• 文献检索
  • 文档翻译
  • 深度研究
  • 学术资讯
  • Suppr Zotero 插件Zotero 插件
  • 邀请有礼
  • 套餐&价格
  • 历史记录
应用&插件
Suppr Zotero 插件Zotero 插件浏览器插件Mac 客户端Windows 客户端微信小程序
定价
高级版会员购买积分包购买API积分包
服务
文献检索文档翻译深度研究API 文档MCP 服务
关于我们
关于 Suppr公司介绍联系我们用户协议隐私条款
关注我们

Suppr 超能文献

核心技术专利:CN118964589B侵权必究
粤ICP备2023148730 号-1Suppr @ 2026

文献检索

告别复杂PubMed语法,用中文像聊天一样搜索,搜遍4000万医学文献。AI智能推荐,让科研检索更轻松。

立即免费搜索

文件翻译

保留排版,准确专业,支持PDF/Word/PPT等文件格式,支持 12+语言互译。

免费翻译文档

深度研究

AI帮你快速写综述,25分钟生成高质量综述,智能提取关键信息,辅助科研写作。

立即免费体验

颅内感染的病因:一项病例研究。

Causes Intracranial Infection: A Case Study.

作者信息

Gao Hongguang, Li Tian, Feng Li, Zhang Shu

机构信息

Department of Emergency Medicine, West China Hospital, Sichuan University, Chengdu, China.

School of Basic Medicine, Fourth Military Medical University, Xi'an, China.

出版信息

Front Med (Lausanne). 2021 Dec 24;8:761924. doi: 10.3389/fmed.2021.761924. eCollection 2021.

DOI:10.3389/fmed.2021.761924
PMID:35004734
原文链接:https://pmc.ncbi.nlm.nih.gov/articles/PMC8739271/
Abstract

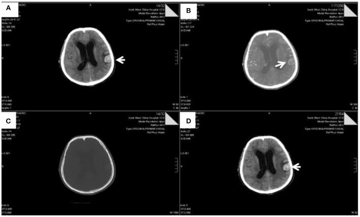
is a rarely encountered bacterium in clinical practice. It is a rare gram-negative rod-shaped bacterium associated with lung and urinary tract infections, but never found in cerebrospinal fluid. This paper reports a case of an adult patient infected by via an unknown route of infection causing a severe intracranial infection. was detected by culture and Metagenomic next generation sequencing in CSF. Early identification of this strain and treatment with sensitive antibiotics is necessary to reduce morbidity and mortality. A 24-year-old male was admitted to a West China Hospital because of headache and vomiting for 2 months. Symptom features included acute onset and long duration of illness. Notably, headache and vomiting were the primary neurological symptoms. Routine cerebrospinal fluid culture failed to identify the bacterium; however, bacterium was detected via second-generation sequencing techniques. was found to be a multi-drug resistant organism, hence, treatment with ceftriaxone, a commonly used drug for intracranial infections was ineffective. This strain eventually caused severe intracranial infection resulting in the death of the patient. In summary, this study comprehensively describes a case of an adult patient infected by and discusses its early identification as well as application of sensitive antibiotics in the emergency setting.

摘要

是临床实践中很少遇到的一种细菌。它是一种罕见的革兰氏阴性杆状细菌,与肺部和尿路感染有关,但从未在脑脊液中发现。本文报告了一例成年患者通过未知感染途径感染 导致严重颅内感染的病例。通过脑脊液培养和宏基因组下一代测序检测到了 。早期识别该菌株并用敏感抗生素进行治疗对于降低发病率和死亡率是必要的。一名24岁男性因头痛和呕吐2个月入住华西医院。症状特征包括起病急和病程长。值得注意的是,头痛和呕吐是主要的神经系统症状。常规脑脊液培养未能鉴定出该细菌;然而,通过第二代测序技术检测到了 细菌。发现 是一种多重耐药菌,因此,使用颅内感染常用药物头孢曲松治疗无效。该菌株最终导致严重颅内感染,致使患者死亡。总之,本研究全面描述了一例成年患者感染 的病例,并讨论了其早期识别以及在紧急情况下敏感抗生素的应用。

https://cdn.ncbi.nlm.nih.gov/pmc/blobs/8c66/8739271/bd59bae2621e/fmed-08-761924-g0003.jpg
https://cdn.ncbi.nlm.nih.gov/pmc/blobs/8c66/8739271/66c8e8755056/fmed-08-761924-g0001.jpg
https://cdn.ncbi.nlm.nih.gov/pmc/blobs/8c66/8739271/2796c5f4d62a/fmed-08-761924-g0002.jpg
https://cdn.ncbi.nlm.nih.gov/pmc/blobs/8c66/8739271/bd59bae2621e/fmed-08-761924-g0003.jpg
https://cdn.ncbi.nlm.nih.gov/pmc/blobs/8c66/8739271/66c8e8755056/fmed-08-761924-g0001.jpg
https://cdn.ncbi.nlm.nih.gov/pmc/blobs/8c66/8739271/2796c5f4d62a/fmed-08-761924-g0002.jpg
https://cdn.ncbi.nlm.nih.gov/pmc/blobs/8c66/8739271/bd59bae2621e/fmed-08-761924-g0003.jpg

相似文献

1
Causes Intracranial Infection: A Case Study.颅内感染的病因:一项病例研究。
Front Med (Lausanne). 2021 Dec 24;8:761924. doi: 10.3389/fmed.2021.761924. eCollection 2021.
2
: A rare non-fermenter causing urinary tract infection.一种引起尿路感染的罕见非发酵菌。
World J Clin Cases. 2017 May 16;5(5):187-190. doi: 10.12998/wjcc.v5.i5.187.
3
Acute bacterial encephalitis complicated with recurrent nasopharyngeal carcinoma associated with infection: A case report.急性细菌性脑炎合并复发性鼻咽癌伴感染:一例报告。
Front Neurol. 2023 Jan 27;13:965939. doi: 10.3389/fneur.2022.965939. eCollection 2022.
4
Elizabethkingia miricola as an opportunistic oral pathogen associated with superinfectious complications in humoral immunodeficiency: a case report.微小伊丽莎白菌作为一种与体液免疫缺陷中的重复感染并发症相关的机会性口腔病原体:一例报告
BMC Infect Dis. 2017 Dec 12;17(1):763. doi: 10.1186/s12879-017-2886-7.
5
Lung imaging characteristics in a patient infected with following cerebral hemorrhage surgery: A case report.脑出血手术后感染患者的肺部影像学特征:一例报告。
World J Clin Cases. 2024 Jan 6;12(1):169-175. doi: 10.12998/wjcc.v12.i1.169.
6
Case Report: First report of infection in a patient with cystic fibrosis.病例报告:首例囊性纤维化患者感染报告。
F1000Res. 2018 Apr 10;7:440. doi: 10.12688/f1000research.14441.2. eCollection 2018.
7
Out of this world: complicated urinary tract infection in a patient with associated pubic symphysis osteomyelitis and pyomyositis.世界罕见病例:一名伴有耻骨联合骨髓炎和脓性肌炎患者的复杂性尿路感染
IDCases. 2022 Jul 13;29:e01573. doi: 10.1016/j.idcr.2022.e01573. eCollection 2022.
8
Genome of the carbapenemase-producing clinical isolate Elizabethkingia miricola EM_CHUV and comparative genomics with Elizabethkingia meningoseptica and Elizabethkingia anophelis: evidence for intrinsic multidrug resistance trait of emerging pathogens.产碳青霉烯酶临床分离株伊丽莎白菌属 miricola EM_CHUV 的基因组与脑膜炎奈瑟菌和嗜人按蚊伊丽莎白菌的比较基因组学:新兴病原体固有多药耐药特性的证据。
Int J Antimicrob Agents. 2017 Jan;49(1):93-97. doi: 10.1016/j.ijantimicag.2016.09.031. Epub 2016 Nov 15.
9
Co-infections of Klebsiella pneumoniae and Elizabethkingia miricola in black-spotted frogs (Pelophylax nigromaculatus).黑眶蟾蜍(Pelophylax nigromaculatus)中肺炎克雷伯菌和伊丽莎白菌的共感染。
Microb Pathog. 2023 Jul;180:106150. doi: 10.1016/j.micpath.2023.106150. Epub 2023 May 16.
10
bacteraemia in a haemodialysis patient.一名血液透析患者的菌血症
Access Microbiol. 2020 Feb 3;2(2):acmi000098. doi: 10.1099/acmi.0.000098. eCollection 2020.

引用本文的文献

1
Molecular characterization, comparative genome analysis and resistance determinants of three clinical strains isolated from Michigan.从密歇根州分离出的三株临床菌株的分子特征、比较基因组分析及耐药决定因素
Front Microbiol. 2025 Jul 9;16:1582121. doi: 10.3389/fmicb.2025.1582121. eCollection 2025.
2
and in El Salvador: Report of the first three cases.以及在萨尔瓦多:前三例病例报告。
IDCases. 2025 May 25;40:e02272. doi: 10.1016/j.idcr.2025.e02272. eCollection 2025.
3
Unraveling the global landscape of Elizabethkingia antibiotic resistance: A systematic review and meta-analysis.

本文引用的文献

1
Comparative genomic analyses reveal diverse virulence factors and antimicrobial resistance mechanisms in clinical Elizabethkingia meningoseptica strains.比较基因组分析揭示了临床感染脑膜炎败血性伊丽莎白菌菌株的多种毒力因子和抗微生物药物耐药机制。
PLoS One. 2019 Oct 10;14(10):e0222648. doi: 10.1371/journal.pone.0222648. eCollection 2019.
2
Elizabethkingia miricola as an opportunistic oral pathogen associated with superinfectious complications in humoral immunodeficiency: a case report.微小伊丽莎白菌作为一种与体液免疫缺陷中的重复感染并发症相关的机会性口腔病原体:一例报告
BMC Infect Dis. 2017 Dec 12;17(1):763. doi: 10.1186/s12879-017-2886-7.
3
解析伊丽莎白菌属抗生素耐药性的全球格局:一项系统综述和荟萃分析。
PLoS One. 2025 May 30;20(5):e0323313. doi: 10.1371/journal.pone.0323313. eCollection 2025.
4
Linalool exhibit antimicrobial ability against by disrupting cellular and metabolic functions.芳樟醇通过破坏细胞和代谢功能展现出抗菌能力。 (注:原句“against by”表述有误,推测完整应为“against bacteria by”之类,这里按修正后意思翻译)
Curr Res Microb Sci. 2025 Mar 23;8:100380. doi: 10.1016/j.crmicr.2025.100380. eCollection 2025.
5
Immune Activation and Inflammatory Response Mediated by the NOD/Toll-like Receptor Signaling Pathway-The Potential Mechanism of Bullfrog () Meningitis Caused by .NOD/Toll 样受体信号通路介导的免疫激活和炎症反应——蛙(Rana catesbeiana)脑膜炎的潜在机制
Int J Mol Sci. 2023 Sep 26;24(19):14554. doi: 10.3390/ijms241914554.
6
Natural occurrences and characterization of infection in cultured bullfrogs ().养殖牛蛙中感染的自然发生和特征。()
Front Cell Infect Microbiol. 2023 Mar 14;13:1094050. doi: 10.3389/fcimb.2023.1094050. eCollection 2023.
7
Acute bacterial encephalitis complicated with recurrent nasopharyngeal carcinoma associated with infection: A case report.急性细菌性脑炎合并复发性鼻咽癌伴感染:一例报告。
Front Neurol. 2023 Jan 27;13:965939. doi: 10.3389/fneur.2022.965939. eCollection 2022.
: A rare non-fermenter causing urinary tract infection.
一种引起尿路感染的罕见非发酵菌。
World J Clin Cases. 2017 May 16;5(5):187-190. doi: 10.12998/wjcc.v5.i5.187.
4
Elizabethkingia anophelis bacteremia is associated with clinically significant infections and high mortality.嗜蚊伊氏菌血症与具有临床意义的感染及高死亡率相关。
Sci Rep. 2016 May 17;6:26045. doi: 10.1038/srep26045.
5
BlaB-15, a new BlaB metallo-β-lactamase variant found in an Elizabethkingia miricola clinical isolate.BlaB-15,一种在伊丽莎白菌临床分离株中发现的新型BlaB金属β-内酰胺酶变体。
Diagn Microbiol Infect Dis. 2016 Jun;85(2):195-7. doi: 10.1016/j.diagmicrobio.2015.11.016. Epub 2015 Nov 17.
6
[Severe sepsis and pulmonary abscess with bacteremia due to Elizabethkingia miricola].[由微小伊丽莎白菌引起的严重脓毒症、肺脓肿伴菌血症]
Med Mal Infect. 2016 Feb;46(1):49-51. doi: 10.1016/j.medmal.2015.10.011. Epub 2015 Nov 19.
7
Elizabethkingia miricola bacteriemia in a young woman with acute alcoholic pancreatitis.一名患有急性酒精性胰腺炎的年轻女性发生微小伊丽莎白菌血症。
Presse Med. 2015 Oct;44(10):1071-2. doi: 10.1016/j.lpm.2015.08.003. Epub 2015 Sep 1.
8
The diagnostic value of cerebrospinal fluids procalcitonin and lactate for the differential diagnosis of post-neurosurgical bacterial meningitis and aseptic meningitis.脑脊液降钙素原和乳酸对神经外科术后细菌性脑膜炎和无菌性脑膜炎鉴别诊断的价值
Clin Biochem. 2015 Jan;48(1-2):50-4. doi: 10.1016/j.clinbiochem.2014.10.007. Epub 2014 Oct 30.
9
First case of Elizabethkingia anophelis meningitis in the Central African Republic.中非共和国首例嗜沫埃希菌脑膜炎病例。
Lancet. 2013 May 25;381(9880):1876. doi: 10.1016/S0140-6736(13)60318-9.
10
Elizabethkingia meningosepticum (Chryseobacterium meningosepticum) Infections in Children.儿童脑膜炎败血伊丽莎白菌(脑膜金黄杆菌)感染
Int J Pediatr. 2011;2011:215237. doi: 10.1155/2011/215237. Epub 2011 Oct 20.