• 文献检索
  • 文档翻译
  • 深度研究
  • 学术资讯
  • Suppr Zotero 插件Zotero 插件
  • 邀请有礼
  • 套餐&价格
  • 历史记录
应用&插件
Suppr Zotero 插件Zotero 插件浏览器插件Mac 客户端Windows 客户端微信小程序
定价
高级版会员购买积分包购买API积分包
服务
文献检索文档翻译深度研究API 文档MCP 服务
关于我们
关于 Suppr公司介绍联系我们用户协议隐私条款
关注我们

Suppr 超能文献

核心技术专利:CN118964589B侵权必究
粤ICP备2023148730 号-1Suppr @ 2026

文献检索

告别复杂PubMed语法,用中文像聊天一样搜索,搜遍4000万医学文献。AI智能推荐,让科研检索更轻松。

立即免费搜索

文件翻译

保留排版,准确专业,支持PDF/Word/PPT等文件格式,支持 12+语言互译。

免费翻译文档

深度研究

AI帮你快速写综述,25分钟生成高质量综述,智能提取关键信息,辅助科研写作。

立即免费体验

藻酸盐与纳米羟基磷灰石-胶原通过锶的相互作用提供了合适的成骨平台。

Interaction of alginate with nano-hydroxyapatite-collagen using strontium provides suitable osteogenic platform.

机构信息

Chemical Engineering Faculty, Sahand University of Technology, Tabriz, 51335-1996, Iran.

Stem Cell and Tissue Engineering Research Laboratory, Sahand University of Technology, Tabriz, 51335-1996, Iran.

出版信息

J Nanobiotechnology. 2022 Jun 28;20(1):310. doi: 10.1186/s12951-022-01511-9.

DOI:10.1186/s12951-022-01511-9
PMID:35765003
原文链接:https://pmc.ncbi.nlm.nih.gov/articles/PMC9238039/
Abstract

BACKGROUND

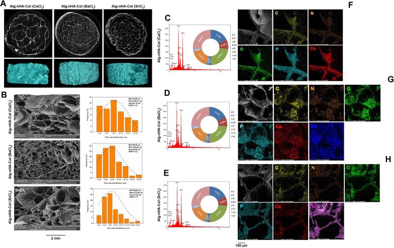
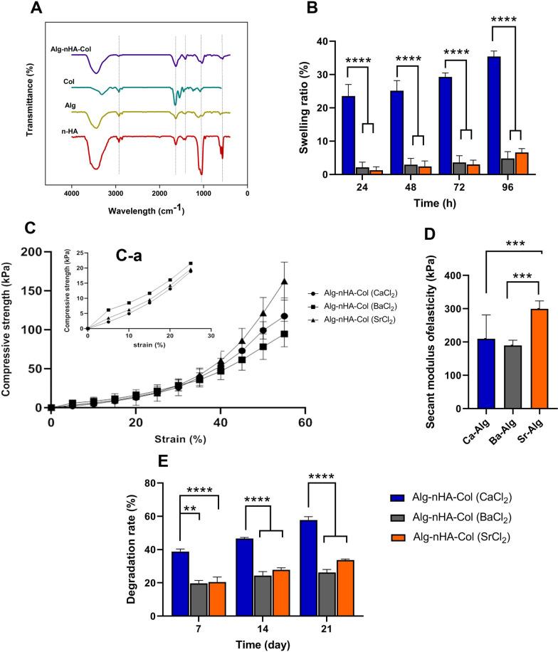
Hydrogels based on organic/inorganic composites have been at the center of attention for the fabrication of engineered bone constructs. The establishment of a straightforward 3D microenvironment is critical to maintaining cell-to-cell interaction and cellular function, leading to appropriate regeneration. Ionic cross-linkers, Ca, Ba, and Sr, were used for the fabrication of Alginate-Nanohydroxyapatite-Collagen (Alg-nHA-Col) microspheres, and osteogenic properties of human osteoblasts were examined in in vitro and in vivo conditions after 21 days.

RESULTS

Physicochemical properties of hydrogels illustrated that microspheres cross-linked with Sr had reduced swelling, enhanced stability, and mechanical strength, as compared to the other groups. Human MG-63 osteoblasts inside Sr cross-linked microspheres exhibited enhanced viability and osteogenic capacity indicated by mineralization and the increase of relevant proteins related to bone formation. PCR (Polymerase Chain Reaction) array analysis of the Wnt (Wingless-related integration site) signaling pathway revealed that Sr cross-linked microspheres appropriately induced various signaling transduction pathways in human osteoblasts leading to osteogenic activity and dynamic growth. Transplantation of Sr cross-linked microspheres with rat osteoblasts into cranium with critical size defect in the rat model accelerated bone formation analyzed with micro-CT and histological examination.

CONCLUSION

Sr cross-linked Alg-nHA-Col hydrogel can promote functionality and dynamic growth of osteoblasts.

摘要

背景

基于有机/无机复合材料的水凝胶一直是工程化骨构建体制造的研究重点。建立一个简单的 3D 微环境对于维持细胞间相互作用和细胞功能至关重要,从而促进适当的再生。本研究使用离子交联剂 Ca、Ba 和 Sr 制备藻酸钠-纳米羟基磷灰石-胶原(Alg-nHA-Col)微球,并在体外和体内条件下,在第 21 天检测了人成骨细胞的成骨性能。

结果

水凝胶的物理化学性质表明,与其他组相比,用 Sr 交联的微球具有更低的溶胀性、增强的稳定性和机械强度。Sr 交联微球内的人 MG-63 成骨细胞表现出增强的活力和成骨能力,表现为矿化和与骨形成相关的相关蛋白增加。Wnt(无翅型整合位点)信号通路的 PCR(聚合酶链反应)阵列分析表明,Sr 交联微球适当诱导了人成骨细胞中的各种信号转导通路,从而促进成骨活性和动态生长。将载有人成骨细胞的 Sr 交联微球移植到大鼠颅骨临界尺寸缺损模型中,通过 micro-CT 和组织学检查分析加速了骨形成。

结论

Sr 交联的 Alg-nHA-Col 水凝胶可以促进成骨细胞的功能和动态生长。

https://cdn.ncbi.nlm.nih.gov/pmc/blobs/170c/9238039/eb962dbb94cc/12951_2022_1511_Fig6_HTML.jpg
https://cdn.ncbi.nlm.nih.gov/pmc/blobs/170c/9238039/5ebfcfc93f84/12951_2022_1511_Fig1_HTML.jpg
https://cdn.ncbi.nlm.nih.gov/pmc/blobs/170c/9238039/ed9beb07c425/12951_2022_1511_Fig2_HTML.jpg
https://cdn.ncbi.nlm.nih.gov/pmc/blobs/170c/9238039/ecea33cb3383/12951_2022_1511_Fig3_HTML.jpg
https://cdn.ncbi.nlm.nih.gov/pmc/blobs/170c/9238039/b1039c970338/12951_2022_1511_Fig4_HTML.jpg
https://cdn.ncbi.nlm.nih.gov/pmc/blobs/170c/9238039/11f3a75a2cd8/12951_2022_1511_Fig5_HTML.jpg
https://cdn.ncbi.nlm.nih.gov/pmc/blobs/170c/9238039/eb962dbb94cc/12951_2022_1511_Fig6_HTML.jpg
https://cdn.ncbi.nlm.nih.gov/pmc/blobs/170c/9238039/5ebfcfc93f84/12951_2022_1511_Fig1_HTML.jpg
https://cdn.ncbi.nlm.nih.gov/pmc/blobs/170c/9238039/ed9beb07c425/12951_2022_1511_Fig2_HTML.jpg
https://cdn.ncbi.nlm.nih.gov/pmc/blobs/170c/9238039/ecea33cb3383/12951_2022_1511_Fig3_HTML.jpg
https://cdn.ncbi.nlm.nih.gov/pmc/blobs/170c/9238039/b1039c970338/12951_2022_1511_Fig4_HTML.jpg
https://cdn.ncbi.nlm.nih.gov/pmc/blobs/170c/9238039/11f3a75a2cd8/12951_2022_1511_Fig5_HTML.jpg
https://cdn.ncbi.nlm.nih.gov/pmc/blobs/170c/9238039/eb962dbb94cc/12951_2022_1511_Fig6_HTML.jpg

相似文献

1
Interaction of alginate with nano-hydroxyapatite-collagen using strontium provides suitable osteogenic platform.藻酸盐与纳米羟基磷灰石-胶原通过锶的相互作用提供了合适的成骨平台。
J Nanobiotechnology. 2022 Jun 28;20(1):310. doi: 10.1186/s12951-022-01511-9.
2
Collagen and nano-hydroxyapatite interactions in alginate-based microcapsule provide an appropriate osteogenic microenvironment for modular bone tissue formation.藻酸盐基微胶囊中胶原与纳米羟基磷灰石的相互作用为模块化骨组织形成提供了适宜的成骨微环境。
Carbohydr Polym. 2022 Feb 1;277:118807. doi: 10.1016/j.carbpol.2021.118807. Epub 2021 Oct 30.
3
Collagen-alginate-nano-silica microspheres improved the osteogenic potential of human osteoblast-like MG-63 cells.胶原-海藻酸钠-纳米硅微球提高了人成骨样 MG-63 细胞的成骨潜能。
J Cell Biochem. 2019 Sep;120(9):15069-15082. doi: 10.1002/jcb.28768. Epub 2019 Apr 24.
4
Phenolated alginate hydrogel induced osteogenic properties of mesenchymal stem cells via Wnt signaling pathway.酚醛化藻酸盐水凝胶通过 Wnt 信号通路诱导间充质干细胞的成骨特性。
Int J Biol Macromol. 2023 Dec 31;253(Pt 5):127209. doi: 10.1016/j.ijbiomac.2023.127209. Epub 2023 Oct 5.
5
An osteogenic, antibacterial, and anti-inflammatory nanocomposite hydrogel platform to accelerate bone reconstruction.一种具有成骨、抗菌和抗炎作用的纳米复合水凝胶平台,可加速骨重建。
J Mater Chem B. 2023 Jun 28;11(25):5830-5845. doi: 10.1039/d3tb00641g.
6
[In vitro study on injectable alginate-strontium hydrogel for bone tissue engineering].用于骨组织工程的可注射海藻酸盐-锶水凝胶的体外研究
Zhongguo Xiu Fu Chong Jian Wai Ke Za Zhi. 2013 Dec;27(12):1499-505.
7
Chitosan/Dextran Hydrogel Constructs Containing Strontium-Doped Hydroxyapatite with Enhanced Osteogenic Potential in Rat Cranium.含掺锶羟基磷灰石的壳聚糖/葡聚糖水凝胶构建体在大鼠颅骨中具有增强的成骨潜力
ACS Biomater Sci Eng. 2019 Sep 9;5(9):4574-4586. doi: 10.1021/acsbiomaterials.9b00584. Epub 2019 Aug 27.
8
Bio-functional strontium-containing photocrosslinked alginate hydrogels for promoting the osteogenic behaviors.用于促进成骨行为的含生物功能锶的光交联藻酸盐水凝胶。
Mater Sci Eng C Mater Biol Appl. 2021 Jul;126:112130. doi: 10.1016/j.msec.2021.112130. Epub 2021 Apr 24.
9
Alginate-nanohydroxyapatite hydrogel system: Optimizing the formulation for enhanced bone regeneration.藻酸盐-纳米羟基磷灰石水凝胶系统:优化配方以增强骨再生。
Mater Sci Eng C Mater Biol Appl. 2019 Dec;105:109985. doi: 10.1016/j.msec.2019.109985. Epub 2019 Jul 21.
10
Enzymatically gellable gelatin improves nano-hydroxyapatite-alginate microcapsule characteristics for modular bone tissue formation.酶凝胶化明胶改善纳米羟基磷灰石-海藻酸钠微胶囊特性,用于模块化骨组织形成。
J Biomed Mater Res A. 2020 Feb;108(2):340-350. doi: 10.1002/jbm.a.36820. Epub 2019 Oct 26.

引用本文的文献

1
Intramyocardial injection of pre-cultured endothelial progenitor cells and mesenchymal stem cells inside alginate/gelatin microspheres induced angiogenesis in infarcted rabbits.在梗死兔体内,将预培养的内皮祖细胞和间充质干细胞注射到藻酸盐/明胶微球内可诱导血管生成。
Cell Commun Signal. 2025 Jun 12;23(1):279. doi: 10.1186/s12964-025-02301-0.
2
Innovative Ink-Based 3D Hydrogel Bioprinted Formulations for Tissue Engineering Applications.用于组织工程应用的基于墨水的创新型3D水凝胶生物打印配方
Gels. 2024 Dec 17;10(12):831. doi: 10.3390/gels10120831.
3
The role of N-acetylcysteine in osteogenic microenvironment for bone tissue engineering.

本文引用的文献

1
Collagen and nano-hydroxyapatite interactions in alginate-based microcapsule provide an appropriate osteogenic microenvironment for modular bone tissue formation.藻酸盐基微胶囊中胶原与纳米羟基磷灰石的相互作用为模块化骨组织形成提供了适宜的成骨微环境。
Carbohydr Polym. 2022 Feb 1;277:118807. doi: 10.1016/j.carbpol.2021.118807. Epub 2021 Oct 30.
2
Ca/Sr Selectivity in Calcium-Sensing Receptor (CaSR): Implications for Strontium's Anti-Osteoporosis Effect.钙敏感受体(CaSR)中的钙/锶选择性:锶的抗骨质疏松作用的意义。
Biomolecules. 2021 Oct 24;11(11):1576. doi: 10.3390/biom11111576.
3
Nano-needle strontium-substituted apatite coating enhances osteoporotic osseointegration through promoting osteogenesis and inhibiting osteoclastogenesis.
N-乙酰半胱氨酸在骨组织工程成骨微环境中的作用
Front Cell Dev Biol. 2024 Jul 11;12:1435125. doi: 10.3389/fcell.2024.1435125. eCollection 2024.
4
Bone Morphogenetic Protein 7-Loaded Gelatin Methacrylate/Oxidized Sodium Alginate/Nano-Hydroxyapatite Composite Hydrogel for Bone Tissue Engineering.载骨形态发生蛋白 7 的明胶甲基丙烯酸盐/氧化海藻酸钠/纳米羟基磷灰石复合水凝胶在骨组织工程中的应用。
Int J Nanomedicine. 2024 Jun 25;19:6359-6376. doi: 10.2147/IJN.S461996. eCollection 2024.
5
Betulin Stimulates Osteogenic Differentiation of Human Osteoblasts-Loaded Alginate-Gelatin Microbeads.桦木醇刺激负载人成骨细胞的藻酸盐-明胶微珠的成骨分化。
Bioengineering (Basel). 2024 May 30;11(6):553. doi: 10.3390/bioengineering11060553.
6
Natural based hydrogels promote chondrogenic differentiation of human mesenchymal stem cells.天然水凝胶促进人间充质干细胞的软骨形成分化。
Front Bioeng Biotechnol. 2024 Mar 19;12:1363241. doi: 10.3389/fbioe.2024.1363241. eCollection 2024.
7
Advancements in drug-loaded hydrogel systems for bone defect repair.用于骨缺损修复的载药水凝胶系统的进展
Regen Ther. 2023 Dec 28;25:174-185. doi: 10.1016/j.reth.2023.12.010. eCollection 2024 Mar.
8
Tumor immune escape: extracellular vesicles roles and therapeutics application.肿瘤免疫逃逸:细胞外囊泡的作用和治疗应用。
Cell Commun Signal. 2024 Jan 2;22(1):9. doi: 10.1186/s12964-023-01370-3.
9
Cleaner Leather Tanning and Post-Tanning Processes Using Oxidized Alginate as Biodegradable Tanning Agent and Nano-Hydroxyapatite as Potential Flame Retardant.使用氧化海藻酸盐作为可生物降解鞣剂和纳米羟基磷灰石作为潜在阻燃剂的皮革清洁鞣制及鞣后工艺
Polymers (Basel). 2023 Dec 11;15(24):4676. doi: 10.3390/polym15244676.
10
Development of Gelatin Methacryloyl/Sodium Alginate Interpenetrating Polymer Network Hydrogels for Bone Regeneration by Activating the Wnt/β-Catenin Signaling Pathway via Lithium Release.通过锂释放激活 Wnt/β-连环蛋白信号通路开发用于骨再生的明胶甲基丙烯酰基/海藻酸钠互穿聚合物网络水凝胶。
Int J Mol Sci. 2023 Sep 2;24(17):13613. doi: 10.3390/ijms241713613.
纳米针状锶取代磷灰石涂层通过促进成骨和抑制破骨细胞生成来增强骨质疏松性骨整合。
Bioact Mater. 2020 Oct 7;6(4):905-915. doi: 10.1016/j.bioactmat.2020.09.024. eCollection 2021 Apr.
4
3D Microenvironment Stiffness Regulates Tumor Spheroid Growth and Mechanics via p21 and ROCK.3D微环境硬度通过p21和ROCK调节肿瘤球体的生长和力学特性。
Adv Biosyst. 2019 Sep;3(9):e1900128. doi: 10.1002/adbi.201900128. Epub 2019 Jul 24.
5
Cytoprotective and cytofunctional effect of polyanionic polysaccharide alginate and gelatin microspheres on rat cardiac cells.藻酸盐和明胶微球的细胞保护和细胞功能作用对大鼠心脏细胞的影响。
Int J Biol Macromol. 2020 Oct 15;161:969-976. doi: 10.1016/j.ijbiomac.2020.06.018. Epub 2020 Jun 5.
6
Effects of bone substitute architecture and surface properties on cell response, angiogenesis, and structure of new bone.骨替代物结构和表面特性对细胞反应、血管生成及新骨结构的影响。
J Mater Chem B. 2017 Aug 21;5(31):6175-6192. doi: 10.1039/c7tb00741h. Epub 2017 Jun 22.
7
Influence of microporous gelatin hydrogels on chondrocyte functions.微孔明胶水凝胶对软骨细胞功能的影响。
J Mater Chem B. 2017 Aug 7;5(29):5753-5762. doi: 10.1039/c7tb01350g. Epub 2017 Jul 7.
8
Collagen/alginate scaffolds comprising core (PCL)-shell (collagen/alginate) struts for hard tissue regeneration: fabrication, characterisation, and cellular activities.用于硬组织再生的包含核(聚己内酯)-壳(胶原蛋白/海藻酸盐)支柱的胶原蛋白/海藻酸盐支架:制备、表征及细胞活性
J Mater Chem B. 2013 Jul 7;1(25):3185-3194. doi: 10.1039/c3tb20485e. Epub 2013 May 24.
9
Stem cell spheroids incorporating fibers coated with adenosine and polydopamine as a modular building blocks for bone tissue engineering.包含涂有腺苷和聚多巴胺的纤维的干细胞球体作为骨组织工程的模块化构建块。
Biomaterials. 2020 Feb;230:119652. doi: 10.1016/j.biomaterials.2019.119652. Epub 2019 Nov 25.
10
Collagen modulates functional activity of hepatic cells inside alginate-galactosylated chitosan hydrogel microcapsules.胶原调节海藻酸钠-半乳糖化壳聚糖水凝胶微胶囊内肝细胞的功能活性。
Int J Biol Macromol. 2020 Aug 1;156:1270-1278. doi: 10.1016/j.ijbiomac.2019.11.164. Epub 2019 Nov 21.