Lee Minju, Ko Minjung, Ahn Jisoo, Ahn Jiyoung, Yu Jin, Chang Jinhwa, Oh Sukhoon, Chang Dongwoo
Section of Medical Imaging, Veterinary Medical Center, College of Veterinary Medicine, Chungbuk National University, Cheongju, South Korea.
College of Veterinary Medicine, Western University of Health Sciences, Pomona, CA, United States.
Front Vet Sci. 2022 Jun 9;9:819627. doi: 10.3389/fvets.2022.819627. eCollection 2022.
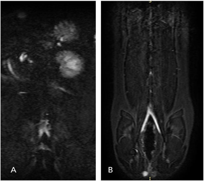
Arterial thromboembolism is associated with high morbidity and mortality rates in cats. Definitive diagnosis requires advanced imaging modalities, such as computed tomography angiography (CTA) and contrast-enhanced (CE) magnetic resonance angiography (MRA). However, CTA involves exposure to a large amount of ionized radiation, and CE-MRA can cause systemic nephrogenic fibrosis. Non-contrast-enhanced (NE) MRA can help accurately diagnose vascular lesions without such limitations. In this study, we evaluated the ability of NE-MRA using three-dimensional electrocardiograph-gated fast spin-echo (3D ECG-FSE) and 3D time-of-flight (3D TOF) imaging to visualize the aorta and external iliac arteries in clinically healthy cats and compared the results with those obtained using CE-MRA. All 11 cats underwent 3D ECG-FSE, 3D TOF, and CE-MRA sequences. Relative signal intensity (rSI) for quantitative image analysis and image quality scores (IQS) for qualitative image analysis were assessed; the rSI values based on the 3D TOF evaluations were significantly lower than those obtained using 3D ECG-FSE (aorta 3D TOF: 0.57 ± 0.06, aorta 3D ECG-FSE: 0.83 ± 0.06, < 0.001; external iliac arteries 3D TOF: 0.45 ± 0.06, external iliac arteries 3D ECG-FSE:0.80 ± 0.05, < 0.001) and similar to those obtained using CE-MRA (aorta: 0.58 ± 0.05, external iliac arteries: 0.57 ± 0.03). Moreover, IQS obtained using 3D TOF were significantly higher than those obtained using 3D ECG-FSE (aorta 3D TOF: 3.95 ± 0.15, aorta 3D ECG-FSE: 2.32 ± 0.60, < 0.001; external iliac arteries 3D ECG-FSE: 3.98 ± 0.08, external iliac arteries 3D ECG-FSE: 2.23 ± 0.56, < 0.001) and similar to those obtained using CE-MRA (aorta: 3.61 ± 0.41, external iliac arteries: 3.57 ± 0.41). Thus, 3D TOF is more suitable and produces consistent image quality for visualizing the aorta and external iliac arteries in clinically healthy cats and this will be of great help in the diagnosis of FATE.
动脉血栓栓塞在猫中与高发病率和死亡率相关。明确诊断需要先进的成像方式,如计算机断层血管造影(CTA)和对比增强(CE)磁共振血管造影(MRA)。然而,CTA涉及大量电离辐射暴露,而CE-MRA可导致全身性肾源性纤维化。非对比增强(NE)MRA有助于在无此类限制的情况下准确诊断血管病变。在本研究中,我们评估了使用三维心电图门控快速自旋回波(3D ECG-FSE)和三维时间飞跃(3D TOF)成像的NE-MRA可视化临床健康猫的主动脉和髂外动脉的能力,并将结果与使用CE-MRA获得的结果进行比较。所有11只猫均接受了3D ECG-FSE、3D TOF和CE-MRA序列检查。评估了用于定量图像分析的相对信号强度(rSI)和用于定性图像分析的图像质量评分(IQS);基于3D TOF评估的rSI值显著低于使用3D ECG-FSE获得的值(主动脉3D TOF:0.57±0.06,主动脉3D ECG-FSE:0.83±0.06,<0.001;髂外动脉3D TOF:0.45±0.06,髂外动脉3D ECG-FSE:0.80±0.05,<0.001),且与使用CE-MRA获得的值相似(主动脉:0.58±0.05,髂外动脉:0.57±0.03)。此外,使用3D TOF获得的IQS显著高于使用3D ECG-FSE获得的IQS(主动脉3D TOF:3.95±0.15,主动脉3D ECG-FSE:2.32±0.60,<0.001;髂外动脉3D ECG-FSE:3.98±0.08,髂外动脉3D ECG-FSE:2.23±0.56,<0.001),且与使用CE-MRA获得的IQS相似(主动脉:3.61±0.41,髂外动脉:3.57±0.41)。因此,3D TOF更适合用于可视化临床健康猫的主动脉和髂外动脉,并产生一致的图像质量,这将对FATE的诊断有很大帮助。