Suppr超能文献

用于新诊断和复发性胶质瘤的先进成像技术

Advanced Imaging Techniques for Newly Diagnosed and Recurrent Gliomas.

作者信息

Carrete Luis R, Young Jacob S, Cha Soonmee

机构信息

University of California San Francisco School of Medicine, San Francisco, CA, United States.

Department of Neurological Surgery, University of California, San Francisco, San Francisco, CA, United States.

出版信息

Front Neurosci. 2022 Feb 23;16:787755. doi: 10.3389/fnins.2022.787755. eCollection 2022.

Abstract

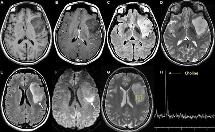
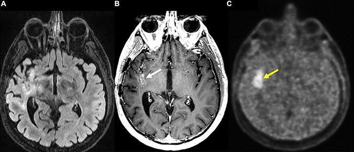
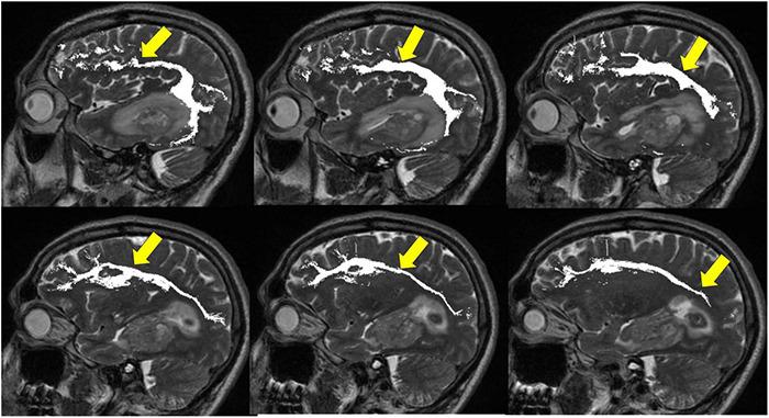
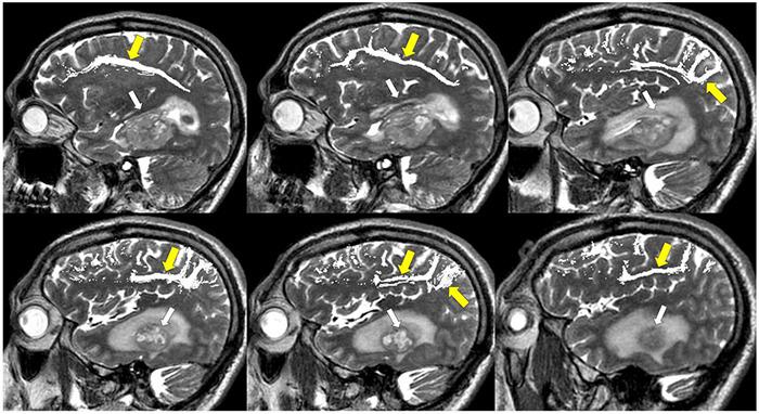
Management of gliomas following initial diagnosis requires thoughtful presurgical planning followed by regular imaging to monitor treatment response and survey for new tumor growth. Traditional MR imaging modalities such as T1 post-contrast and T2-weighted sequences have long been a staple of tumor diagnosis, surgical planning, and post-treatment surveillance. While these sequences remain integral in the management of gliomas, advances in imaging techniques have allowed for a more detailed characterization of tumor characteristics. Advanced MR sequences such as perfusion, diffusion, and susceptibility weighted imaging, as well as PET scans have emerged as valuable tools to inform clinical decision making and provide a non-invasive way to help distinguish between tumor recurrence and pseudoprogression. Furthermore, these advances in imaging have extended to the operating room and assist in making surgical resections safer. Nevertheless, surgery, chemotherapy, and radiation treatment continue to make the interpretation of MR changes difficult for glioma patients. As analytics and machine learning techniques improve, radiomics offers the potential to be more quantitative and personalized in the interpretation of imaging data for gliomas. In this review, we describe the role of these newer imaging modalities during the different stages of management for patients with gliomas, focusing on the pre-operative, post-operative, and surveillance periods. Finally, we discuss radiomics as a means of promoting personalized patient care in the future.

摘要

胶质瘤初诊后的管理需要进行周全的术前规划,随后定期进行影像学检查,以监测治疗反应并探查新的肿瘤生长情况。传统的磁共振成像(MR)模式,如T1增强序列和T2加权序列,长期以来一直是肿瘤诊断、手术规划及治疗后监测的主要手段。虽然这些序列在胶质瘤的管理中仍不可或缺,但成像技术的进步使得对肿瘤特征的刻画更加详细。诸如灌注成像、扩散加权成像、磁敏感加权成像等先进的MR序列,以及正电子发射断层显像(PET)扫描,已成为指导临床决策的重要工具,并提供了一种非侵入性方法,有助于区分肿瘤复发和假性进展。此外,这些成像技术的进步已延伸至手术室,有助于使手术切除更安全。尽管如此,手术、化疗和放疗仍使胶质瘤患者的MR图像变化解读变得困难。随着分析和机器学习技术的进步,放射组学在解读胶质瘤成像数据方面具有实现更具定量性和个性化的潜力。在本综述中,我们描述了这些更新的成像模式在胶质瘤患者不同管理阶段的作用,重点关注术前、术后及监测期。最后,我们讨论放射组学作为未来促进个性化患者护理的一种手段。

https://cdn.ncbi.nlm.nih.gov/pmc/blobs/bc64/8904563/034a2a58af4e/fnins-16-787755-g001.jpg

文献AI研究员

20分钟写一篇综述,助力文献阅读效率提升50倍。

立即体验

用中文搜PubMed

大模型驱动的PubMed中文搜索引擎

马上搜索

文档翻译

学术文献翻译模型,支持多种主流文档格式。

立即体验