Suppr超能文献

向健康志愿者施用益生菌:对肠道黏膜和全身白细胞反应性的影响。

Administration of probiotics to healthy volunteers: effects on reactivity of intestinal mucosa and systemic leukocytes.

机构信息

Department of Surgery, Skåne University Hospital/Malmö, Lund University, 205 02, Malmö, Sweden.

Food Hygiene, Department of Food Technology, Engineering and Nutrition, Lund University, 221 00, Lund, Sweden.

出版信息

BMC Gastroenterol. 2022 Mar 5;22(1):100. doi: 10.1186/s12876-022-02185-1.

Abstract

BACKGROUND

Oral administration of health-promoting bacteria is increasingly used in clinical practise. These bacteria have anti-inflammatory characteristics and modulate the immune system without major reported side effects. The mechanisms of action are not yet fully defined. Our aim was to study systemic effects of probiotics by measurements of leukocytes as well as local effects on rectal mucosal biopsies after adding a standardized inflammatory stimulus in vitro.

METHODS

Fourteen healthy subjects were randomized to receive 10 colony forming units/day orally of the probiotic strain Lactiplantibacillus plantarum 299 (Lp299), n = 7, or Bifidobacterium infantis CURE21 (CURE21), n = 7, for six weeks. Rectal biopsies were taken before and after ingestion of either probiotic strain product, for stimulation in vitro with tumour necrosis factor alpha (TNF-α) at 10 and 100 ng/ml respectively up to 8 h. Blood tests were sampled before and after treatment. Lactate dehydrogenase (LDH) confirmed viable tissue.

RESULTS

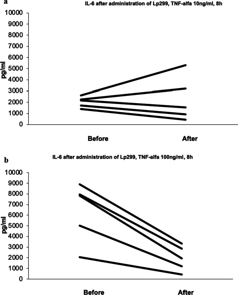
Composition of the intestinal microbiota was not changed. Systemic leukocytes decreased after administration of CURE21 (P<0.05) and Lp299 (P<0.01). Levels of the pro-inflammatory cytokine IL-6 in rectal mucosa after stimulation with TNF-α were attenuated after ingestion of Lp299. No effect was seen with CURE21.

CONCLUSIONS

Administration of these probiotic strains to healthy humans show both a systemic and local reduction of inflammatory response by lowering leukocyte counts, and for Lp299 IL-6 levels in rectal mucosa. Probiotics may play an important role in the reduction of inflammatory responses expected after trauma during surgery or after pelvic irradiation. Trial registration Clinical Trials, registration number NCT01534572, retrospectively registered ( http://www.clinicaltrials.gov ).

摘要

背景

促进健康的细菌口服给药越来越多地用于临床实践。这些细菌具有抗炎特性,并调节免疫系统,而没有报告重大的副作用。作用机制尚未完全定义。我们的目的是通过测量白细胞来研究益生菌的全身作用,以及在体外添加标准化炎症刺激物后对直肠粘膜活检的局部作用。

方法

14 名健康受试者随机分为两组,每天口服 10 菌落形成单位的益生菌菌株植物乳杆菌 299(Lp299),n = 7,或双歧杆菌婴儿 CURE21(CURE21),n = 7,连续 6 周。在摄入两种益生菌菌株产品之前和之后,分别在 10 和 100ng/ml 肿瘤坏死因子-α(TNF-α)下进行直肠活检,体外刺激长达 8 小时。在治疗前后取样血液测试。乳酸脱氢酶(LDH)证实组织存活。

结果

肠道微生物组的组成没有改变。在给予 CURE21(P<0.05)和 Lp299(P<0.01)后,系统白细胞减少。在 TNF-α刺激后,直肠黏膜中促炎细胞因子 IL-6 的水平在摄入 Lp299 后降低。CURE21 没有效果。

结论

向健康人施用这些益生菌菌株可通过降低白细胞计数来减轻全身和局部炎症反应,并且对于 Lp299,直肠粘膜中的 IL-6 水平降低。益生菌在减少手术期间创伤或骨盆照射后预期的炎症反应中可能发挥重要作用。试验注册 临床试验,注册号 NCT01534572,回顾性注册(http://www.clinicaltrials.gov)。

https://cdn.ncbi.nlm.nih.gov/pmc/blobs/d0c7/8898528/43a1bcca9a17/12876_2022_2185_Fig1_HTML.jpg

文献检索

告别复杂PubMed语法,用中文像聊天一样搜索,搜遍4000万医学文献。AI智能推荐,让科研检索更轻松。

立即免费搜索

文件翻译

保留排版,准确专业,支持PDF/Word/PPT等文件格式,支持 12+语言互译。

免费翻译文档

深度研究

AI帮你快速写综述,25分钟生成高质量综述,智能提取关键信息,辅助科研写作。

立即免费体验