Suppr超能文献

ACR人工智能实验室对外部新冠病毒深度学习模型的验证:这是一个全新的世界。

External COVID-19 Deep Learning Model Validation on ACR AI-LAB: It's a Brave New World.

作者信息

Ardestani Ali, Li Matthew D, Chea Pauley, Wortman Jeremy R, Medina Adam, Kalpathy-Cramer Jayashree, Wald Christoph

机构信息

Department of Radiology, Lahey Hospital and Medical Center, Tufts Medical School, Burlington, Massachusetts.

Athinoula A. Martinos Center for Biomedical Imaging, Department of Radiology, Massachusetts General Hospital, Harvard Medical School, Boston, Massachusetts.

出版信息

J Am Coll Radiol. 2022 Jul;19(7):891-900. doi: 10.1016/j.jacr.2022.03.013. Epub 2022 Apr 8.

Abstract

PURPOSE

Deploying external artificial intelligence (AI) models locally can be logistically challenging. We aimed to use the ACR AI-LAB software platform for local testing of a chest radiograph (CXR) algorithm for COVID-19 lung disease severity assessment.

METHODS

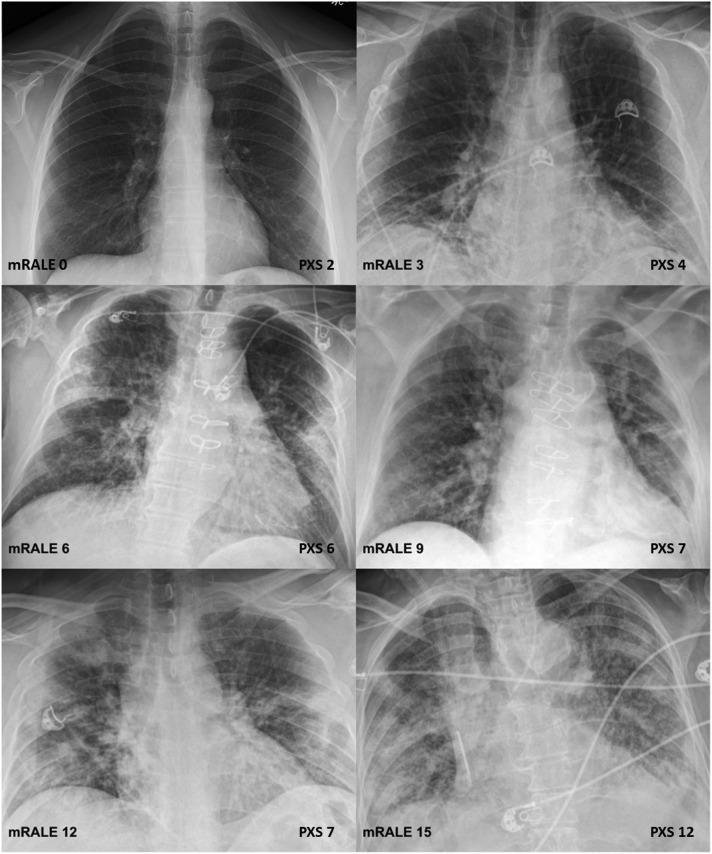
An externally developed deep learning model for COVID-19 radiographic lung disease severity assessment was loaded into the AI-LAB platform at an independent academic medical center, which was separate from the institution in which the model was trained. The data set consisted of CXR images from 141 patients with reverse transcription-polymerase chain reaction-confirmed COVID-19, which were routed to AI-LAB for model inference. The model calculated a Pulmonary X-ray Severity (PXS) score for each image. This score was correlated with the average of a radiologist-based assessment of severity, the modified Radiographic Assessment of Lung Edema score, independently interpreted by three radiologists. The associations between the PXS score and patient admission and intubation or death were assessed.

RESULTS

The PXS score deployed in AI-LAB correlated with the radiologist-determined modified Radiographic Assessment of Lung Edema score (r = 0.80). PXS score was significantly higher in patients who were admitted (4.0 versus 1.3, P < .001) or intubated or died within 3 days (5.5 versus 3.3, P = .001).

CONCLUSIONS

AI-LAB was successfully used to test an external COVID-19 CXR AI algorithm on local data with relative ease, showing generalizability of the PXS score model. For AI models to scale and be clinically useful, software tools that facilitate the local testing process, like the freely available AI-LAB, will be important to cross the AI implementation gap in health care systems.

摘要

目的

在本地部署外部人工智能(AI)模型在后勤方面可能具有挑战性。我们旨在使用美国放射学会(ACR)人工智能实验室软件平台对用于评估新冠肺炎肺部疾病严重程度的胸部X光(CXR)算法进行本地测试。

方法

将一个外部开发的用于评估新冠肺炎影像学肺部疾病严重程度的深度学习模型加载到一个独立的学术医疗中心的人工智能实验室平台上,该中心与训练该模型的机构不同。数据集由141例经逆转录聚合酶链反应确诊的新冠肺炎患者的胸部X光图像组成,这些图像被传送到人工智能实验室进行模型推理。该模型为每张图像计算一个肺部X光严重程度(PXS)评分。该评分与由三位放射科医生独立解读的基于放射科医生的严重程度评估(改良的肺水肿影像学评估评分)的平均值相关。评估了PXS评分与患者入院、插管或死亡之间的关联。

结果

在人工智能实验室中部署的PXS评分与放射科医生确定的改良肺水肿影像学评估评分相关(r = 0.80)。入院患者(4.0对1.3,P < .001)或在3天内插管或死亡的患者(5.5对3.3,P = .001)的PXS评分显著更高。

结论

人工智能实验室被成功用于相对轻松地在本地数据上测试外部新冠肺炎胸部X光人工智能算法,显示了PXS评分模型的通用性。对于人工智能模型的扩展和临床应用,像免费提供的人工智能实验室这样有助于本地测试过程的软件工具对于跨越医疗保健系统中的人工智能实施差距将非常重要。

https://cdn.ncbi.nlm.nih.gov/pmc/blobs/ff8d/8989698/52ed370cf7dd/fx1_lrg.jpg

文献检索

告别复杂PubMed语法,用中文像聊天一样搜索,搜遍4000万医学文献。AI智能推荐,让科研检索更轻松。

立即免费搜索

文件翻译

保留排版,准确专业,支持PDF/Word/PPT等文件格式,支持 12+语言互译。

免费翻译文档

深度研究

AI帮你快速写综述,25分钟生成高质量综述,智能提取关键信息,辅助科研写作。

立即免费体验