• 文献检索
  • 文档翻译
  • 深度研究
  • 学术资讯
  • Suppr Zotero 插件Zotero 插件
  • 邀请有礼
  • 套餐&价格
  • 历史记录
应用&插件
Suppr Zotero 插件Zotero 插件浏览器插件Mac 客户端Windows 客户端微信小程序
定价
高级版会员购买积分包购买API积分包
服务
文献检索文档翻译深度研究API 文档MCP 服务
关于我们
关于 Suppr公司介绍联系我们用户协议隐私条款
关注我们

Suppr 超能文献

核心技术专利:CN118964589B侵权必究
粤ICP备2023148730 号-1Suppr @ 2026

文献检索

告别复杂PubMed语法,用中文像聊天一样搜索,搜遍4000万医学文献。AI智能推荐,让科研检索更轻松。

立即免费搜索

文件翻译

保留排版,准确专业,支持PDF/Word/PPT等文件格式,支持 12+语言互译。

免费翻译文档

深度研究

AI帮你快速写综述,25分钟生成高质量综述,智能提取关键信息,辅助科研写作。

立即免费体验

肠道微生物群有助于改善用提取物治疗的小鼠的酒精性肝炎。

Intestinal Microbiota Contributes to the Improvement of Alcoholic Hepatitis in Mice Treated With Extract.

作者信息

Xiang Jun-Yan, Chi Yan-Yu, Han Jin-Xin, Shi Xinyu, Cai Yong, Xiang Hongyu, Xie Qiuhong

机构信息

Key Laboratory for Molecular Enzymology and Engineering of Ministry of Education, School of Life Sciences, Jilin University, Changchun, China.

School of Life Sciences, Jilin University, Changchun, China.

出版信息

Front Nutr. 2022 Feb 18;9:822429. doi: 10.3389/fnut.2022.822429. eCollection 2022.

DOI:10.3389/fnut.2022.822429
PMID:35252302
原文链接:https://pmc.ncbi.nlm.nih.gov/articles/PMC8894320/
Abstract

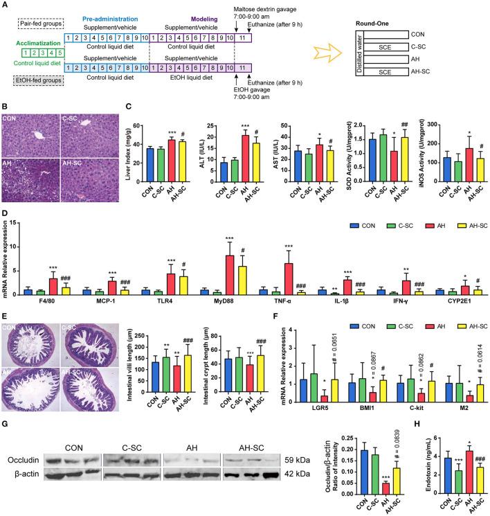
Alcoholic hepatitis (AH) has a high short-term mortality rate. has the potential to ameliorate liver damage and be a source of prebiotics. We aimed to investigate whether extract (SCE) can improve AH and the role of the small intestinal and cecal microbiota and their metabolites. UHPLC-QE-MS was used to analyze the chemical components of SCE. The chronic-plus-binge ethanol feeding model was used to induce AH in mice. H NMR was used to analyze intestinal metabolites. 16S rRNA-based high throughput sequencing was used to evaluate the effects of SCE on intestinal microbiota (IM). Intestinal microbiota transplantation was used to explore the role of IM in SCE treatment of AH. SCE ameliorated AH non-dose-dependently. SCE effectively improved liver inflammation and oxidative/nitrosative stress, strengthened intestinal barrier function, and regulated the composition of IM and the content of short-chain fatty acids (SCFAs) in AH mice. Samples from and SCE-altered IM improved liver status and regulated the IM. The administration of and ameliorated AH to some extent. The administration of and had partial beneficial effects on AH. Collectively, IM and metabolites were closely associated with the improvement of SCE on AH. The possible microbe targets were the growth inhibition of and the expansion of SCFA producers, such as and . can be considered as a safe and effective dietary supplement for the prevention and improvement of AH.

摘要

酒精性肝炎(AH)具有较高的短期死亡率。具有改善肝损伤的潜力且是益生元的一个来源。我们旨在研究五味子提取物(SCE)是否能改善AH以及小肠和盲肠微生物群及其代谢产物的作用。采用超高效液相色谱-四极杆飞行时间质谱联用仪(UHPLC-QE-MS)分析SCE的化学成分。采用慢性加暴饮乙醇喂养模型诱导小鼠发生AH。利用核磁共振氢谱(1H NMR)分析肠道代谢产物。基于16S rRNA的高通量测序用于评估SCE对肠道微生物群(IM)的影响。采用肠道微生物群移植来探究IM在SCE治疗AH中的作用。SCE对AH的改善不具有剂量依赖性。SCE有效改善了肝脏炎症和氧化/亚硝化应激,增强了肠道屏障功能,并调节了AH小鼠的IM组成和短链脂肪酸(SCFA)含量。来自……和SCE改变的IM的样本改善了肝脏状态并调节了IM。……和……的给药在一定程度上改善了AH。……和……的给药对AH有部分有益作用。总体而言,IM及其代谢产物与SCE对AH的改善密切相关。可能的微生物靶点是抑制……的生长以及扩大SCFA产生菌,如……和……。SCE可被视为预防和改善AH的一种安全有效的膳食补充剂。

https://cdn.ncbi.nlm.nih.gov/pmc/blobs/ef08/8894320/b29bbc969f39/fnut-09-822429-g0007.jpg
https://cdn.ncbi.nlm.nih.gov/pmc/blobs/ef08/8894320/64066d8c930a/fnut-09-822429-g0001.jpg
https://cdn.ncbi.nlm.nih.gov/pmc/blobs/ef08/8894320/6ea2184c2bda/fnut-09-822429-g0002.jpg
https://cdn.ncbi.nlm.nih.gov/pmc/blobs/ef08/8894320/dfc7201fcb29/fnut-09-822429-g0003.jpg
https://cdn.ncbi.nlm.nih.gov/pmc/blobs/ef08/8894320/90ef8732bef4/fnut-09-822429-g0004.jpg
https://cdn.ncbi.nlm.nih.gov/pmc/blobs/ef08/8894320/d6fb77b729c0/fnut-09-822429-g0005.jpg
https://cdn.ncbi.nlm.nih.gov/pmc/blobs/ef08/8894320/5a3d05ccefb0/fnut-09-822429-g0006.jpg
https://cdn.ncbi.nlm.nih.gov/pmc/blobs/ef08/8894320/b29bbc969f39/fnut-09-822429-g0007.jpg
https://cdn.ncbi.nlm.nih.gov/pmc/blobs/ef08/8894320/64066d8c930a/fnut-09-822429-g0001.jpg
https://cdn.ncbi.nlm.nih.gov/pmc/blobs/ef08/8894320/6ea2184c2bda/fnut-09-822429-g0002.jpg
https://cdn.ncbi.nlm.nih.gov/pmc/blobs/ef08/8894320/dfc7201fcb29/fnut-09-822429-g0003.jpg
https://cdn.ncbi.nlm.nih.gov/pmc/blobs/ef08/8894320/90ef8732bef4/fnut-09-822429-g0004.jpg
https://cdn.ncbi.nlm.nih.gov/pmc/blobs/ef08/8894320/d6fb77b729c0/fnut-09-822429-g0005.jpg
https://cdn.ncbi.nlm.nih.gov/pmc/blobs/ef08/8894320/5a3d05ccefb0/fnut-09-822429-g0006.jpg
https://cdn.ncbi.nlm.nih.gov/pmc/blobs/ef08/8894320/b29bbc969f39/fnut-09-822429-g0007.jpg

相似文献

1
Intestinal Microbiota Contributes to the Improvement of Alcoholic Hepatitis in Mice Treated With Extract.肠道微生物群有助于改善用提取物治疗的小鼠的酒精性肝炎。
Front Nutr. 2022 Feb 18;9:822429. doi: 10.3389/fnut.2022.822429. eCollection 2022.
2
Schisandra chinensis extract decreases chloroacetaldehyde production in rats and attenuates cyclophosphamide toxicity in liver, kidney and brain.五味子提取物可降低大鼠体内氯乙醛的生成,并减轻环磷酰胺对肝脏、肾脏和大脑的毒性。
J Ethnopharmacol. 2018 Jan 10;210:223-231. doi: 10.1016/j.jep.2017.08.020. Epub 2017 Aug 15.
3
New strain of alleviates ethanol-induced liver injury by modulating the gut microbiota and short-chain fatty acid metabolism.新型菌株通过调节肠道微生物群和短链脂肪酸代谢来缓解乙醇引起的肝损伤。
World J Gastroenterol. 2020 Oct 28;26(40):6224-6240. doi: 10.3748/wjg.v26.i40.6224.
4
Protective effects of extracts of Schisandra chinensis stems against acetaminophen-induced hepatotoxicity via regulation of MAPK and caspase-3 signaling pathways.五味子茎提取物通过调节 MAPK 和 caspase-3 信号通路对乙酰氨基酚诱导的肝毒性的保护作用。
Chin J Nat Med. 2018 Sep;16(9):700-713. doi: 10.1016/S1875-5364(18)30110-9.
5
Extract of Schisandra chinensis fruit protects against metabolic dysfunction in high-fat diet induced obese mice via FXR activation.五味子提取物通过激活法尼醇 X 受体保护高脂饮食诱导肥胖小鼠的代谢功能障碍。
Phytother Res. 2020 Nov;34(11):3063-3077. doi: 10.1002/ptr.6743. Epub 2020 Jun 25.
6
The Anti-colitis Effect of Polysaccharide Is Associated With the Regulation of the Composition and Metabolism of Gut Microbiota.多糖的抗结肠炎作用与调节肠道微生物群落组成和代谢有关。
Front Cell Infect Microbiol. 2020 Oct 21;10:519479. doi: 10.3389/fcimb.2020.519479. eCollection 2020.
7
Raw and wine processed Schisandra chinensis attenuate anxiety like behavior via modulating gut microbiota and lipid metabolism pathway.生品及酒蒸品北五味子通过调节肠道微生物群和脂质代谢途径减轻焦虑样行为。
J Ethnopharmacol. 2021 Feb 10;266:113426. doi: 10.1016/j.jep.2020.113426. Epub 2020 Sep 29.
8
Schisandra chinensis berry extract protects against steatosis by inhibiting histone acetylation in oleic acid-treated HepG2 cells and in the livers of diet-induced obese mice.五味子浆果提取物通过抑制油酸处理的 HepG2 细胞和饮食诱导肥胖小鼠肝脏中的组蛋白乙酰化来防止脂肪变性。
Nutr Res. 2017 Oct;46:1-10. doi: 10.1016/j.nutres.2017.07.002. Epub 2017 Jul 19.
9
Schisandra chinensis ameliorates depressive-like behaviors by regulating microbiota-gut-brain axis via its anti-inflammation activity.北五味子通过其抗炎活性调节肠道菌群-肠-脑轴来改善抑郁样行为。
Phytother Res. 2021 Jan;35(1):289-296. doi: 10.1002/ptr.6799. Epub 2020 Aug 5.
10
Effects of Schisandra chinensis extract on the contractility of corpus cavernosal smooth muscle (CSM) and Ca2+ homeostasis in CSM cells.五味子提取物对海绵体平滑肌(CSM)收缩性和 CSM 细胞内钙离子稳态的影响。
BJU Int. 2012 May;109(9):1404-13. doi: 10.1111/j.1464-410X.2011.10567.x. Epub 2011 Sep 27.

引用本文的文献

1
Lignans-rich extract of prevent alcohol-associated liver disease by regulating the gut microbiota and tryptophan metabolism.富含木脂素的提取物通过调节肠道微生物群和色氨酸代谢来预防酒精相关性肝病。
Curr Res Food Sci. 2025 Aug 19;11:101172. doi: 10.1016/j.crfs.2025.101172. eCollection 2025.
2
Comparative analysis of lipid and flavonoid biosynthesis between Pongamia and soybean seeds: genomic, transcriptional, and metabolic perspectives.水黄皮与大豆种子脂质和类黄酮生物合成的比较分析:基因组、转录组和代谢组视角
Biotechnol Biofuels Bioprod. 2024 Jun 24;17(1):86. doi: 10.1186/s13068-024-02538-w.
3
The Impact of Probiotic on Liver Diseases and the Microbiota.

本文引用的文献

1
Emerging Therapies for Alcoholic Hepatitis.酒精性肝炎的新兴疗法
Clin Liver Dis. 2021 Aug;25(3):603-624. doi: 10.1016/j.cld.2021.03.006. Epub 2021 May 28.
2
Antioxidant Effects of Fruits and Their Active Constituents.水果及其活性成分的抗氧化作用。
Antioxidants (Basel). 2021 Apr 18;10(4):620. doi: 10.3390/antiox10040620.
3
Non-Digestible Oligosaccharides and Short Chain Fatty Acids as Therapeutic Targets against Enterotoxin-Producing Bacteria and Their Toxins.不可消化寡糖和短链脂肪酸作为针对产肠毒素细菌及其毒素的治疗靶点
益生菌对肝脏疾病和微生物群的影响。
Life (Basel). 2024 Feb 8;14(2):239. doi: 10.3390/life14020239.
4
Intestinal Microbiotas and Alcoholic Hepatitis: Pathogenesis and Therapeutic Value.肠道微生物群与酒精性肝炎:发病机制和治疗价值。
Int J Mol Sci. 2023 Sep 30;24(19):14809. doi: 10.3390/ijms241914809.
5
regulated by Huang-Qi-Ling-Hua-San is a key factor by which to improve type 2 diabetes.黄芪灵花散调控是改善2型糖尿病的关键因素。
Front Microbiol. 2022 Oct 12;13:1022403. doi: 10.3389/fmicb.2022.1022403. eCollection 2022.
Toxins (Basel). 2021 Feb 25;13(3):175. doi: 10.3390/toxins13030175.
4
Klebsiella oxytoca and Emerging Nosocomial Infections.产酸克雷伯菌与新发医院感染
Curr Microbiol. 2021 Apr;78(4):1115-1123. doi: 10.1007/s00284-021-02402-2. Epub 2021 Mar 3.
5
No Effect in Alcoholic Hepatitis of Gut-Selective, Broad-Spectrum Antibiotics on Bacterial Translocation or Hepatic and Systemic Inflammation.肠道选择性、广谱抗生素对酒精性肝炎患者细菌易位及肝和全身炎症无影响。
Clin Transl Gastroenterol. 2021 Jan 27;12(2):e00306. doi: 10.14309/ctg.0000000000000306.
6
The Use of Rifaximin in Patients With Cirrhosis.利福昔明在肝硬化患者中的应用。
Hepatology. 2021 Sep;74(3):1660-1673. doi: 10.1002/hep.31708. Epub 2021 Jun 7.
7
The Anti-colitis Effect of Polysaccharide Is Associated With the Regulation of the Composition and Metabolism of Gut Microbiota.多糖的抗结肠炎作用与调节肠道微生物群落组成和代谢有关。
Front Cell Infect Microbiol. 2020 Oct 21;10:519479. doi: 10.3389/fcimb.2020.519479. eCollection 2020.
8
Comparison of bioaccessibility and relative bioavailability of arsenic in rice bran: The in vitro with PBET/SHIME and in vivo with mice model.米糠中砷的生物可给性和相对生物利用度的比较:PBET/SHIME 体外法和小鼠模型体内法。
Chemosphere. 2020 Nov;259:127443. doi: 10.1016/j.chemosphere.2020.127443. Epub 2020 Jun 20.
9
Amoxicillin Increased Functional Pathway Genes and Beta-Lactam Resistance Genes by Pathogens Bloomed in Intestinal Microbiota Using a Simulator of the Human Intestinal Microbial Ecosystem.使用人类肠道微生物生态系统模拟器,阿莫西林增加了肠道微生物群中大量繁殖的病原体的功能通路基因和β-内酰胺抗性基因。
Front Microbiol. 2020 Jun 4;11:1213. doi: 10.3389/fmicb.2020.01213. eCollection 2020.
10
Fecal microbiota transplantation in alcohol related liver diseases.粪便微生物群移植治疗酒精性肝病
Clin Mol Hepatol. 2020 Jul;26(3):294-301. doi: 10.3350/cmh.2020.0057. Epub 2020 Jun 23.