Suppr超能文献

[植物名称]标准化提取物的肾保护潜力:[具体研究内容]及研究

Nephroprotective Potential of a Standardized Extract of : and Studies.

作者信息

Iqbal Saba Muzher, Hussain Liaqat, Hussain Musaddique, Akram Haseeb, Asif Muhammad, Jamshed Ayesha, Saleem Ammara, Siddique Rida

机构信息

Department of Pharmacology, Faculty of Pharmaceutical Sciences, Government College University Faisalabad, Faisalabad, Punjab 38000, Pakistan.

Department of Pharmacology, Faculty of Pharmacy, Islamia University of Bahawalpur, Bahawalpur, Punjab 63100, Pakistan.

出版信息

ACS Omega. 2022 May 19;7(21):18159-18167. doi: 10.1021/acsomega.2c02047. eCollection 2022 May 31.

Abstract

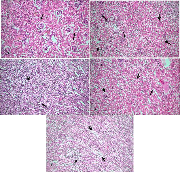
(RETZ.) Willd. is distributed in tropical regions of Pakistan, India, and China. It has been used for a long time as a folk remedy for cirrhosis, urinary tract ailments, and various other abdominal cavity disorders. It has antioxidant, free-radical-scavenging, and anti-inflammatory effects. The aims and objectives of this study were to validate the folkloric uses of and to evaluate its nephroprotective potential on scientific grounds. Gentamycin (G.M, 40 mg/kg) was used to induce nephrotoxicity in the animal model. Two doses of the methanolic extract of (MEBA; 300 and 500 mg/kg) were utilized in addition to silymarin (200 mg/kg/d). Treatments were administered once daily for 14 days. After 14 days, the blood was collected and the kidneys were removed. The antioxidant potential of the standardized MEBA was evaluated using the total phenolic content, the total flavonoid content, and the DPPH scavenging activity. The plant extract was rich with flavonoid content. The DPPH scavenging activity was 65% as compared to butylated hydroxy toluene (96%), with IC values 31.65 and 7.80 μg/mL, respectively. The phytochemical analysis was performed using HPLC, and MEBA was found to contain various phytoconstituents such as quercetin, caffeic acid, vanillic acid, gallic acid, chlorogenic acid, and cinnamic acid. Antioxidant enzymes such as superoxide dismutase and catalase were assayed, and MEBA exhibited significantly improved CAT and SOD levels. The levels of renal function markers such as serum creatinine, serum urea, blood urea nitrogen, serum urea, and serum uric acid levels also evaluated, and a significant retrieval was found in a dose-dependent fashion. Good improvement was also made in various hematological parameters. Statistical analysis was done using analysis of variance to determine the significance of differences among the data. In conclusion, the standardized methanolic extract of was able to alleviate gentamicin-induced nephrotoxicity by enhancing the antioxidant defensive mechanisms of renal tubular cells.

摘要

(RETZ.)Willd.分布于巴基斯坦、印度和中国的热带地区。长期以来,它一直被用作治疗肝硬化、泌尿系统疾病和各种其他腹腔疾病的民间药物。它具有抗氧化、清除自由基和抗炎作用。本研究的目的是验证其民间用途,并从科学角度评估其肾保护潜力。庆大霉素(G.M,40mg/kg)用于在动物模型中诱导肾毒性。除水飞蓟宾(200mg/kg/d)外,还使用了两剂(MEBA;300和500mg/kg)的甲醇提取物。每天给药一次,持续14天。14天后,采集血液并摘除肾脏。使用总酚含量、总黄酮含量和DPPH清除活性评估标准化MEBA的抗氧化潜力。植物提取物富含黄酮类化合物。与丁基羟基甲苯(96%)相比,DPPH清除活性为65%,IC值分别为31.65和7.80μg/mL。使用HPLC进行植物化学分析,发现MEBA含有多种植物成分,如槲皮素、咖啡酸、香草酸、没食子酸、绿原酸和肉桂酸。测定了超氧化物歧化酶和过氧化氢酶等抗氧化酶,MEBA表现出显著提高的CAT和SOD水平。还评估了血清肌酐、血清尿素、血尿素氮、血清尿素和血清尿酸水平等肾功能标志物的水平,并发现呈剂量依赖性的显著恢复。各种血液学参数也有良好改善。使用方差分析进行统计分析,以确定数据之间差异的显著性。总之,标准化的甲醇提取物能够通过增强肾小管细胞的抗氧化防御机制来减轻庆大霉素诱导的肾毒性。

https://cdn.ncbi.nlm.nih.gov/pmc/blobs/637f/9161425/8e18ca7b8a61/ao2c02047_0001.jpg

文献检索

告别复杂PubMed语法,用中文像聊天一样搜索,搜遍4000万医学文献。AI智能推荐,让科研检索更轻松。

立即免费搜索

文件翻译

保留排版,准确专业,支持PDF/Word/PPT等文件格式,支持 12+语言互译。

免费翻译文档

深度研究

AI帮你快速写综述,25分钟生成高质量综述,智能提取关键信息,辅助科研写作。

立即免费体验