of joint surgery fellows.Mako手术机器人可以改进关节外科住院医师的传统手术技术。
BMC Med Educ. 2025 Aug 19;25(1):1179. doi: 10.1186/s12909-025-07606-9.
2
The use of navigation to achieve planned coronal alignment during cemented revision total knee arthroplasty: a technical note and case series.在骨水泥型翻修全膝关节置换术中使用导航实现计划中的冠状面排列:技术说明与病例系列
Eur J Orthop Surg Traumatol. 2025 Aug 11;35(1):345. doi: 10.1007/s00590-025-04471-6.
3
Robotic-assisted hip and knee revision arthroplasty: A scoping review.

本文引用的文献

1
Management of failed UKA to TKA: conventional versus robotic-assisted conversion technique.英国单髁置换术失败后转为全膝关节置换术的管理:传统技术与机器人辅助转换技术对比
Knee Surg Relat Res. 2020 Jul 29;32(1):38. doi: 10.1186/s43019-020-00056-1.
2
Expanding Robotic Arm-Assisted Knee Surgery: The First Attempt to Use the System for Knee Revision Arthroplasty.扩展机器人手臂辅助膝关节手术:首次尝试将该系统用于膝关节翻修置换术。
Case Rep Orthop. 2020 Feb 12;2020:4806987. doi: 10.1155/2020/4806987. eCollection 2020.
3
Robotic-Arm Assisted Total Knee Arthroplasty Demonstrated Greater Accuracy and Precision to Plan Compared with Manual Techniques.
机器人辅助髋关节和膝关节翻修置换术:一项范围综述。
J Exp Orthop. 2025 May 26;12(2):e70285. doi: 10.1002/jeo2.70285. eCollection 2025 Apr.
4
Robotic assisted TKA may allow for smaller polyethylene liner sizes compared to manual TKA with simultaneous removal of Hardware.与手动全膝关节置换术同时取出硬件相比,机器人辅助全膝关节置换术可能允许使用更小尺寸的聚乙烯衬垫。
Sci Rep. 2025 Jan 21;15(1):2590. doi: 10.1038/s41598-025-87312-0.
5
Robotic-arm-assisted conversion of unicompartmental knee arthroplasty to total knee arthroplasty.机器人手臂辅助下单髁膝关节置换术转换为全膝关节置换术
J Orthop. 2024 Mar 26;52:119-123. doi: 10.1016/j.jor.2024.03.024. eCollection 2024 Jun.
6
Comparison of the efficacy and safety of MAKO robot-assisted total knee arthroplasty versus conventional manual total knee arthroplasty in uncomplicated unilateral total knee arthroplasty a single-centre retrospective analysis.Mako 机器人辅助全膝关节置换术与传统人工全膝关节置换术治疗单纯单侧全膝关节置换术的疗效和安全性比较:一项单中心回顾性分析。
Int Orthop. 2024 Sep;48(9):2351-2358. doi: 10.1007/s00264-024-06234-0. Epub 2024 Jun 14.
7
Conversion of Patellofemoral Arthroplasty to Robotic-Assisted Total Knee Arthroplasty.髌股关节置换术转换为机器人辅助全膝关节置换术。
Arthroplast Today. 2023 Sep 18;23:101215. doi: 10.1016/j.artd.2023.101215. eCollection 2023 Oct.
8
Surgical Technique: Robotic-Assisted 1.5-Stage Exchange Total Knee Arthroplasty for Periprosthetic Joint Infection.手术技术:机器人辅助1.5期翻修全膝关节置换治疗人工关节周围感染
Arthroplast Today. 2023 May 15;21:101126. doi: 10.1016/j.artd.2023.101126. eCollection 2023 Jun.
9
Response to Comment on: Revision Total Knee Arthroplasty Using Robotic Arm Technology.对《使用机器人手臂技术进行全膝关节置换翻修术》评论的回复
Arthroplast Today. 2023 Jan 31;19:101091. doi: 10.1016/j.artd.2022.101091. eCollection 2023 Feb.
10
Robotic-assisted revision total joint arthroplasty: a state-of-the-art scoping review.机器人辅助翻修全关节置换术:一项最新的范围综述
EFORT Open Rev. 2023 Jan 27;8(1):18-25. doi: 10.1530/EOR-22-0105.
与手动技术相比,机器人手臂辅助全膝关节置换术在规划方面显示出更高的准确性和精确性。
J Knee Surg. 2019 Mar;32(3):239-250. doi: 10.1055/s-0038-1641729. Epub 2018 May 1.
4
Robotic Arm-Assisted Total Knee Arthroplasty.机器人辅助全膝关节置换术。
J Arthroplasty. 2018 Jul;33(7):2002-2006. doi: 10.1016/j.arth.2018.01.060. Epub 2018 Feb 5.
5
Analysis of Total Knee Arthroplasty revision causes.全膝关节置换翻修原因分析
BMC Musculoskelet Disord. 2018 Feb 14;19(1):55. doi: 10.1186/s12891-018-1977-y.
6
Technology-Assisted Hip and Knee Arthroplasties: An Analysis of Utilization Trends.技术辅助髋关节和膝关节置换术:利用趋势分析。
J Arthroplasty. 2018 Apr;33(4):1019-1023. doi: 10.1016/j.arth.2017.11.033. Epub 2017 Nov 29.
7
Patient Satisfaction Outcomes after Robotic Arm-Assisted Total Knee Arthroplasty: A Short-Term Evaluation.机器人手臂辅助全膝关节置换术后的患者满意度结果:短期评估
J Knee Surg. 2017 Nov;30(9):849-853. doi: 10.1055/s-0037-1607450. Epub 2017 Oct 13.
8
Utilization of robotic-arm assisted total knee arthroplasty for soft tissue protection.利用机器人手臂辅助全膝关节置换术进行软组织保护。
Expert Rev Med Devices. 2017 Dec;14(12):925-927. doi: 10.1080/17434440.2017.1392237. Epub 2017 Oct 24.
9
Robotic-Arm Assisted Total Knee Arthroplasty Demonstrated Soft Tissue Protection.机器人手臂辅助全膝关节置换术显示出对软组织的保护作用。
Surg Technol Int. 2017 Jul 25;30:441-446.
10
Robotic Total Knee Arthroplasty with a Cruciate-Retaining Implant: A 10-Year Follow-up Study.采用保留交叉韧带假体的机器人全膝关节置换术:一项10年随访研究
Clin Orthop Surg. 2017 Jun;9(2):169-176. doi: 10.4055/cios.2017.9.2.169. Epub 2017 May 8.